Физические основы Магнитно-Резонансной Томографии и искуственного контрастирования при МРТ.ppt
- Количество слайдов: 169
Физические основы Магнитно-Резонансной Томографии и искусственного контрастирования при Магнитно-Резонансной Томографии В. О. Панов Кафедра лучевой диагностики и медицинской физики Российской Медицинской академии Последипломного образования Российский Онкологический Научный Центр им. Н. Н Блохина , Москва - Россия
В данной презентации кроме собственных данных использованы материалы любезно предоставленные фирмами Bayer Schering Pharma (Германия), Bruker Biospin (Германия) и Siemens (Германия)
Молекулы и ядра 10 -10 m magnetic moment
СПИН – механический (вращательный) момент и магнитный момент = S ~ 10 -15 m spin without a field
. . ХАОС? ! Никто не знает, как ведут себя СПИНЫ вне магнитного поля. . y z orientation within a field x
СПИНЫ –ориентируются по направлению магнитного поля при его воздействии. . . B 0: 1, 5 T (Tesla) y x B z 0 y z x
Синхронизация СПИНОВ приводит к намагничиванию всего образца B 0 z магнитные моменты отдельных спинов намагнничивание всего образца
“МРТ” «Намагничивание» тканей пациента при его размещении в зазоре магнита Z z z Z M Z
Магнитный резонанс B E
Магнитный резонанс B E
“МРТ" Ядерный магнитный резонанс B 1 Резонансная частота
“Возбуждение СПИНОВ” с помощью облучения электромагнитным (радиочастотным) полем Z M Резонансная частота B 1
Вращения суммарного магнитного момента образца в трансверзальной плоскости (в плоскости XY) индуцирует возбуждение переменного тока (напряжения) в приемной катушке Индукция МР-сигнала Z Mx y
Химический сдвиг. Протонный 1 Н спектр тканей часто выявляет два четко разделенных пика. Один отнесен к тканевой воде, а другой – к протонам триглицерида. Данные приведены для напряженности поля В 0=1, 0 Тл
Протонный спектр нормального мозга человека (Cr – фосфокреатин, РСНО – фосфохолин, NAA – Nацетиласпартат).
(а) 31 Р – спектр мышечной ткани ноги человека, (b) 31 Р – спектр мозга человека. Различные концентрации фосфорных метаболитов в этих двух типах тканей влияют на соотношение площадей пиков, а различие физического окружения этих метаболитов в данных тканях влияет на ширины пиков
Ряд спектров 31 Р, снятых с интервалом 90 секунд между ними. Спектры демонстрируют изменение относительного содержания фосфорных метаболитов при интенсивной нагрузке и отдыхе икроножной мышцы человека.
Градиентые магнитные поля суммируются со статическим магнитным полем. В результате различные части образца оказываются в магнитном поле с разной напряженностью. Только в центре образца не происходит никакого изменения магнитного поля, а значит и резонансной частоты nо
Сигналы и спектры трех водных образцов в различных положениях на X -оси без наложения градиента поля и в присутствии градиента Gx вдоль оси X. В присутствии градиента магнитного поля сигналы от всех трех образцов разрешены, причем спектральные интервалы между ними зависят от пространственных интервалов, разделяющих их на оси X, и от величины приложенного градиента поля Gx
Слева: Используя в двух разных экспериментах градиенты магнитного поля вдоль осей X и Y, можно установить пространственное расположение всех трех образцов с водой, которые смещены от начала координат вдоль обеих осей. Справа: Метод обратного проецирования – те же положения трех объектов находят из трех проекций. Дополнительные проекции позволяют, кроме положений, уточнить и форму объектов.
Перемещение положения среза. В поле 1, 0 Тесла резонансная частота в центре образца будет 42, 58 МГц. Изменяя частоту нашего радиочастотного возбуждающего импульса в разных направлениях на несколько килогерц, мы будем возбуждать разные срезы в любую сторону от центрального
Значение фазового угла, индуцированного градиентом магнитного поля, зависит как от амплитуды, так и от длительности этого градиента. При использовании линейных градиентов постоянной длительности мы можем задавать фазовый угол, меняя амплитуду (от А до D) и полярность градиента магнитного поля (+А и –А).
Полный эксперимент по двумерной 2 D-Фурье-спин-эхотомографии: (а) данная процедура состоит из подобранных пар 90°- и 180°-импульсов, поперечных срезов через мозг (Z-направление срезвыбирающего градиента магнитного поля), фазового кодирования (Y-направление фазокодирующего градиента магнитного поля) и частотного кодирования (X-направлении частотнокодирующего градиента магнитного поля); (b) упомянутые фазокодирую-щие градиенты меняют фазу от строки к строке попереч-ного среза; частотнокодирую-щие градиенты приписывают конкретную частоту каждому столбцу. Объединение частот-ной и фазовой информации позволяет создать сетку, в ко-торой каждый пиксел обладает однозначной комби-нацией частотного и фазового кодов. Для этого процедуру обычно повторяют 256 раз, каждый раз меняя значение фазокодирующего градиента, что и создает МР-
Импульсная последовательность спин-эхо. Спиновая система возбуждается 90°-импульсом. После времени t следует 180°- импульс. Это ведет к образованию эхо-сигнала. Время между 90°-импульсом и пиком эхо называют эхо-временем TE (echo time). После первого 180°импульса могут следовать дополнительные 180°-импульсы, которые создают дополнительные эхо-сигналы (многоэховая последовательность). Несколько 180°-импульсов создают множество эхо-сигналов с уменьшающимися амплитудами. Из ССИ можно получить только время T 2*, тогда как из спада амплитуд эхо-сигналов рассчитывают истинное значение Т 2
Образование эхо-сигнала в импульсной последовательности спин-эхо SE можно сравнить с соревнованиями по бегу. В момент 90°-импульса все бегуны выравнены на стартовой линии. После 180°-импульса более быстрые бегуны отделяются от более медленных (расфазировка). В некоторый момент времени t в ходе соревнования бегуны зеркально отражаются относительно линии старта (это момент, когда прикладывается 180°-импульс). Теперь самые быстрые бегуны оказываются позади всех, но они бегут быстрее и поэтому догоняют остальных. Все вместе достигают финиша и создают сигнал эхо в момент TE=2 t (TE – эхо-время).
