Акушерство.Гинекология. Практика.ppt
- Количество слайдов: 133
Государственное образовательное учреждение высшего профессионального образования «Ярославская государственная медицинская академия Федерального агентства по здравоохранению и социальному развитию» Кафедра акушерства и гинекологии с курсом акушерства и гинекологии ФПДО Учебное пособие по акушерству и гинекологии для сдачи практических навыков на государственных аттестационных экзаменах
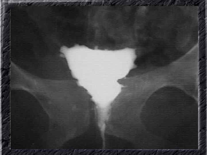
Названия слайдов: • • • Слайд 1. Титульный лист. Слайд 2. Лапароскопия: вид неизмененной матки. Слайд 3. Гистеросальпингография: тень полости неизмененной матки при ее заполнении рентгеноконтрастным веществом Слайд 4. Ультрасонография: вид эндометрия в разные фазы менструального цикла. Слайд 5. Матка: два отдельных тела имеют общую шейку; макропрепатат. Слайд 6. Гистерография: разделение тени полости матки выемкой, расположенной в области дна. Слайд 7. Лапароскопия: удвоение матки. Слайд 8. Ультрасонография: удвоение матки. Слайд 9. Гистерография: четкие неровные контуры дефектов наполнения полости матки при синехиях. Слайд 10. Эндометриальная гиперплазия: полость матки выстлана пышным, подобным пальмовым листьям гиперпластическим эндометрием; макропрепарат.
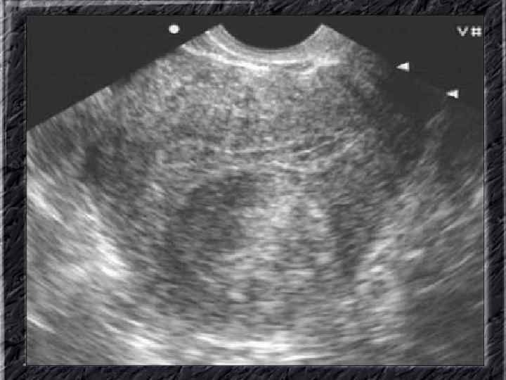
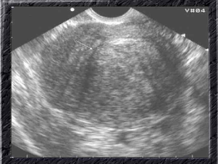
Названия слайдов: • • • Слайд 11. Гиперплазия эндометрия: железистый полип с очагами геморрагий; макропрепарат. Слайд 12. Ультрасонография: однородный эндометрий средней плотности с четкими ровными контурами при неактивной форме железистой гиперплазии эндометрия. Слайд 13. Ультрасонография: гипоэхогенная зона округлой формы в эхоизображении эндометрия — железистый полип. Слайд 14. Ультрасонография: железистый полип эндометрия в виде эхонегативного образования. Слайд 15. Гистерография: характерные изменения контуров полости матки при железистой гиперплазии эндометрия. Слайд 16. Гистерография: изменение формы и зубчатость контуров полости матки при эндометриозе. Слайд 17. Гистерография: изменение формы и зубчатость контуров полости матки при эндометриозе. Слайд 18. Гистерография: направленные перпендикулярно к контурам полости матки контрастированные канальцы. Слайд 19. Гистерография: затек рентгеноконтрастного вещества в правом углу матки при эндометриозе.
Названия слайдов: • • • Слайд 20. Ультрасонография: диффузная эхонеоднородность миометрия при внутреннем эндометриозе. Слайд 21. Эндометриоз матки: Пять маленьких очажков эндометриоза красно-коричневого цвета по задней поверхности матки; макропрепарат. Слайд 22. Множественная миома матки: видны субсерозные, субмукозные и интрамуральные узлы; макропрепарат. Слайд 23. Большая миома матки, подвергшаяся дегенеративным изменениям ( «красная дегенерация» ); макропрепарат. Слайд 24. Ультрасонография: интрамуральный узел фибромиомы, деформирующий контуры органа. Слайд 25. Ультрасонография: интрамуральный узел фибромиомы, деформирующий полость матки и смещающий эндометрий книзу. Слайд 26. Ультрасонография: субсерозный узел фибромиомы матки с эхопризнаками нарушения питания. Слайд 27. Лапароскопия: субсерозная фибромиома матки. Слайд 28. Лапароскопия: выраженный сосудистый рисунок на поверхности субсерозной фибромиомы матки. Слайд 29. Лапароскопия: выраженный сосудистый рисунок на поверхности субсерозной фибромиомы матки. Слайд 30. Большая цервикальная плоскоклеточная карцинома, которая простирается до влагалища; макропрепарат.
