4453f443df49c3f7d78ad2625d1e459f.ppt
- Количество слайдов: 17
GIANT CELL GRANULOMATOUS HYPOPHYSITIS SECONDARY TO INTRASELLAR RUPTURE OF RATHKE’S CLEFT CYST – A CASE REPORT. M. Bisceglia (1), D. Catapano (2), G. Giannatempo (3), V. A. D’Angelo (2). Department of Pathology – Division of Anatomic Pathology (1), Department of Neurosciences - Division of Neurosurgery (2), and Department of Imaging – Division of Radiology (3), IRCCS ”Casa Sollievo della Sofferenza” Hospital, San Giovanni Rotondo, Italy.
Introduction. • Rathke ‘s pouch closes in early embryonic life, but its apical extremity persists into postnatal life as a cleft between the pars distalis and the pars nervosa of the pituitary. • Rathke’s cleft is a frequent incidental finding in the normal pituitary in post-mortem specimens. It is lined by cuboidal or columnar epithelium, often ciliated in places and which may include mucous goblet cells. • Rathke’s cleft cysts are tumor-like lesions which may derive from distension of clefts by gelatinous material, but may remain asymptomatic. • They are typically intrasellar, but dumb-bell intra- and supra-sellar, and entirely suprasellar examples are described. • The epithelial lining of these cysts is similar to that of Rathke’s cleft, but squamous metaplasia is not uncommon.
• Large cysts may become symptomatic either due to compression of the pituitary gland, optic chiasm, or hypothalamus, or to inflammation of the surrounding pituitary tissue with or without rupture of the cyst capsule. • Hypophysitis associated with Rathke’s cleft cyst is rarely reported. • Both non-granulomatous lymphocytic hypophysitis (1, 2) and giant cell foreign-body type granulomatous hypophysitis (3) have been described, triggered by rupture of the cyst capsule. We describe an additional case of giant cell granulomatous hypophysitis, caused by a ruptured Rathke’s cleft cyst.
Case Report. • A 53 years-old woman presented with acute diabetes insipidus and visual impairment. • At imaging (MRI), there was an intense contrastenhancing intra-supra-sellar mass with a large cystic component compressing the optic chiasm and the pituitary stalk.
Fig. 1. A and B, MRI T 1 -weighted image. A sellar-suprasellar, partly cystic, lesion is visible. The sella is enlarged and the sphenoidal bone eroded. C and D, T 1 weighted image with contrast, showing ring enhancement around the cyst. The pituitary stalk is thickened and enhanced. A C B D
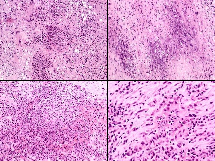
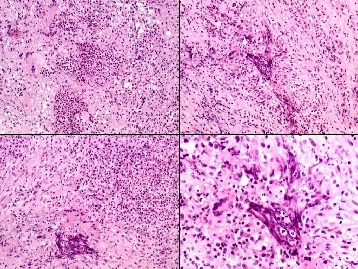
• Laboratory chemical analyses were normal. • The patient underwent trans-sphenoidal surgery. • Intraoperatively a firm tumor capsule was detected surrounding a cyst cavity. • Inspissated fluid was aspirated and the tumor capsule witht the surrounding inflammed tissue were totally removed. Light microscopy revealed giant cell granulomatous hypophysitis. Fragments of Rathke’s cyst wall partly lined by simple columnar and squamous metaplastic epithelium were found.
Cyst and inflammatory tissue of cyst wall.