Последовтаельность мульти (СПИН) эхо 90° RF GS GP GR FFT Сигнал 180°
Быстрое СПИН эхо RARE (rapid acquisition with relaxation enhancement) 90° 180° RF GS GP GR Signal Turbo Spin Echo – TSE (Siemens) Turbo Spin Echo – TSE (Philips) Fast Spin Echo – FSE (GE) 180°
ТЕ 1=2 t ТЕ 2=4 t ТЕ 3=6 t ТЕ 4=8 t Импульсная последовательность RARE (слева). Эта последовательность является модифицированной последовательностью множественных эхосигналов MSME. В результате создается последовательность эхо-сигналов (e) с разными временами TE 1, TE 2, TE 3 и TE 4, причем каждое эхо в этой последовательности имеет свой фазовый код, то есть соответствует разным строкам (a), (b), (c), (d) в направлении фазового кодирования при сканировании (справа). Обычно используют восемь или шестнадцать эхо-сигналов, число которых и определяет так называемый RARE-фактор, обозначаемый NR. Время между 90°- и 180°-импульсом, а также между последующими 180°-импульсами равно t.
Быстрое спиновое эхо TSE – дополнительные возможности управления контрастом тканей 90° 180° RF GS GP GR восстановление намагниченности 180° - 90°
TSE с восстановлением намагниченности TSE - 4 мин TE=118 мс 1*1*3 мм Restore – 2, 4 мин TE=120 мс 1, 2*0, 5*3 мм Restore (Siemens) Drive (Philips) DEFT – FSE (GE) 1. 5 T
Ускорение с помощью „Фурье-интерполяции “ интерполяция «занулением» (interpolation through nulling)
HASTE – Half Fourier Acquired Single Shot Turbo Spin Echo 90° 180° 180° RF GS GP GR Signal HASTE
HASTE – Half Fourier Acquired Single Shot Turbo Spin Echo 90° 180° 180° RF GS GP GR Signal HASTE
HASTE – Half Fourier Acquired Single Shot Turbo Spin Echo 750 ms / slice 10. 9 ms TR 87 ms TEeff 72 echoes 1. 5 T Sequence Family - Cardiac 1 acquisition 6 mm 350 mm Fo. V 128 h*256 matrix 0. 2 mm gap
Последовательность инверсия-восстановление. Намагниченность инвертируется 180°-импульсом. В течение инверсионной задержки (TI) эта намагниченность восстанавливается со скоростью, определяемой временем Т 1 данного образца. В некоторый момент, во время этого восстановления, прикладывается 90°-импульс, измеряющий соответствующую величину намагниченности. Поведение суммарной намагниченности.
Поведение интенсивности сигнала в зависимости от времени инверсии TI в последовательности инверсиявосстановление при времени повторения TR=2000 мс для напряженности магнитного поля Во=1, 0 Тесла. (А) До точки TI=0, 69 Т 1 сигнал остается отрицательным. (Б) Реальное поведение измеряемого сигнала последовательности инверсиявосстановление на МРтомограмме. Положительный сигнал уменьшается до нуля, а затем нарастает вновь, пока не достигнет равновесного значения.
Быстрая последовательность инверсия-восстановление TIRM – turbo Inversion Recovery (Magnitude) turbo FLAIR -. . . fluid attenuated inversion recovery 90° 180° RF 180° GS GP GR Signal M Жировая ткань Серое и белое вещество Цереброспинальная жидкость время инверсии TI (1900 ms) 180°
Быстрая последовательность инверсия-восстановление TIRM – turbo Inversion Recovery (Magnitude) turbo FLAIR -. . . fluid attenuated inversion recovery
Расфазировка, вызванная наложением градиента: (а) – намагниченность первоначально ориентирована вдоль оси Y' и спадает со скоростью, определяемой Т 2; (b) – если мы включим градиент магнитного поля, то увидим ускоренное разбегание спинов; совокупный сигнал есть сумма проекций всех индивидуальных векторов на ось Y', т. е. он уменьшается; (с) – увеличение задержки времени увеличивает убыль сигнала. Сплошные стрелки справа изображают соответствующий совокупный сигнал, штрихованные стрелки на рис. (b) и (с) – это сигналы, которые были бы измерены в отсутствие градиентов магнитного поля
Образование градиентного эхо – аналогия с бегунами. В момент подачи радиочастотного импульса все бегуны находятся на одной стартовой линии. После старта они начинают растягиваться вдоль дорожки, причем наличие градиента магнитного поля ускоряет это разделение. Перемена знака градиента означает команду "повернуть назад": они бегут к линии старта, от которой более быстрые убежали дальше. В отличие от спин-эхо эксперимента, каждый бегун возвращается по своей дорожке в обратную сторону, после чего все вместе также соберутся на линии старта (градиентное эхо). Дополнительные неоднородности поля могли бы распределить бегунов таким образом, что они не вернутся на линию старта одновременно
В отличие от последовательности SE (a) в последовательности FLASH (b) вместо первого 90°-импульса можно использовать радиочастотный импульс с любым углом отклонения. Эхо создается переключением градиента, что можно делать быстрее и с меньшими нагрузками на образец (т. е. в принципе, с меньшей опасностью для пациента). Кроме того TR и TE могут быть гораздо короче
Расфазировка сигнала жировой ткани. Выбрав подходящее эхо-время TE в последовательности GE, мы можем поймать этот жировой сигнал либо в фазе, либо в противофазе с сигналом воды. Данный пример изображает поведение такого фазового контраста в поле 1, 5 Тесла, когда разность частот между водой и жиром составляет 225 Гц. При этом жировой сигнал поворачивается на 360° за каждые 4, 4 мс (1/225 с). Это означает, что водный и жировой сигналы совпадают по фазе при TE = 0, 0; 4, 4; 8, 8; . . . мс (стрелка вверх) и находятся в противофазе в моменты времени TE = 2, 2; 6, 6; 11, 0; . . . мс (стрелка вниз)
VIBE – Volume Interpolated Breathhold Examination a° k z k y k x l itn – interpolation through nulling
VIBE – Volume Interpolated Breathhold Examination a° k z k y k x l itn – interpolation through nulling