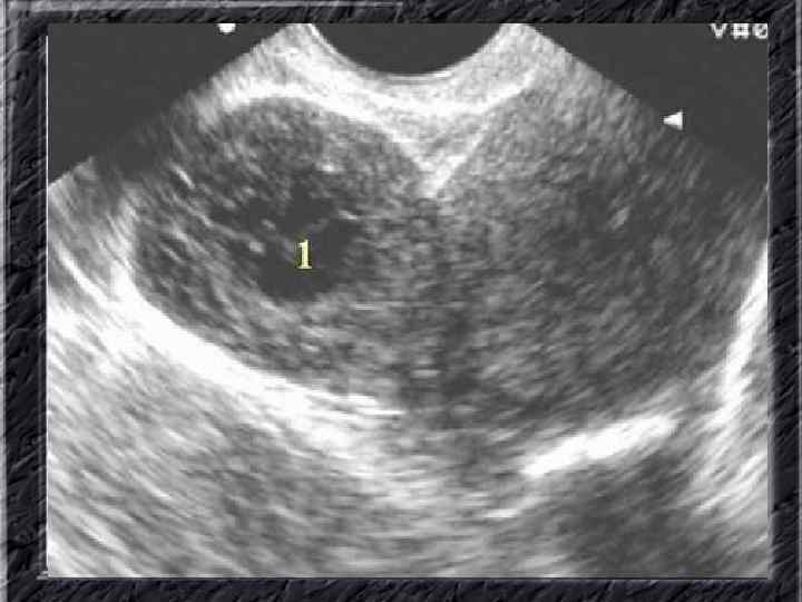
Названия слайдов: • • • Слайд 31. Аденокарцинома эндометрия: образование неправильной формы в дне не увеличенной матки; макропрепарат. Слайд 32. Аденокарцинома эндометрия: бесформенная масса белой опухоли видна по всей поверхности эндометрия матки, вскрытой по передней поверхности, шейка — внизу; макропрепарат. Слайд 33. Нормальная ультразвуковая картина матки и яичников. Слайд 34. Лапароскопия: неизмененные яичники. Слайд 35. Лапароскопия: фолликул на поверхности яичника. Слайд 36. Ультрасонография: жидкостное образование (фолликулярная киста) в параметральной области, однородное, с четкими ровными контурами, кверху и сбоку от кисты определяется ткань неизмененного яичника. Слайд 37. Лапароскопия: фолликулярная киста яичника. Слайд 38. Ультрасонография: киста желтого тела с диффузно неоднородным содержимым средней эхоплотности Слайд 39. Большая эндометриоидная шоколадная киста яичника; макропрепарат. Слайд 40. Ультрасонография: гиперэхогенное содержимое эндометриоидной кисты яичника.
Названия слайдов: • • • Слайд 41. Лапароскопия: эндометриоидная киста яичника. Слайд 42. Лапароскопия: эндометриоидные гетеротопии на поверхности эндометриоидной кисты яичника. Слайд 43. Ультрасонография: поликистозное изменение яичника. Слайд 44. Серозная цистаденома яичника: внешний вид; макропрепарат. Слайд 45. Лапароскопия: цистаденома яичника. Слайд 46. Ультрасонография: папиллярная цистоаденома яичника, содержащая внутри папиллярные разрастания. Слайд 47. Ультраснография: многокамерная киста яичника (муцинозная цистаденома). Слайд 48. Лапароскопия: папиллярная цистаденома. Слайд 49. Ультрасонография: многокамерное жидкостное образование яичника, содержащее полиморфный солидный конгломерат — рак из муцинозной цистаденомы. Слайд 50. Рентгеноконтрастная сальпингография: нормальное наполнение и проходимость обеих маточных труб.
Названия слайдов: • • • Слайд 51. Ультрасонография: интерстициальный и истмический отделы маточной трубы. Слайд 52. Лапароскопия: неизмененная правая маточная труба. Слайд 53. Ультрасонография: многокамерная форма сальпингита. Слайд 54. Лапароскопия: относительно равномерное утолщение маточной трубы при гидросальпинксе. Слайд 55. Лапароскопия: вид маточной трубы при гидросальпинксе. Слайд 56. Гистеросальпингография: неравномерное расширение и деформация маточных труб. Слайд 57. Прервавшаяся трубная беременность: плод; макропрепарат. Слайд 58. Гематосальпингс, развившийся вследствие внутреннего разрыва плодо-вместилища при трубной беременности; макропрепарат. Слайд 59. Лапароскопия: значительное увеличение участка маточной трубы при трубной беременности. Слайд 60. Лапароскопия: скопление крови в полости малого таза в результате трубного аборта.
