ab602850bed48ddc303f83019cfad3fb.ppt
- Количество слайдов: 79
ГОУ ВПО «РОССИЙСКИЙ УНИВЕРСИТЕТ ДРУЖБЫ НАРОДОВ» КАФЕДРА НЕРВНЫХ БОЛЕЗНЕЙ И НЕЙРОХИРУРГИИ ИНФЕКЦИОННЫЕ И ПАРАЗИТАРНЫЕ ЗАБОЛЕВАНИЯ НЕРВНОЙ СИСТЕМЫ: ЭНЦЕФАЛИТЫ, МЕНИНГИТЫ, АРАХНОИДИТЫ, АБСЦЕССЫ ГОЛОВНОГО МОЗГА, ТРОМБОЗЫ СИНУСОВ. ЛЕЧЕНИЕ. ПОРАЖЕНИЕ НЕРВНОЙ СИСТЕМЫ ПРИ МАЛЯРИИ, БРУЦЕЛЛЕЗЕ, ТУБЕРКУЛЕЗЕ, ТОКСОПЛАЗМОЗЕ, ТРИПАНОСОМОЗЕ, СИФИЛИСЕ НЕРВНОЙ СИСТЕМЫ. ШИСТОЗОМАТОЗ, ЦИСТИЦЕРКОЗ, ЭХИНОКОККОЗ ЦЕНТРАЛЬНОЙ НЕРВНОЙ СИСТЕМЫ. ЛЕЧЕНИЕ И ПРОФИЛАКТИКА.
ИНФЕКЦИОННЫЕ ПОРАЖЕНИЯ НЕРВНОЙ СИСТЕМЫ 1. 2. 3. 4. 5. 6. ОСНОВНЫЕ ИНФЕКЦИИ НЕРВНОЙ СИСТЕМЫ БАКТЕРИИ ВИРУСЫ РЕЖЕ СПИРОХЕТЫ, ГРИБЫ И ПАРАЗИТЫ ПУТИ ПРОНИКНОВЕНИЯ ИНФЕКЦИИ ГЕМАТОГЕННЫЙ ЛИМФОГЕННЫЙ ТРАНСМИССИВНЫЙ ВОЗДУШНО-КАПЕЛЬНЫЙ КОНТАКТНЫЙ ПУТЬ (ИЗ ИНФИЦИРОВАННЫХ ОТДЕЛОВ ЧЕРЕПА, УШЕЙ, СИНУСОВ, ПРИ ОТКРЫТЫХ ТРАВМАХ ЧЕРЕПА ИЛИ ХИРУРГИЧЕСКОМ ВМЕШАТЕЛЬСТВЕ) АЛИМЕНТАРНЫЙ
КЛАССИФИКАЦИЯ ИНФЕКЦИОННЫХ ПОРАЖЕНИЙ Первичные Вторичные Менингит Энцефалит Менингоэнцефалит Миелит Полиневрит Энцефаломиелит
Быстрые Медленные Нейроинфекции вызываются бактериями или вирусами, имеющими различную тропность к мозговой ткани и различную скорость реализации патологического процесса
ЭНЦЕФАЛИТ Воспаление вещества головного мозга, индуцированное инфекционным агентом Пути проникновения инфекционных возбудителей в нервную систему: Гематогенный; Лимфогенный; Невральный; При наличии входных ворот;
ЭНЦЕФАЛИТЫ (РАННИЕ КЛАССИФИКАЦИИ) Эпидемический (летаргический, энцефалит Экономо) Весенне-летний клещевой Полисезонные (Коксаки) Энцефалиты при инфекциях (коревой, постгриппозный, герпетический) Поствакцинальные
ЭТИОЛОГИЯ ЭНЦЕФАЛИТА Первичные энцефалиты 1. вирус простого герпеса 2. вирус опоясывающего герпеса 3. цитомегаловирус 4. энтеровирусы Арбовирусы (вирус клещевого энцефалита и др. ) Параинфекционные энцефалиты 1. вирус гриппа 2. вирус кори 3. вирус краснухи 4. вирус эпидемического паротита
ПАТОГЕНЕЗ ЭНЦЕФАЛИТОВ Попадая тем или иным способом в организм человека возбудитель достигает гематоэнцефалического барьера (ГЭБ), через ГЭБ попадет в вещество головного мозга, подкорковые образование мозга где и начинается патологический процесс. Клиника, течение и диагноз энцефалита 1. Общеинфекционные симптомы 2. Менингеальные симптомы 3. Очаговые неврологические нарушения (афазия, центральные парезы конечностей, атаксия и другие) 4. Эпилептические припадки Дополнительные исследования 1. Люмбальная пункция (чаще 10 -100 клеток в куб. мм) 2. КТ и МРТ головы 3. Бактериологические и серологические методы выявления возбудителя (экспресс-диагностика - полимеразная цепная реакция) Продолжительность заболевания от 2 -х недель до нескольких месяцев. Смертность более 10%
