поликистоз почек.ppt
- Количество слайдов: 53
Кафедра нефрологии и эфферентной терапии МАПО Санкт-Петербург 2006
КЛАССИФИКАЦИЯ ПОЛИКИСТОЗА • новорожденных и детей (диффузные кистозные расширения, окаймлены плоским или кубическим эпителием, малоизмененная паренхима только под капсулой. Нефроны развиты удовлетворительно, аномальны собирательные трубочки (I тип). Кисты в печени, легких, поджелудочной железе и т. д. ) • взрослых • медуллярная кистозная болезнь (нефронофтиз Фанкони); • мультикистозная почка – II тип, нефроны редки или отсутствуют, количество делений собирательных трубочек резко снижено, а слепой конец большинства из них расширен; • сегментарная кистозная дисплазия –врожденная обструкция мочевыводящих путей IV тип; • очаговые кисты (солитарные, парапельвикальные и т. д. ) • приобретенная кистозная болезнь (диализная)
новорожденных и детей
Солитарные (простые) кисты
мультикистозная почка
приобретенная кистозная болезнь (диализная)
Молекулярные механизмы поликистоза почек
mechanisms of disease Polycystic Kidney Disease Patricia D. Wilson, Ph. D. n engl j med 350; 8, 2004
Формирование кист при поликистозной болезни почек
Семейный нефронофтиз Клиника: полиурия, электролитныенарушения, замедление роста, анемия, прогрессирующая почечная недостаточность. Медуллярная кистозная болезнь Клиника: полиурия, электролитные расстройства. В отличие от нефронофтиза, медуллярная кистозная болезнь наследуется по аутосомнодоминантному типу, клинически мягче, первые клинические проявления во взрослом возрасте.
ПОЛИКИСТОЗНАЯ БОЛЕЗНЬ Поликистозная болезнь, известна также под названием аутосомно-доминантная поликистозная болезнь взрослых (АДПБВ), представляет собой наследственное заболевание, относящееся к группе кистозных болезней почек. Поликистоз взрослых — самая частая форма из этой группы почечных болезней. Частота его в популяции составляет приблизительно 1: 1000 населения, что соответствует выявлению около 6000 новых случаев болезни в год в таких странах, как Россия и США.
Аутосомнодоминантная поликистозная болезнь почек
Кисты в почках и печени являются определяющим фактором для всей группы кистозных болезней. Кисты представляют собой наполненные жидкостью структуры различной величины, выстланные одним слоем измененного канальцевого эпителия. Кисты обнаруживают: в корковом и мозговом слое почек, в области лоханок почек и окололоханочной области, реже на полюсах почки. Размер кист и количество жидкости в них широко варьируют: малые кисты (менее 2 мм в диаметре) содержат, как правило, не более 3 мл жидкости, в то время как в больших кистах количество жидкости может исчисляться литрами.
По мере прогрессирования болезни число кист возрастает, увеличиваются их размер и соответственно размер почек, поверхность которых становится неровной, похожей на “виноградную кисть”. Почки при поликистозе могут достигать в длину 40 см и весить более 8 кг [Пытель Ю. А. , 1995].
Поликистозная болезнь — генетически детерминированное заболевание которое наследуется по аутосомно-доминантному типу. Вероятность развития заболевания у детей, родители которых страдают поликистозом почек, составляет 50 %. Нет различий в наследовании болезни в зависимости от того, является ли носителем патологического гена отец или мать, равным образом нет половых различий и при наследовании самого заболевания.
Этиология поликистоза взрослых и механизм кистообразования в настоящее время окончательно не определены. Важнейшими звеньями этого процесса являются: • клеточная пролиферация, приводящая к обструкции канальцев, повышению внутри -канальцевого давления и растяжению канальцев [Klingel R. et al. , 1992]; • наследственная нарушенная растяжимость базальной мембраны канальцев, приводящая к расширению канальца даже при наличии нормального внутриканальцевого давления [Wilson P. D. et al. , 1993]; • избыточное накопление жидкости, которое связано с нарушенной полярностью натриевого насоса и соответствующим поступлением натрия внутрь кисты, а не в кровь, а также с продукцией эпителиальными клетками кист нейтральных жировых телец, которые способствуют накоплению жидкости внутри кисты.
