10673061.ppt
- Количество слайдов: 68
Introductory Neuroimaging: What you need to know at 3 am And some cool stuff. . . Kathleen Tozer, MD
Outline • Choosing a study • Normal anatomy • Trauma • Ischemic stroke • Aneurysm
Outline • Choosing a study • Normal anatomy • Trauma • Ischemic stroke • Aneurysm
Which study? Acute change • For acute mental status change, first study is ALWAYS noncontrast head CT • Brain MR: – Stroke protocol (noncontrast) – ICH protocol (with contrast) – Tumor protocol (with contrast)
Which study? Vascular • CTA: – Neck: Aortic arch through Circle of Willis. – Head: Circle of Willis only • MRA: – Brain: noncontrast – Neck: without and with contrast.
Regarding contrast: • Iodinated contrast: – GFR > 60: • in the clear – GFR < 60: • If acute, tread cautiously, especially if <30 • Hydration, mucomyst, Sodium bicarb protocol • Decrease dose, Visipaque – ESRD: • Coordinate with hemodialysis
Regarding contrast: • Gadolinium contrast: – GFR > 60: • in the clear – GFR 30 -60: • weigh risks. • Consider noncontrast study first. • Multihance – GFR < 30: • CONTRAINDICATED due to risk of NSF (nephrogenic systemic fibrosis). – Try noncontrast. – Consult radiology for alternative studies.
Hounsfield Units (HU) • CT density scale: – – – – Air = -1000 Fat = -120 Water = 0 Muscle = +40 Blood clot = +65 Bone = +1000 Metal >> +1000
Outline • Choosing a study • Normal anatomy • Trauma • Ischemic stroke • Aneurysm
Normal Anatomy
Normal Anatomy
Normal Anatomy
Normal Anatomy
Acute Head CT Checklist • • Midline Shift Mass Effect Density CSF Spaces Vascular Territories Intra-/Extra-axial Herniation
Outline • Choosing a study • Normal anatomy • Trauma • Ischemic stroke • Aneurysm
