КТ в диагностическом процессе (3 курс).ppt
- Количество слайдов: 73
Кафедра лучевой диагностики и лучевой терапии НГМА. 2005 г. Компьютерная томография Д. м. н. , профессор А. П. Дергилев.
Компьютерная томография – послойное рентгенологическое исследование, основанное на компьютерной реконструкции изображения, получаемого при круговом сканировании объекта узким пучком рентгеновского излучения.
Годфри Хаунсфилд в 1972 г. завершил разработку первого компьютерного томографа. В 1979 году Хаунсфилду присуждена Нобелевская премия
С появлением компьютерного томографа стало возможным визуализировать тканевые структуры головного мозга
Принцип метода КТ üИсследуемый объект послойно просвечивается тонким рентгеновским лучом с различных направлений при движении рентгеновской трубки вокруг данного объекта. üНепоглощенная часть рентгеновского излучения регистрируется с помощью специальных детекторов, сигналы от которых поступают в компьютер.
Процесс получения КТ изображения содержит три основных этапа: üизмерение, üреконструкция, üвизуализация. В настоящее время КТ можно использовать для визуализации любой части тела!
Измерение происходит с помощью вращения узкого коллимированного пучка рентгеновского излучения от излучателя, расположенного по одну сторону объекта, и высокочувствительной системы детекторов, находящейся по другую сторону.
В современных КТ установках выделяют несколько узлов: üГенератор высокого напряжения; üГентри (gantry – англ, станина), в котором расположены рентгеновская трубка и детекторы; üСтол-транспортер; üКомпьютер üКонсоль для управления процессом сканирования; üСредства для архивации изображения (оптические и лазерные диски и др. ).
ТИПЫ КТ УСТАНОВОК ü Первое и второе поколения: ротационно-трансляционные (рентгеновская трубка и несколько детекторов жестко укреплены на прямоугольной раме). ü Третье поколение: сканирование объекта осуществляется широким веерообразным пучком рентгеновских лучей, который полностью перекрывает тело пациента. ü Четвертое поколение: детекторы жестко укреплены по всей окружности рамы сканирующего устройства, внутри которой вращается только рентгеновская трубка. ü Пятое поколение: функцию рентгеновской трубки выполняет компактный линейный ускоритель электронов - формирование и пространственная ориентация электронного пучка (кардиология).
Один ряд детекторов
4 параллельных ряда детекторов
1 – электронная пушка, 2 – пучок электронов, 3 – магнитные фокусирующие и отклоняющие катушки, 4 – система сбора данных, 5 – детекторы, 6 – рентгеновское излучение, 7 – стол, 8 – дугимишени, 9 – коллиматоры, 10 – вакуум
5 – детекторы 6 – рентгеновское излучение 10 – вакуум 11 - предусилители 12 - дуга-мишень 13 – коллиматор 14 – область томографии 15 – направление перемещения фокуса пучка электронов
Gentry Ход движения стола
Традиционная КТ üОбязательная остановка рентгеновской трубки после каждого цикла вращения; üЗадержка дыхания на период сканирования; üШаг стола составляет 1 -20 мм; üДлительность исследования (15 -25 мин).
