e68f1f20c78ed2c5c0a4f218df42be77.ppt
- Количество слайдов: 44
Infections à actinomycètes anaérobies aspects cliniques diagnostic microbiologique thérapeutique Dr. Olivier Join-Lambert (AHU) Service de Microbiologie Hôpital Necker Enfants-Malades, Paris
Actinomycetes: Historique 1878 • première description par Israel: – Bacille gram positif présentant une formes filamenteuses branchées ± mycelium aérien – Confusion avec les champignons, en fait très proches des mycobacteries (bactéries à haut GC%) 1888 • 1890 • 1940 • Nocard, vétérinaire, décrit le farcin, infection du bétail qui ressemble à une tuberculose chronique premier cas décrit de nocardiose pulmonaire associée à des abcès cérébraux Erickson décrit plusieurs espèces anaérobies: – A. israeli, A. bovis 1959 • 1977 • Classification de Waksman distinguant les actinomycetes anaérobies stricts ou facultatifs des Nocardia agent des mycétomes, aérobies Classification de Holdemann
Classe des actinobacteria (high G+C% Gram-positive bacteria)
Classification d’Holdeman, 1977 Actinomycetes pathogènes (1) • Bacilles Gram + anaérobies Pseudoramifications possibles ( Paroi bactérienne sans acides mycoliques) • Actinomyces – – A. israeli +++ A. naeslundii, A. odontolyticus, A. viscosus A. meyeri, A. gerencseriae A. bovis (animaux) • Propionibacterium – Propionibacterium propionicum • Bifidobacterium • Eubacterium, Lactobacillus Bacilles réguliers NB: anaérobies facultatifs sauf A. bovis et A. meyeri
A différencier des actinomycetes aérobies pathogènes (2) • Paroi bactérienne avec acide mycolique – Corynebacteriaceae – Mycobacteriaceae – Nocardiaceae – Rhodococcus • Paroi bactérienne sans acide mycolique – Actinomadura, Rothia spp, Streptomyces
Epidémiologie • Zoonose – Maladie du bétail (A. bovis) et des chevaux – Forme clinique ressemblant à l ’actinomycose oro-faciale humaine • Chèvres, chevreuil, élan, antilope • Chien, chat, – Facteurs favorisants • Plaie muqueuse traumatique par ingestion d ’aliments coupants • Plaie dentaire http: //www. fsis. usda. gov/OFO/HRDS/SLAUGH/Dep. Red/LCDR/Granulom/Links/Jaw. ACTI. html
Actimomycose humaine • Terrain – Homme/femme 2/1 – Pas d ’augmentation d ’incidence chez les immunodéprimés – Différent des nocardioses : • Transplantation, cancer, hémopathie • Diabète, alcoolisme • SIDA, corticothérapie au long cours • Localisations – – Cervico-faciale Thoracique Abdomino-pelvienne Autres 60% 15% 20% 5% Slack et al, 1975
Actinomycose: physiopathologie Germe commensal Traumatisme tissulaire • Sinus, cavité buccale (plaque dentaire), • Tube digestif, • Filière génitale féminine • Carie dentaires+++, extraction dentaire, • Diverticulite, • Dispositif intra utérin • Chirurgie • Pas de transmission interhumaine Infection subaiguë ou chronique Germes de la flore commensale associés Abcédation Fistulisation Dissémination -locorégionale (ostéite) -hématogène (arthrite, abcès cérébral)
Facteurs de virulence • Pour les dentistes: les fimbriae (plaque dentaire) • Une étude compare la virulence de différentes souches d ’Actinomyces et de P. propionicum par injection intrapéritonéale chez la souris – Espèces comparées: Actinomyces israeli, A. naeslundi, A. viscosus P. propionicum - > Guérison en quelques semaines: A. odontolyticus, A. naeslundi and A. viscosus - > Infection chronique évoluant vers la mort: A. israeli et P. propionicum
