b0da80452faf1786f69f1ecbfc3e192c.ppt
- Количество слайдов: 45
Head Injury Anthony G. Hillier, D. O. St. John West Shore Emergency Medicine Resident
Head Injury-Epidemiology § § § 1. 5 million Non-fatal TBI’s 370, 000 Hospitalizations 80, 000 cases of neurological sequela 52, 000 Die from TBI’s 4 billion annually for cost of treatment Peak incidence: – Males age 15 -24 years § Causes of TBI – Young: GSW – Old: Falls
Head Injury-Anatomy § § Scalp Blood supply Calvaria Brain – Occupies 80% of calvarium
Head Injury-Pathophysiology § Primary injury – Irreversible cellular injury as a direct result of the injury – Prevent the event § Secondary injury – Damage to cells that are not initially injured – Occurs hours to weeks after injury – Prevent hypoxia and ischemia
Head Injury-Normal Physiology § § Brain consumes 20% of total O 2 Receives 15% of Cardiac Output Brain tissue perfusion CPP versus CBF – CPP=MAP-ICP § MAP=(SBP-DBP/3) + DBP – ICP=IVM § Autoregulation – 50 -150 mm Hg
ICP
Head Injury-Initial Evaluation and Management § Prevent Secondary Brain Injury – Hypoxemia – Hypotension – Anemia – Hyperglycemia – Evacuation of mass § Airway control with cervical spine immobilization – Orotracheal Rapid Sequence Intubation § § § Goal is to RSI to blunt rise in ICP and maintain adequate MAP Pretreatment-Lidocaine 1. 5 mg/kg, Vecuronium 0. 01 mg/kg Induction-Etomidate 0. 3 mg/kg, Fentanyl 3 -5 mcg/kg, Thiopental 3 -5 mg/kg, Propofol 1 -4 mg/kg § Paralysis-Succinylcholine 1. 5 mg/kg
Head Injury-Initial Evaluation and Management § Circulation – Maintain MAP at 90 mm Hg – Aggressive fluid resuscitation § Does not increase ICP – Vasopressors if crystalloids inadequate – Transfuse if hypotensive and Hct <30 – Hypertension-Assume Cushing Reflex § If ICP is normal, gradually reduce MAP no more than 30%
Spectrum of Traumatic Brain Injury § Mild TBI – GCS 14 -15 – 80% of all TBI – Low Risk § GCS 15 and no LOC, amnesia, vomiting or diffuse HA § Less than 0. 1% risk of hematoma requiring evacuation – Medium Risk § GCS 15 and LOC, amnesia, vomiting or Diffuse HA § 1 -3% risk of hematoma requiring evacuation § CT should be done in medium risk mild TBI
Spectrum of Traumatic Brain Injury § Mild TBI – High Risk § GCS 14 -15 § Neurologic deficits § Up to 10% risk of hematoma requiring evacuation § Anyone with coagulopathy, drug/alcohol consumption, epilepsy, age >60 and previous neurosurgery – Disposition § No CT indicated or negative CT with GCS 15 -Home § GCS 14 and negative CT-Observation admit
Spectrum of Traumatic Brain Injury § Moderate TBI – GCS 9 -13 – 10% of all TBI – <20% mortality § Severe TBI – GCS <9 – 10% of all TBI – 40% mortality – 50% morbidity – 40% positive CT – 8% NS intervention – <10 make moderate recovery
Intracerebral Pressure § Normal <15 mm Hg § ICP >20 -25 mm Hg – Increases morbidity and mortality § ICP monitoring rarely available in the ED § Must use physical findings – Neurologic deterioration – Unilaterally dilated pupil – Hemiparesis – Posturing
Increased ICP-Management § Hypertonic Saline – Improves CPP and brain tissue O 2 levels – Decreased ICP by 35% (8 -10 mm HG) – CPP increased by 14% – MAP remained stable – Greatest benefit in those with higher ICP and lower CPP – Repeated doses were not associated with rebound, hypovolemia or HTN – 30 m. L of 23. 4% over 15 minutes A. Defillo, Hennepin County Medical Center