3 D VIBE: одновременное получение изображений паренхимы и сосудов органов.
Эхо-планарная EPI(-FID) – echo planar imgaging RF 90 ° GS GP GR Signal TE t EPI
Эхо-планарная EPI(-FID) – Perfusion Imaging r. CBF r. CBV r. MTT Sequence Family
DW-SE-EPI (Diffusion Weighted - Spin Echo - Echo Planar Imgaging)- диффузионно взвешенная спин-эхо планарная последовательность 90° 180° RF GS GP GR Сигнал Preparation - подготовка Read-out - считывание t
DW-SE-EPI – diffusion weighted spin echo planar imgaing cytotoxic edema, infarcted region – left middle cerebral artery T 2 -FLAIR diffusionweighted EPI Source: Reimer, Parizel, Stichnoth; Clinical MR Imaging Sequence Family T 2
Главные параметры, определяющие контраст тканей в МРтомографии. Внешние Внутренние 1. 2. 3. 4. 5. 6. 7. 8. 9. 10. 11. 12. 13. 14. Протонная плотность Т 1 релаксация Т 2 релаксация Кросс-релаксация Диамагнитные и ферромагнитные возмущения Химический сдвиг Температура Диффузия Перфузия Физиологические движения Объемные потоки Вязкость Изменение состава тканей (возрастные изменения и т. д. ) Наличие эндогенных парамагнитных веществ (продукты деградации гемоглобина и т. д. ) 1. 2. 3. 4. 5. 6. Напряженность магнитного поля статическое поле градиентное поле Однородность магнитного поля Параметры аппаратуры и программирования (тип катушки число срезов, толщина и зазор между срезами, положение и ориентировка среза число усреднений форма и частотная ширина радиочастотного импульса размеры пиксела форма и частотная ширина радиочастотного импульса размер матрицы и пиксела поле зрения размер матрицы режим обработки (2 D/3 D) способ подавления артефактов синхронизация (стробирование) ориентация фазы относительно градиентов, кодирующих частоту и т. д. ) Импульсные последовательности (насыщениевосстановление, частичное насыщение, инверсиявосстановление, спин-эхо, градиентное хо, ыстрые э б модификации основных импульсных последовательностей и т. д. ) Параметры импульсных последовательностей (время повторения TR, время ожидания эха TE, время ожидания после инверсии сигнала TI, угол отклонения a) Парамагнитные агенты, влияющие на контраст
Три различных образца: (1) – кровь, (2) – мышечная ткань, (3) – жировая ткань, содержащие одинаковые количества протонов, но с разными временами релаксации (убывающими в ряду: кровь, мышечная ткань, жировая ткань), подвергнуты воздействию радиочастотных импульсов с разными временами повторения TR. Заметьте, что кровь показывает наиболее четко выраженное насыщение, то есть с уменьшением времени TR ее сигнал уменьшается больше всего, поскольку она имеет самое длинное время Т 1.
Насыщение сигнала ткани при коротком времени TR.
Кривые спада сигналов тканей мозга и церебро-спинальной жидкости. При длинном TR и любых значениях TE сигнал церебро-спинальной жидкости больше сигнала окружающих тканей.
Кривые спада сигналов тканей мозга и церебро-спинальной жидкости. При коротких TR и TE сигнал церебро-спинальной жидкости меньше сигнала окружающих тканей, и цереброспинальной жидкость является темной; в точке пересечения относительный контраст практически отсутствует; наконец, при длинных TE сигнал церебро-спинальной жидкости выше сигнала окружающих тканей, и она является яркой на изображениях.
Физические основы МРангиографии: яркость сигнала для последовательности спин-эхо зависит от скорости кровотока – чем меньше линейная скорость, тем ярче будет МР-сигнал.
МР-ангиография на базе «обычных» импульсных последовательностей. Ангиография с использованием метода “черной крови” (артерио -венозная мальформация). MIP при использовании 2 D-TOF Обработка данных3 D TSE T 2 WI
Время-пролетная ангиография Time-of-Flight Effect - To. F t Поток крови приносит «свежие» спины, которые замещают возбужденные или «насыщенные» спины
a° turbo. MRA k z k y k x обычная (12: 18 min) Magnetom Expert, 1. 0 T
a° turbo. MRA k z k y k x с интерполяцией «занулением» (5: 51 min) Magnetom Expert, 1. 0 T
Нечувствительное к потоку (поступательному движению спинов) градиентное эхо – flow insensitive Gradient Echo l Рефазирующий градиент GMR – gradient motion rephasing
Чувствительное к потоку (поступательному движению спинов) градиентное эхо – flow sensitive Gradient Echo l Определение скорости потока - FQ – flow quantification
Фазоконтрастная МРА (Phase Conrast – MRA) «Различия амплитуды» – «различия фазы»
Формирующийся из двух биполярных имульсов разной полярности триполярный импульс компенсирует этот фазовый разброс изза перемещения спинов внутри объема и существенно повышает МР-сигнал от текущих жидкостей
Фазоконтрастная МР-венография VENC 10 cm/sec Sequence Family VENC 60 cm/sec
Сердце, дуга и нисходящая часть аорты при фазоконтрастной ангиографии с измерением скорости потока.
Релаксация Процесс возвращения к исходному состоянию или «расслабление после возбуждения» называется релаксацией T 1 - релаксация продольная намагниченность поперечная намагниченность T 2 – релаксация T 2 -Relaxation
Время спин-решеточной релаксации Т 1 показывает, как идет процесс восстановления продольной составляющей намагниченности ткани после выключения радиочастотного импульса, то есть является временной характеристикой возращения спиновой системы в исходное состояние после достижения ядерного магнитного резонанса. Время спин-спиновой релаксации Т 2 показывает, как идет процесс расфазирования спинов и исчезновения поперечной составляющей намагниченности ткани после выключения радиочастотного импульса, то есть является временной характеристикой определяющей как долго можно измерять сигнал ядерного магнитного резонанса в плоскости измерения после достижения ядерного магнитного резонанса.
