витамины стомат.pptx
- Количество слайдов: 51
Клиническая фармакология витаминных препаратов. Кафедра фармакологии с курсом клинической фармакологии. Лектор ст. препод. кмн Чуклин Р. Е.
Витамины – это незаменимые пищевые органические соединения, которые непосредственным образом участвуют в обменных процессах организма.
Витамины выполняют каталитическую функцию в составе активных центров разнообразных ферментов, или участвуют в гуморальной регуляции в качестве экзогенных прогормонов и гормонов.
В стоматологии фармакологические дозы применяют: 1) для лечения дефицитных состояний и их проявлений в полости рта,
2) при лечении воспалительных, гиперкератических, эрозивно-язвенных поражений слизистой оболочки полости рта, заболеваний пародонта и твердых тканей зуба, трещин, ожогов, последствий травм, в послеоперационном периоде для ускорения процесса заживления.
Выделяют жиро- (A, D, E, K) и водорастворимые (C, P, группа B) витамины. Витамины поступают в организм с пищевыми продуктами. Некоторые (например, К, В 12, В 9) могут синтезироваться кишечной микрофлорой.
Отсутствие витаминов может приводить к развитию специфического синдрома витаминной недостаточности – гипо- и авитаминозов. В организме витамины тесно взаимодействуют, поэтому дефицит обычно носит комбинированный характер. Витаминная недостаточность может быть разделена на первичную и вторичную.
Первичная витаминная недостаточность -следствие неадекватной диеты при: 1) длительном недостаточном питании; 2) несбалансированной диете с преобладанием углеводов, дефицитом или избытком белка; 3) искусственном вскармливании с первых дней жизни; 4) недостатке витаминов в молоке матери.
Вторичная витаминная недостаточность является результатом: 1) нарушения абсорбции при заболеваниях ЖКТ, приеме ЛС, угнетающих всасывание витаминов (слабительные, контрацептивы); 2) нарушения транспорта (гипопротеинемия);
3) нарушения метаболизма витаминов из-за генетических нарушений ферментных систем, их возрастной неполноценности, заболеваний печени, почек, эндокринной системы, курения, алкоголизма или приема ЛС; 4) повышение расходования (беременность, лактация, периоды роста и полового созревания, лихорадочные состояния, физическое и эмоциональное напряжение, повышенная или пониженная температура воздуха, гипоксия, прием химиотерапевтических средств).
Недостаточность витамина А (ретинола). Ксеростомия, усиленное ороговение вплоть до образования папиллом; повышенная травматизация эпителия, инфицирование, язвенный стоматит.
Гемералопия, ксерофтальмия, кератомаляция. Тусклые редкие волосы, поперечная исчерченность и ломкость ногтей, сухость, бледность и шелушение кожи. Плохое заживление ран. Снижение резистентности к инфекциям, развитие зоба.
Недостаточность витамина D (эргокальциферола, холекальциферола). Нарушение структуры зубов, кариес, остеопороз альвеолярной кости. Рахит у детей, остеопороз, остеомаляция у взрослых.
Недостаточность витамина Е (токоферола). Гингивиты: десны высоко чувствительны к недостатку. Дистрофия мышц, выпадение волос, поражение печени, бесплодие, осложнения беременности.
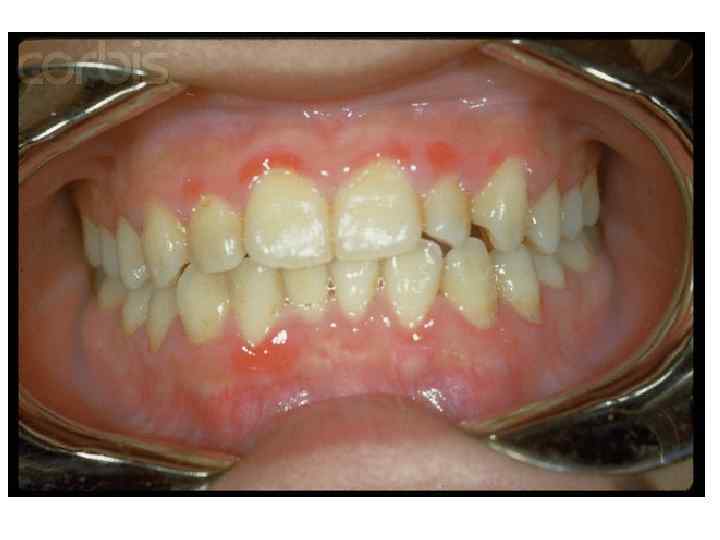
Недостаточность витамина K (филохинонов). Кровоточивость десен. Желудочно-кишечные кровотечения, внутрикожные и подкожные кровоизлияния.
