ВИЧ и тубуркулез1.ppt
- Количество слайдов: 56
ГОУ ВПО «Уральская государственная медицинская академия» ФГУ «Уральский НИИ фтизиопульмонологии» ВИЧ И ТУБЕРКУЛЕЗ проф. Ю. П. Чугаев
Сущность инфекции в том, что вирус иммунодефицита человека – ВИЧ поражает лимфоциты CD-4, которые являются материальными структурами, обеспечивающими защиту организма от многих микроорганизмов, вирусов и грибов, что приводит к выпадению этого звена из системы иммунитета, и формирует Синдром приобретенного иммунодефицита – СПИД.
Вирус иммунодефицита человека инфицирует клетки, на поверхности которых имеется антиген CD 4. Это хелперы, являющиеся субпопуляцией Т-лимфоцитов, их называют CD 4+ Т-лимфоциты. ВИЧ-инфекция приводит к прогрессирующему уменьшению CD 4+ Т-лимфоцитов, а сохранившиеся клетки теряют свои функции.
Основными лабораторными позициями, оценивающими ВИЧ-статус являются: ► Содержание СД-4: N - 800 -1200 клеток в микролитре, у детей – ¼ от числа лимфоцитов; ► Вирусная нагрузка исчисляется копиями в миллилитре: от неопределяемых величин до миллионов копий в мл; ► Содержание СД-4 200 и менее клеток в микролитре – это СПИД!!! ► Чем выше вирусная нагрузка, тем пациент опаснее, как источник инфекции. СД-4 и вирусная нагрузка являются определяющими критериями мониторирования течения инфекции
Тесты на ВИЧ-инфекцию ► Антитела к ВИЧ в сыворотке или плазме крови, выявляемые методом ИФА. Внимание! У рожденных ВИЧинфицированными женщинами детей в течение 6 -9 месяцев могут определяться антитела к ВИЧ материнского (трансплацентарного) происхождения. ► Вирусная нагрузка – количественное определение РНК вируса в плазме крови, выражающееся числом копий в мл (ПЦР).
Статистика угрожающа, прогноз мрачен: В мире вирусом иммунодефицита человека инфицированы более 80 млн. человек; ► 35 млн. людей умерли; ► 45 млн. живут с ВИЧ/СПИД; ► 5 млн. новых случаев в год. ►
Эпидемия ВИЧ/СПИД в России распространяется с угрожающей скоростью и около 1% взрослого населения страны уже инфицированы! В ряде территорий распространенность ВИЧинфекции превышает 1000 случаев на 100000 населения.
Что ждет Россию? ► «умеренный» вариант развития эпидемии предполагает инфицирование ВИЧ 2% населения: к 2025 году число больных ВИЧ/СПИД достигнет 5 млн. человек, а 3, 4 млн. россиян уже умрут. ► «средний» вариант с превалентностью 6% к 2025 году приведет к смерти 8, 7 млн. человек, а 11 млн. будут инфицированы. ► Превалентность в 10% дает 7 млн. больных и 12 млн. смертей от ВИЧ-СПИДа.
Эпидемиологическая цепочка при ВИЧинфекции Источник инфекции: ВИЧ-инфицированные и больные СПИДом инъекционные наркоманы; работники коммерческого секса; заключенные; Мигрирующее население прочие. Пути передачи: гемоконтактный; гетеро- и гомосексуальный; ятрогенный; вертикальный; аварии. Восприимчивый контингент ВСЕ! Существенно, что источники инфекции сконцентрированы в группах повышенного риска, которые в значительной степени накладываются друг на друга.