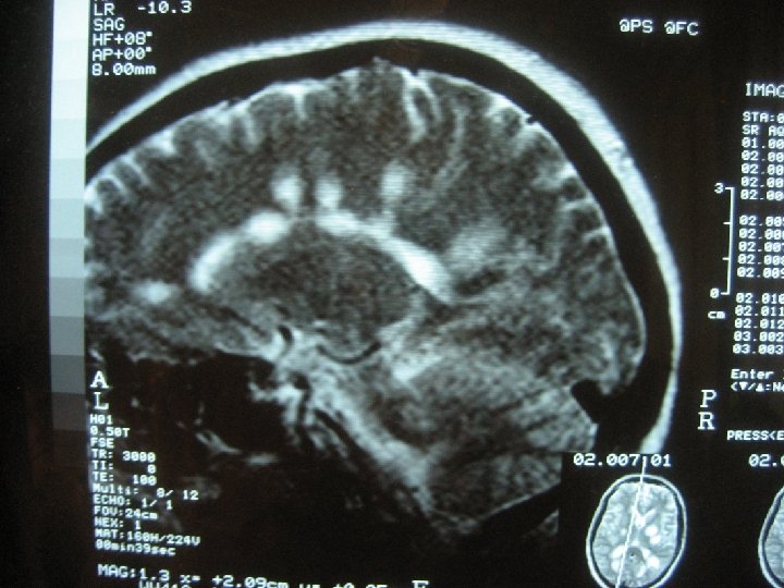
Герпетический энцефалит Обычно яркая, прогрессирующая клиническая картина; В анамнезе прослеживается связь с герпесом другой локализации, выявленным и даже пролеченным, за 3 -5 месяцев до первых энцефалитических симптомов; Лечение : противогерпетические препараты, базисная терапия
ГЕРПЕТИЧЕСКИЙ ЭНЦЕФАЛИТ Клиническая картина 1. эпилептические припадки 2. поведенческие нарушения, обонятельные и вкусовые галлюцинации, расстройства памяти, афазия, центральные парезы конечностей 3. часто нарушение сознания ЭЭГ - высокоамплитудные острые волны и медленноволновые комплексы 2— 3 кол/сек в височных отведениях. Смертность достигает 40% У большинства из выживших больных остаются стойкие неврологические нарушения и(или) развивается симптоматическая эпилепсия Терапия - в/в ацикловир 3 раза в сутки по 10 мг/кг в течение 10 -14 суток и симптоматическое лечение
ГЕРПЕТИЧЕСКИЙ ЭНЦЕФАЛИТ ОЧАГИ ПОРАЖ ЕНИЯ ВЕЩЕС ТВА МОЗГА НА МРТ
Весенне-летний клещевой Заболевание является природно-очаговым и носит строго сезонный характер, так как передается укусами иксодовых клещей или алиментарным путем
КЛЕЩЕВОЙ ЭНЦЕФАЛИТ Преимущественно на Дальнем Востоке и в Сибири Возникает после укуса клеща или при употреблении сырого козьего молока, содержащего вирус клещевого энцефалита (весенне-летний период) Инкубационный период составляет 8 -20 дней Симптомы: 1. подъём температуры до 39 -40 гр. , озноб, сильная головная боль, тошнота и рвота 2. на 2 -4 -й день присоединяются менингеальные симптомы 3. часто возникают периферические парезы в мышцах шеи, плечевого пояса и проксимальных отделах рук (“свисающая” голова) Смертность 10 -30% случаев В отдаленном периоде у части больных развивается кожевниковская эпилепсия: миоклонические подёргивания и большие судорожные припадки Терапия - гомологичный гамма-глобулин (титрованный против вируса клещевого энцефалита) или сывороточный иммуноглобулин (получаемый из плазмы доноров) и симптоматическое лечение Профилактика - тканевая инактивированная вакцина
Весенне-летний клещевой Клиническая картина Острое начало; Температура, слабость; Боли в мышцах спины, шеи, рук; Менингеальный синдром; Атрофические параличи рук, мышц шеи; В ногах центральные парезы;
Клиническая картина весенне-летнего клещевого энцефалита Церебральная форма: Гемипарезы; В острой стадии эпилептические синдромы; Кожевниковская эпилепсия; Менингеальная форма: Менингеальные синдромы, Головная боль, Характерна для современного течения.