Недостаточность витамина С (аскорбиновой кислоты). Цинга. Набухание и кровоточивость десен, расшатывание зубов, петехии на слизистой рта, язвенный гингивит, стоматит. Слабость, утомляемость, боли в мышцах, боли в ногах, кровоизлияния в кожу, суставы, внутренние органы. Снижение иммунитета. Плохое заживление ран, рецидивирующие инфекции. Лихорадка. Нарушение костеобразования. Анемия. Ахлоргидрия.
Недостаточность витамина В 1 (тиамина) Снижение аппетита, общая слабость, похудание, невроз. Периферические невриты (бéри-бéри), парестезии, атрофии мышц, судороги. Тахикардия, сердечная недостаточность. Боли в эпигатрии, рвота, запоры.
Недостаточность витамина В 2 (рибофлавина) Ангулярный стоматит, глоссит, “фуксиновый” язык. Себорейный гиперкератоз, дерматит в области половых органов. Васкуляризация роговицы, конъюнктивит, светобоязнь, слезотечение. Парестезии. Замедление роста. Анемия. Врожденные пороки развития.
Недостаточность никотиновой кислоты (В 3) проявляется пеллагрой. Стоматит, глоссит. Дерматит, пигментация открытых участков кожи, снижение аппетита, диарея, дистрофия, деменция.
Недостаточность пантотеновой кислоты (В 5) Глоссит. Дерматит, головокружение, головные боли, слабость, бессонница, парестезии, тошнота, рвота, метеоризм, нарушение функции половых желез.
Недостаточность витамина В 6 (пиридоксина). Нарушения обмена белка, синтеза ГАМК, адреналина, норадреналина, дофамина, гистамина, микроцитарная сидероахрестическая анемия, риск интоксикаций.
Недостаточность витамина В 12 (цианокобаламина) в сочетании с фолиевой кислотой (В 9). Глоссит, стоматит. Мегалобластная анемия Аддисона-Бирмера (гиперхромия и макроцитоз эритроцитов) в сочетании с лейко- и тромбоцитопенией, энтерит, демиелинизация нервных волокон
Недостаточность биотина (В 8). Себорейный дерматит, атония кишечника, анорексия, парестезии. Поливитаминные препараты не применимы для лечения гипо- и авитаминозов, других патологических состояний. Для лечения используют монокомпонентные препараты.
Применение витаминов в клинической практике Ретинол рахит (вместе с витамином D), гемералопия, кожные заболевания, снижение резистентности к инфекциям, гепатиты.
Ускорение эпителизации эрозий и язв, уменьшение ксеростомии, нормализация обменных процессов в эпителии (лейкоплакия, красный плоский лишай, хейлиты, трещины губ и т. п. ); при заболеваниях пародонта.
Витамин D рахит, синдром Фанкони, остеопороз, остеомаляция, переломы костей, туберкулез кожи, гипопаратиреоз Профилактика и лечение кариеса у детей, пародонтоз, остеопороз альвеолярных отростков.
Токоферол заболевания кожи, ССС, бесплодие, патологический климакс, дисменорея, анемии, эндокринные заболевания, неврастения, хронические гепатиты, ревматические заболевания. Пародонтоз, эрозивно–язвенные поражения эпителия ротовой полости.
Аскорбиновая кислота беременность, лактация, инфекции, заболевания ЖКТ; гипоксия, метаболический и дыхательный ацидоз, геморрагические диатезы, интоксикации, заболевания печени, переломы, заболевания кожи, отравления; в комплексе с витамином D, препаратами железа.
Поражения СОПР с геморрагическим компонентом, афтозные стоматиты, дискератозы, пародонтоз, синдром Шегрена, ворсинчатый язык, кандидоз, вирусные и бактериальные инфекции полости рта.
