c4af3a8ebaf75b03ef4872eec3304e25.ppt
- Количество слайдов: 27
Isabel Ortiz García. Residente de Neurocirugía Hospital Universitario Virgen de las Nieves. FACULTAD DE MEDICINA DEPARTAMENTO DE CIRUGÍA NEUROCIRUGÍA Lesión espinal cervical traumática.
ACTIVIDADES PARA EL ALUMNO - Participar en el diagnóstico y tratamiento de lesiones cervicales traumáticas. EVALUACIÓN - Interpretación del cuadro clínico correspondiente a la lesión espinal cervical. - Interpretación de pruebas complementarias. - Tratamiento inicial. FACULTAD DE MEDICINA DEPARTAMENTO DE CIRUGÍA NEUROCIRUGÍA OBJETIVOS CONCRETOS - Diagnosticar y tratar lesiones traumáticas de la columna cervical.
Caso Clínico: FACULTAD DE MEDICINA DEPARTAMENTO DE CIRUGÍA NEUROCIRUGÍA
¿Qué harías? Exploración Física -Nivel de Consciencia -Exploración Neurológica - Inspección y palpación de columna vertebral -Función motora -Función sensitiva - Reflejos FACULTAD DE MEDICINA DEPARTAMENTO DE CIRUGÍA NEUROCIRUGÍA Anamnesis Varón de 30 años de edad, sin antecedentes personales de interés, que acude al Servicio de Urgencias tras haber sufrido un accidente de tráfico al caer de su motocicleta cuando viajaba a alta velocidad. El paciente explicaba haber colisionado contra el suelo, no sabe de que modo, ya que todo ocurrió muy rápido. Acudía por su propio pie, y refería dolor localizado a la altura de la columna cervical, así como hormigueo en ambos brazos.
¿Diagnóstico localizador? Miotomas y dermatomas C 6: Músculos extensores de la muñeca Reflejos no alterados Sensibilidad cara externa del brazo ¿Qué se esta produciendo la compresión de un nervio periférico o la de un segmento medular? FACULTAD DE MEDICINA DEPARTAMENTO DE CIRUGÍA NEUROCIRUGÍA - El paciente se hallaba orientado, con un estado de consciencia de 15 puntos en la Escala de Coma de Glasgow. - Destacaba el dolor a la palpación de las apófisis espinosas de la columna cervical baja. - Dificultad para mantener el extender la muñeca contra resistencia 4/5. -Hipoestesia de la cara externa del brazo izquierdo. - Reflejos osteotendinosos simétricos no exaltados. - Reflejo cutaneoplantar flexor.
Músculos fundamentales para evaluar motricidad (Escala ASIA resumida):
¿Qué pruebas solicitarías? Inmovilización collarín rígido Toma de constantes vitales Exploración radiológica básica: - Radiografía AP - Transoral - Lateral FACULTAD DE MEDICINA DEPARTAMENTO DE CIRUGÍA NEUROCIRUGÍA ¿Qué actitud tomarías?
Radiografía Cervical
¿Qué pruebas solicitarías? Inmovilización collarín rígido Toma de constantes vitales Exploración radiológica básica: - Radiografía AP - Transoral - Lateral FACULTAD DE MEDICINA DEPARTAMENTO DE CIRUGÍA NEUROCIRUGÍA ¿Qué actitud tomarías?
Exploración Física MSD MSI MID MII Trapecio C 3 5 5 Psoas L 2 3 3 Deltoides C 4 5 5 Cuádriceps L 3 4 3 Bíceps C 5 4 4 Tibial anterior L 4 3 3 Ext. Muñeca C 6 4 4 Extensor 1º Dedo L 5 3 3 Tríceps C 7 4 3 Gemelo S 1 3 3 Flex. Común C 8 4 3 Intrínsecos D 1 4 4 - ROT : bicipitales abolidos; tricipitales y extilorradiales presentes, rotulianos presentes, aquíleos presentes. - Reflejo cutaneoplantar: extensor bilateral. FACULTAD DE MEDICINA DEPARTAMENTO DE CIRUGÍA NEUROCIRUGÍA Entra en tu consulta la enfermera encargada de la “Sala de Cuidados” donde el paciente esperaba, comentándote que este refiere presentar pérdida de fuerza progresiva en las cuatro extremidades.
