6ce800ba70ff5c7bee4891842e6f07b7.ppt
- Количество слайдов: 93
GIST: CPC Professor Ravi Kant FRCS (England), FRCS (Ireland), FRCS(Edinburgh), FRCS(Glasgow), MS, DNB, FAMS, FACS, FICS, President IASO 2006 1
H: • 59 y , Postmenopausal, Dysphagia, & bleeding p/v, (year 2005 at AIIMS) • ANA +, Arthritis, Malar pigmentation • Ca ® Breast p. T 2 N 0 M 0 (July ‘ 02) • BCS • Breast RT + electron boost • Adjuvant CMF 6# • ER, PR & HER 2 -neu + • Tamoxifen 20 mg OD 2
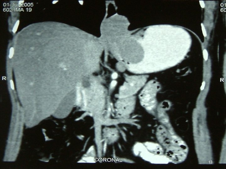
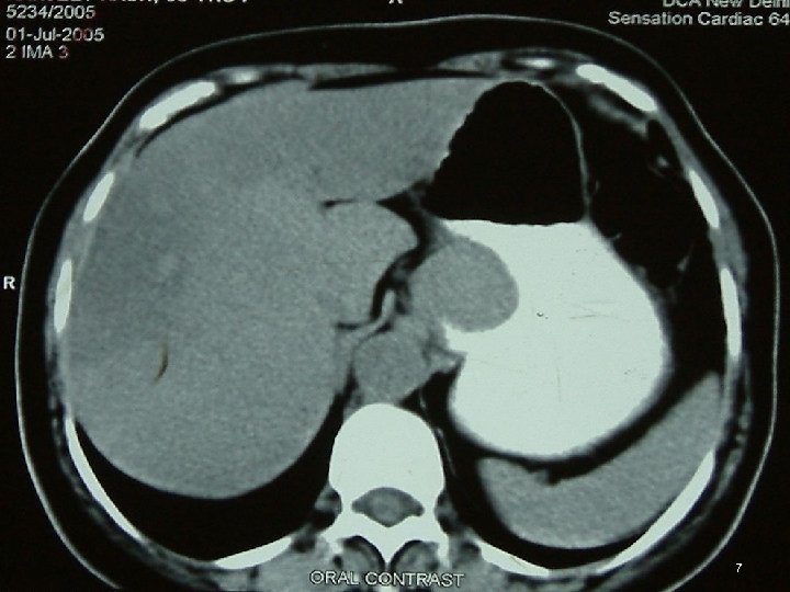
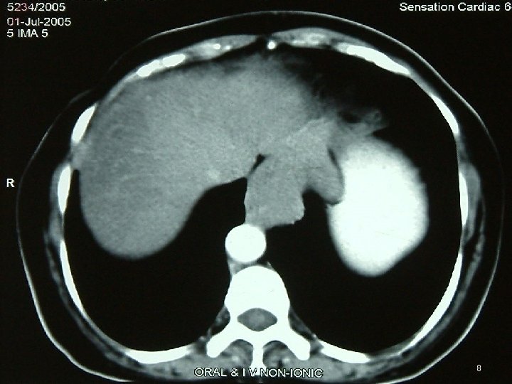
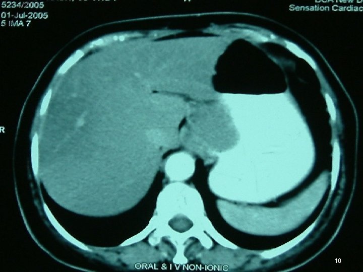
Investigations • • • Chest X Ray USG CECT EUS Ba Swallow 3
4
5
6
7
8
9
10
11
12
13
14
15
16
Dermatomyosisits ► GI & Breast CA * Maoz CR, Langevitz P, Livnch A, Blumstein Z, Sadeh M, bank I, et al. High incidece of malignancies in patients with dermatomyositis and polymyositis: an 11 -yr analysis. Semin Arthritis Rheum. 1998 Apr; 27(5): 31924
Dermatomyosisits ~ Malignancies • Risk factors: age (>45 y), male sex * Chen YJ, Wu CY, Shen JL. Predicting factors of malignancy in dermatomyositis and polymyositis: a case-control study. Br J Dermatol. 2001 Apr; 144(4): 825 -31
Tamoxifen ► GI CA – Stomach, not Colon, not Liver • Wilking N, Isaksson E, Von Schoultz E. Tamoxifen and secondary tumors. An update. Drug Saf. 1997 Feb; 16(2): 104 -17 • Matsuyama Y, Tominaga T, Nomura Y, Koyama H, Kimura M, Sano M, et al. Second cancers after adjuvant tamoxifen therapy for breast cancer in Japan. Ann Oncol. 2000 Dec; 11(12): 1537 -43 • Newcomb PA in Breast Cancer Res Treat. 1999 Feb: 53(3): 271 -7 ► Colon CA after 5 y of Tx
Tamoxifen S/E: 4 • Liver: X, Gastrointestinal cancer (stomach and colon): * Newcomb PA, Solomon C, White E. Tamoxifen and risk of large bowel cancer in women with breast cancer. Breast Cancer Res Treat. 1999 Feb; 53(3): 271 -7
Radiation Therapy S/E: 1 • Radiaton-induced sarcoma after BCS and RT * Mason RW, Einspanier GR, Caleel RT. Radiation-induced sarcoma of the breast. J Am Osteopath Assoc. 1996; 96(6): 368 -70
Radiation Therapy S/E: 2 • Small bowel angiosarcoma * Hansen SH, Holck S, Flyger H, Tange UB. Radiation-associated angiosarcoma of the small bowel. A case of multipolidy and a fulminant clinical course. Case report. APMIS. 1996 Dec; 104(12): 891 -4
Second Cancers after BCS: 1 • 10 y incidence 16% • Risk factors: non breast Ca: age * Fowble B, Hanlon A, Freedman G, Nicolaou N, Anderson P. Second cancers after conservative surgery and radiation for stages I-II breasyt cancer: identifying a subset of women at increased risk. Int J Radiat Oncol Biol Phys. 2001 Nov; 51(3): 679 -90
Second Cancers after BCS: 2 • Second malignancies X * Obedian E, Fischer DB, Haffty BG. Second malignancies after treatment of early-stage breast cancer: lumpectomy and radiation therapy versus mastectomy J Clin Oncol. 2002 Jun; 18(12): 2406 -12
GE junction tumors • GIST • Sarcomatoid carcinoma (carcinosarcoma) • Synovial sarcoma – Billings SD, Maisner LF, Cummings OW, Tejada E. Synovial sarcoma of the upper digestive tract: a report of two cases with demonstration of the X; 18 translocation by fluorescent in situ hybridization. Mod Pathol. 2000 Jan; 13(1): 68 -76
