Инсулинома.ppt
- Количество слайдов: 24
Инсулинома Подготовила студентка 6 курса, 2 группы, лечебного факультета Хандаева П. М.
• Инсулинома - инсулинпродуцирующая опухоль, происходящая из B-клеток островков Лангеранса, обусловливающая развитие тощакового гипогликемического синдрома.
Этиология • Частота новых случаев 1 на 1 млн человек в год. • Чаще всего диагностируется в возросте от 25 до 55 лет • В 85 -90% случаев солитарная доброкачественная опухоль. • В 10 -15% случаев опухоли множественные. • 10% встречается в рамках синдрома МЭН I типа
Патогенез голодание снижение уровня глюкозы повышение уровня инсулина гипогликемический приступ
В развитии гипогликемической реакции различают 5 стадий I стадия — корковая характеризуется появлением чувства голода, раздражительностью, головной болью, изменением настроения. При объективном обследовании отмечается тахикардия, влажность кожного покрова. II стадия — подкорководиэнцефальная проявляется вегетативными реакциями и неадекватным поведением. Клиническая картина характеризуется профузной потливостью, повышенной саливацией, тремором, диплопией. III стадия — гипогликемии обусловлена вовлечением в патологический процесс среднего мозга и характеризуется резким повышением мышечного тонуса, развитием тонико-клонических судорог, напоминающих эпилептический припадок. При объективном обследовании определяются симптом Бабинского, расширение зрачков, АГ. IV стадия — обусловлена вовлечением в патологический процесс верхних отделов продолговатого собственно кома мозга. Клиническая картина сопровождается полной потерей сознания. При объективном осмотре отмечается повышение сухожильных и периостальных рефлексов, зрачки расширены. Кожный покров влажный, дыхание обычное, тоны сердца усилены, пульс учащён, артериальное давление нормальное или незначительно повышено. V стадия — глубокой комы обусловлена вовлечением в патологический процесс нижних отделов продолговатого мозга и нарастающим гипергидрозом. Клинически отмечается прогрессирование коматозного состояния: наблюдается арефлексия, снижается тонус мышц, прекращается потоотделение, нарушается сердечный ритм, снижается артериальное давление, возможно нарушение дыхания центрального генеза.
Гипогликемический синдром • клинический симтомокомплекс, развивающийся вследствие дисбаланса в системе регуляции уровня глюкозы в плазме крови приводящий к гипогликемической реакции организма. Гипогликемией принято считать снижение плазменной концентрации глюкозы до уровня ниже 2, 2— 2, 8 ммоль/л.
Клиника • • • адренергические симптомы: дрожь тахикардия холодный пот голод страх Парестезии
Нейрогликопенические симптомы: • • речевые нарушения зрительные нарушения поведенченские нарушения амнезия судороги паралич КОМА
Симптомы Частота, % Различные комбинации диплопии, затуманиваие зрения, потливость, сердцебиение, слабости 85 Спутанность или ненормальное поведение 80 Бессознательное состояние или амнезия 53 Большие эпилептичесике припадки 12 • По Service F. J. , Dale A. J. D. , Elveback L. R. , insulinoma; clinic and diagnostic features of 60 consecutive patients//Mayo Clin 7 Proc. -1976. - n 51. - P. 417 -429(186)
Диагностика • Проба с трехдневным голоданием • Топическая диагностика инсулиномы • Лабораторная
Проба с трехдневным голоданием Ее целью является провокация патогномоничной для инсулиномы триады Уилиппа: • возникновение приступов гипогликемии натощак • падение уровня глюкозы в крови ниже 2, 5 ммоль/л во время приступа • купирование приступа внутривенным введением глюкозы
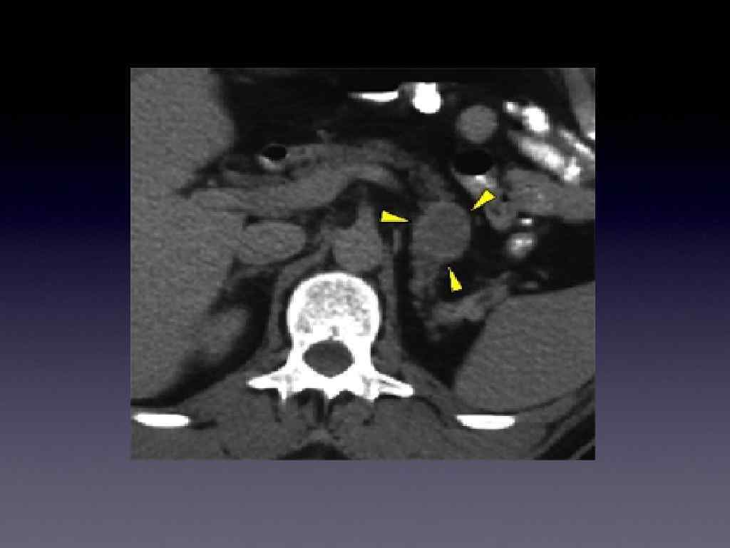
Топическая диагностика инсулиномы • Ангиографическая диагностика • Кт • МРТ • УЗИ • Катетерезация портальной вены с целью определения уровня ИРИ
Радионуклиидное исследование с Октреаксаном
Селективная ангиограмма чревного ствола
Гистологическая картина
Лабораторная диагностика • Определяют уровень инсулина в плазме крови методом РИА. Диагноз подтверждается при концентрации глюкозы в крови <1, 7 ммоль/л уровень инсулина в плазме крови >72 ммоль/л
Дифференциальная диагностика • Диффузная гиперплазия B-клеток островков ПЖЖ • Токсическая гипогликемия • Тяжелая органная недостаточность • Крупные не-B-клеточные опухоли • Постпрандиальный гипогликемический синдром
Лечение • Консервативное • Хирургическое • Химиотерапия
Консервативное лечение • Частый прием углеводов • Диазоксид(100 -600 мг/сут на 3 -4 приема) • Октреотид
Хирургическое лечение • энуклеация опухоли, резекция части ПЖЖ вместе с опухолью.
Химиотерапия • стрептозотоцином +доксорубицин + 5 -фторурацил • адриамицин
прогноз • При доброкачественных инсулиномах после оперативного лечения наступает выздоровление. • При параэндокринных локализациях - успешно применяется консервативное лечение • При злокачественных инсулиномах прогноз зависит от локализации и от наличия метастазов. Существенное значение имеет успешность химиотерапевтических препаратов.
Инсулинома.ppt