¿Qué se esta produciendo la compresión de un nervio periférico o la de un segmento medular? Escala de Lesión Medular ¿Ante que tipo de lesión medular nos encontramos? Lesión medular a nivel de C 5 de tipo ASIA D
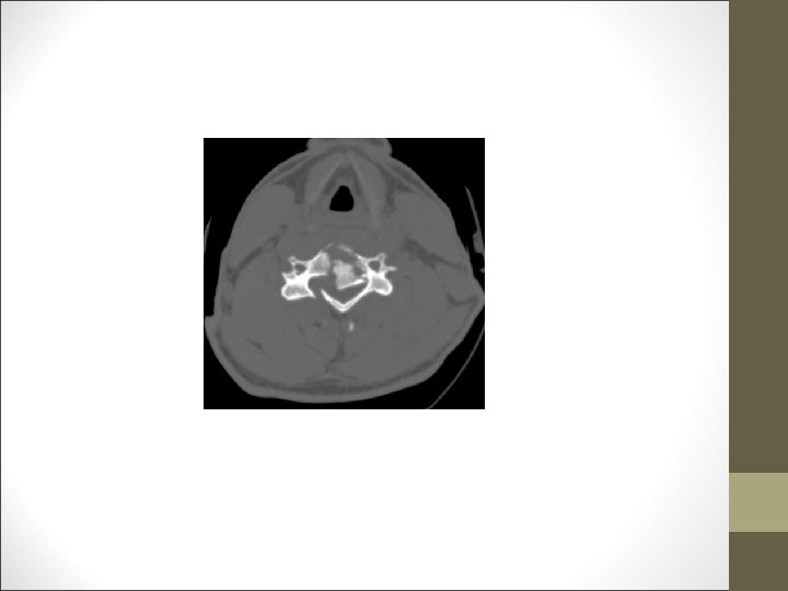
FACULTAD DE MEDICINA DEPARTAMENTO DE CIRUGÍA NEUROCIRUGÍA ¿Qué harías? TAC Cervical
TC Desplazamientos de fragmentos óseos ¿Algo mas? FACULTAD DE MEDICINA DEPARTAMENTO DE CIRUGÍA NEUROCIRUGÍA RM Desplazamientos discales y lesiones ligamentosa
¿Primer paso en el tratamiento? Reducción Cerrada Tracción cervical FACULTAD DE MEDICINA DEPARTAMENTO DE CIRUGÍA NEUROCIRUGÍA Evaluación de estabilidad segmento C 3 -C 7 : -Daño neurológico -Daño importante del complejo ligamentario -Desplazamiento anterior de un cuerpo > 3, 5 mm (20%) -Angulación de vértebras adyacentes de más de 11º -Rotura ligamentosa posterior importante -Lesión del disco
Cirugía Urgente ¿Creéis que se encuentra indicada? ¿Qué tipo de lesión medular teníamos? Incompleta ¿ Se redujo la subluxación? Cirugía urgente LESION MEDULAR INCOMPLETA • Progresión de los signos neurológicos • Hallazgo de fragmentos óseos o blandos q causen compresión. • Necesidad de descomprimir raíz espinal esencial • Subluxación irreductible • Hematomas ¿ Se redujo la subluxación? Sí, se redujo 2) Estabilización y Fijación en un 2º tiempo NO cirugía urgente
Tratamiento Definitivo Estabilidad de la Fracturas Estables Ortesis sin halo 8 semanas Fractura Inestable Todas son adecuadas: -Tracción + Ortesis 8 semanas - Halo + Ortesis 4 semanas - Artrodesis e inmovilización interna
El paciente presentó una evolución satisfactoria, con una inmediata desaparición de los síntomas neurológicos. A los 9 meses se reincorporó a su trabajo habitual libre de síntomas.
Bibliografía. • 1. Mark S. Greenberg. Manual de Neurocirugía. • 2. Section on Disorders of the Spine and peripheral Nerves of the American Association of Neurological Surgeons. Neurosurgery 50 Suplement S 30 -5. 2002 • 3. Section on Disorders of the Spine and peripheral Nerves of the American Association of Neurological Surgeons. Neurosurgery 50 Suplement S 36 -43. 2002 • 4. Allen BL Jr, Ferguson RL, Lehmann TR, O'Brien RP. A mechanistic classification of closed, indirect fractures and dislocations of the lower cervical spine. Spine. 1982; 7: 1 -27. • 5. American Spinal Injury Association, Chicago. 2000. • 6. Combalia A, Ramón R. Traumatismo de la columna cervical. En: Sociedad Española de Cirugía Ortopédica y Traumatología (SECOT). Manual SECOT de Cirugía Ortopédica y Traumatología. Tomo 1. 2. ª ed. Madrid: Editorial Médica Panamericana; 2010. p. 565 -82. • Imágenes: http: //www. mustseeradiology. com/jquerymobile/case/023/ • http: //radiopaedia. org/cases/flexion-tear-drop-fracture-and-cord-injury
c4af3a8ebaf75b03ef4872eec3304e25.ppt