Инфекионный эндокардит - октябрь 2015.ppt
- Количество слайдов: 84
Инфекционный эндокардит Данковцева Е. Н. Кафедра терапии, кардиологии и функциональной диагностики, с курсом нефрологии 2015 г.
Инфекционный эндокардит эндоваскулярное инфекционное поражение структур сердца и крупных внутригрудных сосудов (клапанов, эндокарда желудочков и предсердий, эндартериит Баталова протока, артерио-венозных шунтов, коарктации аорты) или внутрисердечных инородных структур (искусственных клапанов, пейсмекеров, внутрисердечных электродов и т. п. ) Если инфекция ассоциирована с артифициальными структурами, но не проникает в эндокард, используют термин «полимерассоциированная инфекция» , хотя ведение таких больных не отличается от «классического» эндокардита
Эпидемиология инфекционного эндокардита • 3 -10 случаев ИЭ на 100 000 человек в год • Заболеваемость выше среди наркоманов и лиц с иммунодефицитом • Частота растет с возрастом • Летальность 47 -72%, при грибковом ИЭ – до 100%
Патофизиологические основы развития инфекционного эндокардита
Гипотетический механизм развития инфекционного эндокардита Повреждение эндотелия Тромбоцитарно-фибриновые тромбы (небактериальный тромбэндокардит) Адгезия микроорганизмов Формирование вегетаций БАКТЕРИЕМИЯ
Наиболее частые зоны повреждения турбулентным потоком • Зоны перепада высокого и низкого давления – Митральный клапан - со стороны предсердия – Аортальный клапан – со стороны желудочка, хорды – Область стеноза клапана • Области удара струи крови на эндотелий – Дефект перегородки – стенка желудочка напротив дефекта
Прикрепление бактерий • Гр+ > Гр • Способность к синтезу внеклеточного декстрана • Способность агрегировать тромбоциты • Способность связываться с фибронектином Стафилококк, агрегирующий тромбоциты
Бактериемия • Может быть связана с травмами слизистых оболочек различной локализации (в т. ч. диагностические процедуры) • Наркомания • Наиболее частая процедура – удаление зубов сопровождается кровотечением и бактериемией в течение 30 сек • Чистка зубов и жевание (1– 100 колониеобразующих единиц / мл крови в течение 10 минут) Durack, et al. NEJM 1995
Классификация инфекционных эндокардитов • По локализации • По механизму заражения • По активности • По течению
Классификация инфекционных эндокардитов Локализация поражения • ИЭ левого сердца – нативные клапаны – протезированные клапаны • Ранний (<1 года после операции) • Поздний (>1 года) • ИЭ правого сердца • ИЭ, связанный с наличием внутрисердечного устройства (у больных с патологией клапанного аппарата или без) ESC, 2009
По механизму заражения • Связанный с медицинскими вмешательствами – Нозокомиальный (>48 ч от момента госпитализации) – Ненозокомиальный (<48 ч от госпитализации) • Проводились в/в инъекции в амбулаторных условиях или программный гемодиализ в сроки <30 дней до развития ИЭ • Госпитализация в отделение неотложной помощи <90 дней до развития ИЭ • Больные, постоянно получающие другую мед. помощь на дому или постоянно находятся в отделении по уходу • «Внебольничный» ИЭ (<48 ч от госпитализации) • ИЭ у в/в наркоманов ESC, 2009
Классификация инфекционных эндокардитов Активность заболевания и его течение • Активный • Излеченный • Рецидивирующий Eur Heart J 2009
Классификация инфекционных эндокардитов Критерии активного эндокардита • ИЭ с персистирующей лихорадкой и положительной гемокультурой или • Признаки активного воспалительного процесса, обнаруженные при хирургическом вмешательстве или • Больные, получающие антимикробную терапию или • Гистопатологические признаки активного ИЭ
Классификация инфекционных эндокардитов Критерии возвратного течения • Рецидив – Повторные эпизоды ИЭ, вызванные тем же возбудителем <6 месяцев после предыдущего эпизода • Реинфекция – Другой возбудитель – Повторные эпизоды ИЭ, вызванные тем же возбудителем >6 месяцев после предыдущего эпизода