Эпидемический энцефалит Патоморфология: периваскулярные инфиль-траты, пролиферация глии, нейронофагии в стенках 3 желудочка, в ретикулярной форма-ции ствола, подбугорной области и сильвиевом водопроводе, глиозные рубцы. Клиника Расстройство секреторновазомоторных функций, температура. вегетативные нарушения Глазо. Нарушения двигательные, вестибулярные сна симптомы
Современное течение эпидемического энцефалита Окулоцефалическая форма: головные боли, бессонница, утомляемость, незначительные глазодвигательные нарушения, нистагм Вестибулярная форма: Головные боли, головокружения, расстройства координации Стволовые нарушения: Многодневная икота Паркин сонизм
ЯПОНСКИЙ ЭНЦЕФАЛИТ Инкубационный период 10 -15 дней Характерна сезонность – летом Бурное начало с высокой температуры 3940 (7 -10 дней) Потрясающий озноб, головная боль Менингеальные и энцефалитические синдромы с 12 дня Лейкоцитоз
ЯПОНСКИЙ ЭНЦЕФАЛИТ Нарушения сознания Миоклонии, фибриляции Грубый неритмичный тремор рук Гипертония мышц в сочетании с экстрапирамидными симптомами Бульбарные нарушения Летальность 40 -70%
ПАТОМОРФОЛОГИЯ ЯПОНСКОГО ЭНЦЕФАЛИТА Гиперемия Отечность Геморрагии Периваскулярные Инфильтраты Демиелинизация волокон Регресс астроглии Дегенерация нейронов В белом в-ве полушарий В коре В подкорковых образованиях
ДИАГНОСТИКА ЯПОНСКОГО ЭНЦЕФАЛИТА Выделение вируса из ликвора, крови Коплементсвязывающие антитела обнаруживаются к 3 -7 дню, растут до 30 -60 суток Вируснейтрализующие антитела выделяются в достаточном для диагностике титре к 7 -14 дню Результаты убедительны в динамике, при нарастании титра через 2 -4 недели
АЛГОРИТМ ОБСЛЕДОВАНИЯ ПРИ ЭНЦЕФАЛИТЕ Общий анализ крови Сахар крови Креатинин, билирубин Общий белок Калий, натрий АЛТ, АСТ Анализ мочи
АЛГОРИТМ ОБСЛЕДОВАНИЯ ПРИ ЭНЦЕФАЛИТЕ С-реактивный белок Анализ ликвора РW ликвора, РW Анализ крови на ВИЧ Микробиологический анализ ликвора Титр иммуноглобулинов
АЛГОРИТМ ОБСЛЕДОВАНИЯ ПРИ ЭНЦЕФАЛИТЕ ЭКГ Люмбальная пункция Рентгенография грудной клетки ЭЭГ МРТ, КТ (дополнительно)
АЛГОРИТМ ЛЕЧЕНИЯ ПРИ ЭНЦЕФАЛИТЕ Антибиотики Витамины Седативные препараты Ноотропные препараты Препараты для поддержания гомеостаза
АЛГОРИТМ ЛЕЧЕНИЯ ПРИ ЭНЦЕФАЛИТЕ Глюкокортикостероиды (пульсотерапия: 1000 мг метипредасутки медленно капельно 60 капмин 3 -5 - дней) при яркой клинической картине
АЛГОРИТМ ЛЕЧЕНИЯ ПРИ ЭНЦЕФАЛИТЕ Глюкокортикостероиды при медленном прогрессировании заболевания Метипред 250 мгсутки медленно капельно 60 капмин 7 -10 дней; Преднизолон 240 -360 мгсут переход на пероральные формы с медленными снижением дозы
АЛГОРИТМ ЛЕЧЕНИЯ ПРИ ЭНЦЕФАЛИТЕ Противовирусные препараты Циклоферон: 8, 0 мл сутки вв, вм через день 10 дней) Ацикловир: 12 мгкг вв 1 час, каждые 8 часов 10 суток
МЕНИНГИТЫ Эпидемический менингококковый Вторичные гнойные Серозные Туберкулезный
ЭТИОЛОГИЯ МЕНИНГИТА Гнойный менингит 1. пневмококк 2. менингококк 3. гемофильная палочка 4. редко стрептококки, кишечная палочка, грибы, простейшие, микоплазмы, гельминты, риккетсии, амёбы и другие возбудители Серозный менингит 1. чаще энтеровирусы (вирусы Коксаки и ECHO), 2. реже вирус эпидемического паротита, вирус герпеса и другие возбудители 3. в части случаев туберкулез, сифилис, ВИЧ-инфекция, бруцеллез