В настоящее время различают несколько генетических вариантов АДПБВ. Первый (тип 1) — наиболее часто встречающийся вариант — выявляют примерно у 85 % всех больных. Он связан с дефектом гена в коротком плече 16 -й хромосомы. Второй вариант (тип 2) с частотой выявления 10 — 15 % определен дефектом гена в 4 -й хромосоме [Kimberling WJ. et al, 1993]. Предполагается существование и поликистоза типа 3, хотя убедительных данных о локализации патологического гена пока не получено [Daoust M. С. , 1995].
Локализация генных нарушений влияет на естественное течение поликистоза взрослых: при типе 1 наблюдается самый быстрый темп развития почечной недостаточности. При типах 2 и 3 течение поликистоза благоприятно и развитие терминальной почечной недостаточности выявляют в возрасте больных старше 70 лет [Ravine D. et al. , 1992].
Кисты печени — обнаруживаются в 38— 65 % случаев. У женщин кисты в печени развиваются чаще, чем у мужчин, что связывают с воздействием женских половых гормонов. В подавляющем большинстве случаев кисты печени не проявляются клинически и не влияют на функцию органа. Но они чаще всех являются источником кровотечения в ретроперитонеальное пространство. В сравнении с общей популяцией при поликистозе в 5 раз чаще обнаруживают дивертикулы в кишечнике и грыжи [Scheff R. T. et al. , 1980].
Частота поражения сосудов головного мозга с развитием аневризм (8— 10 %). Вдвое чаще встречается у больных поликистозом почек при наличии у них отягощенной наследственности (аневризмы сосудов головного мозга у родственников). Разрыв аневризм с развитием субарахноидальных кровотечений — частая причина смерти этих больных в возрасте до 50 лет. По данным G. K. Gick и соавт. (1995), 12 % больных поликистозом почек погибают от неврологических осложнений, при этом 6 % больных — от субарахноидального кровотечения.
Риск разрыва аневризмы возрастает по мере увеличения ее размера и считается высоким при аневризме, превышающей 10 мм [Weibers D. et al. , 1987], Наличие аневризмы такого размера считается показанием к оперативному лечению. С помощью магнитно-резонансной томографии можно диагностировать аневризмы сосудов головного мозга размером менее 5 мм [Black W. C. , 1994]. Этот метод рекомендуют в качестве скринингового при обследовании лиц с отягощенной наследственностью (цереброваскулярные осложнения).
Первые клинические признаки АДПБВ, как правило, развиваются в возрасте около 40 лет, однако начало болезни может быть как более ранним (до 8 лет), так и более поздним (после 70 лет). Чаще всего клиническими симптомами проявляются: • Боль в брюшной полости (чаще у женщин) • Головная боль • Гематурия (чаще микрогематурия) • Артериальная гипертензия (ишемический компонент + РАС) • Протеинурия (не более 1 гр/сутки) • Инфекция мочевых путей и инфицирование почечных кист • Снижение относительной плотности мочи • Нефролитиаз (уратные, оксалатные или кальциевые камни) • Кровотечение в кисты или ретроперитонеальное пространство • Полицитемия (повышенное образование эритропоэтина)
Боль в брюшной полости, чаще развивающаяся у женщин, возникает на ранней стадии болезни, может быть периодической или постоянной и различной по интенсивности. У подавляющего большинства больных боль достаточно интенсивна и часто вынуждает больных принимать большое количество анальгетиков, в том числе нестероидных противовоспалительных препаратов, которые в подобной ситуации могут гипертензии и интенсивность анальгетиков. способствовать снижению болей Генез развитию почечных артериальной функций. Нередко требует введения наркотических болевого синдрома связывают растяжением капсулы почек. с
Гематурия, чаще микрогематурия, — второй ведущий симптом поликистоза. Однако более чем у трети больных течение периодическими болезни эпизодами осложняется макрогематурии. Провоцирующими факторами их развития могут быть даже незначительная травма или массивная физическая нагрузка. Увеличивается частота макрогематурии у больных с резко увеличенными почками и при наличии высокой артериальной гипертонии. Наличие этих факторов следует рассматривать как риск развития почечного кровотечения. Причинами гематурии являются также истончение или разрывы сосудов в стенке кисты, инфаркты почки, инфекция или пассаж почечных камней.