КЛИНИЧЕСКАЯ КЛАССИФИКАЦИЯ ВИЧ-ИНФЕКЦИИ 1. Стадия инкубации 2. Стадия первичных проявлений Варианты течения: А. Бессимптомное Б. Острая инфекция без вторичных заболеваний В. Острая инфекция с вторичными заболеваниями 3. Субклиническая стадия
КЛИНИЧЕСКАЯ КЛАССИФИКАЦИЯ ВИЧ-ИНФЕКЦИИ 4. Стадия вторичных заболеваний 4 А. Потеря массы тела менее 10%, грибковые, вирусные, бактериальные поражения кожи и слизистых, повторные фарингиты, синуситы, опоясывающий лишай. 4 Б. Потеря массы тела более 10%, необъяснимая диарея или лихорадка более месяца, повторные стойкие вирусные, бактериальные, грибковые, протозойные поражения внутренних органов, локализованная саркома Капоши, повторный или диссеминированный опоясывающий лишай. 4 В. Кахексия. Генерализованные вирусные, бактериальные, микобактериальные, грибковые, протозойные, паразитарные заболевания, в том числе: кандидоз пищевода, бронхов, трахеи, легких; пневмоцистная пневмония; злокачественные опухоли; поражения центральной нервной системы. 5. Терминальная стадия
Линия жизни ВИЧ-инфицированных или классификация во временном отображении Стадия I II IV V инкубации Первичных проявлений Субклиническая вторичных заболеваний терминаль ная Длительность 3 недели – 3 месяца 1 год 6 – 7 лет (от 2 до 20) 3 – 6 лет Месяцы Всего от момента заражения До 3 -х месяцев Около 1, 5 лет Около 7 лет 10 -12 лет 10 – 12 лет
ВИЧ-инфекция, снижая содержание CD 4 Т-лимфоцитов приводит к развитию ВИЧ-ассоциированных инфекционных и неинфекционных заболеваний, развивающихся при разной степени выраженности CD 4 клеточного иммунодефицита.
Риск развития вторичных заболеваний у в зависимости от числа CD 4 -лимфоцитов Число CD 4 лимфоцит ов мкл Вторичные заболевания Инфекционной природы Неинфекционной природы > 500 1. Острая лихорадочная фаза ВИЧ-инфекции 1. Кандидозный вагинит 200– 500 1. Персистирующая генерализован-ная лимфаденопатия 1. Синдром Гийена–Баре 1. Миопатия 1. Серозный менингит 1. Пневмококковая и другие бактериальные пневмонии 1. Туберкулез легких 1. Опоясывающий лишай 1. Дисплазия шейки матки* 1. Кандидозный стоматит (молочница) и фарингит 1. Криптоспоридиоз острый 1. Саркома Капоши 1. Волосатая лейкоплакия рта 1. Рак шейки матки* 1. Диффузная B-крупноклеточная лимфома, лимфома Беркитта** 1. Анемия 1. Множественная мононейропатия 1. Идиопатическая тромбоцитопеническая пурпура 1. Лимфогранулематоз 1. Лимфоидная интерстициальная пневмония
100– 200 1. Пневмоцистная пневмония 1. Диссеминированные гистоплазмоз и кокцидиоидоз 1. Милиарный или внелегочный туберкулез 1. Прогрессирующая мультифокальная лейкоэнцефалопатия 50– 100 1. 1. < 50 1. 1. Генерализованный герпес Токсоплазмоз Криптококкоз Криптоспоридиоз хронический Микроспоридиоз Кандидозный эзофагит Цитомегаловирусная инфекция Диссеминированная инфекция, вызванная Mycobacterium aviumintracellulare 1. ВИЧ-кахексия 1. Периферическая нейропатия 1. СПИД-дементный синдром 1. 1. Кардиомиопатия Вакуолярная миелопатия Прогрессирующая полирадикулопатия Лимфомы** 1. Первичная лимфома ЦНС**
Почему ВИЧ-инфекция является самым серьезным фактором риска развития туберкулеза? ►В России до 80% взрослого населения инфицированы МБТ и реагируют на туберкулин; ► Положительная туберкулиновая проба – маркер наличия в организме жизнеспособных МБТ, а под термином ТУБИНФИЦИРОВАНИЕ скрывается ЛАТЕНТНЫЙ ТУБЕРКУЛЕЗ. ► Не менее 10% инфицированных МБТ лиц в течение жизни заболевают туберкулезом по эндогенному сценарию. ► Риск развития туберкулеза по тому же сценарию у ВИЧ-инфицированных лиц достигает 10% в год!