ПАТОГЕНЕЗ ГНОЙНЫХ МЕНИНГИТОВ гематогенное проникновение возбудителя прямое внедрение (травма, после нейрохирургических вмешательств) нагноение менингеальной оболочки
СИМПТОМЫ МЕНИНГИТА повышение температуры тела головная боль, тошнота и рвота менингеальные симптомы (выраженная головная боль, тошнота, рвота, фото- и фонофобия, ригидность мышц шеи, симптом Кернига и др. очаговые неврологические симптомы появляются только при поражении вещества мозга (менингоэнцефалите) или черепных (чаще глазодвигательного или отводящего) нервов
ЛЮМБАЛЬНАЯ ПУНКЦИЯ – ВЕДУЩИЙ МЕТОД ДИАГНОСТИКИ ПРИ МЕНИНГИТЕ Изменение цвета и прозрачности ЦСЖ, повышение ликворного давления, плеоцитоз при умеренном повышении белка (клеточно-белковая диссоциация) Серозный менингит: лимфоцитарный плеоцитоз - до 100 и более клеток в 1 куб. мм Гнойный менингит: нейтрофильный плеоцитоз до 1000 и более клеток в 1 куб. мм. Снижение глюкозы в цереброспинальной жидкости при гнойном бактериальном менингите, а также туберкулёзном и грибковом менингите Выявление возбудителя при помощи бактериологических, вирусологических и серологических исследований
НЕВРОЛОГИЧЕСКИЕ ОСЛОЖНЕНИЯ ОСТРЫХ ГНОЙНЫХ МЕНИНГИТОВ эпилептические припадки очаговая неврологическая симптоматика, связанная с нарастающим отеком головного мозга – отек дисков зрительных нервов, глазодвигательные нарушения, поражение VII и VIII пар черепных нервов, стволовые нарушения, децеребрационная ригидность и др.
НЕВРОЛОГИЧЕСКИЕ ОСЛОЖНЕНИЯ ОСТРЫХ ГНОЙНЫХ МЕНИНГИТОВ Абсцессы Обширный инфаркт
ОСТАТОЧНЫЕ ЯВЛЕНИЯ ПЕРЕНЕСЕННОГО ГНОЙНОГО МЕНИНГИТА гидроцефалия спастика слепота глухота когнитивные и психические нарушения эпилептические припадки
ХАРАКТЕР ИЗМЕНЕНИЙ СМЖ Показатель Серозный бактериальный вирусный Гнойный Цвет Бесцветн Мутная белая, зелен Цитоз х 10 х 9 Лимфоциты % нейтрофилы % 0, 02 - 1 0, 2 - 0, 7 1, 0 - 15, 0 80 -100 40 -60 0 -20 40 -100 20 -50
ТЕРАПИЯ МЕНИНГИТОВ Патогенетическая: Антибиотикотерапия Противовирусная терапия Поддерживающая: Коррекция системного гомеостаза Коррекция отека мозга Дезинтоксикация (инфузия в объеме 1, 5 -2, 5 литров в сутки: физ. раствор, 10% глюкоза); Осмотические диуретики (0, 5 гкг веса в сутки)
АЛГОРИТМ ЛЕЧЕНИЯ ПРИ МЕНИНГИТЕ Иммуностимуляторы (циклоферон, актовегин, пентаглобин, иммуноглобулины); Десенсибилизирующая терапия (димедрол)
Основные антибактериальные препараты, применяемые при энцефалитах и менингитах Препарат Суточная доза взрослые дети Интервал между введениями (часы) Пенициллины Бензилпенициллин 24 млн. ЕД 150 -300 мг/кг 4 Ампициллин 12 -14 г 200 -400 мг/кг 4 Карбенициллин 24 г 400 мг/кг 2 Оксациллин 9 -12 г 200 -300 мг/кг 4 Левомицетин 4 г 100 мг/кг 6 Цефалоспорины III поколения Клафоран 6 -12 г 200 мг/кг 4 -6 Цефтриаксон 2 -3 г 100 мг/кг 8 -12 Аминогликозиды Гентамицин 5 мг/кг 8 Ванкомицин 2 г 40 мг/кг 12