Классификация инфекционных эндокардитов Микробиологическая характеристика • ИЭ с положительной гемокультурой (85%) – стафилококки, стрептококки • ИЭ с негативной гемокультурой – Предшествующее применение а/б (чаще – стрептококки и коагулазонегативные стафилококки) – Часто негативная гемокультура - HACEK (Haemophilus spp. , Actinobacillus actinomicetemcomitans, Cardiobacterium hominis, Eikenella spp. , Kingella kingae), Brucella, грибы – Всегда негативная гемокультура (внутриклеточные бактерии) - Сoxiella burnetii, Bartonella, Chlamydia, Tropheryma whipplei Eur Heart J 2009
Клиническая картина • Бактериемия и системное воспаление (Лихорадка (90%), ознобы, снижение аппетита, потеря вес) • Иммунокомплексное поражение сосудов и внутренних органов • Поражение клапанов • Периферические эмболии
Узелки Ослера - болезненные, красноватого цвета, очаги уплотнения в коже и подкожной клетчатке http: //vps. transpl. ru
Симптом Джейнуэя - мелкие красные пятна или болезненные экхимозы на стопах и ладонях
Подногтевые геморрагии (splinter hemorrhages )
Пятна Лукина - кровоизлияния на конъюнктиве или переходной складке век
Пятна Рота – кровоизлияния в сетчатку с белым центром
Лабораторные данные – Повышение СОЭ – Нормоцитарная нормохромная анемия – Лейкоцитоз – Тромбоцитопения – Микрогематурия – Повышение уровня СРБ – Повышение уровня прокальцитонина
Аускультативные данные (85%) – Патологический шум – Изменение аускультативной картины – Отсутствие шума: • • Ранняя фаза ИЭ при нормальных клапанах Инфекция неклапанного эндокарда Врожденный двустворчатый аортальный клапан Изолированный ИЭ трехстворчатого клапана
Эмболические осложнения ИЭ • Левосторонние поражения 1 - МОЗГ ( инсульт, абсцесс, менингит ) 2 - СЕРДЦЕ ( ИМ ) 3 - СЕЛЕЗЕНКА ( абсцесс ) 4 - ПОЧКИ ( абсцесс ). • Правосторонние поражения ЛЕГКИЕ ( инфаркт , абсцесс , пневмония )
Симптомы эмболии: – Боли в животе (мезентериальные и селезеночная артерии ) – Боли в грудной клетке (коронарные и легочная артерии) – Эмболии в сосуды конечностей – Гематурия – Нарушения зрения – Острая неврологическая симптоматика
Эмболические осложнения (30% всех больных) • Эмболии • Клинические симптомы у 11 – 43% больных • Патоморфологические изменения в 45 – 65% случаев • Высокий риск эмболии: • Крупные вегетации (> 10 мм) • Высокоподвижные вегетации • Вегетации на митральном клапане (особенно на передней створке) • Септическая эмболия легочной артерии у 65 – 75% в/в наркоманов с эндокардитом трикуспидального клапана
ПОРАЖЕНИЕ ПОЧЕК ПРИ ИЭ • Гломерулонефрит ( очаговый или диффузный) • Тромбоэмболия почечных артерий • Множественные абсцессы ( ~ стафилококковый эндокардит ) и эмболические инфаркты • Почечная недостаточность вследствие гемодинамической нестабильности при сепсисе • Токсическое действие макролидов • Вторичный амилоидоз почек
Роль Эхо. КГ в диагностике ИЭ • Помощь в постановке диагноза • Выявление предрасполагающей к развитию ИЭ патологии • Диагностика осложнений • Оценка эффективности терапии • Определение показаний к хирургическому вмешательству
Вегетации – основной признак эндокардита http: //vps. transpl. ru
Вегетация • Подвижное, неправильной формы образование с неровными контурами, прикрепленное к клапанам • Размер от нескольких мм до нескольких см • Располагается обычно на поверхности клапана, обращенной в сторону низкого давления • Может пролабировать через клапан вместе с потоком крови
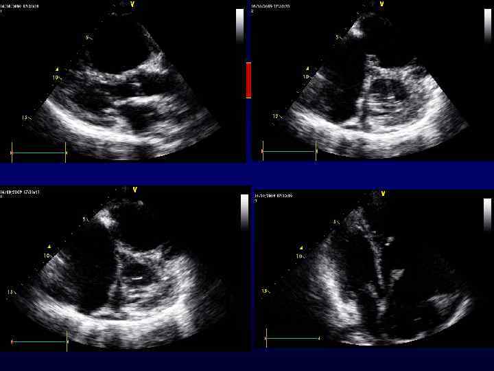
Вегетации
Большая мобильная вегетация на митральном клапане Диастола: вегетация в левом желудочке Систола: вегетация пролабирует в ЛП
Вегетации
Больной К. , 23 года, в/в наркомания
Вегетации
Вегетация на аортальном клапане (ЧП Эхо. КГ) Диастола: вегетация пролабирует в левый желудочек Систола: вегетация в аорте
