Презентация Темнов М..ppt
- Количество слайдов: 24
КЛИНИЧЕСКИЙ РАЗБОР ПАЦИЕНТА Студент 5 курса Темнов М. А. Руководитель: д. м. н. профессор Комаров В. Т. к. м. н. доцент Фадеева С. С.
ПАСПОРТНЫЕ ДАННЫЕ Мужской пол Возраст 79 лет Проживает в Бессоновском р-не.
Жалобы На боли в области коленных суставов, их припухлость, боли в плечевых суставах, ограничение подвижности в них, боли в области локтевых суставов, ограничение сжатия пальцев кистей в кулак, множественные узловые образования в области суставов кистей, скованность и боли в пояснице.
Значимые анамнестические данные • • В анамнезе частые простудные заболевания, перенесенные ангины. Что касается настоящего заболевания, болен более 20 лет. Заболевание манифестировало болями в плечевых суставах. Отмечал тугоподвижность в спине по утрам. С 2001 года беспокоят боли и ограничение движений в поясничном и шейных отделах позвоночника, в левом коленном суставе, припухлость 1 пальца стопы, ограничение движения в коленном и межфаланговых суставах кистей.
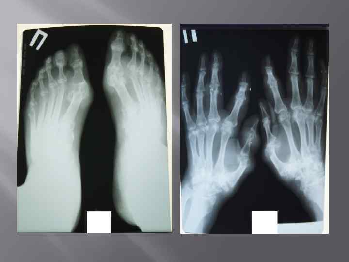
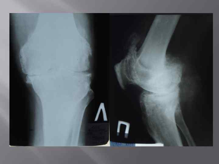
Объективно: • У пациента наблюдается дефигурация 1 плюснефаланговоговых суставов. Дефигурация левого коленного и левого локтевого суставов. Объем пассивных и активных движений в коленном суставе снижен , сгибание составляет 60 градусов, разгибание до угла 10 градусов. Объем движений в голеностопных суставах снижен и составляет 0/10 гр. Определяются тофусы в области пястно-фаланговых суставов обеих кистей, локтевых суставов, болезненность при пальпации, ограничение в объеме движений в шейном, грудном и поясничном отделах позвоночника, грудной кифоз, сглаженный поясничный лордоз, положительные симптомы сакроилеита с обеих сторон.
По органам и системам Тоны сердца приглушены, ритмичны. Левая граница сердца смещена до среднеключичной линии. Правая граница сердца по правому краю грудины. Верхняя по краю 3 ребра слева от грудины. ЧСС=пульс= 74 уд/мин. АД 150/90 мм рт. ст. Дыхание везикулярное, хрипов нет. ЧДД 20 в минуту Перкуторно легочный звук. Язык влажный, обложен белым налетом. Живот округлой формы, перистальтика выслушивается, мягкий и безболезненный при пальпации. Печень не выступает за край правой реберной дуги. Селезенка не пальпируется. Стул регулярный, оформленный. Мочеиспускание свободное безболезненное, симптом “поколачивания” отрицательный с обеих сторон.
ОАК Показатель Значение Норма Эритроциты 4, 1*10*12/L 3, 63 -4, 92*10*12/L Лейкоциты 7, 7*10^9/L 3, 8 -11, 8*10^9/L Гемоглобин 123 г/л 109 -143 г/л Гематокрит 36% 31, 2 -41, 9% Тромбоциты 203*10^9/L 179 -408*10^9/L СОЭ 20 мм/ч До 15 (20) мм/ч
БАК Показатель Значение Норма Общий белок 70, 4 г/л 66, 0 -87, 0 г/л Глюкоза 5, 0 ммоль/л 3, 0 -6, 0 ммоль/л Холестерин 5, 6 ммоль/л 3, 0 -6, 2 ммоль/л Мочевина 9, 9 ммоль/л 2, 5 -8, 3 ммоль/л Креатинин 156, 3 мкмоль/л 44, 0 -120, 0 мкмоль/л Мочевая к-та 430 мкмоль/л 155 -418 мкмоль/л СРБ 30, 0 мг/л 0, 0 -5, 0 мг/л Скорость клубочковой фильтрации CKD EPI 35 мл/мин 1. 73 м 2
ОАМ Показатель Значение Количество 100 мл Прозрачность Прозр. р. Н 7, 0 Белок Отр. Эпит. плоский - Лейкоциты 1 -2 в. п. зр. Эритроциты неизм. - Эритроциты изм. -
Экг Ритм синусовый, правильный. ЧCC= 75 Отклонение электрической оси сердца влево. RV 4<RV 5>RV 6 Высота зубца R в V 5= 27 мм; Признак Соколова-Лайона RV 5+SV 1= 40 мм
УЗИ почек Изменения в паренхиме почек, киста правой почки, уменьшение толщины паренхимы почек. Кальцинаты слева, образование левой почки ? .
МРТ забрюшинного пространства На серии томограмм забрюшинного пространств с жироподавлением в трех проекциях выявлены следующие изменения: Хронический двухсторонний пиелонефрит Единичные мелкие кисты печени Киста н/3 правой почки, размерами 3, 3 см; единичные мелкие кисты левой почки до 0, 6 см
КЛИНИЧЕСКИЙ ДИАГНОЗ: Подагра хронического течения: рецидивирующий подагрический полиартрит (тофусы), в сочетание с анкилозирующим спондилоартритом аксиальной формы высокой степени активности, поздняя стадия, рентгенологическая стадия 4. ФК III. ХБП, 3 стадии, хронический тубоинтерстициальный нефрит с исходом в нефросклероз ( подагрическая нефропатия ), кисты почек (р СКФ CKD EPI 35 мл/мин/1. 73 м 2). Гипертоническая болезнь 2 стадия, риск 3.
Лечение ЛФК Физиотерапия Нимулид по 100 мг утром и вечером Преднизолон по 5 мг утром 1 табл. Аллопуринол по 200 мг утром и вечером *только после купирования болевого синдрома Омепрозол 20 мг утром ( для профилактики гастропатий) Ксефокам по 8 мг в/мышечно вечером при сильных болях. Карведилол 50 мг утром Эналаприл по 10 мг утром и вечером Крестор 5 мг утром
Заключение Поскольку кристаллы мочевой кислоты активируют инфламасомы- воспалительный комплекс включающий ЦОГ-2, цитокины, подагра может возникать на фоне различных воспалительных заболеваний суставов из-за триггерных влияний цитокинов между собой (ФНО-α индуцирует образование ИЛ-1β) ответственный за развитие подагры.
Подагрический артрит может возникать на фоне ревматоидного артрита, псориатического артрита, анкилозирующего спондилоартрита. Поскольку кристаллы мочевой кислоты фагоцитируются макрофагами, приводящими к активации инфламасом следует подавить фагоцитоз. Этим свойством обладает нимесулид (данные В. А. Насоновой со авторами 2008 г. )
БЛАГОДАРЮ ЗА ВНИМАНИЕ!
Презентация Темнов М..ppt