Реальный риск развития туберкулеза в активных фазах приходится на 4 Б и 4 В стадии ВИЧ-инфекции, когда существенно снижается содержание в крови СД-4 – до 400 -200 кл/мкл
Число всех случаев активного туберкулеза и ВИЧ-инфекции на 100 тыс. населения в РФ в 1997 -2007 гг. (данные МЗ СР РФ)
Число новых случаев туберкулеза и ВИЧ-инфекции на 100 тыс. населения в РФ в 1999 -2007 гг. (по данным МЗ СР РФ)
Алгоритм действия специалистов фтизиатрической службы при оказании противотуберкулезной помощи ВИЧ-инфицированным гражданам Проведение контролируемого превентивного лечения туберкулеза у ВИЧ-инфицированных Обследование на ВИЧ всех больных туберкулезом При выявлении ВИЧ-инфекции консультация у инфекциониста При подтвержден ии ВИЧинфекции – заполнение Ф 263 и направление в областной ПТД и в ОЦ СПИД Госпитализация для лечения б-ных туберкулезом в сочетании с ВИЧ до стадии СПИДа в ПТД, консультация инфекциониста Госпитализация для лечения больных туберкулезом с ВИЧ в стадии СПИДа в бокс инфекционного стационара, ведение совместно с инфекционистом Представление вв больных туберкулезом+ВИЧ, с рецидивом туберкулеза+ВИЧ и умершие от сочетания туберкулеза и ВИЧ на ЦВКК в ПТД Организация и контроль проведения противоэпидемических мероприятий в очагах туберкулезной инфекции При появлении у ВИЧинфицированного клиники, подозрительной на туберкулез, и при отсутствии туберкулезных изменений в легких и других органах после обследования у фтизиатра – назначение пробного специфического лечения по III режиму химиотерапии туберкулеза; следить за динамикой самочуствия; повторное обследование на туберкулез в зависимости от клиники
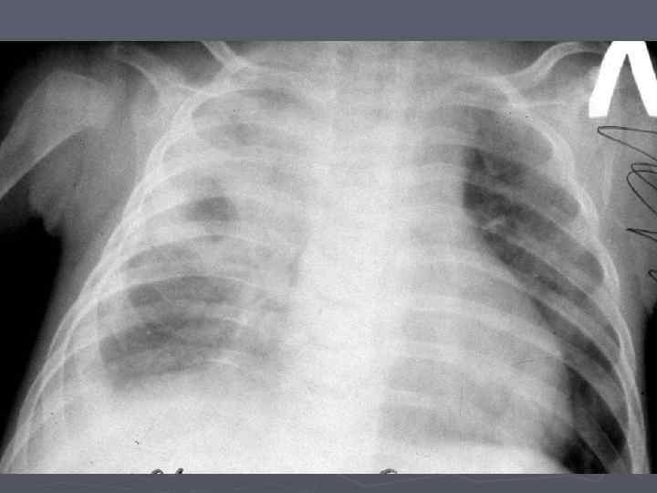
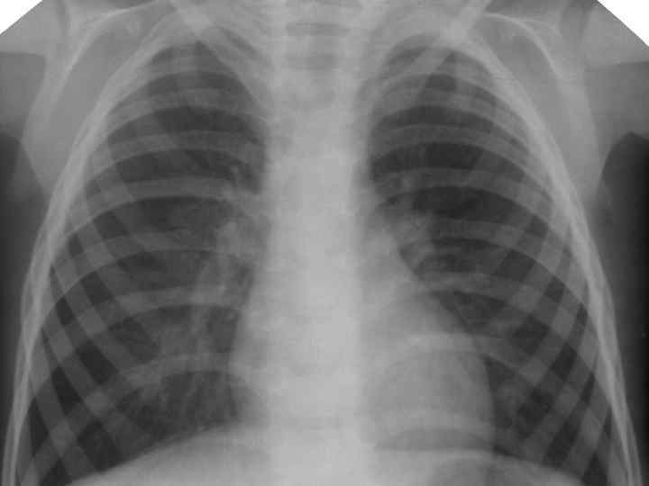
