Гломерулонефриты исправл. 28.10.12.ppt
- Количество слайдов: 68
Гломерулонефриты Занятие для студентов 4 курса л/ф (элективный курс «Введение в нефрологию)
Гломерулонефриты: понятие и общие признаки n n n Диффузный характер поражения клубочков, двусторонний процесс Воспаление с ведущей ролью иммунологических механизмов В большинстве случаев (кроме ОГН) – прогрессирующее поражение и исход в ХПН
Клиническая классификация гломерулонефритов n n ü ü ü § Острый (постстрептококковый) ГН Хронические ГН: Нефротический Гипертензивный Смешанный Латентный Гематурический Быстропрогрессирующий (подострый) ГН
Морфологическая классификация ГН n n n Нефрит с «минимальными изменениями» болезнь малых отростков подоцитов Мембранозный ФСГС Мезангиальные (мезангиопролиферативный и мезангиокапиллярный) Фибропластический ГН Экстракапиллярный ГН с «полулуниями»
Клетки клубочка и матрикс Эпителиальные клетки Отростки эпителиальных клеток (ножки подоцитов) Мезангиальные клетки Просвет капилляра Мезангиальный матрикс Эндотелиальные клетки Copyright © I-Design 2002 5
Болезнь минимальных изменений n n Чаще наблюдается у детей Отмечается нефротический синдром При световой микроскопии и иммунофлюоресцентном исследовании не выявляются. При электронной микроскопии – слияние ножек подоцитов
Болезнь минимальных изменений
Фокально-сегментарный гломерулосклероз (ФСГС) n n Основная патология – поражение подоцитов с последующим развитием склероза Прогрессирующее течение, частые рецидивы
Фокально-сегментарный гломерулосклероз (ФСГС)
Мембранозная нефропатия (МН) n n МН является основной причиной НС у взрослых и характеризуется наличием субэпителиальных иммунных депозитов. 85% случаев является первичным заболеванием, 15% - вторичным, связанным с лекарственными поражениями, некоторыми инфекциями, СКВ и злокачественными новообразованиями.
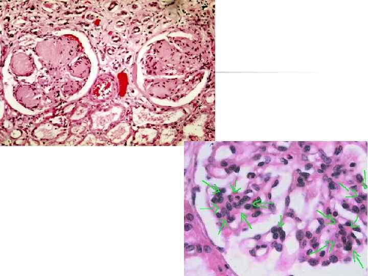
Мезангиопролиферативный гломерулонефрит n n n Характеризуется отложением иммунных комплексов в мезангиуме Клинически – гематурия НС и протеинурия являются неблагоприятными факторами, проведение активной терапии
Мезангиопролиферативный ГН
Мезангиокапиллярный ГН
Мезангиокапиллярный гломерулонефрит
Мезангиокапиллярный ГН
Ig A - нефропатия n n n Вариант мезангиопролиферативного ГН Отложение в клубочках Ig A Чаще молодой возраст У 50% больных рецидивирующая макрогематурия, возникающая при лихорадочных респираторных заболеваниях может протекать с НС
Фибропластический ГН
Тубулоинтерстициальный нефрит
Гломерулонефриты как поражение почек при других заболеваниях n n системные васкулиты Инфекционный эндокардит Тяжелые инфекции (брюшной тиф, малярия, сибирская язва и т. п. ) Легочно-почечный синдром Гудпасчера
Таким образом, n n Если гломерулонефрит -самостоятельное заболевание, в диагнозе ему предшествует прилагательное (острый, хронический, быстропрогрессирующий) Если ГН является одним из поражений при другом заболевании, в диагнозе он употребляется не на первом месте
Примеры формулировки диагноза n n n Острый гломерулонефрит Хронический гломерулонефрит, нефротическая форма, стадия обострения СКВ, подострое течение, активность 2 ст. , дерматит, миокардит, гломерулонефрит.