НЕЙРОБРУЦЕЛЛЕЗ Вызывается бруцеллами, алиментарный путь заражения (сырое молоко) Волнообразная затяжная лихорадка после остро возникшего подьема температуры Болезненность, отечность, гиперемия суставов, аммерорея, гипохромная анемия ЦНС поражается через 2 -3 месяца Потливость, вазомоторные реакции, раздражительность, менингоэнцефалиты, лептоменингиты, полинейропатии, галлюцинаторные психозы, навязчивые мысли
ЛЕЧЕНИЕ НЕЙРОБРУЦЕЛЛЕЗА Рифампицин 600 мг 1 раз в сутки + Триметопримсульфомето ксазол 160800 мг 4 раза в сутки
НЕЙРОСИФИЛИС латентная форма менингеальная форма менинговаскулярная форма прогрессивный паралич спинная сухотка гуммы (церебральные, спинальные) остеит черепа и позвонков
НЕЙРОСИФИЛИС В остром периоде почти у 30% больных в ЦСЖ выявляются признаки асептического менингита Клинические формы (менее 1% случаев вторичного и третичного сифилиса в настоящее время) менинговаскулярный сифилис менингит спинная сухотка прогрессирующий паралич атрофия зрительных нервов сифилитическая гумма Диагноз: серологические реакции и исследование ЦСЖ: реакция Вассермана и в неясных случаях РИФ и РИТ Лечение: бензилпенициллин по 12 -24 млн Ед/сут в течение 14 дней
НЕЙРОСИФИЛИС Гумма
НЕЙРОСИФИЛИС Сифилитический менингит (острый и хронический); Церебральный сифилитический васкулит (менинговаскулярный сифилис, протекающий как инсульт); Атрофия зрительных нервов (после острой оптической нейропатии при менингите)
Сифилитический менингит: головные боли, фотофобии, без лихорадки, менингеальный синдром, вовлечение 2, 4, 6, 7 пар ч. м. н. , снижение слуха, головокружения, эпиприпадки, гидроцефалия, ликвор РW++++
НЕЙРОСИФИЛИС Спинная сухотка: Поздние проявления сифилиса (через 15 лет после заражения), проявляется дегенерацией, уплотнением и атрофиями задних столбов и задних рогов спинного мозга
НЕЙРОСИФИЛИС Спинная сухотка: Ланцинирующие боли в ногах и животе, спонтанные приступы 1 -2 сек, парестезии, сенситивная атаксия, штампующая походка, снижение вибрационной, глубокой чувствительности, выпадение рефлексов с ног, с-м Арджилл-Робертсона
ЛЕЧЕНИЕ НЕЙРОСИФИЛИСА Пенициллин 4 -6 млн 4 разасутки 14 суток Прокаинбензилпенициллин 2, 4 млн МЕ 1 раз сутки вм и пробенецид 500 мг внутрь 4 раза в сутки 14 суток Эритромицин 500 мг 4 раза в сутки Хлорамфеникол 1 г вв каждые 6 часов 6 недель Цефтриаксон 2 г 1 разсутки 14 суток
ПОРАЖЕНИЕ НЕРВНОЙ СИСТЕМЫ ПРИ ВИЧ-ИНФЕКЦИИ В 10% случаев неврологические нарушения - первые клинические признаки СПИДа В одной трети случаев у больных СПИДом возникают симптомы поражения нервной системы Неврологические осложнения СПИДа (чаще вследствие оппортунистической инфекции: токсоплазмоз, герпес, цитомегаловирус и других) 1. энцефалопатия (комплекс СПИД-деменция ) 2. миелопатия 3. энцефалиты и менингиты 4. поражения периферической нервной системы 5. лимфома и другие опухоли головного мозга Лечение 1. терапия ВИЧ-инфекции (комбинация зидовудина и ламивудина) 2. терапия оппортунистических инфекций
Абсцесс мозга Этиология. Пути проникновения инфекции: 1) путем контактного распространения (при гнойных заболеваниях среднего уха или околоносовых пазух – отиты, мастоидиты); 2) гематогенным путем; 3) через патологическое сообщение между полостью черепа и внешней средой (при проникающей ЧМТ, нейрохирургических манипуляциях, врожденных ликворных свищах).