T 2 релаксация, спин-спиновое взаимодействие макромолекулы 5 -8% “жесткая решетка” движение ограничено гидратные оболочки 3 -5% структурированная или связанная вода с анизотропным вращением свободная вода 90% изотропное вращение и свободная диффузия Уровни T 2 10 - 100 мкс 5 - 10 мс 1 - 2 с
T 2 релаксация, спин-спиновое взаимодействие макромолекулы 5 -8% “жесткая решетка” движение ограничено гидратные оболочки 3 -5% структурированная или связанная вода с анизотропным вращением свободная вода 90% изотропное вращение и свободная диффузия Уровни T 2 10 - 100 мкс 5 - 10 мс 1 - 2 с
T 1 релаксация, спин-решеточное взаимодействие макромолекулы 5 -8% “жесткая решетка” движение ограничено гидратные оболочки 3 -5% структурированная или связанная вода с анизотропным вращением свободная вода 90% изотропное вращение и свободная диффузия Уровни T 1 1 - 3 мкс 10 - 100 мс 2 - 3 с
Молекулы воды в тканях можно разделить на следующие типы: l I-H 2 O – внутриклеточная вода, l E-H 2 O – свободная внеклеточная вода, l P-H 2 O – вода, связанная с протеином, l M- H 2 O – вода, связанная с мембранами, l H 2 O – вода, обменивающаяся между этими состояниями
МРТ B 0 B 1 E Mz Возбуждение спинов
MР T B 1 B 0 E Mx y Возбуждение спинов
MР T B 0 Mx y Релаксация
MР T B 0 Mx y Релаксация
MР T B 0 Mz Релаксация
Bottomley et al. Med. Phys. 14(1), Jan/Feb 1987 Времена релаксации T 1 и T 2 (мс) Орган Объекты 1, 5 T 1, 0 T 0, 2 T Головной Серое вещество 921 813 495 мозг Белое вещество 787 683 390 Церебро 3000 2500 1200 спинальная жидкость Опухоли 957 -1073 871 -1055 629 -864 Отек 1090 975 627 Печень Нормальная ткань 493 423 229 Опухоль 905 857 692 Селезенка Нормальная ткань 782 683 400 Почки Нормальная ткань 652 589 395 Опухоль 907 864 713 T 2 101 92 1500 103 - 121 113 43 84 62 58 83
В остальном в биологических (медицинских) спиновых системах времена спин-решеточной релаксации Т 1 и времена спин-спиновой релаксации Т 2 как правило симбатны (изменяются параллельно). Время спин-решеточной релаксации Т 1 зависит от: 1) Молекулярной подвижности воды (ротационной подвижности химических групп, содержащих протоны) – чем меньше подвижность, тем короче время спинрешеточной релаксации Т 1. 2) Наличия в окружении ядер водорода парамагнитных (ферромагнитных) релаксационных центров – чем больше таких центров, тем короче время спинрешеточной релаксации Т 1.
Увеличение количества свободных (несвязанных) молекул воды при вазогенном отеке, рост температуры тканей и т. д. –> увеличение времени спин-решеточной релаксации Т 1. Увеличение плотности ткани или ее вязкости, рост содержания белка в жидкости и т. д. –> уменьшение времени спин-рещеточной релаксации Т 1. Появление эндогенных (продуктов биодеградации гемоглобина, ионов марганца или меди, молекулярный кислород и т. д. ) или экзогенных парамагнитных веществ (хелатные комплексы гадолиния) - уменьшение времени спин-рещеточной релаксации Т 1.
Время спин-спиновой релаксации Т 2 зависит от: 1) Молекулярной подвижности воды (ротационной подвижности химических групп, содержащих протоны) – чем меньше подвижность, тем короче время спиновой релаксации Т 2. 2) Наличия в окружении ядер водорода ферромагнитных (парамагнитных) релаксационных центров – чем больше таких центров, тем короче время спин-спиновой релаксации Т 2. 3) Микроокружения ядра водорода – микровязкость, ионная сила жидкостей, кислотность среды р. Н и т. д.
Увеличение количества свободных (несвязанных) молекул воды при вазогенном отеке, рост температуры тканей, изменение р. Н и т. д. –> увеличение времени спиновой релаксации Т 2. Увеличение плотности ткани или ее вязкости, рост содержания белка в жидкости, увеличение ионной силы раствора и т. д. –> уменьшение времени спин-спиновой релаксации Т 2. Появление эндогенных (гемосидерин, ионов марганца или меди, молекулярный кислород и т. д. ) или экзогенных парамагнитных веществ (супрепарамагнитные частицы) - уменьшение времени спин-спиновой релаксации Т 2.
Изменение МРТ свойств зоны кровоизлияния в процессе биодеградации гемоглобина. Фаза биодеградаци и гемоглобина Степень окисления железа и биохимическа я форма Располо -жение Механизм воздействия Относительный МР-сигнал зоны кровоизлияния Ускорение Манитная релаксаци восприими чивость протонов Насыщенный кислородом гемоглобин Fe 2+ оксигемоглобин Эритроциты Диамагнетик нет Образование деоксигемоглобина Fe 2+ деоксигемоглобин Эритроциты Парамагнетик Распад Fe 3+ эритроцитов + метгемоглоби оксигенация н гемихром Вне клеток Внеклеточная Fe 3+ трансформац трансферрин и ия лактоферрин Вне клеток Накопление в Fe 3+ ферритин Фагоциклетках и гемосидерин ты Магнитны е свойства Т 1 -ВИ Т 2 -ВИ нет Гипо- или изоинтенсивен Гиперинтенсивен + (внутрикле -точная вода) ++ Изо- или гипоинтенсивен Гипоинтенсивен Парамагнетик ++ нет Гиперинтенсивен Гипоинтенсивен Суперпара -магнетик + (внутрикле -точная вода) ++ Изоинтенсивен Гипоинтенсивен
Влияние на спин-решеточную релаксацию:
Классификация МР-контрастных средств Fe Gd USPIO SHU 555 C (BSP) Resovist (BSP) Sinerem (Guerbet), C 184 (Ferro. Pharm) Специфические Mn Внеклеточные Интраваскулярные SPIO – суперпарамагнит. оксид железа USPIO – ультрамаленький SPIO 0. 5 молярные 1. 0 молярные Primovist (BSP) Endorem (Guerbet) 0. 25 молярные Magnevist (BSP) Gadovist (BSP) Omniscan, (Nycomed) Pro. Hance, Multi. Hance (Bracco) Dotarem (Guerbet) Vasovist, Gadomer (BSP) Teslascan (Nycomed)
Внеклеточные магнитно-резонансные контрастные средства. Общие характеристики: • распределение только во внеклеточном пространстве • нет биотрансформации и связывания с белками • период полувыведения - около 90 минут • почечная экскреция • высокая стабильность • хорошая переносимость пациентами