Этиология ГН n n n Стрептококковая инфекция (для ОГН – за 2 -3 недели –ангина, скарлатина, фарингит, пиодермия) – β-гемолитический стрептококк группы А Другие инфекционные агенты (пневмококк, вирус простого герпеса и т. п. ) В большинстве случаев ХГН и БПГН этиология неизвестна
Способствующие факторы n n n Переохлаждение (общее и местное) Интеркуррентная инфекция Инсоляция Вакцинация Прием лекарственных средств Не выявляются
Клиника ОГН n n n Стрептококковая инфекция Латентный период продолжительностью 2 -3 недели Остронефритический синдром (отеки, олигурия, АГ, изменения в моче: умеренная протеинурия, гематурия)
Клиника ОГН: варианты течения n n Сочетание АГ с мочевым синдромом Сочетание отеков с мочевым синдромом Изолированный мочевой синдром Развернутый остронефритический синдром встречается в 70% случаев
А В С Д
Клиника ОГН n n n Слабость Головная боль Бледность, одутловатость Прибавка веса, отеки Повышение АД (умеренная систолодиастолическая АГ) Изменение мочи (темная, пенистая и т. п. )
Обследование больного с ОГН n n n Объективное обследование по органам – без изменений ОАМ: удельный вес N или повышен, белок, эритроциты, цилиндры Суточная протеинурия менее 3 г ОАК: умеренное увеличение СОЭ или без патологии Отсутствие биохимических изменений крови ЭКГ: норма или перегрузка ЛЖ
Обследование больного с ОГН n n n Проба Нечипоренко: эритроцитурия УЗИ почек: нормальные размеры органа и паренхимы, симметричное состояние ЧЛС Функции почек (креатинин, КФ) не нарушены или небольшое преходящее нарушение
Осложнения ОГН n n n Эклампсия (ангиоспастическая энцефалопатия): АГ, потеря сознания, судороги ОЛЖН (сердечная астма, отек легких): одышка, ортопноэ, влажные хрипы в легких, АГ ОПН (развивается редко)
Дифференциальная диагностика ОГН с другими заболеваниями ГЛПС: n n Общие черты: острое заболевание, развитие ОПН, обратимость Различия: эпиданамнез, сезонность, лихорадка, геморрагическая сыпь, ОПН со стадийным течением закономерна
Дифференциальная диагностика ОГН с другими заболеваниями Острый пиелонефрит n Общие черты: острое заболевание, обратимость, помогают антибиотики n Различия: чаще односторонний процесс, другие возбудители, восходящая инфекция, лихорадка, боль в пояснице и болезненность при объективном обследовании, другие изменения в моче (белка нет или следы, лейкоцитурия, бактериурия, снижение уд. веса). Антибиотики назначают другие!
Лечение пациента с ОГН n n n Постельный режим Исключить соль Ограничить жидкость (на 3 дня) Коррекция АГ (диуретики, бетаблокаторы) При активной стрептококковой инфекции – антибиотики пенициллинового ряда/макролиды
Лечение пациента с ОГН n n Преднизолон показан при затянувшемся и выраженном мочевом синдроме, ОПН, НС Дезагреганты и антикоагулянты : курантил, гепарин
Обратная динамика симптомов, допустимая при ОГН Отеки – до 1 -2 недель n АГ - до 4 недель n Гематурия – до 1 месяца n Протеинурия – до года Прогноз ОГН благоприятный, в норме – исход - выздоровление n
Хронический ГН, нефротическая форма n n Начало острое или постепенное Ведущая жалоба и симптом – отеки, олигурия, реже – случайное выявление протеинурии При обследовании выявляется развернутый, реже – неполный НС АД нормальное
Хронический ГН, нефротическая форма n n НС исключает ОГН НС может рецидивировать в периоды обострений Основные проявления и последствия связаны с НС (риск инфекций, гиперкоагуляция, нефротический криз) Основное показание к ГКС (преднизолон), ЦС
ХГН, гипертензивная форма n n n Основное проявление – систолодиастолическая бескризовая паренхиматозная АГ Органы-мишени: ГЛЖ, стенокардия, изменения глазного дна и нарушения зрения, церебральные симптомы Изменения ОАМ: незначительная протеинурия, микрогематурия
ХГН, гипертензивная форма n n n Жалобы и проявления обусловлены АГ, отеков нет до развития СН Исход в ХПН Сердечно-сосудистые осложнения (инфаркт, инсульт, ХСН) опережают развитие ХПН