E-G jn • • • GIST Leiomyoma Lymphoma Second primary from Breast Angiosarcoma - ? RT induced Linked to Dermatomyositis as arthritis +nt, ANA +, • Neurogenic tumors • Tuberculosis
20 primary after BCS • No – Obedian E, JClin Oncol 2000 Jun; 18(12): 2406 -12 • Yes 16% – Hanlon FB, Freedman G. , Nicolaou N. , Anderson P. Int J Radiat Oncol Biol Phys. . 2001 nov 1; 51(3): 679 -90
GIST + Neurogenic • No relation to RT, CT • Her 2 neu + • Dermatomysositis
Diagnosis • GIST, Lymphoma / 2 nd primary at GI jn ♠ Submucosal ≡ ► ►GIST = first diagnosis
GIST • Case historysubmucosal • Cajal Cell • Gene KIT • PGDRF • Diagnosis • CT • PET • • CT Surgery Chemoresistance Imatininb Sumanitib Prognosis Predictor factors 30
GIST…? ? • • Uncommon Mesenchymal tumors Origin in the wall of G-I tract Intestinal pacemaker cell called the interstitial cell of Cajal. 31
History of GIST… • late 1960’s smooth muscle neoplasms of the gastrointestinal tract • Immuno-histochemistry in the 1980’s some lacked features of smooth muscle differentiation • Mazur and Clark – “Gastrointestinal stromal tumors” = Neurogenic or Myogenic differentiation 32
• Mutations c-kit gene can cause constitutive activation of the tyrosine kinase function of c-kit • These mutations result in: – Auto-phosphorylation of c-kit – Ligand-independent tyrosine kinase activity – Uncontrolled cell proliferation – Stimulation of downstream signaling pathways 33
Cajal cell • Intestinal pacemaker cell • Characteristics of both smooth muscle and neural differentiation on ultrastructural study 34
GIST • Case historysubmucosal • Cajal Cell • Gene KIT • PGDRF • Diagnosis • CT • PET • • CT Surgery Chemoresistance Imatininb Sumanitib Prognosis Predictor factors 35
36
KIT • role of the KIT and platelet-derived growth factor receptor (PDGFR) tyrosine kinase receptors • KIT receptor tyrosine kinase (KIT RTK) 37
KIT • approximately 5% of GIST cells show not activation and aberrant signaling of the KIT receptor, but rather mutational activation of a structurally related kinase, PDGFR(PDGFRA). • 90% rate of mutations seen in a more recent series searching for potential mutations in each of exons 11, 9, 13, and 17 38
Survival & KIT • Exon 11 worse than PDGFR • Exon 9 worse than Exon 11 • Small intestine worse than stomach or colon • Exon 11 not dose dependent (Imatinib) • Exon 9 dose dependent (Imatinib) • ( EORTC, NA Swog S 0033, B 2222 phase II) 39
KIT & other markers • • • KIT PDGFRA Protein kinase C Theta ( PKCTheta) DOG-1 Wild type = KIT negative GIST 40
PDGFR Platelet derived growth receptor alpha (PDGFR-a) • Tyrosine kinase activator • Similar to c-kit • Helps define GIST 41
Pediatric • • • - KIT - PDGFRA Wild type + CD 117 ▲ Local recurrence Slow growing 42
CD 117 CD 34 Actin & Desmin S-100 GIST + + - - Desmoid tumor - + - - True leiomyosarc oma - + - Schwanoma - - - + 43
GIST • Case historysubmucosal • Cajal Cell • Gene KIT • PGDRF • Diagnosis • CT • PET • • CT Surgery Chemoresistance Imatininb Sumanitib Prognosis Predictor factors 44
GIST • Case historysubmucosal • Cajal Cell • Gene KIT • PGDRF • Diagnosis • CT • PET • • CT Surgery Chemoresistance Imatininb Sumanitib Prognosis Predictor factors 45
Diagnosis • FDG PET = mandatory ►FDG-PET CT scan is ideal • MD-CE-CT = image modality of choice for abdomen (if FDG-PET-CT is not available) • MR • Evaluate by Chol or RECIST criterion 46