Epidural Hematoma • Injury to epidural vessel – Arterial bleeding • Lentiform shape • Does not cross sutures – May cross falx or tentorium • Look for: – FRACTURE – RAPID EXPANSION
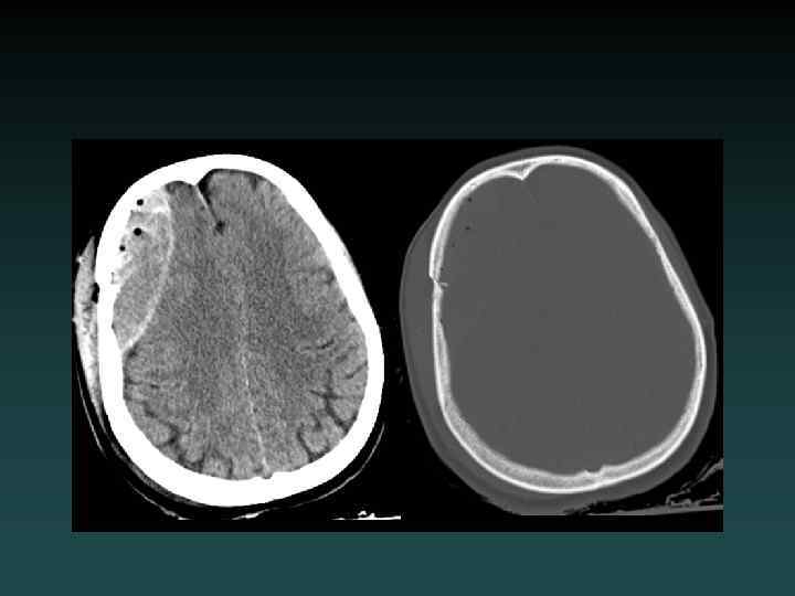
Acute Subdural Hematoma • Injury to bridging vessel – Venous • Crescent shaped • May cross sutures – Does not cross falx or tentorium • Does not enter sulci • Watch for: – MASS EFFECT – SLOW EXPANSION
Chronic Subdural Hematoma • HYPODENSE – (blood degradation) • MIXED – (Acute-on-chronic)
Isodense Subdural Hematoma • ISODENSE – Coagulopathy – Anemia – Evolution of blood products • Look for: – Sulcal Effacement – Subtle Mass Effect
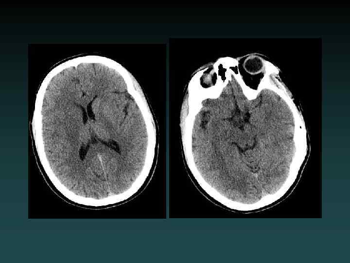
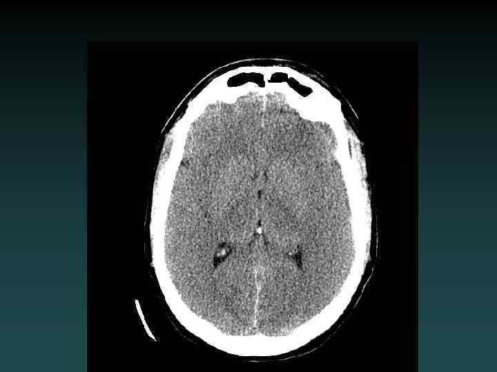
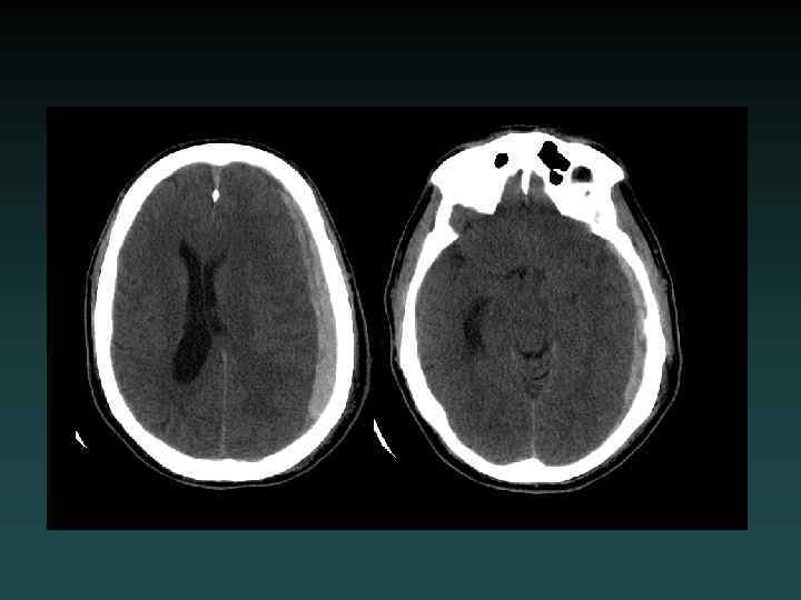
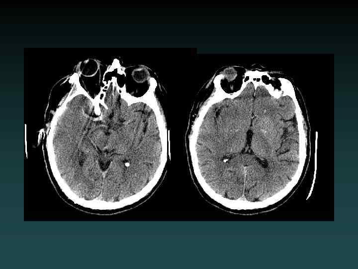
Subarachnoid Hemorrhage • Subarachnoid – Sulci – Cisterns – Ventricles • Trauma – lateral convexities • Aneurysm – basal cisterns • Interpeduncular Cistern – most sensitive
Cerebral Contusion • Intraparenchymal • “Coup-Contrecoup” – Blow to head – Sudden deceleration – Brain impacts inner table (contralateral side) • Look for: – Scalp contusion – Halo of edema
Subcortical Injury • Shear-Strain forces – Penetrating vessels – Axonal injury • “Tip of the iceberg” – Consider MRI • Neurological deficits may be out of proportion to degree of injury visible on CT
MRI: Diffuse Axonal Injury
Diffuse Cerebral Edema • Grey-white interface often obscured • Sulcal effacement • Focal subtypes: – Vasogenic • Extracellular • White matter > GM – Cytotoxic • Intracellular • Grey matter > WM
Outline • Choosing a study • Normal anatomy • Trauma • Ischemic stroke • Aneurysm
Stroke