Вегетации на клапане ЛА
Анатомические образования которые ошибочно могут быть приняты за вегетации • фиброма клапана • миксоматозное поражение створок клапана; • старые вегетации • небактериальный тромботический эндокардит • воспалительные изменения створок при СЗСТ • тромб на створке или на протезе; • артефакт от кальцината или протеза
Больная Г. , 84 года
Дополнительные Эхо. КГ признаки инфекционного эндокардита: • Абсцессы • Признаки деструкции сердечных структур
АБСЦЕССЫ Анатомия Полость около клапана с некрозом и гнойным содержимым, не сообщающаяся с полостью сердца Эхо. КГ Полость с утолщенными стенками, в околоклапанной области, пониженной эхоплотности
ПРИЗНАКИ ДЕСТРУКЦИИ Анатомия Эхо. КГ Псевдоаневризма Полость вблизи клапана, сообщающаяся с полостью сердца Пульсирующее околоклапанное эхонегативное пространство, при цветном картировании – наличие потока крови Перфорация Нарушение целостности эндокарда, пересекаемое допплеровским потоком Фистула Сообщение между 2 соседними камерами посредством перфорации Наличие допплеровского потока через отверстие перфорации между 2 соседними камерами Клапанная аневризма Мешкообразное выпячивание ткани створки клапана Несостоятельность Отслоение протеза Околоклапанная регургитация при швов протезов ТТ или ЧПЭхо с качающимися клапанов движениями протеза или без них
Осложнениями ИЭ также могут быть: • Нарушение целостности хорд створок, их частичный или полный отрыв • Гнойный перикардит • Функциональная обструкция клапана • Нарушения проводимости
Осложнения при поражении митрального или трикуспидального клапана • Поражение папиллярных мышц • Поражение атриовентрикулярного кольца • Формирование абсцессов и аневризм самих створок • Формирование стеноза в процессе заживления
Перфорация створок МК и ТК
Осложнения при поражении аортального клапана и клапана легочной артерии • Формирование стеноза различной степени • Отрыв створки и ее трепетание в выносящем тракте. Сопровождается тяжелой регургитацией и нарушением гемодинамики • Формирование абсцесса корня аорты или легочной артерии • Образование фистулы со сбросом крови
Чувствитльность Эхо. КГ в диагностике ИЭ • Вегетации – Трансторакальная ЭХО-КГ - 65 -80% (вегетации > 2 мм) – Чреспищеводная ЭХО-КГ – 95% • Абсцессы – Трансторакальная ЭХО-КГ - 50% (вегетации > 2 мм) – Чреспищеводная ЭХО-КГ – 90%
Исследование стандартной культуры крови • Посев крови – положительный в 85% • Берут три и более посева крови, независимо от температуры тела, разницей забора в 30 минут до начала лечения антибиотиками. Для забора используется венозная кровь -10 мл. Один посев помещается в аэробную среду, а другой в анаэробную (не менее 50 мл питательной среды). • Посевы крови после применения антибиотиков могут быть отрицательными, и поэтому должны быть проведены на 3 -7 день после их отмены, если это возможно. • Одновременно проводится определение минимальной ингибирующей концентрации (МИК) для лекарств. • Серологические исследования показаны для таких м/о как Bartonella, Legionella, Chlamydia (РИФ) и Coxiella burnetii. • Полученная культура сохраняется до излечения больного (не менее 1 года) для сравнения в случае возвратного течения заболевания • Нельзя брать кровь через постоянные венозные катетеры!
Культуро-негативный ИЭ • Встречаемость ~ 14% Данные анализа ~17000 случаев ИЭ в 16 странах CK Naber и соавт, EHJ Suppl. 2006
Культуро-негативный ИЭ • Наиболее частые причины – предшествующее лечение антибиотиками – недостаточный срок инкубации • Длительный срок инкубации (боле 6 дней) должен быть использован когда подозреваются следующие микроорганизмы: – HACEK-группа (Haemophilus spp. , Actinobacillus spp. , Cardiobacterium spp. , Eikenella spp. и Kingella spp ) – Propionibacterium spp. – Neisseria spp. – Brucella, Abiotrophia spp. – Campylobacter spp.