Actimomycoses: formes cliniques • Formes évolutives – aiguës, – Chroniques +++ • Germe à croissance lente: diagnostic différentiel des pathologies tumorales
Localisations • Actinomycose cervico-faciale (Foyer ou extraction dentaire) • Tuméfaction cervicale, maxillaire, parotidienne • Sortie de pus ou grains blancs-jaunes ou bruns par fistulisation ou au point de ponction • ostéite ou périostéite associée+++ Image www. med. sc. edu: 85/mycology/ actino-lump. jpg
Les grains de souffre – Nom donné du fait de leur similitude avec les particules de souffre de pharmacie – Grains d ’ 1 à 2 mm de diamètre, composés d ’amas bactériens enchevêtrés + dépôts fibrineux et calciques – Evocateurs d ’actinomycose mais • Non spécifiques: » nocardiose, chromomycose, eumycétome, botryomycose » Streptococcus, staphylococcus • Pas toujours présents • Pas toujours extériorisés
Flore des caries dentaires • Gram +: 91% • Cocci/Bacilles : 37/63% – – – Streptococcus spp Lactobacillus spp Staphylococcus spp Actinomyces spp Candida spp. 100% 90% 73% 63% (rares col) 30 patients, Shen et al, Oral Dis 2002 Jul; 8(4): 207 -17
– Actinomycose thoracique (par inhalation) • • Parenchymateuse, pleurale, médiastinale, pariétale Origine gingivale ou amygdalienne (voie hématogène? ) inhalation, sur corps étranger Aspect divers: pseudo-tuberculeux ou pseudo tumoral, miliaire 1… – Actinomycose abdominale (plaie opératoire/traumatique) • Abdominale: sur appendicite, cholécystite, perforation, geste opératoire – Actinomycose pelvienne • sur dispositif intra-utérin (2%, après 2 ans) • post opératoire – Actinomycose ophtalmique chronique • Canaliculite et kératite après plaie cornéenne. • A. israeli et P. propionicum, femme agée 1 Conant E, Wechsler R: Actinomycosis and nocardiosis of the lung. J Thorac Imaging 7: 75 -84 1992 www. emedicine. com/oph/topic 491. htm
Formes disséminées (voie hématogène) • cérébro-méningées (sinusite, otite chronique, hématogène) 1 – – Abcès cérébral le plus souvent unique 67% méningite ou meningoencéphalite 13%, actinomycome 7% empyème sous dural 6% – abcès épidural 6%. • Abcès hépatique, atteinte vertébrale. . . http: //www. vh. org/adult/provider/internalmedicine/ATS/ Case 02/Repeat. Head. CT. html 170 cas, Smego et col, Rev Infect Dis 1987; 9(5): 855 -65
Actinomycose Diagnostic différentiel clinique • Infections à germes à croissance lente – – – • Germes anaérobies Nocardiose ++ Mycobactéries ++ Blastomycose, cryptococcose, Aspergillose, mucormycose Pathologie tumorale ou inflammatoire* – – – lymphome, Cancer primitif ou secondaire Granulomatoses non infectieuses (Wegener) *Existence de pathologies associées
Diagnostic différentiel Nocardiose • Physiopathologie – Bactérie tellurique +++ • sols, eaux douces et salées, atmosphère – Pas de commensalisme • l ’isolement signe l’infection – Infection par Inhalation (tropisme broncho pulmonaire) • • Rarement, contamination d ’une plaie – bacille long filamenteux aérobie strict, – Coloré par le Ziehl (≠Actinomyces) Clinique – Nocardia asteroides 80% • pulmonaire, path. disséminée, empyème, mycétome, lésions lymphocutanées – Nocardia brasiliensis 20% • pathologie diséminée, mycetome, amérique latine – Plus fréquente chez les hommes (2: 1) et les immunodéprimés – forme aiguë ou surtout chronique suppurative