Acute Ischemia-Infarction • Subtle HYPODENSITY – Vascular distribution – Loss of grey-white margin • CT often NEGATIVE • Early CT signs – “Hyperdense MCA” – “Insular ribbon” • Role of CT: EXCLUDE BLEED • MRA or CTA useful • DSA for intervention • Early treatment may improve outcome
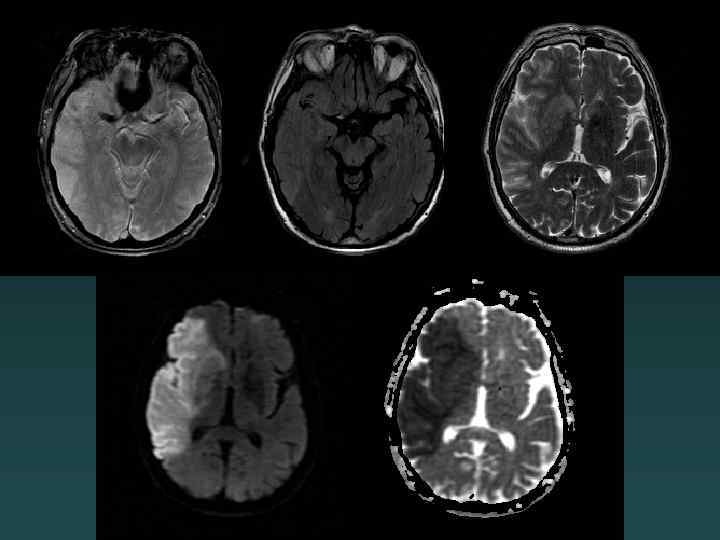
Diffusion-MRI: Acute Infarct
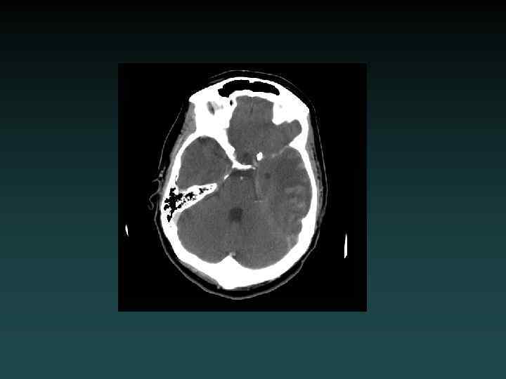
Acute facial droop, hemiparesis
CTA
Angio
Post intervention
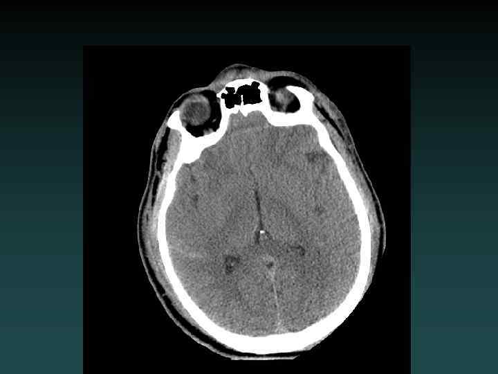
Watershed Infarction
15 hours later
Anoxic brain injury • Loss of Gray-White • Progresses with worsening edema • Pseudo. SAH • Hydrocephalus • Cisterns compressed
Subacute Infarction • • 2 -14 days out Hypodensity ENHANCEMENT Hemorrhagic transformation
MRI: Enhancing Subacute Infarct
Chronic Infarction • VOLUME LOSS – Ex vacuo dilatation • Hypodensity – encephalomalacia
Dural Sinus Thrombosis • Occlusive thrombosis • Subtle early signs – Bilateral infarcts – Hemorrhages • CTV or DSA – Filling defect • MRI/MRV
Outline • Choosing a study • Normal anatomy • Trauma • Ischemic stroke • Aneurysm
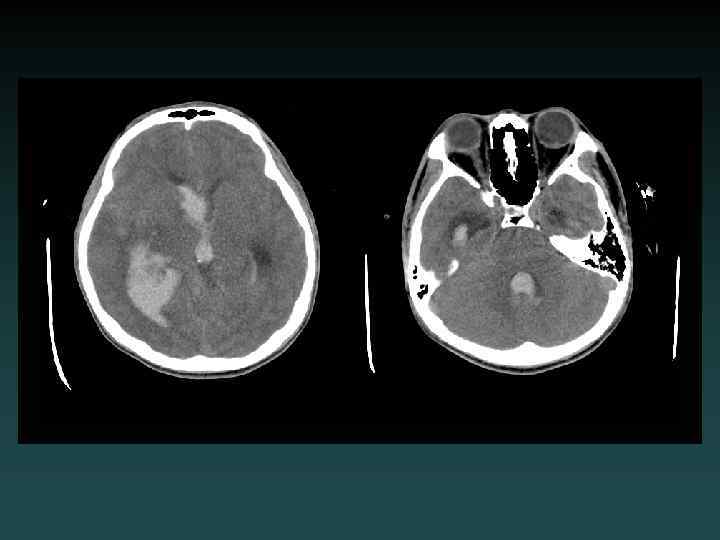
Aneurysmal SAH • Sudden severe headache • HYPERDENSE CSF spaces • Location – Interhemispheric: ACo. A – Sylvian: MCA • HYDROCEPHALUS, VASOSPASM and ISCHEMIA – MUST find the aneurysm! • DSA, CTA and/or MRA
Saccular Aneurysm
Fusiform Aneurysm
Active Re-bleeding
Ruptured Aneurysm
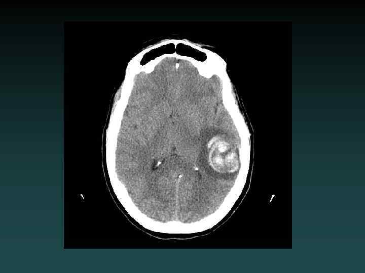
Intracerebral Hemorrhage • Hypertension – Most common – Characteristic Locations • IF LOBAR BLEED: – – SEARCH for underlying cause! MRI/MRA/MRV DSA or CTA Repeat imaging if negative initially • Look for: – EXPANSION – UNDERLYING LESION
MRI: Blood Products
MRI: Hemorrhagic Tumor
Parenchymal Hemorrhage with Ventricular Extension
MRI Flow Voids: AVM