Абсцесс Мозга
Патогенез Рост микроорганизмов. Локализованный энцефалит (церебрит) с отеком мозга. Гнойное расплавление очага Формирование капсулы. Клиническая картина Общеинфекционные симптомы (недомогание, лихорадка, тахикардия и т. д. ) Внутричерепная гипертензия Очаговые неврологические симптомы в зависимости от локализации абсцесса (эпилептические припадки, парезы, гемианопсия, афазии, мозжечковая симптоматика)
Диагностика Люмбальную пункцию не проводить! ОАК - лейкоцитоз и ускорение СОЭ. Рентгенография - наличие газа в полости черепа КТ абсцесс выглядит как зона низкой плотности с масс-эффектом. При введении конираста вокруг гиподенсивного центра выявляется тонкая кольцевидная гиперденсивная зона с ровными контурами. МРТ, абсцесс выглядит как относительно гомогенная гиперинтенсивная зона, имеющая слоистую структуру.
Наличие абсцесса является абсолютным показанием к оперативному лечению. Консервативная терапия показана при: обнаружении процесса на стадии энцефалита; небольшие размеры очага (обычно менее 2 см в диаметре); глубокое расположение абсцесса, что создает технические сложности и опасность значительной послеоперационной инвалидизации; наличие множественных абсцессов, которые невозможно дренировать; расположение абсцесса в критических зонах; наличие противопоказаний к оперативному вмешательству.
Арахноидит (лептоменингит) - хронический диффузный аутоиммунный пролиферативный спаечный процесс преимущественно паутинной и мягкой оболочек мозга. Истинный (актуальный) арахноидит: активный спаечный процесс аутоиммунной природы, протекающий с образованием антител к оболочкам мозга, продуктивными изменениями в виде гиперплазии арахноэндотелия, приводящий к гибели ячей и облитерации ликвороносных каналов в субарахноидальном пространстве. Характерна диффузность поражения оболочек с вовлечением молекулярного слоя коры, иногда эпендимы желудочков, хореоидного сплетения. Течение хронически прогредиентное и интермиттирующее. Резидуальное состояние после нейроинфекции или черепно-мозговой травмы с исходом в облитерацию, фиброз оболочек (обычно ограниченной распространенности), с образованием сращений и кист на месте некроза. Имеет место полный или частичный регресс симптомов острого периода (исключение - эпилептические припадки). Прогредиентность, как правило, отсутствует.
- конвекситальный арахноидит - эпилептические припадки (у 35% больных). Часты вторично генерализованные парциальные припадки (джексоновские). -базилярный арахноидит (у 27% больных) может быть распространенным или локализоваться преимущественно в передней, средней черепной ямке, в межножковой или оптико-хиазмальной цистерне. В процесс вовлекаются многие черепные нервы на основании мозга (I, III-VI пары), чем и определяется клиника заболевания. Возможна также пирамидная недостаточность. Общемозговые симптомы выражены легко и умеренно. Психические нарушения (утомляемость, снижение памяти, внимания, умственной работоспособности) чаще наблюдаются при арахноидите передней черепной ямки.
оптико-хиазмальный арахноидит. Начальные симптомы появление сетки перед глазами, прогрессирующее снижение остроты зрения, чаще сразу двустороннее, в течение 3 -6 месяцев. На глазном дне - вначале неврит, затем атрофия дисков зрительных нервов. Поле зрения - концентрическое, реже битемпоральное сужение, одноили двусторонние центральные скотомы. - арахноидит задней черепной ямки (у 23% больных), обычно постинфекционный, отогенный. При преимущественной локализации в области мосто-мозжечкового угла раньше проявляется поражение VIII пары черепных нервов (шум в ушах, снижение слуха, головокружение). В дальнейшем страдает лицевой нерв, выявляются мозжечковая недостаточность, пирамидная симптоматика.