Increased ICP-Management § Mannitol – Osmotic agent – Effects ICP, CBF, CPP and brain metabolism – Free radical scavenger – Reduces ICP within 30 minutes, last 6 -8 hours – Volume expansion, reduces hypotension – Dosage § 0. 25 -1 gm/kg bolus
Increased ICP-Management § Hyperventilation – Not recommended as prophylactic intervention – Never lower than 25 mm Hg – Reduces ICP by vasoconstriction, may lead to cerebral ischemia – Used as a last resort measure – Maintain Pa. CO 2 at 30 -35 mm Hg
Increased ICP-Management § Barbiturate Coma – Not indicated in the ED – Lowers ICP, cerebral metabolic O 2 demand § Anticonvulsants – Reduce occurrence of post-traumatic seizures – No improvement in long-term outcome § ICP Monitoring – Should be performed on TBI with GCS <9 – Increased ICP may be managed by drainage
Specific Head Injuries § Scalp Lacerations – May lead to massive blood loss – Small galeal lacerations may be left alone § Skull Fracture – Linear and simple comminuted skull fractures § Exploration of wound § Prophylactic antibiotics are controversial § Occipital fractures have a high incidence of other injury § If depressed beyond outer table-requires NS repair
Specific Head Injuries § Skull Fractures – Basilar Fracture § Most common-petrous portion of temporal bone, the EAC and TM § Dural tear – CSF otorrhea – CSF rhinorrhea – Battle Sign – Raccoon Sign – Hemotympanum – Vertigo – Hearing loss – Seventh nerve palsy § CSF testing – Ring sign, glucose or CSF transferrin § Should be started on prophylactic antibiotics – Ceftriaxone 1 -2 gm
The Ring Sign § Ann Emerg Med. 1993 Apr; 22(4): 718 -20. § The 'ring sign': is it a reliable indicator for cerebral spinal fluid? Dula DJ, Fales W. Department of Emergency Medicine, Geisinger Medical Center, Danville, Pennsylvania. STUDY OBJECTIVE: To study the development of a ring sign when blood is mixed with various fluids. METHODS: One drop of blood and one drop of either spinal fluid, saline, tap water, or rhinorrhea fluid were placed simultaneously on filter paper, and the specimens were examined after ten minutes for the development of a ring. A variety of filter paper agents were used, including standard laboratory filter paper, paper towels, coffee filters, and bed linens. RESULTS: All fluids, when mixed with blood, gave rise to a ring sign; blood alone did not. The type of filter paper did not affect the development of a ring. CONCLUSION: In this experimental setting, the ring or halo sign is reliable for detecting cerebrospinal fluids but is not exclusive for cerebrospinal fluid.
Specific Head Injuries § Brain Herniation – Four Types § Uncal Transtentorial § Central Transtentorial § Cerebellotonsillar § Upward Posterior Fossa
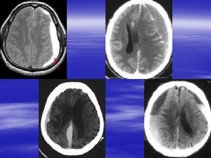
Case 1
Specific Head Injuries § Traumatic Subarachnoid Hemorrhage – Most common CT finding in moderate to severe TBI – If isolated head injury, may present with headache, photophobia and meningismus – Early t. SAH development triples mortality – Size of bleed and outcome – Timing of CT – Nimodipine reduces death and disability by 55%
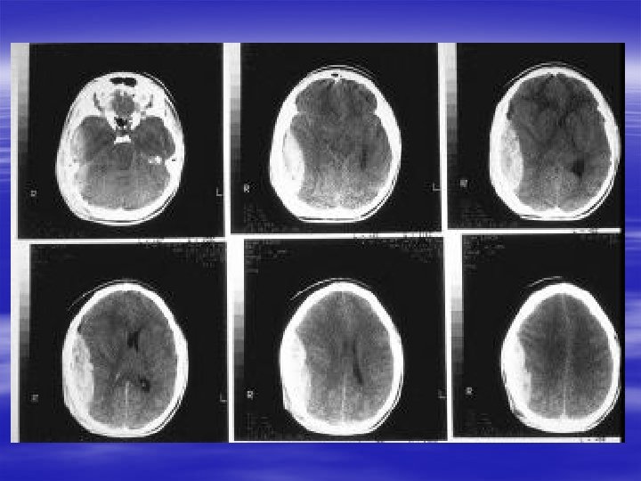
Case 2
