3 к Лейкозы.pptx
- Количество слайдов: 57
Кафедра пропедевтики внутренних болезней лечебного факультета Л Е Й К О З Ы
Основные положения в учении о гемопоэзе. • • • Гемопоэз происходит в контакте с микроокружением. Гемопоэтические клетки контактируют с клетками других типов (макрофаги, лимфоциты, клетки стромы, дендритные клетки и др. ). Межклеточные отношения осуществляются за счет связывания клеток друг с другом через клеточные рецепторы, молекулы адгезии, фиксированные и секретируемые цитокины, факторы роста. РЕЗУЛЬТАТ: - формируется система передачи сигналов, регулирующих активность транскрипции генов, запускающих процессы ПРОЛИФЕРАЦИИ, ДИФФЕРЕНЦИРОВКИ или АПОПТОЗА.
Факторы роста (ФР) • Для стволовых клеток: - ИЛ-1, ФНО (TNF) • Для полипотентных клеток: - фактор роста стволовых клеток • Для ранних мультипотентных клеток: - ИЛ-3, ИЛ-4, ИЛ-6; ГМ-КСФ (гранулоцитарно- моноцитарный колониестимулирующий фактор) • Для специализированных клеток -предшественников: - Г-КСФ (гранулоцитарный колониестимулирующий фактор) , М-КСФ (моноцитарный колониестимулирующий фактор), ИЛ-5, эритропоэтин (ЭП), тромбопоэтин. • Большинство ФР – гликопротеины, продуцируемые клетками стромы костного мозга, Т- лимфоцитами, гепатоцитами и клетками почек (ЭП).
Судьба клетки: жить или умереть? Если умирать, то как ? Воспаление -фагоцитоз или апоптоз- фагоцитоз?
Причины возникновения новообразований. • • • Генетическая предрасположенность. Вирусные инфекции. Ионизирующая радиация. Токсины и химические соединения. Лекарственные препараты.
Механизм злокачественной трансформации. Протоонкогены кодируют белки, участвующие в разных стадиях передачи внутриклеточных сигналов, регуляции экспрессии генов и клеточного цикла, запускающие дифференцировку или апоптоз. • • • Амплификация, точечная мутация, делеция и транслокация – изменения, превращающие протоонкогены в онкогены. Пример: транслокация гена ABL из хромосомы 9 в точку разрыва хромосомы 22 (BCR) приводит к новой нуклеотидной последовательности при хроническом миелолейкозе.
Патогенез гематологических злокачественных новообразований • • Генетические изменения – трисомия по хромосоме 21( синдром Дауна), нарушенная системная репарация ДНК (анемия Фанкони), наследственная иммунная супрессия (атаксия -телеангиоэктазия); Вирус Эбштейна-Барр – лимфомы; Т-лимфотропный вирус – лимфомы; ВИЧ –вирус Ионизирующая радиация – мутации ДНК; курение, красители, пестициды, гербициды. Лекарства – химиотерапия опухолей (Ломустин, Мелфалан) миелоидные лейкозы
Уровни возможного влияния на онкогенез. Влияние лекарственных средств.
Цитогенетические исследования. Транслокации, провоцирующих лейкозы Острый промиелоцитарный лейкоз ( М 3 ) - транслокация гена, кодирующего рецептор ретиноевой кислоты RARA на 17 хромосоме; • Острые лейкозы – транслокации в 21 и 16 хромосомах (гены RUNX-1 и CBFB) с подавлением транскрипции за счет связывания ключевого белкового комплекса CBF (core binding factor), • Острые лейкозы - транслокация гена MLL – mixed lineage leukemia, расположенного на 11 хромосоме;
Цитогенетические исследования. Транслокации. • Для острых миелоидных лейкозов специфичны только две хромосомные аберрации: - транслокация t (15; 17)(q 22; q 11 -12) для острого промиелоцитарного лейкоза; гена, кодирующего рецептор ретиноевой кислоты RARA на 17 хромосоме. - инверсия inv(16) (p 13; q 22) – для острого миело-монобластного лейкоза с эозинофилией (М 4 Ео) • Острый миелобластный лейкоз (М 2) – транслокация t (8; 21) (q 22; q 22) • Острый монобластный лейкоз (М 5) - транслокация t (9; 11) (p 22; q 23)
Особенности метаболизма опухолевых клеток. • Увеличивается активность рибонуклеотид-редуктазы, снижается катаболизм пиримидинов, увеличивается синтез РНК и ДНК; • Увеличивается скорость гликолиза (аэробного и анаэробного). Увеличивается продукция лактата (эффект Варбурга). Чем менее дифференцирована опухоль, тем интенсивнее анаэробный гликолиз и слабее окислительное фосфорилирование. • Увеличивается количество «фетальных» форм различных белков и ферментов, повышающих способность клетки к выживанию. • Изменяется структура плазматической мембраны (гликопротеины, гликосфинголипиды ), ее заряд и проницаемость. Изменяется уровень синтеза и строение адгезивных молекул, интегриновых рецепторов. • Секретируются металлопротеазы, коллагеназы, гепараназы, катепсин В, плазмин, факторы ангиогенеза и др. , что способствует разрушению белков и протеогликанов межклеточного матрикса и базальной мембраны, ведет к инвазии опухолевых клеток в соседние ткани.