Une nocardiose doit être évoquée parmi les étiologies de pneumonie d'évolution subaiguë ou chronique résistant aux traitements antibiotiques habituels. L'association d'une atteinte pulmonaire, de pustules cutanées et de troubles neurologiques est considérée comme hautement suggestive, en particulier chez un patient immunodéprimé (http: //www. splf. org/rubriques/cas-cliniques/cas 97/Com 971. htm). http: //gsbs. utmb. edu/microbook/images/fig 33_8. JPG
http: //www. md. ucl. ac. be/entites/mint/intr/hainaut/dossierprojet/Images/nocardschema. gif
Diagnostic aux laboratoires
Diagnostic histologique • Macroscopie – Lésion abcédée (forme aiguë) – Lésion granulomateuse chronique, polycyclique, entourée de PNN et de fibrose (favorise l ’anaérobiose) avec sinus de drainage (forme chronique) • Microscopie – Lésion élémentaire= Filaments fins de <1 µ (à la différence des champignons) – Aspect branché rudimentaire et non branché, – extrémités externes rondes (clubs - pseudo conidies) – Impossible de différencier actinomyces de nocardia sauf par la coloration de Ziehl modifiée (nocardia +) – Absence de caséification et ni de cellules géantes – Absence de BAAR à la coloration de Ziehl
x 100 Actinomyces spp. Sce de microbiologie, CHU Necker-Enfants malades Grains, coloration de gram x 50
Grain, x 20 Coloration argentique Actinomyces, du grec « champignon en rayon »
Grain, HES
Coloration de Ziehl
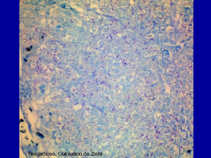
Nocardiose, Coloration de Ziehl
Diagnostic microbiologique • Connaissance du contexte clinique +++ – lésion souvent chronique, pseudotumorale inflammatoire, évoluant vers la suppuration et la fistulisation – Présence de gaz et odeur fétide – Lésion cavitaire – Présence de grains blancs-jaunes ou bruns dans le pus • Transport du prélèvement – protégé de l ’oxygène – Ne pas laisser au réfrigérateur
• Culture – Milieux aéro-anaérobie – sur milieux riches, et sélectif (CNA) • prolongée (> 3 jours- jusqu’ à 21 jours si suspiscion d ’actinomycose) – Grains+++ – 6 -10% de CO 2 – sur milieu liquide • Prélèvement plurimicrobien+++ (flore commensale) imposant d ’étudier différents types de colonies et de procéder parfois à des réisolements
Actinomycose : germes associés de la flore commensale – – • • Actinobacillus actinomycetemcommitans Ekeinella corrodens Fusobactérium, Prevotella, Porphyromonas, Bacteroides, Capnocytophaga, Staphylococcus sp. , Streptococcus sp. , Enterococcus sp. rôle supposé dans la physiopathologie de l ’infection le traitement de l ’actinomycose reste néanmoins ciblé sur l’actinomycète isolé
Aspect des colonies • A. israeli – Croissance lente ≥ 5 jours (5 -21 j) – Anaérobie > aérobie (aérotolérant) – Aspect des colonies variable selon le milieu et l’âge de la culture • Forme typique irrégulière en « dent molaire » (forme « rough » ) • Aspect de la culture en bouillon en « mie de pain » – Souvent au sein d’une flore polymorphe anaérobie+++ • Subcultures souvent indispensables (isolement) • Autres Actinomyces – de la forme smooth blanche à la colonie irrégulière • P. propionicum – Croissance en 2 -5 jours A. israeli Colonie en « dent molaire » http: //path. upmc. edu/cases/case 237. html