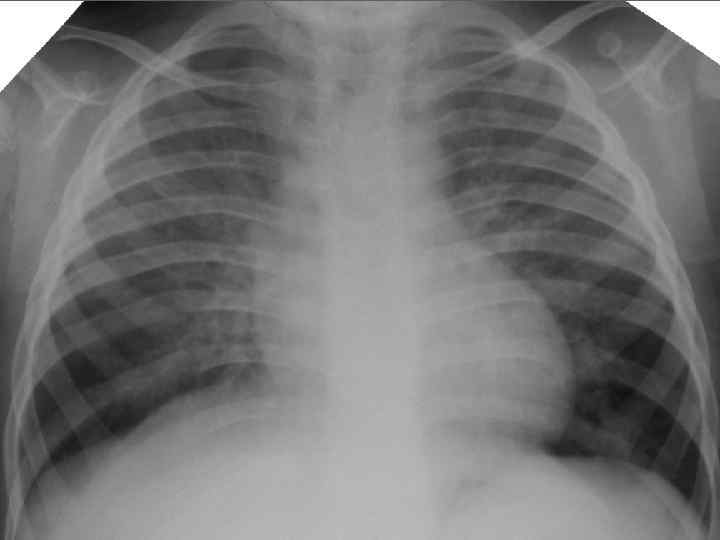
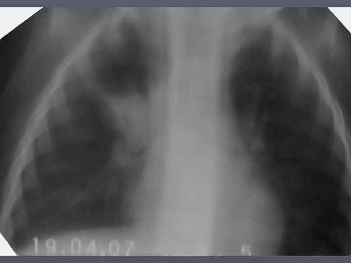
Клинические особенности туберкулеза у взрослых на фоне ВИЧ-инфекции ► ► ► ► ► Внутригрудные аденопатии; Милиарные высыпания; Частое поражение базальных сегментов легких; Относительно редкое поражение каудоапикальных сегментов легких; Распад легочной ткани диагностируется в 2 раза реже; Нередок плевральный выпот; Велика склонность к генерализации туберкулезной инфекции с множественными внелегочными локализациями. Присоеднинение туберкулезного менингита; МБТ в мокроте выявляются одинаково часто у ВИЧ негативных и позитивных лиц, по крови МБТ методом посева выделяются у 70% пациентов; При отсутствии признаков локального туберкулеза и неясной лихорадке – посев костного мозга часто дает МБТ+.
► Протоколы лечения туберкулеза на фоне ВИЧ-инфекции во II, IV стадиях не отличаются от общепринятых, но дополняются антиретровирусными препаратами, что повышает содержание СД-4; ► Нормализация иммунного профиля у больных под влиянием антиретровирусных препаратов может вызвать обострение туберкулезного процесса.
Течение туберкулеза у ВИЧ-позитивных лиц зависит от степени угнетения иммунной системы: ► Во 2 -3 стадиях, когда содержание СД-4 в пределах физиологической нормы, и течение, и результаты химиотерапии не отличаются от таковых у ВИЧ-негативных больных; ► Примерно такие же закономерности при ситуации туберкулез + ВИЧ в 4 А стадии; ► 4 Б и 4 В стадиях ВИЧ способствует прогрессированию туберкулеза и химиотерапия часто не приводит к позитивному результату; ► Туберкулез при 5 -ой стадии ВИЧ, то есть СПИДе, протекает агрессивно, сочетаясь с другими ВИЧ-ассоциированными заболеваниями (кандидоз) и лечение больных бесперспективно.