Диагностика ИЭ Модифицированные критерии Duke БОЛЬШИЕ КРИТЕРИИ Положительная гемокультура -Выявление типичных для ИЭ м/о в 2 образцах крови (стафилококк, стрептококк и т. д. ) - Выявление других возможных возбудителей ИЭ как минимум в 2 образцах крови, взятых с интервалом >12 или 3 или большая часть из ≥ 4 образцов, взятых в течение ≥ 1 часа - Положительная гемокультура с выявлением Coxiella burnetii или титр Ig. G >1: 800 Доказательства повреждения эндокарда Вегетации, абсцессы, впервые выявленное нарушение открытия протеза клапана Впервые выявленная регургитация на клапане
Диагностика ИЭ Модифицированные критерии Duke Малые критерии Наличие предрасполагающей к ИЭ патологии сердца или в/в употребление наркотиков Лихорадка >380 С Сосудистые феномены: крупные артериальные эмболы, септические инфаркты легких, микотическая аневризма, внутричерепные кровотечения, конъюктивальные геморрагии, пятна Janeway Иммунологические феномены: гломерулонефрит, узелки Ослера, пятна Рота, положительный ревматоидный фактор Микробиологичекские данные: выявление гемокультуры, не соответствующей «большим» критериям, или серологические доказательства наличия инфекции Диагноз ИЭ не вызывает сомнений • 2 больших критерия; 1 большой + 3 малых; 5 малых Возможный ИЭ • 1 большой + 1 малый критерий; 3 малых
Лечение инфекционного эндокардита 1. Устранение инфекции 2. Лечение последствий деструктивных процессов в интра- и экстракардиальных структурах
Цели лечения инфекционного эндокардита 1. Устранение инфекции 2. Лечение последствий деструктивных процессов в интра- и экстракардиальных структурах
Антибактериальная терапия инфекционного эндокардита
Лечение определяется: 1. Видом возбудителя 2. Состоянием клапанов (нативные или протезированные) 3. Возрастом и состоянием здоровья пациента 4. МИК препарата 5. Наличием/отсутствием аллергии на препараты пенициллинового ряда
Основные принципы антибактериальной терапии при ИЭ • Раннее начало лечения • Максимальные суточные дозы 2 или 3 бактерицидных АБ парентерально • Необходимо учитывать МИК используемого антибактериального препарата в связи с конкретным этиологическим фактором • Важно помнить о возможности грибковой и туберкулезной суперинфекции помимо «основного» этиологического фактора при использовании антибиотиков • Для воздействия на внесосудистые вегетации необходимы высокие концентрации препаратов в сыворотке крови
ЭМПИРИЧЕСКАЯ ТЕРАПИЯ В случаях, осложненных тяжелой клапанной дисфункцией, нарушениями проводимости или эмболиями эмпирическая терапия должна быть начата сразу после забора крови на посев.