Тиамин нейропатии, опоясывающий лишай, сахарный диабет, алкоголизм. Неврит и невралгия тройничного нерва, парестезии СОПР, пародонтозы, стоматиты, гингивиты, глосситы, хейлиты, вторичные поражения СОПР при заболеваниях ЖКТ, СД, алкоголизме, тиреотоксикозе.
Рибофлавин гемералопия, воспалительные заболевания глаз, астения, заболевания кожи, гипотрофия, острая гипоксия, анемия, дисбактериоз. Хейлит, угловой стоматит, глоссит, невус Кеннона.
Никотиновая кислота дислипидемии, облитерирующий атеросклероз, эндартериит, болезнь Рейно. Болезни пародонта, афтозный стоматит, хейлиты, парестезии, хроническая трещина губы, неврит лицевого нерва.
Пантотеновая кислота нарушения нервно-мышечной передачи, экзема, трофические язвы, атония гладкомышечных органов. Десквамативный глоссит, хейлит.
Пиридоксин сердечная недостаточность, гепатиты, сидероахрестическая анемия, кожные заболевания, нейропатии, пеллагра. Афтозный стоматит, синдром Шегрена, глоссалгии, хейлиты, невралгия и неврит тройничного нерва, невус, пародонтоз.
Цианокобаламин анемии, гипотрофия, дегенеративные изменение ЦНС, травматические, воспалительные и дегенеративные поражения нервов, боковой амиотрофический склероз, энцефаломиелит, ДЦП, гепатиты, заболевания кожи.
Невралгия тройничного нерва, парестезии языка, СОПР, красная волчанка, многоформная экссудативная эритема, пародонтоз, поражения СОПР при СД, алкоголизме, медикаментозных стоматитах.
Фолиевая кислота анемии, гипотрофия, нарушения роста ребенка, энтериты, трофические язвы. Дефекты слизистой полости рта, губ у новорожденных.
При назначении в терапевтических дозах витамины не обладают побочными эффектами, кроме аллергических реакций. Большинство осложнений витаминотерапии это результат передозировки.
Гипервитаминоз А. Проявляется тошнотой, рвотой, головокружением, головной болью, заторможенностью (менингизм), лихорадкой, гипотензией, тахикардией, нарушением зрения, функции печени (желтуха, гипопротеинемия, геморрагический синдром).
Растёт активность остеокластов (рассасывание костной ткани, гиперкальциемия, боли и припухлость по ходу костей). Сухость и шелушение кожи, сухость и ломкость волос.
Лечение: ГКС (ускоряющие метаболизм ретинола, стабилизирующие клеточные мембраны), маннитол (снижение внутричерепной гипертензии).
Гипервитаминоз D проявляется гиперкальциемией. Появляются артериальная гипертензия, сердечные аритмии, нарушается сократительная функция миокарда (кальциноз сосудов, клапанов сердца). Характерны боли в животе, диарея, полиурия, жажда, субфебрилитет, судороги. У детей – краниостеноз.
Лечение ГКС, фенобарбитал, витамины A, E, C. Симптоматически: верапамил, препараты Mg, K, фуросемид. Ингибитор остеокластной костной резорбции ксидифон.
Гипервитаминоз Е способствует развитию инфекций. Токоферол токсически действует на нейтрофилы, тромбоциты, кишечный эпителий, клетки печени и почек. При применении больших доз возможны боли в эпигастрии, диарея, креатинурия, снижение работоспособности.
Гипервитаминоз С проявляется раздражительностью, анорексией, выраженными гиперестезиями, одышкой, сухостью и бледностью кожи. Развивается геморрагический синдром, гипергликемия и глюкозурия (подавление секреции инсулина).
Передозировка тиамина вызывает ганглиоблокирующий и миорелаксирующий эффекты. Никотиновой кислоты -- появление металлического привкуса во рту, анорексию, диарею, судороги, гипергликемию, гиперурикемию, эрозии ЖКТ, нарушения функции печени, аритмии, недостаточность тиамина и рибофлавина.
Приём больших доз пиридоксина вызывает зависимость и полинейропатии. Быстрое в/в введение -- судороги. Высокие дозы цианокобаламина вызывают гиперкоагуляцию, нарушение пуринового обмена, кардиалгию, тахикардию.