Классификация МР-контрастных средств Fe Gd USPIO SHU 555 C (BSP) Resovist (BSP) Sinerem (Guerbet), C 184 (Ferro. Pharm) Специфические Mn Внеклеточные Интраваскулярные SPIO – суперпарамагнит. оксид железа USPIO – ультрамаленький SPIO 0. 5 молярные 1. 0 молярные Primovist (BSP) Endorem (Guerbet) 0. 25 молярные Magnevist (BSP) Gadovist (BSP) Omniscan, (Nycomed) Pro. Hance, Multi. Hance (Bracco) Dotarem (Guerbet) Vasovist, Gadomer (BSP) Teslascan (Nycomed)
Классификация МР-контрастных средств Внеклеточные МРКС l Магневист (Gd-DTPA, гадопентетат, открытый, ионный ) BSP, 1988 г. l Дотарем (Gd-DOTA, гадотерат, макроциклическеий, ионный) Guerbet, 1990 г. l Омнискан (Gd-DTPA-BMA, гадодиамид, открытый нейтральный) Nycomed, 1992 г. l Проханс (Gd- HP-DO 3 A, гадотеридол, ионный нейтральный ) Bracco, 1994 г l Мультиханс (Gd-BOPTA, гадобенат, открытый, ионный) Bracco, 1998 l Гадовист (Gd-DO 3 A-гадобутрол, макроциклический, нейтральный) BSP, 1998 г. Органотропные МРКС l Тесласкан (Mn-DPDP, тринатрия мангафодипир) Amersham Nycomed 2000 г. l Резовист (ферукарботран -суперпарамагнитные частицы окиси железа) BSP 2001 l Примовист (Gd-EOD-DTPA, гадоксетовая кислота, открытый ионный) BSP 2004
Линейные (открытые) МРКС - OOC N N OOC - l Gd 3+ - COO N COO l l Gd 3+ - OOC COO N OC NH CH 3 l - COO - N N - COO CO NH CH 3 l l Магневист (гадопентетат) ионный Schering AG Омнискан (гадодиамид) нейтральный Amersham Health
Макроциклические МРКС O O O N N O O O l l N O O O l OH Gd 3+ O N N Дотарем (гадобенат) ионный Guerbet l O O N N N OH N O • Гадовист (гадобутрол) OH OH O Проханс (гадотеридол), нейтральный Bracco/ Altana O Gd 3+ O N нейтральный • ВSP
Физико-химические свойства хелатов Gd Химическая структура линейная • Характеризуется термодинамической (log. K) и условной (log Kcond) стабильностью • Значение имеет заряд лиганда макроциклическая • Характеризируется кинетикой образования и диссоциации комплекса • Можно сравнивать время полужизни (t 1/2) комплекса Энергия активации: кинетика лиганд неионные комплекс • Низкая стабильность комплекса • Большой избыток свободного лиганда в лекарственной форме Высокая стабильность комплекса Малый избыток свободного лиганда Acc. to Idèe JM, Fundamental & Clinical Pharmacology 20 (2006) 563 -576 • Макроциклические хелаты инертны
Физико-химические свойства современных МР-контрастных средств
Стабильность хелатов: клиническое значение l l l В процессе клинического применения хелатов гадолиния выяснилось, что их стабильность in vivo неодинакова - она зависит от химической структуры хелатов Высвобождение Gd 3+ при введении в организм препаратов с низкой стабильностью может иметь серьезное клиническое значение Когда мы говорим о большей и меньшей стабильности гадолинийсодержащих МРКС, следует иметь в виду, что она минимальна для гадодиамида (Омнискана). Разница достигает пяти порядков для константы термодинамической стабильности в сравнении с гадопентетатом димеглюмина (Магневистом) или гадобутролом (Гадовистом), т. е. в 100 000 раз
Процесс трансметиллирования МРКС в присутствии цинка Показатель снижения релаксирующей способности вследствие трансметиллирования (отношение величин релаксирующей способности через 4320 мин инкубации МРКС с Zn. Cl 2 (2, 5 м. М) в фосфатном буфере к ее величине в нулевой момент времени) и время (мин) необходимое, чтобы данный показатель достиг 80%
Системный нефрогенный фиброз – что является причиной? Free gadolinium and gadodiamide, a gadolinium chelate used in magnetic resonance imaging: evaluation of their in vitro effects on human neutrophil viability. Behra-Miellet J, Gressier B, Brunet C et al. Methods Find Exp Clin Pharmacol 1996: 18: 437– 442: l Гадодиамид подвергается трансметиллированию намного легче, чем другие гадолинийсодержащие контрастные средства l Трансметиллирование приводит к высвобождению свободного Gd+++, который относится к очень токсичным ионам, способным взаимодействовать с другими ионами l Степень трансметиллирования намного выше тогда, когда гадолинисодержащее вещество присутствует в организме длительное время, что и наблюдается, например, у пациентов с почечной патологией.
Международные публикации Contrast media. Safety issues and ESUR guidelines. Thomsen HS (ed) Springer, Berlin Heidelberg New York 2006 - … Лекарственная форма Омнискана отличается от всех других лекарственных форм гадолинийсодержащих контрастных средств, применяемых в Европе, избыточным содержанием хелата (12 мг/мл) и наименьшей стабильностью….
Международные публикации Gadolinium - a specific trigger for the development of nephrogenic fibrosing dermopathy and nephrogenic systemic fibrosis? Grobner T. Erratum /Nephrol Dial Transplant, 2006 21: 1745 - …. Общим фактором развития НСФ для трех европейских сообщений стало введение всем пациентам гадодиамида…
Международные публикации Nephrogenic systemic fibrosis: a serious late adverse reaction to gadodiamide. Henrik S. Thomsen /European Radiology© 2006 V. 16, P. 2619 -2621 /Editorial – …. В настоящее время, на основании имеющей информации следует принять во внимание, что гадодиамид нельзя вводить пациентам с почечной недостаточностью, включая тех, которые находятся на диализе…
Международные публикации Risk factors for developing gadolinium-induced nephrogenic systemic fibrosis. Peak AS, Sheller A. Ann Pharmacother. 2007 Sep; 41(9): 1481 -5. – Не у всех пациентов с почечной патологией, которым вводили гадолинийсодержащие МРКС, развивается НСФ. Дополнительными факторами риска является ацидоз и большие дозы эритропоэтина, гиперфосфатемия, хирургические вмешательства, заболевания печени, гиперкоагуляция и любые воспалительные процессы. При необходимости применения гадолинийсодержащих МРКС у больных с почечной недостаточностью среди них нельзя использовать нелинейные неионные хелаты (eg, gadodiamide, gadoversetamide).