Спиральная КТ üНепрерывное вращение рентгеновской трубки вокруг объекта и непрерывное поступательное движение стола с пациентом üЗначительное ускорение процесса сканирования (15 -20 сек) üПринцип объемного сканирования, позволяющий получить непрерывный объем данных при исследовании выбранной анатомической области üШаг стола 0, 5 – 2 мм
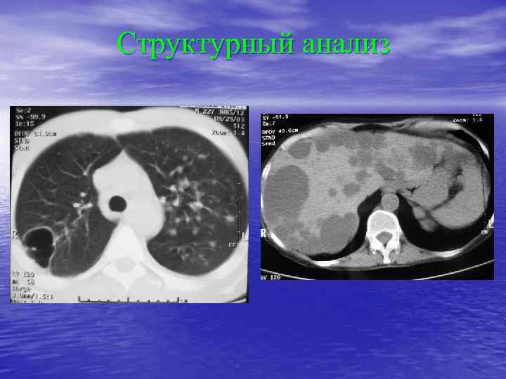
Анализ изображения: üструктурный (анатомический) - оценка морфологии üденситометрический - оценка плотности ткани
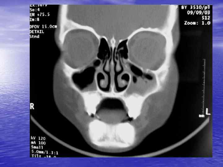
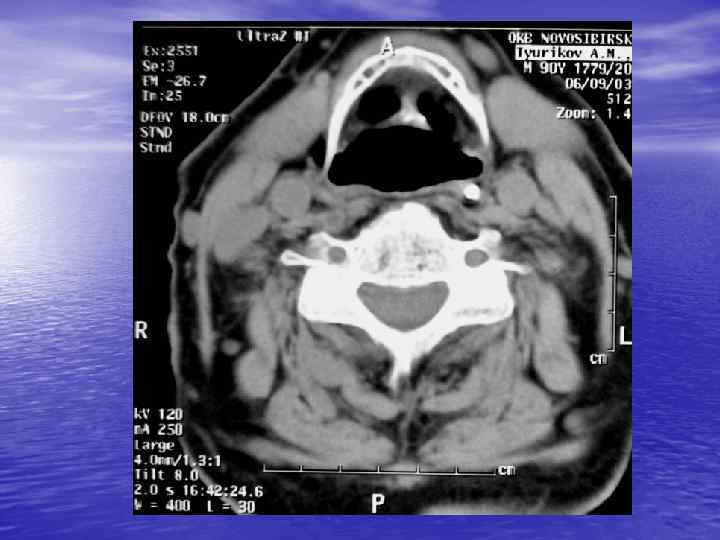
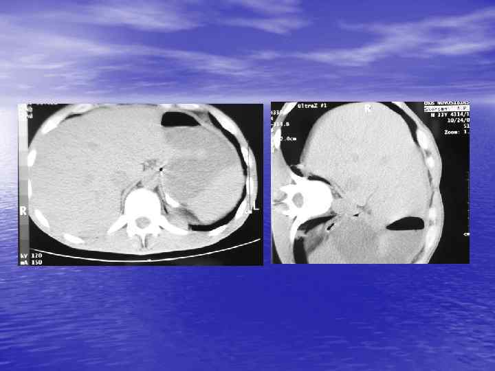
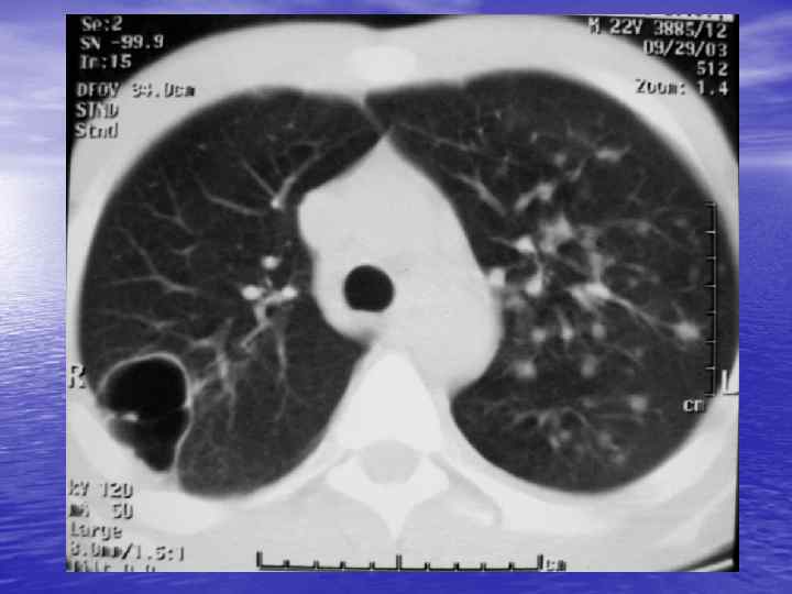
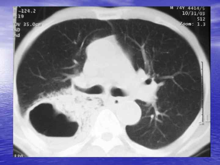
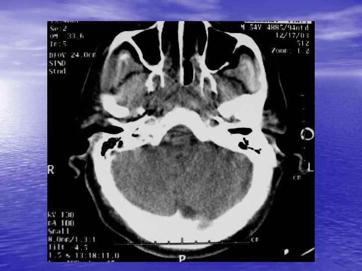
Структурный анализ Оценка основных макроскопических признаков: - положение - форма - размеры - характер контуров и структур патологически измененных участков
Структурный анализ
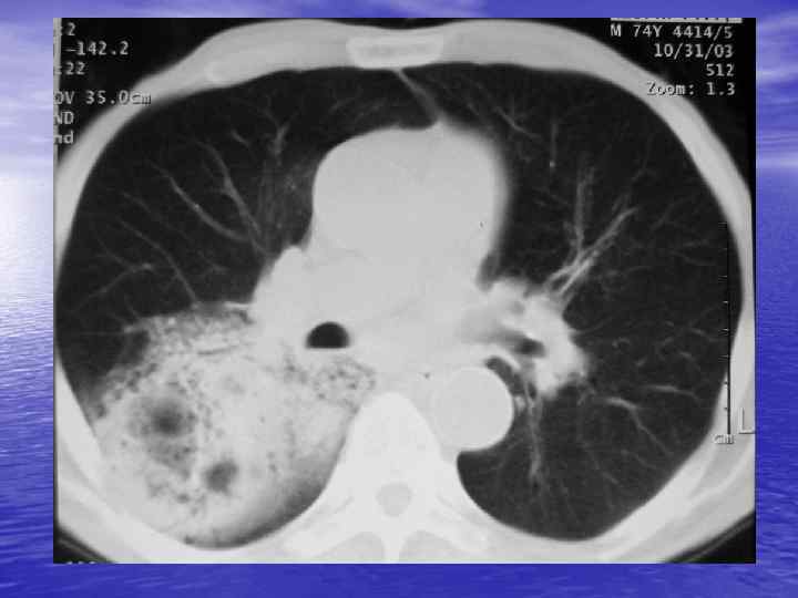
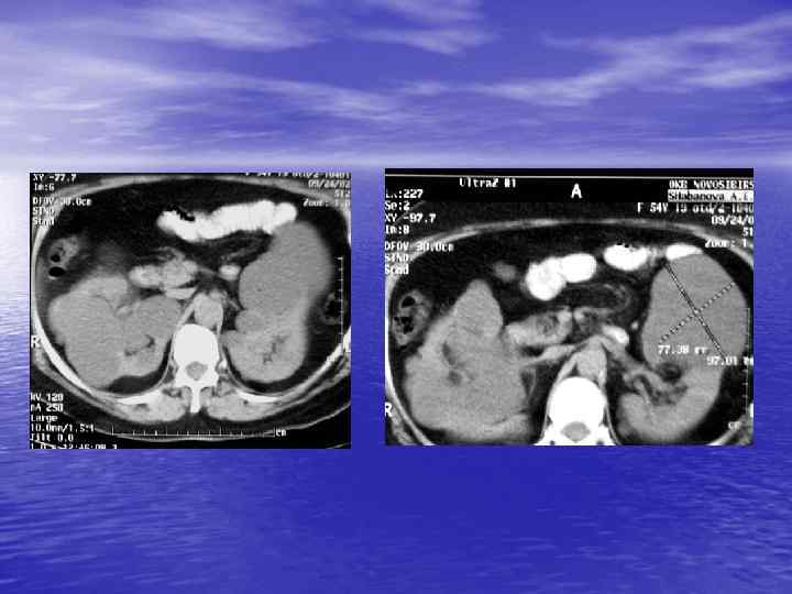
Денситометрический анализ Определение основных видов патологических образований: - обызвествленных - мягкотканных - жидкостных - жиросодержащих - воздухсодержащих
Денситометрия
Шкала Хаунсфилда (HU) üЗа ноль принят коэффициент ослабления воды üНижняя граница (-1000 HU) соответствует коэффициенту ослабления воздуха. üВерхняя граница шкалы вариабельна, так как она соответствует коэффициенту ослабления кортикального слоя кости (+1000 НU).
Электронные окна üОкном (Window) называют определенную часть шкалы Хаунсфилда, которой соответствует перепад величины яркости экрана от белого до черного. üШирина окна (Window Width, WW) — это величина разности наибольшего и наименьшего коэффициента ослабления, отображаемых данным перепадом яркости от белого до черного цвета. üУровень окна (Window Level, WL) — это величина коэффициента ослабления, соответствующая середине окна. Изменение уровня окна позволяет перемещать его в сторону больших или меньших значений чисел Хаунсфилда.