Костный мозг. Строма. Стволовые клетки и их окружение. Этапы дифференцировки и зрелые клетки.
Определение • Лейкозы (лейкемия, белокровие, рак крови) – клональное и злокачественное (неопластическое) заболевание кроветворной системы. • Злокачественный клон клеток происходит из незрелых, находящихся на разных стадиях дифференцировки, гемопоэтических клеток костного мозга, с постепенным замещением нормальных ростков кроветворения (цитопении – эритроцитарная и др. ), с возможным метастазированием.
ВАРИАНТЫ и ПРИНЦИПЫ КЛАССИФИКАЦИЙ ЛЕЙКОЗОВ • По характеру течения • острые, из незрелых клеток (бластов), и • хронические , из созревающих и зрелых клетки. • Острые лейкозы по составу клеток (цитогенетика) подразделяются на: • лимфобластный, • миелобластный, • монобластный, • миеломонобластный, • эритромиелобластный, • мегакариобластный, • недифференцированный. • Хронические лейкозы представлены лейкозами: – • • • хронический миелоцитарный лейкоз, хронический нейтрофильный лейкоз, хронический эозинофильный лейкоз, хронический базофильный лейкоз, миелосклероз, – • • парапротеинемические лейкозы: миеломная болезнь, первичная макроглобулинемия Вальденстрема, болезнь тяжелых цепей Франклина, лимфоматоз кожи — болезнь Сезари, – • • лимфоцитарного происхождения: хронический лимфолейкоз, – • • эритремия/истинная полицитемия, эссенциальная тромбоцитемия, – • миелоцитарного происхождения: моноцитарного происхождения: хронический моноцитарный лейкоз, хронический миеломоноцитарный лейкоз, гистиоцитоз Х.
ВАРИАНТЫ и ПРИНЦИПЫ КЛАССИФИКАЦИЙ ЛЕЙКОЗОВ • По степени дифференцировки опухолевых клеток - недифференцированные, - бластные, - «цитарные» лейкозы; • В зависимости от их иммунного маркера, фенотипа по экспрессии CD 19, CD 20, CD 5, легких цепей иммуноглобулинов и других антигенных маркеров.
Недифференцированные, бластные лейкозы. • При высоком блоке дифференцировки лейкозные клетки могут напоминать стволовые и бластные клетки первых четырёх классов клеток-предшественниц. Поэтому по степени дифференцировки эти лейкозы называют бластными и недифференцированными. • Поскольку они (лейкозы) протекают остро, то можно говорить, что острые лейкозы — это бластные и недифференцированные лейкозы.
«Цитарные» лейкозы. • При низком блоке дифференцировки лейкозные клетки напоминают процитарные и цитарные клеткипредшественницы, лейкозы протекают менее злокачественно, хронически и называются цитарными.
ВАРИАНТЫ и ПРИНЦИПЫ КЛАССИФИКАЦИЙ ЛЕЙКОЗОВ • По общему числу лейкоцитов и наличию бластных клеток в периферической крови - лейкемические (более 50— 80×/л лейкоцитов, в том числе, но есть бласты), - сублейкемические (50— 80×/л лейкоцитов, в том числе бласты), - лейкопенические (содержание лейкоцитов в периферической крови ниже нормы, но есть бласты), - алейкемические (содержание лейкоцитов в периферической крови ниже нормы, бласты отсутствуют).
Хронический лейкоз. По клеточному составу – миелоцитарные и лимфоцитарные. По стадийности болезни: 1 стадия – моноклоновая (один клон клеток как источник опухолевого роста) 2 стадия –поликлоновая ( «бластный криз» ; присоединяются другие клоны клеток как источники дополнительного опухолевого роста). 80% больных хроническими лейкозами погибают на стадии «бластного криза» . Острый лейкоз никогда не переходит хронический, а хронический никогда не обостряется.
