6a12d2defbf555f587171e0f85ca5959.ppt
- Количество слайдов: 71
Hodgkin's disease Clinical presentation Asymptomatic lymphadenopathy Mediastinal mass Systemic symptoms Fever , Pruritus Other nonspecific symptoms and paraneoplastic syndromes Intra-abdominal disease Cholestatic liver disease Alcohol-induced pain Nephrotic syndrome Skin lesions , Neurologic syndromes
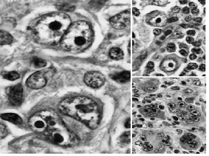
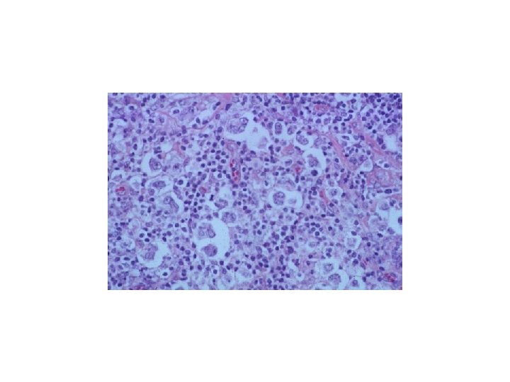
HODGKIN”s disease Nodular sclerosis HD Mixed cellularity HD Lymphocyte depletion HD Lymphocyte-rich classical HD Nodular lymphocyte predominant HD
Staging in hodgkin”s Lymphoma Stage I — Involvement of single lymph node region (I) or of single extralymphatic organ or site (Ie) Stage II — Involvement of two or more lymph node regions on the same side of the diaphragm alone (II) or with involvement of limited, contiguous extralymphatic organ or tissue (IIe) Stage III — Involvement of lymph node regions on both sides of the diaphragm (III) which may include the spleen (IIIs) or limited, contiguous extralymphatic organ or site (IIIe) or both (IIIes) Stage IV — Diffuse or disseminated foci of involvement of one or more extralymphatic organs or tissues, with or without associated lymphatic involvement
Poor prognose sign & symptome in HD • B symptoms Clinical stage IIB to IVB Bulky disease Anemia Leukopenia Thrombocytopenia • **
International prognostic score : score International Prognostic Factor Project on Advanced Hodgkin's Disease based upon the total number of seven potential unfavorable features at diagnosis: 1 -Serum albumin less than 4 g/d. L (40 g/L), 2 -Hemoglobin less than 10. 5 g/d. L (105 g/L), 3 -Male gender, 4 -Age over 45 years, 5 -Stage IV, 6 -White blood cell count 15, 000/micro. L, 7 -Lymphocyte count less than 600/micro. L and/or less than 8 percent of the white blood cell count. This analysis showed a spread in the event-free survival at five years, as follows: No factors --— 84 % ( 7 % of patients) —-- 77 % (22 % of patients) Two factors — 67 % (29 % of patients) Three factors — 60 % (23 % of patients) Four factors — 51 % (12 % of patients) Five or more factors --42% (7 % of patients) One factor
Criteria for B symptoms : B symptoms generally correlate with advanced stage and bulk disease. Specific B symptoms are defined as follows: 1 - Unexplained weight loss of more than 10 percent of body weight during the six months before initial staging investigation 2 - Unexplained persistent or recurrent fever with temperatures above 38 ؛ C during the previous month 3 - Recurrent drenching night sweats during the previous month.
Incedence of HD 1 - Socioeconomic status and environmental risk factors 2 - Infectious agents 3 - Clustering 4 - Genetic factors 5 - ROLE OF EPSTEIN-BARR VIRUS 6 - HD and immunosuppression
Initial evaluation and diagnosis of Hodgkin's disease HISTORY AND PHYSICAL EXAMINATION TISSUE BIOPSY Bone marrow biopsy LABORATORY STUDIES IMAGING STUDIES: chest, abdomen, liver, spleen, bone. Gastrointestinal tract Central nervous system
CLASSICAL HODGKIN'S LYMPHOMA Lymphocyte-rich classical Hodgkin's lymphoma Nodular sclerosis Hodgkin's lymphoma Mixed cellularity Hodgkin's lymphoma Lymphocyte depletion Hodgkin's lymphoma
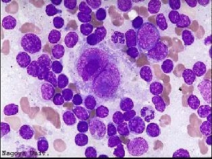
Immunophenotype in HD : The immunophenotype is an important part of the definition of NLPHL. The atypical cells are CD 45+ , express B - cell associated antigens ( CD 19 , CD 20 , CD 22 , CD 79 a ) , and EMA but lack CD 15 and CD 30.
HODGKIN”s disease Nodular sclerosis HD Mixed cellularity HD Lymphocyte depletion HD Lymphocyte-rich classical HD Nodular lymphocyte predominant HD
. Of NHL WHO classification Indolent — survival of the untreated disease measured in years Aggressive — survival of the untreated disease measured in months Highly aggressive — survival of the untreated disease measured in weeks.
. Of NHL WHO classification Indolent — survival of the untreated disease measured in years Aggressive — survival of the untreated disease measured in months Highly aggressive — survival of the untreated disease measured in weeks.
. Of NHL WHO classification


