Ишемическая болезнь сердца 2009.ppt
- Количество слайдов: 57
Ишемическая болезнь сердца.
Коронарные артерии – мышечноэластического типа, являются проводниковыми артериями, распределяющими кровоток в миокарде. Имеют выраженную внутреннюю эластическую мембрану. Ø Здоровый человек имеет значительный резерв усиления коронарного кровотока ( в 48 раз) Ø
Coronary Arteries
Атеросклероз коронарных артерий Ø Атеросклероз преимущественно поражает крупные эпикардиальные ветви коронарных артерий. Ø Уменьшение кровотока через суженные крупные артерии приводит к дилятации периферических сосудов, компенсирующих снижение перфузии. Клинические проявления ишемии обычно возникают при стенозе более 75% просвета сосуда. Ø При условии низкой оксигенации кислородом миокарда (гипотония, шок, анемии и т. д. ), ишемия может развиться при незначительном сужении просвета коронарной артерии
Атеросклероз коронарных артерий Ø В норме коллатерали между артериями закрыты из -за равного давления. При окклюзии, давление снижается и анастомозы открываются. Ø Выраженные коллатерали развиваются при значительном атеросклерозе коронарных артерий. Ø Степень развития коллатералей определяет распространенность инфаркта Ø Особенности коллатерального кровотока могут определять атипичность локализации инфаркта
Стенокардия Ø Ø Ø Стенокардия – приступ загрудинных болей, связанных с ишемией миокарда. Стабильная стенокардия нагрузки или покоя Нестабильная стенокардия – нарастание частоты и интенсивности болевых приступов. Обычно связана с осложненной атеросклеротической бляшкой. Вариантная (вазоспастическая, Принцметала) стенокардия Морфология: структурных изменений может не быть, редко формируется ишемическая кардиомиопатия. При нестабильной стенокардии возможны мелкие очаги некрозов, на месте которых образуются рубцы
Атеросклероз коронарной артерии
Атеросклероз артерий сердца
Стенозирующий атеросклероз артерий сердца
Атеросклероз коронарной артерии
Коронарная артерия
Atheroma Coronary Artery:
Atheroma Coronary Artery:
Острая ишемическая болезнь сердца Ø Стенокардия Ø Острый инфаркт миокарда Ø Внезапная сердечная смерть
Кровоизлияние в атеросклеротическую бляшку в коронарной артерии
Обтурирующий тромб в коронарной артерии
Тромб в коронарной артерии и инфаркт миокарда
Атеросклероз коронарных артерий с тромбами
Thrombosis Coronary Artery:
Атеросклероз коронарной артерии
Отличие субэндокардиального и трансмурального инфаркта миокарда Субэндокардиальный инфаркт поражает внутренную треть или половину стенки левого желудочка. Он может захватывать территорию кровоснабжения как одной ветви коронарной артерии так и множества ветвей. Субэндокардиальный инфаркт результат снижения перфузии миокарда. Выраженный атеросклероз и тромбы могут отсутствовать. Нет перикардита, анверизмы сердца. Нет зубца Q Ø Трансмуральный инфаркт – результат выраженной окклюзии коронарной артерии. Обычно четко отграничен. Возможен перикардит и аневризма сердца. Есть зубец Q. Ø
Инфаркт миокарда не возникает внезапно! Это динамический процесс. Некроз начинается с субэндокардиальной зоны и распространяется волной в сторону эпикарда.