Механизм злокачественной трансформации. Например, транслокация гена ABL из хромосомы 9 в точку разрыва хромосомы 22 (BCR) образует новую нуклеотидную последовательность (химерный белок BCR-ABL) при хроническом миелолейкозе.
Транслокация белка ABL хромосомы 9 в зону «разрыва» хромосомы 22 с образованием химерного белка ABL-BCR
Мазки крови при остром и хроническом лейкозах. Острый миелолейкоз Хронический миелолейкоз
Некоторые качества опухолевых клеток. • Крупнее нормальных, округлые или звездчатые; с многообразием ядерных и клеточных форм. • Изменено ядерно- цитоплазматическое отношение. Ядро может содержать три и более гаплоидных наборов хромосом (полиплоидия) или число хромосом не кратно гаплоидному набору (анэуплоидия). • Клетки могут расти не прикрепляясь к поверхности, снижена способность к адгезии.
Франко –америко -британская морфологическая классификация острых лейкозов. FAB. Миелоидные Лимфоидные М 0 Недифференцированный морфологически и цитохимически, миелоидный по иммунологическому фенотипу L 1 М 1 Слабо дифференцированный, свыше 90% L 2 бластных клеток. М 2 Дифференцированный, бластных клеток от 20 до 90% М 3 Промиелоцитарный с выраженной зернистостью М 4 Миело-монобластный М 5 a Монобластный без дифференцировки M 5 b Монобластный с дифференцировкой M 6 Эритроидный дифференцированный. Свыше 50% мононуклеарных клеток эритроидные M 7 Мегакариобластный L 3 Мелкоклеточный. У клеток высокое отношение площади ядра к площади цитоплазмы. Крупноклеточный, отношение площади ядра к площади цитоплазмы ниже, чем в предыдущем варианте Вакуолизированные базофильные бластные клетки.
Чем объясняется клиническая картина болезни? • Распространением опухолевых, функционально незрелых клеток – исчезновение зрелых клеток определенного ряда и утрата присущих им функций (нет механизма «защиты» - инфекции). • Вытеснением злокачественными клетками ростков других клеток – и утратой и этими клетками присущих им функций (анемия, тромбоцитопения – кровоизлияния, кровотечения). • Накоплением токсических продуктов метаболизма (интоксикация). • В итоге – поли-органная недостаточность.
,
Острый миелолейкоз. • Лейкозная инфильтрация языка. • Геморрагическая сыпь: петехии. • Лейкемиды кожи.
Острые лейкозы. • Флегмона челюстно-лицевой области. • Геморрагии: петехии и экхимозы. • Лейкозная инфильтрация. • Грибковая инфекция
Острый миелолейкоз. Флегмона глазницы. Язва кожи. Воспаление
Хронический миелолейкоз. Лейкемиды кожи.
Хронический миелолейкоз. Спленомегалия. Инфаркт селезенки. Гепатомегалия.
Лабораторные исследования. • Световая микроскопия (мазки крови, костного мозга, гистологические препараты и др. ). • Цитохимические реакции. • Иммунофенотипирование. • Цитогенетические исследования.
Мазок крови при остром лейкозе. • большое количество бластных клеток и их преимущество (более 30 %, чаще 60 -90 %); • «лейкемический провал» — исчезновение промежуточных форм клеток на фоне большого количества бластов; • одновременное наличие абазофилии и анэозинофилии; • быстропрогрессирующая анемия. • Если азурофильные гранулы, палочки Ауэра*, складчатость ядерной оболочки отсутствуют, то световая микроскопия бессильна установить вариант лейкоза. * - результат слияния азурофильных гранул и матрикса эндоплазматического ретикулума.
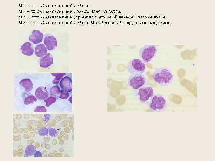
М 0 – острый миелоидный лейкоз. М 2 – острый миелоидный лейкоз. Палочка Ауэра. М 3 – острый миелоидный (промиелоцитарный) лейкоз. Палочки Ауэра. М 5 – острый миелоидный лейкоз. Монобластный, с крупными вакуолями.
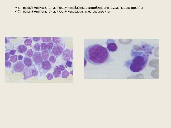
М 6 – острый миелоидный лейкоз. Миелобласты, эритробласты, аномальные эритроциты. М 7 – острый миелоидный лейкоз. Миелобласты и мегакариоциты.