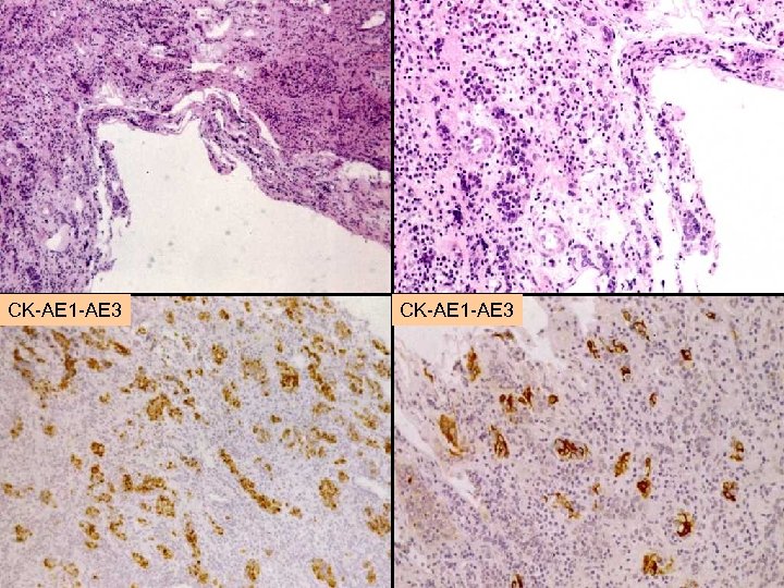
Cytokeratins, including CK 5/6 Squamous cell nests
Squamous cell nests from which Rathke’s cyst is widley believed tooriginate.
CK-AE 1 -AE 3
Discussion. • All the above findings strongly indicated that the ruptured cyst had caused the giant cell granulomatous hypophysitis. • Mucins produced by cells lining the cyst are believed to be the direct stimulus for the giant cell response (4). • Giant cell granulomatous hypophysitis accounts for less than 1% of all pituitary disorders. • Two forms of giant cell granulomatous hypophysitis are distinguished, idiopathic (5) and secondary, the latter having varying etiologies, including autoimmune disorders, systemic infectious and non-infectious granulomatous diseases (e. g. syphilis, tuberculosis, sarcoidosis, histiocytoses, including Langerhan’s cell histiocytosis) and ruptured Rathke’s cleft cyst.
• Histologically different is another type of hypophysitis known as xanthomatous hypophysitis, in which anterior pituitary is heavily infiltrated by xanthomatous histiocytes with macrophagic immunoprofile (6). • Todate only 7 cases of granulomatous hypophysitis secondary to ruptured Rathke’s cleft cysts are recorded in the world literature. • All have occurred in women (3). • All but one patient were not pregnant (3). We have reported herein an additional such example, also in a non-pregnant female.
Conclusion. • Although a definite preoperative diagnosis is almost impossible, particularly the challenging distinction from a non-functioning pituitary adenoma with cystic degeneration, the diagnosis should be suspected in the presence of a sellar mass with a cystic area. • Anticipation of the diagnosis preoperatively or intraoperatively is important for the correct management of this lesion.
References 1. Nishikawa T, Takahashi JA, Shimatsu A, Hashimoto N. Hypophysitis caused by Rathke's cleft cyst. Case report. Neurol Med Chir (Tokyo). 2007; 47: 136 -9. 2. Schittenhelm J, Beschorner R, Psaras T, et al. Rathke's cleft cyst rupture as potential initial event of a secondary perifocal lymphocytic hypophysitis: proposal of an unusual pathogenetic event and review of the literature. Neurosurg Rev. 2008; 31: 157 -63. 3. Sonnet E, Roudaut N, Meriot P, Besson G, Kerlan V. Hypophysitis associated with a ruptured Rathke's cleft cyst in a woman, during pregnancy. J Endocrinol Invest. 2006; 29: 353 -7.
4. 5. 6. Roncaroli F, Bacci A, Frank G, Calbucci F. Granulomatous hypophysitis caused by a ruptured intrasellar Rathke's cleft cyst: report of a case and review of the literature. Neurosurgery. 1998; 43: 146 -9 Bhansali A, Velayutham P, Radotra BD, Pathak A. Idiopathic granulomatous hypophysitis presenting as non-functioning pituitary adenoma: description of six cases and review of literature. Br J Neurosurg. 2004; 18: 489 -94. Folkerth RD, Price DL Jr, Schwartz M, Black PM, De Girolami U. Xanthomatous hypophysitis. Am J Surg Pathol. 1998; 22: 736 -41.