Артериальная гипертония выявляется у 60 % больных поликистозом почек до развития у них хронической почечной недостаточности. Повышение артериального давления может быть первым клиническим признаком поликистоза почек и развиваться уже у подростков; по мере увеличения возраста частота артериальной гипертензии увеличивается. Потеря циркадного ритма АД с сохранением его высоких значений или даже повышением в ночные и ранние утренние часы — характерная черта артериальной гипертонии при поликистозе почек также оказывается повреждающее действие на такие органы-мишени, как сердце, вызывая развитие гипертрофии левого желудочка и недостаточность его кровоснабжения, что создает угрозу развития инфаркта миокарда, а также на почки, значимо ускоряя темп прогрессирования почечной недостаточности.
Генез артериальной гипертонии в первую очередь связывают с ишемическим компонентом, ведущим к активации ренин-ангиотензи-новой системы (РАС). Показано, что сдавление соседними кистами почечных сосудов вызывает повышенное образование в почках ренина с активацией как системной, так и локально-почечной РАС. Приводятся сообщения и о атипичной локализации продукции ренина в почках [Harrap S. B. et al. , 1991]. Другим звеном патогенеза артериальной гипертонии является задержка натрия в организме. Несмотря на присущую поликистозу почек инверсию полярности натриевого насоса, в последние годы доказан факт почечной ретенции натрия при этой патологии [Schmid M. et al. , 1990; Schwenger V. , Zeier M. , 1999].
Протеинурия при поликистозе почек: • невелика (до 1 г в сутки). Умеренная или выраженная. • протеинурия ускоряет развитие почечной недостаточности и ухудшает длительный прогноз больных поликистозом. Примерно у 60 % больных в моче определяют липидные тельца, местом происхождения которых считают неповрежденные кистами почечные канальцы или сообщающиеся с канальцами малые кисты [Duncan K. A. et al. , 1985].
Инфекция мочевых путей осложняет течение болезни примерно в 50 % случаев. У женщин она развивается чаще, чем у мужчин. При поликистозе почек инфекция мочевых путей может проявляться циститом и пиелонефритом. Развитие высокой лихорадки, усиление болевого синдрома, появление пиурии без лейкоцитарных цилиндров, а также нечувствительность к стандартной для пиелонефрита терапии свидетельствуют в пользу проникновения инфекции внутрь почечных кист. Подтвердают диагноз данные ультразвукового исследования, сканирования с галлием или результаты компьютерной томографии почек.
Кровотечения в кисты или ретроперитонеальное пространство клинически, как правило, проявляются макрогематурией и болевым синдромом. Причинами их развития могут быть высокая гипертензия, физическая нагрузка либо травма брюшной полости. При соблюдении охранительного режима эпизоды кровотечений в кисты чаще всего проходят самостоятельно. При подозрении на кровотечение в ретроперитонеальное пространство проводят ультразвуковую диагностику, компьютерную томографию или ангиографию. При подтверждении кровоизлияния в ретроперитонеальное пространство нередко возникает необходимость в хирургическом вмешательстве.
Инфекция мочевых путей является основным фактором риска инфицирования почечных кист, реже источником инфицирования является гематогенная инфекция. В большинстве случаев в кистах выявляют грамотрицательную флору. Трудности при лечении инфицированных кист обусловлены необходимостью проникновения антибактериального вещества внутрь кисты. Этими свойствами обладают лишь липофильные антибактериальные препараты — ципрофлоксацин (квинтор, ципробай), бактрим (бисептол), клиндамицин и левомицетин, в то время как аминогликозиды и пенициллины с трудом проникают в кисты, не накапливаясь в них, и поэтому неэффективны.