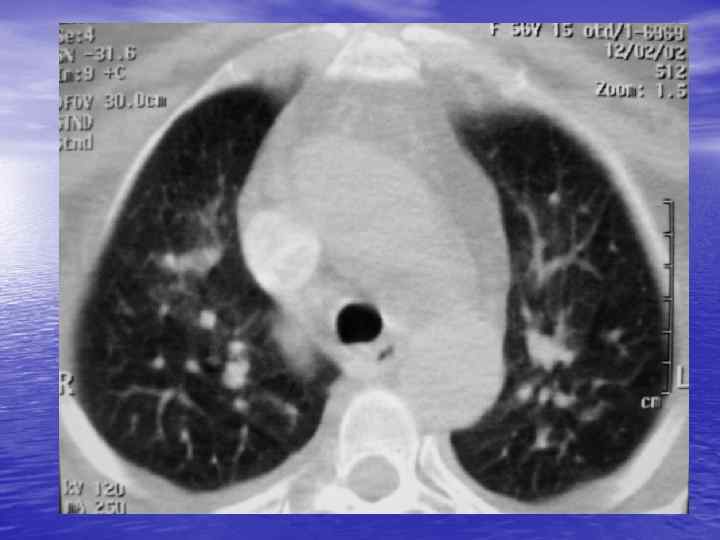
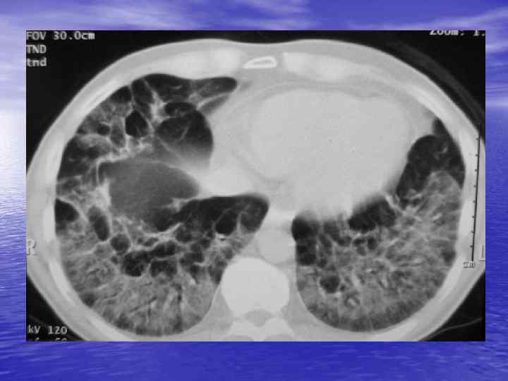
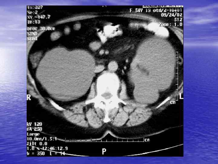
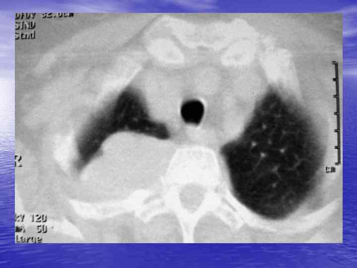
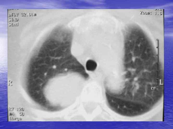
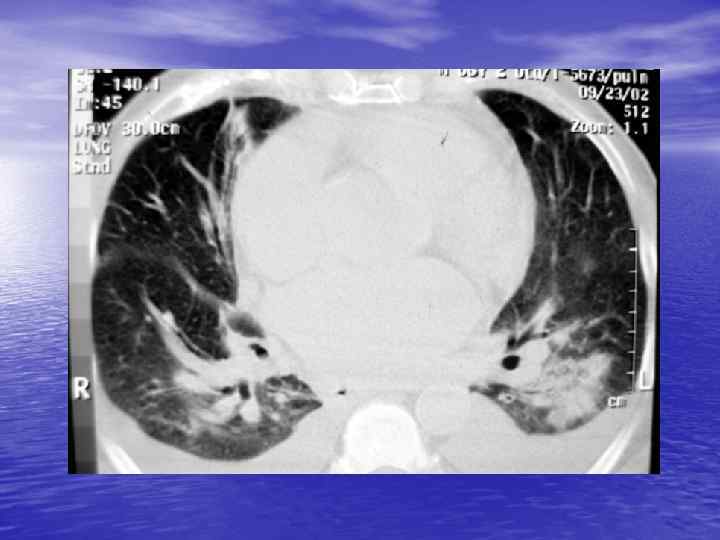
Характеристика основных электронных окон Электронное окно WINDOW Уровень окна Ширина окна Мягкотканное Soft +40 500 Легочное Lung -800 1000 Плевральное Pleural -650 -150 1500 -2000 Костное Вone +150+350 1000 -2000
Преимущества спиральной КТ: ü Возможность проведения исследования с болюсным ü ü ü ü ü контрастированием Высокая разрешающая способность; Высокая скорость исследования; Получение высококачественных изображений костных структур; Возможность обследования всего тела; Возможность проведения исследования больных под наркозом; Возможность детальной оценки состояния крупных и периферических сосудов в условиях искусственного контрастирования; Высокая информативность метода при черепномозговых травмах в остром периоде; Ранняя диагностика ишемических и геморрагических инсультов; Метод выбора для диагностики заболеваний легких; Планирование лучевой терапии.
недостатками КТ являются: ü Высокая лучевая нагрузка на пациента. ü Необходимость применения ü ü водорастворимых йодсодержащих контрастных препаратов. Отсутствие визуализации спинного мозга. Затруднение визуализации задней черепной ямки, краниовертебрального перехода.
рентгенотопограмма
Благодарю за внимание!