Coloration de Gram • Actinomyces – – – • Bacilles Gram + Non sporulé, droit ou légèrement incurvés Corynéforme, branchements rudimentaires Parfois renflements terminaux (pseudo conidies) Parfois fins filaments (10 -50µ de long) Seuls, paires, palissade Arrangements en V, Y, L (coryneforme) A. meyeri, A. odontolyticus, A. pyogenes – Cocco-bacilles corynéformes • P. propionicum – Bacilles corynéformes Actinomyces spp. Sce de microbiologie, CHU Necker-Enfants malades A. israeli http: //medic. med. uth. tmc. edu/path/scan 16. gif
Section of Lung stained with Gram stain. http: //home. primus. com. au/royellis/nocast. jpg N. asteroides, colonie Culture en aérobiose (pseudomycelium aerien) http: //www. medinfo. ufl. edu/year 2/mmid/bms 5300/images/d 7120. jpg Nocardia asteroides Spilf 2002, prix cas cliniques JNI, CC N° 7
Diagnostic des bacilles Gram + anaérobies non sporulés GENRE/esp MORPHOLOGIE Lactobacillus Bacille ± allongé Bifidobacterium Coryneforme bifide Eubacterium Petit bacille P. propionicum Coryneforme branché Actinomyces Coryneforme branché Tps Cult Resp Cat Indole 24 -48 ANA 0 0 48 -72 ANA 0 48 -72 M-ANA 0 >72 M-ANA 0* 0 Corynebacterium Coryneforme typique 24 -48 Aer ANA + V Nocardia Filamenteux + Fragm** Streptomyces Filamenteux + Fragm** ** mycelium aérien Aer STRICT * sf A. viscosus
galeries d’identification • Inoculum très riche (3 -5 Mc. Farlad) +++ • API 20 A • Rapid ID 32 A Galeries standardisées (% ident correcte, N° de souches testées) Actinomyces spp. Propionibacterium spp. P. acnes P. granulosum API 20 A 14% (7) 90% (10) NT NT Rapid-ID Ana 40%(5) NT 96%() 100%(2)
• Apport de la biologie moléculaire: diagnosticc de genre – PCR + séquençage du gène de l ’ARN ribosomal 16 S +++ (diagnostic de genre) • Diagnostic d ’espèce – Etude de la composition de la paroi en acides gras par chromatographie en phase gazeuse ou HPLC – en Laboratoire de référence
Antibiogramme Aspects thérapeutiques
Sensibilité des BG+ anaérobies stricts aux antibiotiques • Sensible à – pénicilline G (CMI C 3 G < CMI Péni. G) – chloramphenicol, érythromycine, clindamycine, tétracycline • R naturelle – Métronidazole (Actinomyces, Propionibacterium, Bifidobacterium) – AAG, fluoroquinolones, colimycine, fosfomycine, TMP et sulfamides, aztréonam
Etude de la sensibilité aux antibiotiques in vitro Clin Infect Dis, 1997 25(S 2): 262 -3
Traitement • Curatif – Antibiothérapie • Péni G ou tétracycline , clindamycine, pyostacine • Durée prolongée +++ variable selon le terrain, la localisation (os, cerveau), la gravité (3 à 6 mois) – Mise à plat chirurgicale (selon la localisation), drainage sous scanner ++, après antibiothérapie à haute dose +++ • Mortalité périopératoire élevée – Abdomen, pelvis, thorax, cerveau – Drainage et excision des tissus nécrotiques – Ablation d’un stérilet
TTT: drainage par ponction + chloramphénicol 6 mois
Prévention Hygiène dentaire Prophylaxie lors des gestes dentaires
• Importance du diagnostic différentiel avec Nocardia • Résistance naturelle à la pénicilline • Sensibilité – – augmentin, C 3 G, imipénème aminoglycosides sulfamides, Linézolide » Mais toxicité neurologique non réversible au long cours
• Traitement de référence: 6 -12 mois – Formes non sévères: » Bactrim 15 mg/kg/j – Formes graves et cérébrales ( 5 0% de mortalité avec Bactrim seul) » Bactrim + Imipénème + Amikacine • Nombreuses souches résistantes – Bactrim: N. asteroides – Amikacine: toutes N. transvalensis – Ceftriaxone: toutes N. farcinia
e68f1f20c78ed2c5c0a4f218df42be77.ppt