Российский рекомендации по проведению выскоактивной антиретровирусной терапии (ВААРТ) Абсолютные критерии Стадия вторичных заболеваний в фазе прогрессирования ► Стадия первичных проявлений при наличии вторичных заболеваний (2 В) ► Количество CD 4 -лимфоцитов менее 0, 2 * 109 клеток/л ► Относительные критерии Стадия вторичных заболеваний (4 Б, 4 В) в фазе ремиссии ► Количество CD 4 -лимфоцитов 0, 2 - 0, 35 * 109 клеток/л ► Уровень РНК ВИЧ > 100 000 копий/мл ►
Российский рекомендации по проведению выскоактивной антиретровирусной терапии (ВААРТ) Схема № 1 ► Инфавиренц + Зидовудин + Лимивудин – 1 капс. (таб. ) утром, 2 – вечером Схема № 2 ► Инфавиренц + Зидовудин + Диданозин – 4 таб. (капс. ) утром, 4 - вечером
Лечение сочетанных случаев туберкулеза и ВИЧ-инфекции Клинические протоколы для Европейского региона ВОЗ Принципы назначения ВААРТ при лечении туберкулеза Количество CD 4 - клеток Рекомендации Туберкулез легких < 200 кл/мкл Начинают лечение туберкулеза. После того, как оно будет хорошо переносится, присоединяют как можно раньше ( от 2 недель до 2 месяцев) ВААРТ От 200 до 350 кл/мкл Начинают лечение туберкулеза. После окончания его интенсивной фазы присоединяют ВААРТ (в случае клинически выраженного иммунодефицита возможно раньше >350 кл/мкл Начинают лечение туберкулеза и проводят контроль числа CD 4 клеток. ВААРТ назначают, если на фоне лечения туберкулеза количество CD 4 -клеток становится ниже 350 кл/мкл Внелегочный туберкулез Независимо от числа клеток Начинают лечение туберкулеза. После того, как оно будет хорошо переноситьс я, присоединяют как можно раньше (от 2 недель до 2 месяцев) ВААРТ
Режимы первой линии ВААРТ для лиц, получающих Рифампицин Принципы назначения ВААРТ Режим выбора Два ингибитора обратной транскриптазы (нуклеозидные и нуклеотидные аналоги) + ненуклеозидный ингибитор обратной транскриптазы Альтернати Три ингибитора обратной вный транскриптазы (нуклеозидные и нуклеотидные аналоги) Комбинации препаратов для ВААРТ, рекомендуемый ВОЗ Зидовудин (или Тенофовир) + Ламивудин (или Эритрицитабин) + Инфавиренц Зидовудин + Ламивудин + Абакавир (или Тенофовир)
Режимы второй линии ВААРТ на фоне противотуберкулезной терапии Принципы назначения ВААРТ Режим выбора Комбинации препаратов для ВААРТ Два ингибитора обратной транскриптазы (нуклеозидные и нуклеотидные аналоги) +два ингибитора протеазы (один из них со стимуляцией малой дозой Ритонавира) Абакавир + Диданозин+ Лопинавир Ритонавир (малая доза) + Ритонавир или Тенофовир + Диданозин + Лопинавир Ритонавир + Ритонавир Альтернати Два ингибитора обратной вный транскриптазы (нуклеозидные и нуклеотидные аналоги) + два ингибитора протеазы Абакавир + Диданозин + Саквинавир + Ритонавир или Тенофовир + Диданозин+ Саквинавир + Ритонавир