Физико-химические свойства современных МР-контрастных средств
Дотарем vs Гадовист Острая токсичность гадотерата (Дотарема) в 2 раза выше, чем у гадобутрола (Гадовиста 1, 0) низкий профиль безопасности и переносимости Дотарема (? )
Дотарем vs Гадовист Не смотря на высокую термодинамическую стабильность комплекса Гадотерат – ионное МРКС, которое рекомендуется к применению только в одной дозе.
Преимущества Гадовиста l Наибольшая концентрация гадолиния и наибольшая релаксирующая активность лучшее контрастирование l Возможность проведения перфузионных исследований l Стабильный макроциклический комплекс сначитеьно снижает риск развития нефрогенного системного фиброза и псевдогипокальциемии l Визуализация сосудистого русла с помощью Гадовиста аналогична золотому стандарту рентгеновской ангиографии
Способы введения:
Способы введения:
Способы введения: При отсутствии средств на приобретение автоматических инъекторов – методом выбора становиться ручное введение!!! Выбираем «ручной инъектор» …. <- ИЛИ ->
Способы введения: При отсутствии средств на приобретение автоматических инъекторов –методом выбора становиться ручное введение: 1. Требует высокой квалификации медицинского персонала. 2. Требует высокой степени кооперативности взаимодействия «ручного инъектора» и оператора МРТ, особенно при проведении МРТ исследований с динамическим контрастированием. 3. Чем меньше объем контрастного вещества, тем ближе струйное введение к болюсному.
Преимущества Гадовиста Лучшее контрастирование Безопасность Уникальность Удобство Меньший объем
Глиобластома: пациент 6 лет Цель исследования - оценить эффективность химиотерапии Магневист Гадовист 1, 0 Внутренняя структура опухоли приобретает более неоднородную, «пустулезную» структуру при контрастировании Гадовистом 1, 0. Этот феномен обусловлен наличием в опухоли вторичных зон некроза in situ, вызванного деструктивным воздействием химиопрепаратов
Преимущества Гадовиста Гадовист – визуализация отличного качества при использовании меньшего объема, особенно при использовании МРТ систем с низкими значениями Гадовист 1, 0 напряженности магнитного поля. 0, 5 молярный препарат
К чему приводит применение нестабильных комплексов гадолиния? l После введения таких препаратов (гадодиамида, гадоверсетамида) всегда повышена вероятность депонирования гадолиния в организме пациента. Однако клинические проявления такого депонирования видны не сразу и не во всех случаях. При почечной патологии и наличии воспалительных факторов риск гадолинийиндуцируемой патологии резко повышается и он начинает проявляться в виде фиброза кожи, а затем и различной патологии внутренних органов l Кроме того, при использовании нестабильных комплексов гадолиния имеет место псевдогипокальциемия, которая приводит к ошибкам при количественном колориметрическом определении уровня кальция.
Решает ли проблему применение стабильных комплексов гадолиния? l Стабильность МРКС является важным фактором патогенеза НСФ (Morcos, 2007) и именно неионные линейные вещества (у нас в стране зарегистрирован только один такой препарат гадодиамид) относятся к МРКС с низкой стабильностью l В связи с этим следует считать, что у больных с почечной патологией желательно использовать макроциклические стабильные МРКС (например, гадобутрол). Поэтому применение неионного макроциклического гадобутрола дает радиологам наилучшие гарантии безопасности в отношении риска развития как острых, так и отсроченных реакций, в том числе НСФ, у больных с почечной патологией при проведении МРТ или МР-ангиографии с контрастным усилением.
Решает ли проблему применение стабильных комплексов гадолиния? Решает, но только частично….
Из инструкции по применению Гадовиста …. Сообщалось о случаях развития нефрогенного системного фиброза (НСФ) в связи с введением гадолинийсодержащих контрастных средств пациентам со следующими патологиями: - острая или хроническая тяжелая почечная недостаточность (скорость клубочковой фильтрации 30 мл/мин / 1, 73 м 2) и - острая почечная недостаточность или другая тяжелая патология, обусловленная печеночно-почечным синдромом, или в период до и после операции по трансплантации печени. l l Несмотря на то, что Гадовист имеет очень высокую стабильность комплекса, благодаря его макроциклической структуре, существует возможность развития НСФ при использовании Гадовиста. Поэтому у таких пациентов использовать Гадовист следует только после тщательной оценки соотношения польза/риск.
Внеклеточные МРКС l Сходство в химическом строении: – сходство в толерантности и диагностической эффективности 1, 2 l Ионные/ Нейтральные: – не имеет клинического значения вследствие небольших вводимых объемов l Частота побочных реакций: – ниже 1% для всех внеклеточных МРКС 1 Shellock FG (1999) Safety of MRI contrast agents. JMRI 10, 477 -84 2 Oudkerk M (1995) Safety and efficacy of Dotarem versus Magnevist in MRI of the central nervous system. Invest radiol 30, 75 -78
Сравнение частоты побочных эффектов у неионных рентгеноконтрастных препаратов и гадопентетата 1 Анализ 168, 363 внутривенных введений неионного рентгеноконтрастного препарата. Анализ 13, 439 внутривенных введений Магневиста. (The Japanese Committee on Safety of Contrast Media). 1. Magnevist Monograph, 4 -rd edition, 2001, page 29.
Международные публикации Nephrogenic systemic fibrosis (NSF): a late adverse reaction to some of the gadolinium based contrast agents. Thomsen HS, Marckmann P, Logager VB. Cancer Imaging. 2007 Sep 24; 7: 130 -7 l Страх развития НФС не должен приводить к отказу применения МРТ с контрастным усилением при наличии показаний.