Хронический миелолейкоз. Мазки крови • Гранулоцитарный росток на разных стадиях созревания. • Миелобласты. Промиелоциты. Метамиелоциты. Сегментоядерные и палочкоядерные нейтрофилы
Лейкозы. Цитохимические исследования.
ПРИ ОСТРЫХ МИЕЛОИДНЫХ НЕДИФФЕРЕНЦИРОВАННЫХ И МАЛО ДИФФЕРЕНЦИРОВАННЫХ ЛЕЙКОЗАХ РЕАКЦИИ НА МИЕЛОПЕРОКСИДАЗУ И С СУДАНОМ ЧЕРНЫМ (НА ЛИПИДЫ) ПОЛОЖИТЕЛЬНЫЕ. ПРИ ЛИМФОЛЕЙКОЗАХ – ОТРИЦАТЕЛЬНЫЕ.
Цитохимические реакции при лейкозах • Реакция на миелопероксидазу М 1 -3 • Окраска суданом черным М 1 -3 липиды (недифференцированный, промиелоцитарный лейкоз) • ШИК – реакция М 4 -5 миело-моно гликоген бластный лейкоз • Кислая фосфатаза L, M 4 -5 аппарат Гольджи • Эстеразы М 4, М 5 ггидролитические ферменты, активные в моноцитах
Острый миелолейкоз. Реакция с суданом черным на липиды (2 - «ожерелье» ).
Лабораторные признаки хронического лейкоза. • небольшое количество бластных клеток или их отсутствие (менее 30 %, чаще 1 -2 %); • отсутствие «лейкемического провала» , то есть наличие промежуточных форм клеток (промиелоциты и миелоциты); • базофильно-эозинофильная ассоциация, то есть одновременное наличие базофилии и эозинофилии; • медленнопрогрессирующая анемия с увеличением скорости своего развития в период своего обострения.
Сравнительный анализ лабораторных данных при остром и хроническом лейкозах. • • большое количество бластных клеток и их преимущество (более 30 %, чаще 60 -90 %); «лейкемический провал» — исчезновение промежуточных форм клеток на фоне большого количества бластов; одновременное наличие абазофилии и анэозинофилии; быстропрогрессирующая анемия. • • небольшое количество бластных клеток или их отсутствие (менее 30 %, чаще 1 -2 %); отсутствие «лейкемического провала» , то есть наличие промежуточных форм клеток (промиелоциты и миелоциты); базофильно-эозинофильная ассоциация, то есть одновременное наличие базофилии и эозинофилии; медленнопрогрессирующая анемия с увеличением скорости своего развития в период своего обострения.
Хронический миелолейкоз. • Хронический миелолейкоз – увеличение содержания в крови больного нейтрофилов и их предшественников. • У 95% больных обнаруживается взаимная транслокация онкогена ABL между длинными плечами хромосом 9 и 22 (t (9, 22)- ген BCR-ABL. Причины неизвестны. • • Ген BCR-ABL обладает высокой тирозин-киназной активностью. • Потеря массы тела, лихорадка, потливость по ночам, кожный зуд, боли в левом подреберье. • Спленомегалия, гепатомегалия. • Ан крови - лейкоцитоз, нейтрофилез, миелоциты.
Лейкозы. Иммуно-фенотипирование.
Иммунофенотипирование лейкозов. • Инкубирование бластных клеток с моноклональными антителами. • Исследование с проточной цитофлюорометрией. • M 0 CD 13 CD 33 • M 7 CD 41 CD 13 –аминопептидаза, CD 33 – функция неизвестна (Му 10); CD 41 - IIa/III • CD 13 CD 14 CD 34 прогноз неблагоприятный
Хронический миело - моноцитарный лейкоз. Иммунофенотипирование. Проточная цитофлоуметрия после инкубирования с моноклональными антителами. • 14% - незрелые (immature) моноциты (бластные и промоноциты) • 26 % -зрелые (mature) моноциты
Хронический миело - моноцитарный лейкоз
Хронический миелобластный лейкоз
ЛИМФОЛЕЙКОЗЫ.
Хронический лимфолейкоз. Увеличение лимфатических узлов шеи, подмышечных лимфоузлов. Геморрагии на коже, увеличение печени и селезенки.
Хронический лимфолейкоз. В-лимфоциты на разных стадиях дифференцировки • 1 - пролимфоциты • 2 – иммунобласты • 3 – малые лимфоциты • 4 – большой лимфоцит
Хронический лимфолейкоз
Лимфогранулематоз. Стадии развития опухолевого процесса.
Лимфогранулематоз. Клетки Рид-Штернберга в пунктате из лимфоузла.
3 к Лейкозы.pptx