47
GIST & chemoresistance • ▲ P-glycoprotein [the product of the multidrug resistance-1 (MDR-1) gene] • ▲ MDR protein 48
▼ active tyrosine kinase enzymatic function of the BCR-ABL oncoprotein ► critical to the pathogenesis of chronic myeloid leukemia (CML) 49
Definition… • GI submucosal mesenchymal tumor that is not myogenic (eg, leiomyosarcoma) or neurogenic (eg, schwannoma) in origin. • GI mesenchymal tumors that express the CD 117 and/or CD 34 antigen 50
Distribution… • • • Stomach 50 -60% Small bowel 20 -30% Large bowel 10% Esophagus 5% Else where in abdomen 5% 51
52
53
54
55
Symptoms… Ø Abdominal pain Ø Dysphagia Ø Gastrointestinal bleeding Ø Symptoms of bowel obstruction Ø Small tumors may be asymptomatic 56
Cytologically… 1. Spindle cell GISTs 2. Epithelioid cell GISTs • Although GISTs can differentiate along either or both cell types, some show NO significant differentiation at all 57
Diagnosis = CD 117+ 58
Malignant Versus Benign Size Mitotic count Very Low risk <2 cm <5/50 HPF Low risk 2 -5 cm <5/50 HPF Intermediate risk <5 cm 5 -10 cm >5 cm >10 cm Any size 6 -10/50 HPF <5/50 HPF >5/50 HPF Any count >10/50 HPF High risk 59
NCCN Guidelines 2007 • JNCCI Vol 5 Supplement 2 July 2007 page S 1 -S 31 Based on NCCN task force report 60
GIST • Case historysubmucosal • Cajal Cell • Gene KIT • PGDRF • Diagnosis • CT • PET • • CT Surgery Chemoresistance Imatininb Sumanitib Prognosis Predictor factors 61
Treatment… • Surgical excision is primary treatment option but recurrence rates are high • Resistant to standard chemotherapy regimens due to over-expression of efflux pumps • Radiation therapy limited by large tumor sizes and sensitivity of adjacent bowel 62
GIST • Case historysubmucosal • Cajal Cell • Gene KIT • PGDRF • Diagnosis • CT • PET • • CT Surgery Chemoresistance Imatininb Sumanitib Prognosis Predictor factors 63
IMATINIB • Since activation of Kit played a crucial role in the pathogenesis of GIST, inhibition of Kit would be therapeutic 64
IMATINIB • Orally bioactive tyrosine kinase inhibitor • Shown to be effective against GIST tumors in two trials in the US and Europe reported in 2001 & 2002 65
Sunitinb • • • Oral TK 1 ▼ KIT & PDGFR ▼ VEGFR, RET Anti-Angoiogenic + Antitumour Indication: Imatinib resistant, Wild type 66
Neoadjuvant • For unresectable tumours (NCI-RTOG 2007) 67
Adjuvant ? ? ? • For high risk of recurrence only (ACS-OG Z 9000, Z 9001) (Scandinavian-German SSG VIII/AIO) (EORTC 62024) 68
Recurrence or Metastaic • Imanitib is MUST • (Univ of Texas MD A) • (MGH Boston) 69
GIST: Summary • • • All have malignant potential CD 34 , CD 117, PET for Diagnosis Complete surgical resection important Metastatic disease responds to Imatinib Role of Imtanib No role of chemo or radiation 70
Prognosis… • The overall survival rate 35% at 5 years • complete resection 54% at 5 years • Incomplete resection 12 months • Metastasis 19 months • Local recurrence 12 months 71
Survival & KIT • Exon 11 of KIT worse than PDGFR • Exon 9 of KIT worse than Exon 11 • Small intestine worse than stomach or colon • Exon 11 not dose dependent (Imatinib) • Exon 9 dose dependent (Imatinib) ( EORTC, NA Swog S 0033, B 2222 phase II) 72