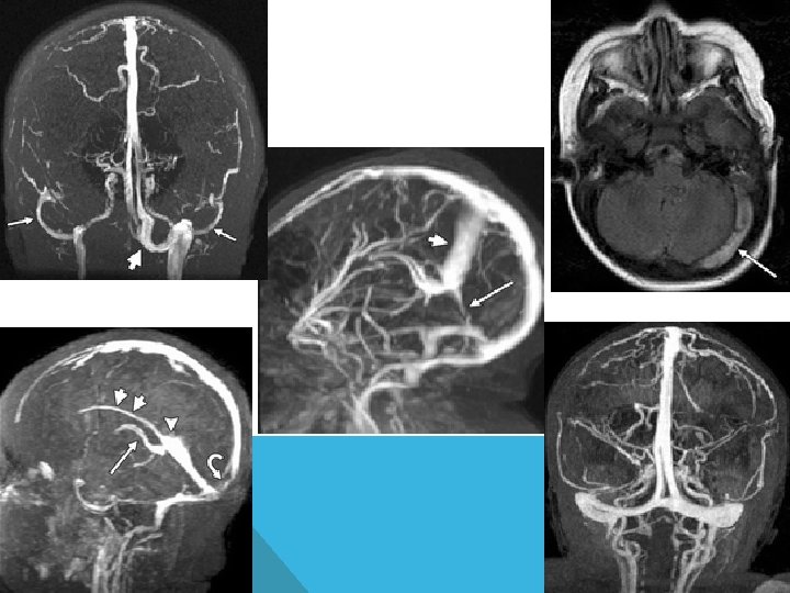
ЦЕРЕБРАЛЬНЫЙ ВЕНОЗНЫЙ ТРОМБОЗ СИНУС-ТРОМБОЗ И ТРОМБОЗ ВЕН
ЦЕРЕБРАЛЬНЫЕ ВЕНОЗНЫЕ СИНУСЫ -верхний сагиттальный -нижний сагиттальный -прямой -латеральные (сигмовидные +поперечные) -каменистые (верхние+нижние) -сфенопариетальные -кавернозные
ЭТИОЛОГИЯ (ФАКТОРЫ РИСКА) 1. Врожденные протромботические состояния: возраст до 6 месяцев, дефицит факторов антисвертывания, внутриутробная гипоксия, внутриутробная инфекция, пороки сердца, арахноидальные кисты, порэнцефалия. 2. Приобретенные: инфекция местнаяпроникающее ранение, абсцесс, эмпиема, менингит, отит, тонзиллит, синусит, стоматит, дерматит общая- бак. септицемия, эндокардит, тиф, туберкулез, вирус (корь, гепатит, герпес, ВИЧ, ЦМВ), грибковая инфекция
СИНУС-ТРОМБОЗ Наиболее частая локализация: 1. Верхний сагиттальный синус 2. Латеральный (сигмовидный и поперечный) синус
ТРОМБОЗ ВЕРХНЕГО САГИТАЛЬНОГО СИНУСА (КЛИНИКА) Старшие возраста: головная боль, рвоты, парез отводящего нерва
ТРОМБОЗ ЛАТЕРАЛЬНОГО СИНУСА
ТРОМБОЗ ЛАТЕРАЛЬНОГО СИНУСА
ТРОМБОЗ КАВЕРНОЗНОГО СИНУСА Синдром верхней глазничной щели
ТЕРАПИЯ ЦВТ 1. Антикоагулянты 2. Свежемороженная плазма 3. Контроль повышения венозного давления 4. Симптоматическая терапия 5. Профилактика осложнений
ЦИСТИЦЕРКОЗ Цистицеркоз (cysticercosis) — гельминтоз из группы цестодозов, характеризующийся в зависимости от локализации паразита поражением кожи, подкожной клетчатки, мышц, головного и спинного мозга, глаз, внутренних органов, костей. Возбудитель — личинки свиного цепня (Tanenia solium).
ШИСТОЗОМАТОЗ
Эхинококкоз - редкое паразитарное заболевание нервной системы, возникающее в результате воздействия на организм личиночной формы ленточного гельминта Echinococcus granulosus. Заражение происходит при попадании в желудочно-кишечный тракт человека яиц эхинококка - небольшого ленточного червя (Taenia echinococcus), живущего в кишечнике собак и волков.
ab602850bed48ddc303f83019cfad3fb.ppt