ХГН, гипертензивная форма n Обязательное обследование: оценка состояния органов-мишеней (ЭКГ, ЭХОКГ, глазное дно), исключение вазоренальной гипертензии (УЗИ почек, допплерография, Rоконтрастные исследования), оценка функций почек
Лечение ХГН, гипертензивной формы n n n Коррекция АГ Предпочтение - гипотензивным препаратам с нефропротективным действием (и. АПФ, блокаторы рецепторов АПФ, блокаторы кальциевых каналов) Иммуносупрессивная терапия не показана
Смешанная форма ХГН n n n Критериями диагноза являются нефротический синдром и АГ Лечение осуществляется как при нефротическом ГН + коррекция АГ Прогностически наименее благоприятная форма среди других ХГН
Латентный ХГН n n Жалобы отсутствуют или неопределенные, АД N, отеков нет Выявляется только мочевой синдром (незначительная протеинурия, микрогематурия) Прогрессирующее течение, исход в ХПН Наблюдение, оценка почечных функций, размеров почек, подготовка к ЗПТ
Гематурический ХГН (болезнь Берже) n n n Чаще болеют молодые мужчины Связь со стрептококковой инфекцией (на фоне фарингита) Основная жалоба – макрогематурия, то же – в ОАМ и пр. Нечипоренко Повышение уровня Ig. A сыворотки Относительно благоприятное течение и прогноз
Гематурический ХГН (болезнь Берже) n n Нередко выявляется как синдром при системных васкулитах, алкоголизме Лечение: при фарингите антистрептококковые АБ, дезагреганты, показание к назначению ГКС – неэффективность терапии, высокая активность
Быстропрогрессирующий (подострый) ГН n n n Самый прогностически неблагоприятный Морфологически –экстракапиллярный ГН с «полулуниями» Повышение креатинина в 2 -3 раза от исходного развивается на 3 -4 недели заболевания
Быстропрогрессирующий (подострый) ГН n n Клиника: нефритический синдром, реже – нефротический синдром Злокачественная АГ, нередко с развитием сосудистых осложнений Нормальные или увеличенные размеры почек и паренхимы при УЗИ Показание к интенсивной терапии (пульстерапия ГКС, ЦС + плазмаферез)
Морфологический эквивалент БПГН - экстракапиллярная пролиферация с образованием полулуний, состоящих из фибрина и измененного эпителия капсулы клубочка
Гломерулонефрит при СКВ n n n Возможен нефротический, нефритический, мочевой синдром (умеренная протеинурия, микрогематурия) Имеются критерии диагноза основного заболевания: лихорадка, артралгии, миалгии, анемия, лейкопения, дерматит, миокардит, LE- клеточный феномен, повышение АНАТ и др. ГН возможен как дебют СКВ
ПРИЗНАКИ АКТИВНОСТИ ГЛОМЕРУЛОНЕФРИТОВ n n n НС или ОНС протеинурии и гематурии почечных функций с нарастанием азотемии за короткое время при нормальных или даже увеличенных размерах почек признаки внутрисосудистой коагуляции (ДВС - синдрома) СОЭ, гипер 2 - глобулинемия
По имеющейся информации предположите диагноз 1. 2. 40 -летний больной с массивными отеками. В течение 2 лет - изменения в моче. Дважды лечился преднизолоном с эффектом. ОАМ: УВ 1017, белок 4 г/л, эр. 2 -4 в п/зр. Студент, 18 лет, проходит диспансеризацию. В 9 лет перенес ангину, после которой периодически находили изменения в моче. В ОАМ: УВ 1024, белок 0, 066 г/л, эритр. 5 -7 в п/зр.
По имеющейся информации предположите диагноз 3. 17 -летняя девушка через 3 недели после ангины предъявляет жалобы на головную боль, красноватый цвет мочи. ОАМ, сделанный 3 месяца назад, нормальный. Отеков нет. ЧСС 80 в мин, АД 160/100. Нв 125 г/л, СОЭ 18 мм/ч, креатинин 0, 12 ммоль/л. ОАМ: белок 0, 6 г/л, уд. вес 1020, эритр. -30 в п/зр, лейк. 10 -12.
По имеющейся информации предположите диагноз 4. Больная М. , 18 лет. В течение месяца после длительного пребывания на пляже – подъемы температуры до 38, 5, ознобы. В последнюю неделю – боли в мелких суставах, одышка, отеки ног, температура снизилась до 37, 2. При обследовании - бледность, отеки до средней 1/3 голеней, ЧД 22 в мин. , ЧСС 98, АД 135/90, систолический шум на верхушке. ОАК Нв 105 г/л, СОЭ 45 мм/ч, лейк. 3, 5 тыс. Титр АНАТ повышен. В ОАМ белок 2, 5 г/л, эритроциты до 8 в п/зр. , гиалиновые цилиндры.