Названия слайдов: • • • • Слайд 61. Лапароскопия: множественные спайки в полости малого таза женщины. Слайд 62. Лапароскопия: признаки спаечной болезни в полости малого таза женщины. Слайд 63. Лапароскопия: деформация маточной трубы при спаечном процессе в полости малого таза. Слайд 64. Ультрасонография: спаечный процесс в малом тазу. Слайд 65. Ультрасонография: мультифолликулярные яичники. Слайд 66. Ультрасонография: кистома яичника. Слайд 67. Ультрасонография: патолоргия эндометрия. Слайд 68. Ультрасонография: внематочная беременность. Слайд 69. Ультрасонография: внематочная беременность. Слайд 70. Кольпоскопия: кандлилома – папиллома. Слайд 71. Кольпоскопия: кандлидозные бели. Слайд 72. Кольпоскопия: полип шейки матки. Слайд 73. Кольпоскопия: эрозия шейки матки. Слайд 74. Кольпоскопия: экспульсия ВМС.
Названия слайдов: • • • • • Слайд 75. Наружные половые органы: герпес. Слайд 76. Наружные половые органы: герпес. Слайд 77. Бартолинит. Слайд 78. Набор инструментов для выскабливания полости матки. Слайд 79. Расширение шейки матки расширителем Гегара. Слайд 80. Расширение воротникового пространства. Слайд 81. КТГ: норма. Слайд 82. КТГ: сниженная вариабельность ЧСП. Слайд 83. КТГ: сниженная вариабельность ЧСП. Слайд 84. КТГ: спорадические пикообразные децелерации. Слайд 85. КТГ: пролонгированная спорадическая децелерация. Слайд 86. КТГ: ранние децелерации. Слайд 87. КТГ: поздние децелерации. Слайд 88. КТГ: вариабельные децелерации. Слайд 89. КТГ: атипические вариабельные децелерации. Слайд 90. КТГ: атипические вариабельные децелерации. Слайд 91. КТГ: синусоидальный ритм. Слайд 92. КТГ: частота сердцебиения плода типа «ламбда» .
Названия слайдов: • • • • • Слайд 93. КТГ: признаки компрессии пуповины. Слайд 94. КТГ: атипические вариабельные децелерации. Слайд 95. КТГ: атипические вариабельные децелерации. Слайд 96. КТГ: атипические вариабельные децелерации. Слайд 97. КТГ: атипические вариабельные децелерации. Слайд 98. КТГ: поздние децелерации, переходящие в длительную брадикардию. Слайд 99. Первый прием наружного акушерского исследования. Слайд 100. Второй прием наружного акушерского исследования. Слайд 101. Третий прием наружного акушерского исследования. Слайд 102. Четвертый прием наружного акушерского исследования. Слайд 103. Определение диагональной конъюгаты. Слайд 104. Различные варианты расположения стреловидного шва. Слайд 105. Головка прижата к плооскости входа в малый таз. Слайд 106. Головка малым сегментом в плоскости входа в малый таз. Слайд 107. Головка большим сегментом в плоскости входа в малый таз. Слайд 108. Головка в полости малого таза. Слайд 109. Головка в плоскости выхода малого таза.
Названия слайдов: • • • • Слайд 110. Акушерское пособие: предупреждение преждевременного разгибания головки. Слайд 111. Акушерское пособие: «защита промежности» . Слайд 112. Акушерское пособие: выведение переднего плечика. Слайд 113. Акушерское пособие: выведение заднего плечика. Слайд 114. Определение признаков отделения последа. Слайд 115. Метод выделения оболочек. Слайд 116. Метод выделения оболочек (по Гентеру). Слайд 117. Осмотр последа. Слайд 118. Метод наружного выделения последа (Абуладзе). Слайд 119. Метод наружного выделения аоследа (Креде-Лазаревича). Слайд 120. Запущенное поперечное положение плода. Слайд 121. Тазорвое предлежание. Слайд 122. Пособие по Цовьянову I при чисто-ягодичном предлежании. Слайд 123. Пособие по Цовьянову II, классическое акушерское пособие при ножных тазовых предележаниях. Слайд ы 124 – 133. Названия слайдов.
Акушерство.Гинекология. Практика.ppt