Взаимодействие рифабутина и антиретровирусных препаратов Ингибиторы протеазы и ненуклеозодные ингибиторы обратной транскриптазы Индинавир 1000 мг х 8 час. Нелфинавир 1000 мг 3 р/день или 1250 мг 2 р/день Ампренавир 1200 мг 2 раза/день Рифабутин 150 мг/день или 300 мг 2 -3 раза в неделю Ифавиренц 600 мг/день 150 мг/день или 300 мг 2 -3 раза в неделю 450 -600 мг/день Ритонавир/саквинавир 400/400 мг или 1000/100 мг 2 раза в день 150 мг/день или 300 мг 2 -3 раза в неделю Невирапин 200 мг 2 раза в день Лопинавир/ритонавир 400/100 мг Ритонавир 600 мг 2 раза в день 300 мг 2 -3 раза в неделю 150 мг/день
Принципы назначения антиретровирусной терапии больным туберкулезом Количество CD 4 -клеток Рекомендации Туберкулез легких CD 4 <0, 200 х109 клеток/л Начинают лечение туберкулеза. После того как оно будет хорошо переноситься, присоединяют, как можно раньше, высокоактивную антиретровирусную терапию (от 2 недель до 2 месяцев после начала терапии туберкулеза). CD 4 – 0, 200 -0, 350 х109 Клеток/л CD 4 >0, 350 х109 клеток/л Начинают лечение туберкулеза. Высокоактивнаую антиретровирусную терапию назначают через 2 месяца после начала лечения. Лечат туберкулез, и проводят контроль числа CD 4 клеток. Высокоактивная антиретровирусная терапия назначается в соответствии с основными рекомендациями. Полиорганный туберкулез Независимо от числа клеток Начинают лечение туберкулеза. После того как оно будет хорошо переноситься, как можно раньше присоединяют высокоактивную антиретровирусную терапию.
Для определения клинических стадий ВИЧ-инфекции у детей ВОЗ предлагает выделять: Стадия 1 ► Отсутствие симптомов ► Персистирующая генерализованная лимфаденопатия Стадия 2 ► Необъяснимая хроническая диарея ► Тяжелый персистирующий или повторяющийся кандидоз не в неонатальном периоде ► Снижение массы тела и ослабление организма ► Персистирующая лихорадка ► Повторяющиеся тяжелые бактериальные инфекции Стадия 3 ► Обусловленные СПИДом оппортунистические инфекции ► Сильное ослабление организма ► Прогрессирующая энцефалопатия ► Злокачественные новообразования ► Повторяющиеся септицемия или менингит
У детей, заразившихся от инфицированных или больных ВИЧ/СПИД матерей вертикальным способом, заболевание протекает стремительно: СПИД развивается через 1 -4 года после рождения!!!
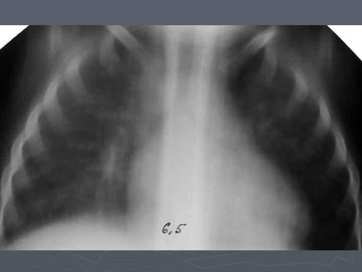
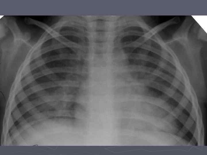
Клинико-эпидемиологические особенности туберкулезной инфекции у ВИЧинфицированных и больных СПИДом детей ► Вертикальный путь заражения ВИЧ; ► Ранний возраст; ► Семейные контакты с болеющими туберкулезом в активных фазах; ► Отсутствие вакцинации БЦЖ; ► Выраженный локальный процесс, протекающий с: § бронхолегочными поражениями; § Распадом легочной ткани; § Обсеменением легочной ткани.
Неблагоприятное сочетание ряда обстоятельств: § Ранний возраст; § Тяжелые семейные контакты; § Отсутствие вакцинации - и у свободных от ВИЧ-инфекции детей всегда приводят к развитию локального туберкулеза, протекающего, как правило, ОСЛОЖНЕННО с бронхолегочными поражениями, распадом легочной ткани, диссеминациями.
Клинические наблюдения:


