e95228db6fd55b7db358977634ca1777.ppt
- Количество слайдов: 23
Heilaskúmsbelgir - Arachnoid cysts - Anna Kristín Þórhallsdóttir 5. árs læknanemi Barnalæknisfræði – Háskóli Íslands
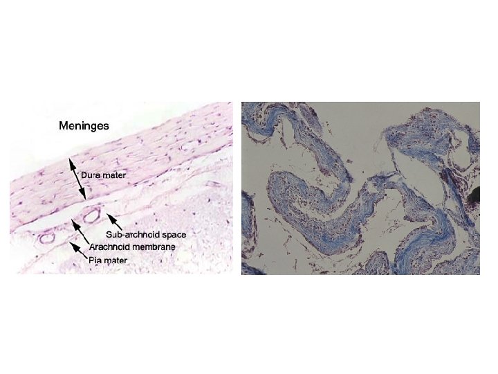
Heilaskúmsbelgir - Arachnoid cysts • Skilgreining: – Heila- og mænuvökvafylltir belgir, þaktir heilaskúmsfrumum og kollageni, sem geta myndast á yfirborði heilans, innan heilans eða í mænunni.
Faraldsfræði • • 1 -4/100 20% með einkenni 1% intracranial fyrirferða meðal fullorðinna 3% intracranial fyrirferða hjá börnum 60 -90% tilfella greinast fyrir 20 ára aldur kk: kvk 3: 1 Algengara vinstra megin Tíðnin vaxandi síðustu ár
Orsakir • Primary - Meðfætt • Secondary - Áunnið – Höfuðáverkar – Intracranial blæðingar – Tumorar – Sýkingar
Meinalífeðlilsfræði Tilgátur - myndun: • Agenesis á hluta heilans • Galli í myndun heilaskúms, klofnun eða tvöföldun • Gallað flæði heila- og mænuvökva Tilgátur - stækkun: • Blöðru kenning • Heila- og mænuvökvaframleiðsla af arachnoid frumum í cystunni
Cerebellopontine angle Sylvian fissura Quadrigeminal Staðsetningar Posterior infratentorial Suprasellar Spinal
Einkenni • Flestir einkennalausir • Breytileg eftir stærð og staðsetningu – – – – – Aflögun á höfði eða aukið höfuðummál Hydrocephalus Aukinn intracranial þrýstingur Höfuðverkur Þroskafrávik Krampar Hegðunarbreytingar Hemiparesa Ataxia O. fl.
Einkenni eftir staðsetningu
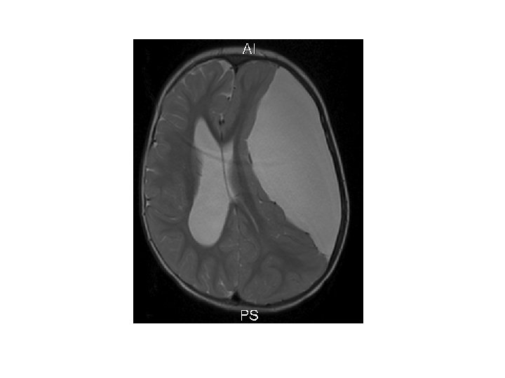
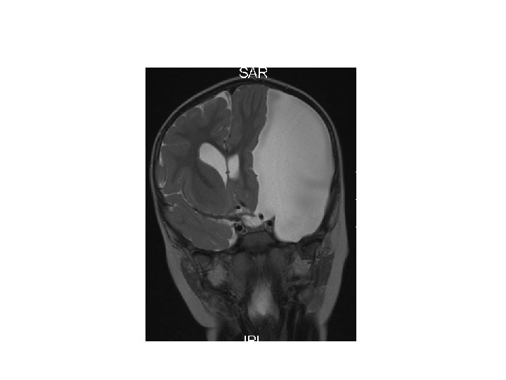
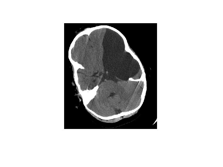
Greining • CT • MRI • Ísótóparannsóknir • Einkennalaust: Greinist oft fyrir tilviljun með CT eða MRI • Einkenni: Gullstandard MRI
Mismunagreiningar Colloid cysta Parasitisk sýking Cystiskur metastasi
Mismunagreiningar Porencephalic cysta Craniopharyngiomas Holoprosencephaly
Mismunagreiningar Cerebellar Agenesis á Dandy-Walker hemangioblastomas corpus callosum complex
Meðferð • Ef einkennalaust: – Serial myndrannsóknir og taugaskoðanir – Mælt með MRI á 6 mánaða fresti eða árlega. • Sumir telja að meðhöndla eigi alla einkennalausa fyrirbyggjandi til að hindra: – Samþjöppun á heilavef – Cystu rupturu – Subdural blæðingu • Aðgerð ekki hættulaus – Blæðingar – Hyperperfusion – Hygromas
Meðferð Einkenni: • • Stórar cystur Aukinn intracranial þrýstingur Hydrocephalus Krampar Brottfallseinkenni Vitræn skerðing Blæðingar – Skurðaðgerð: • Craniotomia: Partial eða complete cystectomia • Fenestrationir í subarachnoid bilið • Cyst peritoneal shunt
Horfur • Ómeðhöndlað getur þetta valdið óafturkræfum og alvarlegum heilaskemmdum – Aukin þensla – Blæðingar • Horfur góðar eftir meðferð
Heimildir: Cincu R, Agrawal A, Eiras J (2007). “Intracranial arachnoid cysts: Current concepts and treatment alternatives”. Clinical Neurology and Neurosurgery, Volume 109, Issue 10, December 2007, Pages 837 -843 Basauri, L, and Selman J (1992). “Intracranial Arachnoid Cysts”. Child's Nervous System, 8; 101 -104. Ciricillo S et al (1991). “Intracranial Arachnoid Cysts in Children”. Journal of Neurosurgery, 74; 230 -235 Punzo A et al (1992). “Surgical Indications for Intracranial Arachnoid Cysts”. Neurochirurgia, 35; 35 -42. Qibing Huang MD et al (2006). “The diagnosis and neuroendoscopic treatment of noncommunicating intracranial arachnoid cysts. ” Surgical Neurology 68 (2007) 149– 154. • • • http: //www. wrongdiagnosis. com/artic/ninds_arachnoid_cysts_information_page _ninds. htm http: //www. hopkinsneuro. org/peds_surgery/disease. cfm/condition/Arachnoid_C ysts http: //www. ninds. nih. gov/disorders/arachnoid_cysts. htm http: //www. popovic. com. au/surgery_cranial_conditions. html http: //neurosurgery. seattlechildrens. org/conditions_treated/arachnoid_cysts. asp
Takk fyrir
e95228db6fd55b7db358977634ca1777.ppt