Скачать презентацию Гемолимфатические узлы Гемолимфатические узлы nodi lymphatic Скачать презентацию Гемолимфатические узлы Гемолимфатические узлы nodi lymphatic

Гемолимфатические узлы. Загайный Денис.pptx

  • Количество слайдов: 20

Гемолимфатические узлы Гемолимфатические узлы

 Гемолимфатические узлы (nodi lymphatic haemalis) — особенная разновидность лимфатических узлов, в синусах которых Гемолимфатические узлы (nodi lymphatic haemalis) — особенная разновидность лимфатических узлов, в синусах которых циркулирует не лимфа, а кровь.

Расположение У человека такие узлы бывают редко. Обычно они располагаются в околопочечной клетчатке вдоль Расположение У человека такие узлы бывают редко. Обычно они располагаются в околопочечной клетчатке вдоль почечных артерий или по ходу брюшной аорты, реже — в заднем средостении.

Развитие гемолимфатических узлов весьма сходно с развитием обычных лимфатических узлов, но гемолимфатические узлы относительно Развитие гемолимфатических узлов весьма сходно с развитием обычных лимфатических узлов, но гемолимфатические узлы относительно долго сохраняют способность к миелопоэзу (до рождения, а иногда и в течение нескольких лет в постнатальном периоде).

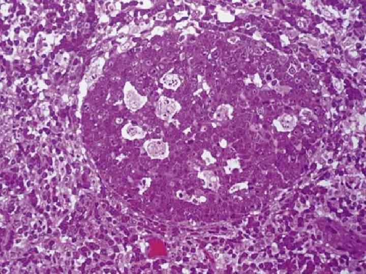
Строение По величине гемолимфатические узлы, как правило, значительно меньше лимфатических. Снаружи они покрыты соединительнотканной Строение По величине гемолимфатические узлы, как правило, значительно меньше лимфатических. Снаружи они покрыты соединительнотканной капсулой, нередко содержащей пучки гладких мышечных клеток. Корковое вещество меньшего объема, лимфатических узелков немного; мозговые тяжи тоньше и малочисленнее. Синусы гемолимфатических узлов, особенно мозговые, бывают относительно широкими. Благодаря значительной примеси крови синусы не всегда легко отличаются от вен, проходящих в мозговых тяжах.

Строение Критерием служат ретикулярные клетки и ретикулярные волокна в просвете сосудов. Вопрос о наличии Строение Критерием служат ретикулярные клетки и ретикулярные волокна в просвете сосудов. Вопрос о наличии соустьев между лимфатическими сосудами и венами гемолимфатических узлов остается спорным. Гемолимфатические узлы вырабатывают форменные элементы крови не только лимфоидного, но и миелоидного ряда.

Возрастные изменения С возрастом гемолимфатические узлы подвергаются инволюции. Корковое и мозговое вещества замещаются жировой Возрастные изменения С возрастом гемолимфатические узлы подвергаются инволюции. Корковое и мозговое вещества замещаются жировой тканью или прорастают рыхлой волокнистой соединительной тканью. У эмбрионов и в раннем постнатальном периоде в гемолимфатических узлах, кроме клеток лимфоидного ряда, составляющих большинство клеточных элементов, обнаруживаются промиелоциты, миелоциты и метамиелоциты, особенно эозинофильные, проэритробласты, нормоциты и даже мегакариоциты. Кровь, находящаяся в синусах, частично вымывается лимфой, частично подвергается разрушению: эритроциты и их фрагменты фагоцитируются макрофагами, в цитоплазме которых всегда обнаруживается железосодержащий пигмент — гемосидерин.

 Истинные гемолимфатические узлы важно отличать от ложных, которые могут образовываться в результате всасывания Истинные гемолимфатические узлы важно отличать от ложных, которые могут образовываться в результате всасывания крови лимфатическими сосудами из различных очагов кровоизлияний, в связи с чем она обнаруживается в краевом синусе и приносящих лимфатических сосудах. В отличие от добавочных селезенок гемолимфатические узлы имеют приносящие лимфатические сосуды, а в просвете синусов встречаются ретикулярные клетки. Кроме того, в добавочных селезенках находятся специфические для селезенки структуры (центральные артерии фолликулов, артериальные гильзы, венозные синусы), чего нет в гемолимфатических узлах.

 Гемолимфатические узлы включены не в лимфатическое, а в кровеносное русло. Гемолимфатические узлы не Гемолимфатические узлы включены не в лимфатическое, а в кровеносное русло. Гемолимфатические узлы не могут быть не включены и в лимфатическую систему, так как при инъекции метиленовым синим в самые крупные лимфатические узлы тимуса крупного рогатого скота эти гемолимфатические узлы налились сами и предоставили возможность проследить за током метиленовой сини в лимфатических сосудах и проследить связь гемолимфатических узлов и их лимфатических сосудов между собой.