Specific Head Injuries § Epidural Hematoma – Occurs in 0. 5% of all head injuries – Blunt trauma to temporoparietal region – Eighty percent with associated skull fracture – May occur with venous sinus tears – Classic presentation only 30% of the time
Specific Head Injuries § Subdural Hematoma – Sudden acceleration-deceleration injury with tearing of bridging veins – Common in elderly and alcoholics – Classified as acute, subacute or chronic § Acute <2 weeks § Chronic >2 weeks
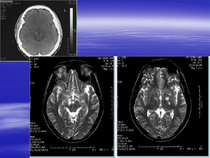
Specific Head Injuries § Diffuse Axonal Injury – Disruption of axons in white matter and brainstem – Injury occurs immediately and is irreversible – Seen after MVC or shaken baby syndrome – Usually have persistent vegetative state – CT usually normal – MRI with multiple, diffuse abnormalities
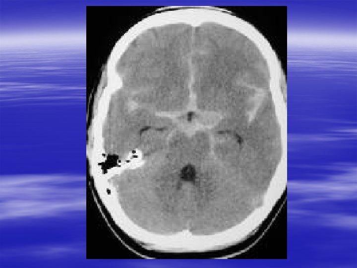
Specific Head Injuries § Penetrating Injury – Gunshot Wounds § Injury due to direct brain injury and cavitary effects § GCS predicts prognosis – GCS >8 and reactive pupils = 25% mortality – GCS <5 = nears 100% mortality – Stab wounds
Complications-Long Term Sequela § Seizure Disorder – 2% Early post-traumatic incidence – Increased to 30% in children, alcoholics and with intracranial hematoma § Prophylactic antiepileptics reduce early occurrence § Use not supported by the literature § Concussion - Brief LOC - Dizziness - Photophobia - Vertigo - Nausea - Headache - Vomiting - Cognitive/Memory dysfunction
Complications-Long Term Sequela § Concussion – Up to 80% may have symptoms at 3 months – 15% may have symptoms at 1 year – Persistence of these symptoms is termed Postconcussive Syndrome – 85 -90% recover after 1 year – Risk factors: - Female - Litigation - Low socioeconomic status
Complications-Long Term Sequela § Infection – Skull fracture – CSF leak – Intubation – ICU – Treatment § Prophylactic antibiotics – History of Fracture § Fever § Signs of meningitis – 3 rd generation cephalosporin – Vancomycin
Questions?
Lecture Questions 1. Which of the following modalities is not recommended for head injured patients with elevated ICP? a. b. c. d. e. Hypertonic saline Hyperventilation to CO 2 of <30 mm Hg Mannitol ICP monitoring Barbiturate coma
2. Which of the following are true regarding TBI? a. b. c. Post-concussive symptoms are common It is expensive to society Preventing secondary brain injury is critical in the management d. All of the above are correct
3. Epidural hematomas are associated with all of the following except: a. b. c. d. e. Trauma to the temporoparietal region Extremes of age Have classic presentation only 30% of the time Damage to the middle meningeal artery Damage to a venous sinus
4. Traumatic subarachnoid hemorrhage has all the following features except: a. Has a higher mortality than an equal aneurysmal SAH b. Mortality is reduced with nimodipine c. Surgical drainage is usually unnecessary d. Most common CT finding in TBI e. Size of bleed is unrelated to mortality
5. Concerning basilar skull fractures which of the following is not true? a. The ring sign is both sensitive and specific for CSF otorrhea/rhinorrhea b. The only physical exam finding may be a hemotympanum c. Battle and Raccoon signs are usually not initially present in the ED d. Most commonly occurs in the temporal bone b, d, b, e, a