«Для того чтобы сделать исследование качественно и быстро, нужны определенные средства. В том числе — контрастные, значительно оптимизирующие результаты исследований, улучшающие визуализацию. » Кармазановский Григорьевич, доктор медицинских наук, профессор, руководитель отделения лучевой диагностики Института хирургии им. А. В. Вишневского РАМН. «Правильное и полное применение методик современной диагностики с использованием контраста позволяют, во-первых, во много раз улучшить качество изображения и, во-вторых, что важнее, значительно быстрее и точнее установить диагноз» Терновой Сергей Константинович, академик РАМН, доктор медицинских наук, профессор, заведующий кафедрой лучевой диагностики и лучевой терапии ММА им. И. М. Сеченова
Васильев Александр Юрьевич, член-корреспондент РАМН, заслуженный деятель науки РФ, доктор медицинских наук, начальник Главного клинического госпиталя МВД России. «Хотя применение контрастных веществ увеличивает стоимость исследований, затраты с лихвой окупаются эффективностью. Ведь они позволяют, как правило, после первой же процедуры дать ответ на вопрос о реальном состоянии здоровья пациента, а именно: — определить, нужна ли в данном случае операция, и если да, то насколько срочная; — с большой долей уверенности подтвердить или опровергнуть наличие злокачественного новообразования и т. д. »
М. Форстинг, профессор, кафедра лучевой диагностики University Hospital Essen, Германия - Важная роль в точной постановке диагноза принадлежит контрастным средствам. При наличии контрастного усиления мы можем выставить более точный дифференцированный диагноз
Органоспецифические магнитнорезонансные контрастные средства.
Гепатопецифические магнитнорезонансные контрастные средства.
Классификация МР-контрастных средств Fe Gd USPIO SHU 555 C (BSP) Resovist (BSP) Sinerem (Guerbet), C 184 (Ferro. Pharm) Специфические Mn Внеклеточные Интраваскулярные SPIO – суперпарамагнит. оксид железа USPIO – ультрамаленький SPIO 0. 5 молярные 1. 0 молярные Primovist (BSP) Endorem (Guerbet) 0. 25 молярные Magnevist (BSP) Gadovist (BSP) Omniscan, (Nycomed) Pro. Hance, Multi. Hance (Bracco) Dotarem (Guerbet) Vasovist, Gadomer (BSP) Teslascan (Nycomed)
Роль контрастных средств в МРТ изображении печени Ø Усиление контрастности между нормальной и патологической тканями выявление патологии Ø Предоставление информации о васкуляризации опухоли/взаимоотношения сосудов (предоперационное планирование) Ø Демонстрация перфузионных характеристик в патологическом очаге характеристика патологического очага
МРКС для гепатобилиарной системы Внеклеточные МРКС – визуализация сосудов и патологических образований * l l Гадовист® (гадобутрол) Магневист® (гадопентетат) Омнискан® (гадодиамид) Дотарем® (гадотерат) Гепатоспецифичные МРКС - визуализация сосудов и патологических образований печени* - контрастное усиление паренхимы печени** *- в динамическую фазу в режиме Т 1 **- в гепатоспецифичную фазу в режиме Т 1
Гепатоспецифичные МРКС l РЭС-специфичные – низкий сигнал в режиме Т 2 l Резовист® l Эндорем® l Синерем® Купфферовские клетки l Гепатоцит-специфичные – высокий сигнал в режиме Т 1 l Примовист® l Мульти. Ханс® l Тесласкан® Гепатоциты
Гепатоспецифичные МРКС l РЭС-специфичные – Низкая интенсивность сигнала в режиме Т 2 l Резовист® l Эндорем® l Синерем® l Гепатоцит-специфичные – Высокая интенсивность сигнала в режиме Т 1 l Примовист® l Мульти. Ханс® l Тесласкан®
Примовист®: физико-химические свойства • производное Gd-DTPA (Магневист) • ионный Динатрия гадолинийэтоксибензилдиэтилентриаминоуксусная кислота Gd-EOB-DTPA • концентрация 0, 25 моль Gd/л • модифицированный с липофильной этил-окси-бензил группой (EOB) • “Позитивное“ КС в режиме Т 1 • Прозрачный, готовый к применению раствор
Примовист®: физико-химические свойства l Высокая растворимость в воде l Низкая молекулярная масса l Низкая вязкость l Низкая осмолярность l Высокая стабильность in vitro и in vivo
Примовист®: особенности фармакологической активности l l интенсивное накопление в гепатоцитах (более 50%) – проникновение в гепатоциты посредством органического анион-траспортирующего полипептида 1 (ОАТП 1), расположенного на мембране гепатоцитов – усиливает сигнал здоровой паренхимы печени (через 10 -20 минут после инъекции) – выявляет очаги диаметром < 1 см Т 1 -релаксационная активность в плазме в 2 раза выше, чем у Магневиста
Примовист®: релаксационная активность * sum of two different relaxivities Примовист® связывается с белками плазмы (≈10%), Т 1 -релаксирующая способность в плазме в 2 раза выше, чем у Магневиста
Примовист®: элиминация • двойной путь экскреции • почечная • гепатобилиарная ≈ 50% • полная элиминация в течение 24 часов* • если один путь элиминации блокирован, Примовист выделяется через другой путь в течение 72 часов
Гепатоциты - клетки-мишени для Примовиста®: в/в инъекция Патологический очаг с гепатоцитами: есть накопление КС Патологический очаг с атипичными опухолевыми клетками: нет накопления КС Накапливается гепатоцитами паренхимы печени Повышение интенсивности изображения в гепатоспецифичную фазу (T 1) Изображение в гепатоспецифичную фазу низкой интенсивности (в режиме T 1)
Примовист®: механизм контрастирования Уникальная формула препарата двойной механизм контрастирования Распределение в кровяном русле (аналогично внеклеточным Gd –МРКС) визуализация сосудов и патологических образований печени* *- в динамическую фазу в режиме Т 1 **- в гепатоспецифическую фазу в режиме Т 1 Накопление в гепатоцитах (до 50%) и гепатобилиарная экскреция контрастное усиление паренхимы печени и желчевыводящих путей**
Примовист®: Особенности визуализации в гепатоспецифичную фазу Образования печени Паренхима печени Специфическое накопление в гепатоцитах Усиление сигнала в режиме Т 1 Печеночноклеточные Возможное специфическое накопление в гепатоцитах Усиление сигнала в режиме Т 1 Образования печени изо- или гиперинтенсивные Непеченочноклеточные Нет специфического накопления Нет усиления сигнала Образования печени гипоинтенсивные
