Для ассистентов (обучение).ppt
- Количество слайдов: 11
ГК «БЕЛАЯ ЛАДЬЯ» Вводное пособие для ассистентов врача стоматолога и администраторов клиник Виды стоматологических услуг Зенин А. В. Екатеринбург 2011 г.
Первичный осмотр Презентация плана лечения Профилактический осмотр Осмотр с выдачей медицинского заключения - полость рта санирована с печатью Снимок рентгеновский прицельный Проведение анестезии (инфильтрационной, проводниковой) -обезболивание Диагностическая модель Панорамный снимок (ОПТГ) Телерентгенограмма (ТРГ) ОПТГ обзорный снимок обеих челюстей Прицельный снимок (один зуб) КТ Диагностические модели (из гипса, точный дубликат зубов) Компьютерная томотограмма (3 D изображение) делает сторонняя фирма Телерентгенограмма (направляет врач ортодонт) делает сторонняя фирма
ЛЕЧЕНИЕ КАРИЕСА И НЕКАРИОЗНЫХ ПОРАЖЕНИЙ ЗУБА: Восстановление зуба композитом: простое 2 050, 00 средней сложности 3 350, 00 сложное 3 850, 00 Реставрация формы и цвета зуба с помощью винира 4 800, 00 ЛЕЧЕНИЕ ПУЛЬПИТА ИЛИ ПЕРИОДОНТИТА ЗУБА: Лечение и пломбирование корневых каналов методом латеральной конденсации: Лечение и пломбирование корневых каналов термафилом Лечение и пломбирование корневых каналов методом вертикальной конденсации ОДНО канального зуба 3 400, 00 ДВУХ канального зуба 5 800, 00 ТРЕХ канального зуба 8 600, 00 ЧЕТЫРЕХ канального зуба 10 650, 00 Винир Пломбирование каналов зуба Пломба
Установка стекловолоконного штифта DT Light, FIBRE Кофердам Восстановление на стекловолокне
Протезирование Съёмное Снимаются на ночь или для чистки • Пластиночные протезы лежат на десне, держат на крючках, занимают много места в полости рта • Бюгельные протезы, частично лежат на десне, занимают меньше места чем пластиночные. Держаться на крючках Несъёмное Не снимаются, фиксируются на цементе • Коронки на зубы (колпачки) могут быть из разных материалов • Мостовидные протезы (висят над десной, опираются на собственные зубы) • Коронки и мосты с опорой на имплантаты – новый искусственный корень из титана, вместо удаленного зуба Комбинированное • Съемные протезы связаны с несъёмными (держатся за счёт них) Это могут быть как бюгельные протезы с замковой фиксацией за свои зубы, так и за имплантаты – искусственные корни.
Съёмные протезы - снимаются на ночь или для чистки Пластиночные протезы лежат на десне, держатся на крючках, занимают много места в полости рта Бюгельные протезы, частично лежат на десне, занимают меньше места чем пластиночные. Держаться на крючках Бюгель (дуга)
Несъёмные протезы - не снимаются, фиксируются на своих зубах или на имплантатах при помощи цемента. Коронка на имплантате Коронка Мостовидный протез
Комбинированные протезы – снимаются, но фиксируются на своих зубах или имплантатах при помощи замков и прочих приспособлений, такие протезы более удобные за счёт того что держаться лучше. Замок через который съёмный протез фиксируется к коронке. Другой вид замков – пациент нажимает кнопочки и замок открывается Два замка на которые защёлкивается протез Комбинированный протез с опорой на имплантаты (своих зубов нет)
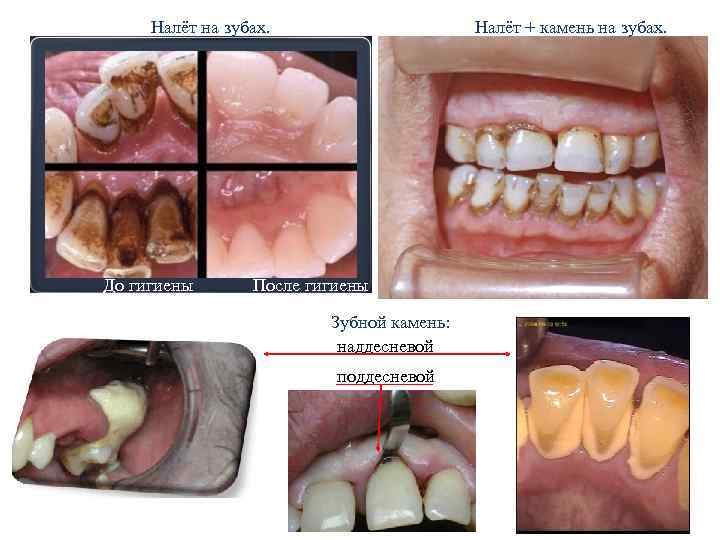
Профессиональная гигиена – вычищает то, что сам человек у себя вычистить не может, предотвращает воспаление десны и расшатывание зубов. В клиниках «Белая Ладья» 3 комплекса гигиены: направлена на устранение: 1. «Лайт» направлена на устранение: 2. «Комплекс» направлена на устранение: 3. «Пародонтал Различают: 1. Зубной налёт 2. Наддесневой зубной камень 3. Поддесневой зубной камень
Налёт на зубах. До гигиены Налёт + камень на зубах. После гигиены Зубной камень: наддесневой поддесневой
Ортодонтия – исправление прикуса с помощью брекет системы. Позволяет выровнять зубной ряд, устранить деформации и исправить прикус, что сделает улыбку красивой и чувство пережёвывание пищи более полным. До После Металлические брекеты Сапфировые брекеты (белые) До лечения ортодонта После лечения
Для ассистентов (обучение).ppt