Острый инфаркт миокарда
Инфаркт миокарда
Инфаркт миокарда (3 дня)
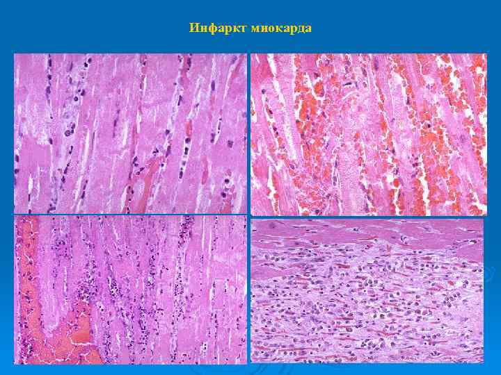
Динамика развития изменений в миокарде при инфаркте 6 часов ранние изменения – отек интерстиция, паретическое полнокровие капилляров и небольшие кровоизлияния по периферии инфаркта миокарда, в мышечных волокнах изменения минимальны. В дальнейшем отек нарастает и держится 1, 5 -2 дня. Ø 12 часов микроскопические признаки гибели мышечных волокон – набухание, смазанность поперечной исчерченности, эозинофилия, фуксинофилия, пикноз ядер. Ø 24 -48 ч наиболее отчетливые признаки гибели мышечных волокон, их гомогенизация, прозрачный стекловидный вид, распад саркоплазмы на отдельные глыбки, появление капель нейтральных липидов, особенно по периферии инфаркта. Впоследствии происходит распад некротизированных мышечных волокон и резорбция их (миомаляция). Ø Иногда часть мышечных волокон в зоне некроза сохраняется (точки роста в дальнейшем). Ø
Динамика развития изменений в миокарде при инфаркте Единичные лейкоциты можно видеть через 6 часов. К 48 ч обильные скопления лейкоцитов. Нейтрофилы преобладают с 3 -5 дня, но уже с 3 суток начинается процесс их гибели и распада. К 10 -12 дню следы лейкоцитарной реакции исчезают. Ø Макрофаги появляются с 4 дня по периферии ИМ кнаружи от лейкоцитарного вала. К 6 неделе они достигают максимума. Могут сохраняться до 2 лет. Ø 4 -5 день появление лимфоидных клеток, 7 -8 плазматические, максимум к 3 неделе. Ø Эозинофилы к 8 -9 дню. Максимум на 12 -15 сутки. Расцвет грануляционной ткани к 10 -25 дню. Коллагеновые волокна на 7 -8 сутки. Ø
Электронно-микроскопические изменения
Изменения в миокарде при ишемический стадии инфаркта миокарда
Инфаркт миокарда, давность 4 -12 часов
Инфаркт миокарда 18 -24 часа
Инфаркт миокарда, некротическая стадия
Инфаркт миокарда
Дополнительные методы диагностики 1. ЭКГ – изменения имеются у 85% больных, но мало специфичны. Диагностически значимые изменения развиваются у 50 -65% пациентов через 1 -2 суток от начала ОИМ. Ø 2. Тропонин I – 4 ч Ø 3. Миоглобин – 4 ч Ø 4. Креатинкиназа – 6 ч Ø 5. Ас. Т – 12 ч Ø 6. ЛДГ – 24 ч Ø 7. Эхокардиография – зоны гипокинеза Ø
Осложнения · Кардиогенный шок, внезапная смерть · Аритмия · · · Острая левожелудочковая недостаточность, отек легких Пристеночные тромбы, тромбоэмболии Острая аневризма сердца, истинный разрыв сердца Перикардит Синдром Дресслера (боль в груди, шум трения перикарда, лихорадка, артралгии)
Разрыв сердца при инфаркте миокарда
Разрыв миокарда
Разрыв миокарда
Гемоперикард
Пристеночные тромбы при инфаркте миокарда
Хронические формы ИБС Ø Мелкоочаговый кардиосклероз Ø Крупноочаговый кардиосклероз (постинфарктный) Ø Хроническая аневризма сердца Ø Ишемическая кардиомиопатия
Грануляционная ткань в зоне инфаркта миокарда
Постинфарктный кардиосклероз
Хроническая аневризма сердца
Постинфарктный кардиосклероз
Постинфарктный кардиосклероз
Инфаркт миокарда
Не-атеросклеротические причины ишемии миокарда Ø 1. Васкулиты (узелковый периартериит, болезнь Кавасаки и др. ) Ø 2. Расслаивающаяся аневризма аорты Ø 3. Сифилический аортит. Ø 4. Аномалии отхождения коронарных артерий Ø 5. Погружной ход передней межжелудочковой артерии в мышце. Мышечный мостик на артерией в фазу систолы может сдавливать сосудо приводя к эпизодам ишемии Ø 6. Анемия Ø 7. Повышенная потребность миокарда в кислороде (физические нагрузки, гипертрофия сердца, гипертензия, тахикардия при лихорадке, тиреотокискозе и т. д. ) Ø
Ишемическая болезнь сердца 2009.ppt