Антибактериальная терапия • Эффективная антимикробная терапия должна привести к улучшению состояния через 2 -3 суток и снижению температуры в течение 7 – 10 суток • Лихорадка может сохраняться дольше при: • ИЭ, вызванном стафилококком, псевдомонадами • ИЭ с микрососудистыми осложнениями/крупными эмболиями • Интра- или экстракардиальных септических осложнениях • Побочном действии лекарств
Эмпирический выбор АБП при ИЭ нативных клапанов Ампициллинсульбактам 12 г/сут в/в (4 приема) 4 -6 недель или Амоксициллинклавулановая к-та + Гентамицин 12 г/сут в/в (4 приема) Ванкомицин + Гентамицин + Ципрофлоксацин 30 мг/кг/сут в/в (2 приема) 3 мг/кг/сут в/в или в/м (2 -3 приема) 1000 мг/сут per os (2 приема) или 800 мг/сут в/в (2 приема) 4 -6 недель
Эмпирический выбор АБП при ИЭ протезированных клапанов Ранний ИЭ (до 1 года от операции) Ванкомицин + Гентамицин + Рифампицин 30 мг/кг/сут в/в (2 приема) 6 недель 3 мг/кг/сут в/в или в/м (2 -3 приема) 2 недели 1200 мг/сут per os (приема) 2 недели При позднем ИЭ протезированных клапанов (>1 года от операции) – режим, как и для нативных клапанов
Хирургическое лечение при ИЭ • Лечение и предупреждение сердечной недостаточности • Неконтролируемая инфекция • Предупреждение эмболических осложнений
Хирургическое лечение • Консультация хирурга должна быть проведена как можно раньше у всех больных с ИЭ, т. к. около 1/3 больных нуждаются в хирургическом лечении во время госпитализации • Перед оперативным лечением необходима всеобъемлющая подготовка (антимикробная терапия и гемодинамическая компенсация) • Первостепенное внимание следует уделять гемодинамической стабилизации, на втором месте – контроль над инфекцией • Реконструкция клапанов – более предпочтительна, чем протезирование (лучшая выживаемость) • Эндокардит протезированных клапанов, эндокардиальные абсцессы, снижение функции ЛЖ, стафилококковый или культуро-негативный ИЭ – основные предикторы неблагоприятного исхода после операции
Показания к хирургическому лечению при поражении левых отделов сердца Сердечная недостаточность Поражение МК или АК с тяжелой 24 ч регургитацией или стенозом + рефрактерный отек легких или кардиогенный шок Поражение МК или АК с фистулой в камеру сердца или перикард+ рефрактерный отек легких или кардиогенный шок 24 ч Поражение МК или АК с тяжелой регургитацией или стенозом + персистирующая СН или выраженная ЛГ Несколько дней Поражение МК или АК с тяжелой регургитацией и без признаков СН Плановая операция
Показания к хирургическому лечению при поражении левых отделов сердца Неконтролируемая инфекция Абсцесс, ложная аневризма, фистула, увеличение размера вегетации Несколько дней Персистирующая лихорадка и положительная гемокультура > 7 -10 дней Несколько дней Грибы или мультирезистентные м/о Несколько дней/плановая операция Предупреждение эмболий Поражение МК или АК с большими вегетациями (>10 Несколько дней мм) + 1 или более эпизодов эмболии Поражение МК или АК с большими вегетациями (>10 Несколько дней мм) + предикторы осложненного течения (СН, персистирующая инфекция, абсцесс) Изолированные очень большие вегетации (>15 мм) Несколько дней
Показания к хирургическому лечению при поражении правых отделов сердца М/о, с трудом поддающиеся эрадикации (н. , грибы) или бактериемия > 7 дней несмотря на адекватную а/б терапию Вегетации на ТК > 20 мм + повторные эпизоды легочной эмболии Правожелудочковая СН вследствие тяжелой ТР или плохого ответа на диуретическую терапию
Предупреждение системных эмболий • Фибринолитики, антикоагулянты и антитромбоцитарные агенты не снижают риск эмболических осложнений, но увеличивают риск кровотечений • Ранняя диагностика ИЭ и быстрое начало антимикробной терапии остаются наиболее эффективными мерами для снижения риска эмболий
Антитромботическая терапия при ИЭ • Прерывание антиагрегантной терапии – только при тяжелых кровотечениях • При ишемическом инсульте – замена непрямых антикоагулянтов (НАК) на НФГ (на 2 недели) • При ВЧК – прерывание любой антитромботической терапии • При ВЧК у больных с протезированными клапанами – обсудить применение НФГ • При инфекции S. Aureus – замена НАК на НФГ (на 2 недели)
Предикторы плохого прогноза при ИЭ • Больной – Пожилой возраст, протезированные клапаны, инсулинозависимый СД, сопутствующие заболевания • Наличие осложнений – Сердечная недостаточность, почечная недостаточность, инсульт, септический шок, перианнулярные осложнения • Вид микроорганизма – S. aureus, грибы, Гр- бациллы • Эхокардиографические данные – перианнулярные осложнения, тяжелая МР, низкая ФВ ЛЖ, ЛГ, большие вегетации, тяжелая дисфункция протеза