 Определение размеров гемолимфатических узлов тимуса измеряли при помощи циркуля и ученической линейки. Начинали Определение размеров гемолимфатических узлов тимуса измеряли при помощи циркуля и ученической линейки. Начинали исследовать от сердца в краниальном направлении, отмечая все особенности. В среднем у крупного рогатого скота было обнаружено 21 гемолимфатический узел с правой стороны и 20 гемолимфатических узлов с левой стороны, в общем их количество составило 41 -44 шт. Гемолимфатические узлы не большого размера от 0, 3 х0, 2 см до 0, 7 х0, 4 х0, 27 см и расстояние от одного такого узла до другого составляет от 0, 3 до 0, 5 и 1, 5 до 3 см.

Единая иммунная система слизистых оболочек (MALT) Эта система представлена скоплениями лимфоцитов в слизистых оболочках Единая иммунная система слизистых оболочек (MALT) Эта система представлена скоплениями лимфоцитов в слизистых оболочках желудочно-кишечного тракта, бронхов, мочеполовых путей, выводных протоков молочных и слюнных желез. Лимфоциты могут формировать одиночные или групповые лимфоидные узелки (миндалины, червеобразный отросток, групповые лимфатические узелки или пейеровы бляшки кишки). Лимфатические узелки осуществляют локальную иммунную защиту названных органов.

 Общими для всех этих участков являются расположение лимфоцитов в рыхлой волокнистой соединительной ткани Общими для всех этих участков являются расположение лимфоцитов в рыхлой волокнистой соединительной ткани оболочек, покрытых эпителием, образование антител, относящихся к Ig. A. Секрецию Ig. A осуществляют плазмоциты дифференцирующиеся из В-лимфоцитов в процессе антигенной стимуляции. А также эпителиоциты оболочек, вырабатывающие секреторный компонент Ig. As. Сборка молекулы иммуноглобулина происходит в слизи на поверхности эпителиоцитов, где они обеспечивают местную антибактериальную и противовирусную защиту. Располагающиеся в узелках Т-лимфоциты осуществляют реакции клеточного иммунитета и регулируют дифференцировку В-лимфоцитов. Единую (диффузную) иммунную систему слизистых оболочек в англоязычной литературе обозначают аббревиатурой MALT – mucous associated lymphatic tissue.

Некоторые термины из практической медицины: лимфатическое глоточное кольцо Пирогова-Вальдейера -- совокупность миндалин, расположенных вокруг Некоторые термины из практической медицины: лимфатическое глоточное кольцо Пирогова-Вальдейера -- совокупность миндалин, расположенных вокруг входа в глотку из полостей рта и носа; состоит из двух небных, двух трубных, глоточной и язычной миндалин; аденоиды (adenoides; адено- + греч. -eides подобный; син. : аденоидные разрастания, вегетации аденоидные) -- патологически гиперплазированная глоточная (носоглоточная) миндалина; вызывает затруднение носового дыхания, снижение слуха и другие расстройства; тонзиллит (tonsillitis; син. амигдалит) -- воспаление небных миндалин;

Изображение миндалин на сагиттальном разрезе через полости носа, рта и глотки - небные миндалины Изображение миндалин на сагиттальном разрезе через полости носа, рта и глотки - небные миндалины - это парные миндалины между небными дужками; - трубные миндалины - это парные миндалины у отверстия слуховых труб; - глоточная миндалина - это непарная миндалина в своде глотки; - язычная миндалина - это непарная миндалина на тыльной поверхности языка. лимфатические узелки, рассеянные в слизистой оболочке задней стенки глотки

Строение миндалины Строение миндалины

 лимфаденит (lymphadenitis -- воспаление лимфатического узла; лимфаденит регионарный (l. regionalis) -- Л. при лимфаденит (lymphadenitis -- воспаление лимфатического узла; лимфаденит регионарный (l. regionalis) -- Л. при распространении возбудителей инфекции по лимфатическим сосудам из воспалительного очага с поражением регионарных лимфатических узлов; мезаденит (mesadenitis; анат. mesenterium брыжейка + греч. aden железа + -ит; син. лимфаденит мезентериальный) -- воспаление лимфатических узлов брыжейки кишечника; лимфогранулематоз (lymphogranulomatosis; син. : лимфоматоз хронический злокачественный, Пальтауфа. Штернберга болезнь, ретикулез фибромиелоидный, Ходжкина болезнь) -- злокачественная гиперплазия лимфоидной ткани с образованием в лимфатических узлах и внутренних органах лимфогранулем;