Нефролитиаз осложняет течение поликистоза почек более чем у 20 % больных [Schwenger V. , Zeier M. , 1999]. Чаще всего при поликистозе обнаруживают уратные, оксалатные или кальциевые камни. Причинами их образования являются нарушения в метаболизме и в пассаже мочи. Частым осложнением поликистоза почек является полицитемия. Генез ее связывают с избыточной продукцией мозговым веществом почки эритропоэтина [Eckardt K. U. et al. , 1989]. Эритроцитоз при поликистозе играет двойную роль, с одной стороны, очевидна его защитная функция от развития при ХПН и ТПН анемии, с другой — это фактор риска развития тромботических осложнений.
При исследовании почечных функций обращают на себя внимание возникающие на самых ранних этапах болезни снижение относительной плотности мочи, развитие полиурии и никтурии [Gabow P. A. et al. , 1989]. В основе нарушений концентрационной функции почек лежит не столько наличие самих кист в мозговом слое почек, сколько структурные изменения в канальцах и интерстиции [Grantham J. J. , 1997].
В течение многих лет считалось, что поликистоз часто осложняется развитием в почках опухолей. Однако при сравнении частоты встречаемости почечных новообразований в общей популяции и у больных поликистозом почек существенной разницы не обнаружено [Schwenger V. , Zeier M. , 1999]. Высокая предрасположенность к опухолеобразованию в настоящее время доказана в отношении больных уремией, длительно леченных хроническим гемодиализом. Через 10 лет подобного лечения у них в 100 % случаев развивается приобретенная кистозная болезнь с крайне высокой частотой трансформации в опухоль почки [Huang X. et al. , 1999].
Прогрессирование почечной недостаточности при поликистозе почек. У подавляющего большинства больных поликистозом почек до 30 лет функциональное состояние почек сохраняется нормальным. В последующие годы практически у 90 % больных развивается различной степени выраженности почечная недостаточность. У половины из них терминальная почечная недостаточность (ХПН), требующая заместительной терапии, развивается после 60 лет [Churchill D. N. et al. , 1984] и у половины больных она выявляется намного раньше. По данным N. Gretz и др. (1989), у мужчин потребность в лечении гемодиализом возникает на 5— 7 лет раньше, чем у женщин, — в среднем в возрасте 52, 5 года, в то время как у женщин — в 58, 1 года. Объяснение подобных различий лежит в особенностях генетики при этой патологии — генетически детерминировано развитие почечной недостаточности в зависимости от генотипа поликистоза почек, пола и расы.
При типе 1 поликистоза почек ТПН развивается на 10 — 12 лет раньше, чем при поликистозе типа 2. Молекулярная основа этих различий пока не выяснена, но клинические данные свидетельствуют, что при поликистозе типа 2 кисты в почках развиваются позднее, а артериальная гипертония менее выражена [Ritz Е. et al. , 1996]. Более высокий темп прогрессирования почечной недостаточности отмечен у лиц черной расы. Среди механизмов прогрессирования поликистоза почек активно обсуждаются еще 3 гипотезы: • роль компрессионной атрофии (сдавление функционирующей почечной ткани кистами); • роль гиперперфузии и внутригломерулярной гипертонии; • роль артериальной гипертонии.
Роль компрессионной атрофии почечной ткани как ведущего фактора прогрессирования почечной недостаточности в настоящее время вызывает сомнения. Получены убедительные доказательства о том, что размер и количество кист не определяют темп снижения почечных функций [Ritz E. et al. , 1996]. Декомпрессия кист не предотвращает прогрессирования и не приводит к уменьшению артериальной гипертензии [Zeier M. et al. , 1992; Elzinga L. W. et al. , 3992]. Прогрессирование почечной недостаточности определяется состоянием неповрежденной почечными кистами почечной ткани. При этом от темпа развития в ней склеротических и фиброзных изменений зависит активность выделяемых в процессе межклеточных взаимодействий молекулярных медиаторов -протоонкогенов, факторов роста, хемокинов, металлопротеиназ и тл. [Schwenger V. , Zeier M. , 1999]. Наряду с молекулярными медиаторами в прогрессировании поликистоза взрослых большое значение в последние годы стали придавать апоптозу [Savill J. et al. , 1996].