Predictors of survival • • Male sex, Tumor size > 5 cm Incomplete resection Mitotic index significant on multivariate analysis 73
GIST • Case historysubmucosal • Cajal Cell • Gene KIT • PGDRF • Diagnosis • CT • PET • • Rx Surgery Chemoresistance Imatininb Sumanitib Prognosis Predictor factors 74
Present Complaints • Bleeding P/V x 2 months (July 2005) • Hematemesis, Wt loss • GPE N
H: • • 59 y , Postmenopausal Ca ® Breast p. T 2 N 0 M 0 (July ‘ 02) BCS Breast RT + electron boost Adjuvant CMF 6# ER, PR & HER 2 -neu + Tamoxifen 20 mg OD
CMF vs CAF • Lancet 19988 Early Trialist Group
Her 2 Neu Rx • Her 2 +ve indicates a more severe disease • Another reason not to use the CMF and rather use Anthracycline • Aggressive tumors in presence of Dermatomyositis • Rx by Herceptin
Tx • 10 mg bd vs 20 mg OD • Current recommendations are 10 mg BD
Tamoxifen ► Endometrial polyps, hyperplasia & adenocarcinoma • Hysteroscopy: pretreatment and annual • Endoscopic myomectmy * Nomikos IN, Elemenoglou J, Papatheophanis J. Tamoxifen-induced endometrial polyp. A case report and review of literature. Eur J Gynaecol Oncol. 1998; 19(5): 476 -8
Tamoxifen ► Endometrial polyps, hyperplasia & adenocarcinoma • Hysteroscopy: pre-Rx & annual • Endometrial resection • Goldenberg, Nezhat C, Mashiach S. , Seidman DS. J AM Assoc Gynecol Laparosc. 1999 Aug: 6(3): 285 -8.
Bleeding PV • All causes + • Tamoxifen induced hyperplasia, polyp, carcinoma, • Mets from Metastatic Lobular breast CA
Tx►Polyps► hyperplastic or metstatic • Hysteroscopy is mandatory
Tamoxifen ► Post M Bleed P/V ►Hysteroscopy mandatory Taponeco F, Curcio C, Fasciani A, Giuntini A, Artini PG, Fornaciari G, et al. Indication of hysteroscopy in tamoxifen treated breast cancer patients. J Exp Clin Cancer Res. 2002 Mar; 21(1): 37 -43 Malignancy in 7. 8%+ 4% premalignant lesions in Postmenopausal Tx ► 3 y
Tamoxifen ► Metastatic Lobular breast Ca ►Endometrial polyp • Alvarez C, Ortiz-Rey JA, Estevez F, De la Fuente A. Metastatic lobular breast carcinoma to an endometrial polyp diagnosed by hysteroscopic biopsy. Obstet Gynecol. 2003 Nov; 102(5): 1149 -51 • Al-Brahim N, Elavathil LJ. Metastatic breast lobular carcinoma to tamoxifen-associated endometrial polyp: case report and literature review. Ann Diagn Pathol. 2005 Jun; 9(3): 166 -8
Tamoxifen ► Endometrial carcinoma • Wilking N, Isaksson E, Von Schoultz E. Tamoxifen and secondary tumors. An update. Drug Saf. 1997 Feb; 16(2): 104 -17 (? Risk of 20 GI CA) • Andersson M, Storm HH, Mouridsen HT. Carcinogenic effects of adjuvant tamoxifen therapy and radiotherapy for early breast cancer. Acta Oncol. 1992; 31(2): 259 -63 • Matsuyama Y, Tominaga T, Nomura Y, Koyama H, Kimura M, Sano M, et al. Second cancers after adjuvant tamoxifen therapy for breast cancer in Japan. Ann Oncol. 2000 Dec; 11(12): 1537 -43
Summary • Need of hysteroscopy for endometrial polyp • CAF for adjuvant • Her 2 Neu + tumors need a distinct line of management including aggressive chemo/ Herceptin
Provisional diagnosis • Bleeding PV- Tx induced polyp • Mets from Metastatic Lobular breast Ca • Her 2 neu related endometrial cancer
Diagnosis • Polyp / Metastases of Lobular Breast CA in Ut • GIST, Lymphoma / 2 nd primary at GI jn
Thank you 93