Профилактика эндокардита Показания к профилактическому применению антибиотиков определяются: • Кардиальной патологией • Видом вмешательства • Экстракардиальной патологией
Кардиальные причины: определение риска • риск развития тяжелого эндокардита, приводящего к инвалидизации и смерти (не просто риск развития ИЭ!), классифицируется как – ВЫСОКИЙ риск - профилактика необходима – СРЕДНИЙ и НЕЗНАЧИТЕЛЬНЫЙ риск – профилактика не нужна
Заболевания сердца – Высокий риск ИЭ • протезированные клапаны (400 x риск 2) • ИЭ в анамнезе • врожденные пороки – Некорригированные комбинированные «синие» пороки (тетрада Фалло, транспозиции, единственный желудочек) – Корригированные комбинированные «синие» пороки с наличием резидуальных дефектов, паллиативных шунтов или каналов – Полностью скорригированный врожденный порок сердца, если при операции использовались протезирующие материалы или устройства (в первые 6 месяцев после вмешательства) – Наличие остаточного дефекта в месте имплантации протезирующего материала или устройства 1 Durack, et al. NEJM 1995 2 Steckleberg, et al. Inf Dis Clin N Amer 1993
Заболевания сердца – Умеренный риск ИЭ • приобретенные клапанные пороки – стеноз / недостаточность митрального клапана – стеноз / недостаточность трикуспидального клапана – стеноз клапана легочной артерии – склероз аортального клапана – возрастные дегенеративные изменения клапанов • Врожденные пороки сердца «нецианотического типа» , в т. ч. двухстворчатый АК • Пролапс митрального клапана с выраженной регургитацией или значительным утолщением клапана • Гипертрофическая кардиомиопатия Durack, et al. NEJM 1995
Заболевания сердца – Низкий риск ИЭ • ПМК без регургитации • Функциональные сердечные шумы • ПЭКС / имплантированный кардиовертер - дефибриллятор • Изолированный дефект МПП • Перенесенное АКШ • Успешно оперированные ДМПП/ДМЖП/открытый артериальный проток > 6 месяцев после вмешательства
Инвазивные вмешательства, при которых необходима профилактика ИЭ • Стоматологические процедуры – Процедуры, сопровождающиеся манипуляциями на деснах, периапикальной обсласти или перфорацией слизистой ротовой полости – Протезирование (на усмотрение врача, если предполагается значительное кровотечение) • Сердечно-сосудистая система – Имплантация ЭКС или дефибриллятора – Имплантация искусственных клапанов сердца
Профилактика ИЭ Пожилой возраст и снижение защитных сил организма повышают риск/частоту/количество случаев бактериемии. В ряде случаях может быть обосновано расширение показаний к антибиотикопрофилактике
Схема профилактики ИЭ при стоматологических процедурах Аллергия на пенициллин НЕТ ЕСТЬ АМОКСИЦИЛЛИН или АМПИЦИЛЛИН 2, 0 г per os или в/в КЛИНДАМИЦИН 600 мг per os или в/в или ЦЕФАЗОЛИН или ЦЕФТРИАКСОН 1, 0 г в/в Однократно за 0, 5 -1 ч до процедуры
Проведение профилактики больным, уже получающим антибиотики Пути решения. . . • Использовать другой антибиотик (клиндамицин, азитромицин, кларитромицин, цефалоспорины) • Если возможно, перенести вмешательство на 9 -14 дней • У больных, получающих а/б внутривенно, необходимо провести очередную инъекцию а/б за 30 -60 мин. до процедуры.
Профилактика ИЭ (кроме антибиотиков) – группы высокого и среднего риска 1. Строгая гигиена полости рта и кожи 2. Осмотр стоматолога 2 р/год для группы высокого риска, 1 р/год для среднего риска 3. Обязательная обработка ран антисептиками 4. Устранение очагов хронической инфекции (миндалины, мочеполовой тракт) 5. Применять эффективные а/б в случае лечения инфекций 6. Избегать пирсинга и тату 7. Запрещено самолечение 8. Ограничить использование в/в катетеров
Инфекционный эндокардит • За последние 30 лет не отмечено снижения ни частоты встречаемости ИЭ, ни снижения смертности от него • Разнообразие клинических проявлений, вариантов течения, осложнений, микробиологического профиля • Большая часть рекомендаций основана на мнении экспертов
Основные документы • 2015 ESC Guidelines for the management of infective endocarditis. European Heart Journal. doi: 10. 1093/eurheartj/ehv 319 • Prevention of Infective Endocarditis: Guidelines From the American Heart Association. Circulation. 2007; 116: 1736 -1754 • Update on Cardiovascular Implantable Electronic Device Infections and Their Management: A Scientific Statement From the American Heart Association. Circulation. 2010; 121: 458 -477