• При аутосомно-доминантной и аутосомнорецессивной поликистозной болезни почек апоптоз персистирует и может разрушать большинство нормальной почечной паренхимы, таким образом позволяя пролиферировать кистозному эпителию. • У мышей инактивация ингибитора апоптоза (bcl-2) вызывала развитие поликистозной болезни. Woo D. Apoptosis and loss of renal tissue in polycystic kidney diseases. N Engl JMed 1995; 333: 18 -25. • Эпидермальный ростовой фактор играет важную роль в прогрессировании поликистозной болезни (увеличение кист). Bcl-2 -deficient mice demonstrate fulminant lymphoid apoptosis, polycystic kidneys, and hypopigmented hair. Cell 1993; 75: 229 -40.
Подвергнута сомнению и роль гиперперфузии почечных клубочков с развитием в них гиперфильтрации [Zeier M. et al. , 1992]. Гистоморфологическим эквивалентом гиперперфузионного поражения почек является фокальносегментарный гломерулосклероз (ФСГС). При поликистозе почек ФСГС выявляют крайне редко (менее чем у 5 % больных); основными морфологическими изменениями в почках являются склероз сосудов и клубочков почек и интерстициальный фиброз с наличием инфильтратов в интерстиции или без таковых [Grantham J. , 1997; Schwenger V. , Zeier M. , 1999]. Несостоятельность этой теории подтверждают также наблюдения, в которых почечная недостаточность не ускорялась после удаление одной из почек [Zeier M. et al. , 1992]. В условиях гиперперфузионного поражения почек удаление одной из них сопровождается резким снижением почечных функций оставшейся почки.
Артериальная гипертония. Механизм воздействия высокого АД на функцию почек при поликистозе почек не отличается от такового при другой почечной патологии
Диагноз ставится на основании: • анамнеза • клинической картины заболевания • данных объективного и инструментального обследования
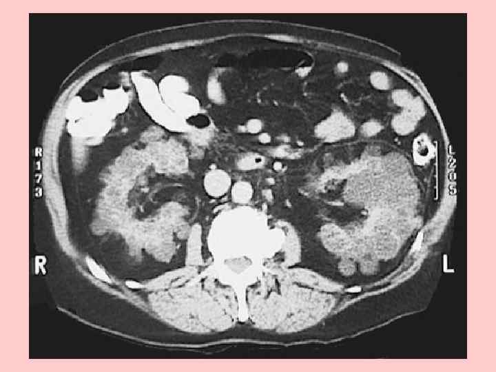
В основе инструментальной диагностики этого заболевания лежит выявление кист — основного клинического маркера поликистоза почек. С этой целью в настоящее время широко используют современные методы диагностики почечных кист — ультразвуковое исследование, сцинтиграфию и компьютерную томографию. При ультразвуковом исследовании и сцинтиграфии выявляются кисты размером более 1, 5 см, при компьютерной томографии — более мелкие (от 0, 5 мм).
Для лиц с отягощенной наследственностью критерием диагноза является один из приведенных ниже вариантов соотношения количества кист в почках и возраста, даже при отсутствии клинических признаков болезни [Ravine D. et al. , 1994]: • наличие 2 кист в одной или обеих почках в возрасте до 30 лет; • наличие по 2 кисты в каждой почке в возрасте 30— 59 лет; • наличие не менее 4 кист в каждой почке в возрасте старше 60 лет.
Ни использование малобелковой диеты, ни строгий контроль АД (АДСр обычно менее 92 мм рт. ст. у больных 18— 60 лет и менее 98 мм рт. ст. у больных старше 60 лет) не оказались эффективными в замедлении темпа падения почечных функций. Лечение больных в стадии терминальной почечной недостаточности включает в себя использование хронического гемодиализа и трансплантации почки. Выживаемость больных, находящихся на гемодиализе, и после трансплантации почек практически не отличается от таковой при других хронических диффузных заболеваниях почек [Singh S. , Hariharan S. , 1991].
поликистоз почек.ppt