Примовист®: Дифференциальная диагностика опухолей печени (в гепатоспецифичную фазу) Ткань Нормальная паренхима печени Метастазы Холангиокарцинома Примовист® Магневист® Увеличение сигнала на Т 1 Незначительное взвешенных увеличение сигнала на Т 1 изображениях (яркая взвешенных паренхима) изоброажениях (через 10 мин после иньекции) - - ПКР -/+ -/0 Участок регенерации 0/+ -/0 +/++ 0 0/+ 0 Киста - 0 Гемангиома - + Очаговая узловая гиперплазия Аденома Primovist. Liver-specific hepatobiliary contrast agent for MRI of focal liver lesions. Schering AG, Berlin, 2005
Примовист®: гепатоспецифичное контрастирование Primovist® at T 1 WI fs. GRE pre-contrast 20 min 40 min время
Примовист®: доброкачественные опухоли аденома гемангиома очаговая нодулярная гиперплазия
Примовист®: злокачественная опухоль Метастаз ПКР Холангиокарцинома
Примовист®: Анамнез Пациент после операции по поводу злокачественного поражения панкреатодуоденальной зоны. желтухи и холестаза. Наличие А Задачи исследования Контрольное исследование Диагноз а- дренированные абсцессы в печени (а), б - наличие абсцессов (звездочки), в – наличие нитевидного стеноза (стрелка) билиодигестивного анастомоза выявляется только после МРТ с контрастированием Б Использование гепатобилиарного МРКС позволило выявить нарушение функционирования анастамоза и печени В
Примовист®: Анамнез Пациент при исследовании печени в хирургическом отделении с предварительным диагнозом атопический гастрит Задачи исследования Исключение патологических очагов в печени Диагноз а - опухолевых образований при КТ не обнаружено. б –после введения гепатоспецифического МРКС, определяется метастаз размером около 1 см во II сегменте печени (стрелка), А Применение специфического к печени и желчевыводящей системе МРКС позволило избежать врачебной ошибки и скорректировать хирургическую и врачебную тактику лечения Б
Другие гепатоспецифичные МРКС: Тесласкан (GE-Nycomed-Amersham) регистрация в России в 2007 – 1) не дает возможность проведения как динамического контрастирования с получением артериальной и портовеннозных фаз, так и контрастирования паренхимы печени на Т 1 взвешенных изображениях 2) имеет большее время ожидания гепатоцитарной фазы, длительность гепатоцитарной фазы больше. Эндорем и Синерем (Guerbet), Multi. Hance (Bracco) в России не зарегистрированы.
Клинические аспекты применения магнитнорезонансных контрастных средств.
turbo. MRA
Трехмерная время-пролетная МР-артериография при аневризмах средних мозговых артерий
Трехмерная время-пролетная МР-артериография при двустороннем стенозе внутренних сонных артерий
Фазоконтрастная МР-венография Скорость 10 см/с Скорость 60 см/с
МР-ангиография с введением МР-контрастных средств ремя В
МР-ангиография с контрастным усилением – введением МР-контрастных средств (contrast enhanced MRA - ce. MRA)
МР-ангиография с контрастным усилением (contrast enhanced MRA - ce. MRA) блюсное введение 25 мл Gd 2, 5 мл/с 10 с физиологический р-р 25 ml 10 seconds копление сигнала ~10 с t = 0 копление сигнала время
Методы установления оптимального времени прохождения МРКС Test. Bolus и Care. Bolus Инъекция МР-контрастного средства (МРКС) 2 D 2 D . . . “восстановление изображения” 3 D
МРА высокого разрешения с введением МРКС и программой Care-Bolus (3 T) 35 с справа Courtesy Dr. Sorensen Boston слева 0. 8 x 0. 9 x 0. 6 мм 3 0. 43 мкл / воксель
МР-артериография с введением МР-контрастных средств
МР-артериография с введением МР-контрастных средств Аневризма восходящей части аорты Стеноз общей подвздошной артерии
МР-ангиография с панорамной катушкой Courtesy Dr. Fellner, Erlangen
МР-ангиография с применением 1, 0 молярного МРКС Анамнез Пациент с опухолью поджелудочной железы. Задачи исследования Определить состояние аорты, ее ветвей и системы воротной вены Диагноз (а), (б) - определяется высокая контрастность изображения. (в) - качество оптимально для оценки состояния системы воротной вены Комментарии Высокое качество контрастирования вен делает одномолярные препараты предпочтительными для исследования патологии венозной системы, особенно при резком замедлении крововотока. МР-ангиография с применением 0, 5 молярного МРКС ? ?
Каликопиелоэктазия правой почки и пельвикальная киста левой почки у новорожденного - 2 день после родов. Комплексное МРТ исследование почек.
Каликопиелоэктазия правой почки и пельвикальная киста левой почки у новорожденного - 2 день после родов. Комплексное МРТ исследование почек. Время после внутривенного введения МР-контрастного вещества 20 с 1 мин 10 мин 25 мин
МР-ангиография с введением МРконтрастных веществ и применением новых сверхбыстрых импульсных последовательностей МРТ 3 D VIBE: одновременное получение изображений паренхимы и сосудов органов.
МРТ головного мозга с применением 1, 0 молярного МРКС Анамнез Пациент с неясным диагнозом, находится в неврологическом отделении с периодическими головными болями и высокой температурой. Плановое исследование Задачи исследования Дифференциальный диагноз Диагноз а- при обследовании пациента без использования контрастного вещества определялись 2 образования неясной этиологии б – после в/в введении 1, 0 молярного МРКС рентгенологическая картина соответствует картине множественных абсцессов Комментарии Для неврологов и нейрохирургов очень важно получить информацию по расположению и структуре объемного образования. Применение 1, 0 молярного МРКС позволило четко поставить диф. диагноз и определить тактику лечения А Б
Анамнез Пациент с неясным диагнозом, находится в неврологическом отделении по поводу впервые произошедшего эпилептического припадка 2 недели назад МРТ головного мозга с применением 0, 5 и 1, 0 молярного МРКС А Задачи исследования Диф. диагностика между опухолью и абсцессом. Диагноз а- при обследовании пациента без использования контрастного вещества выявлено образование неоднородной структуры с наличием кистозного компонента в левой теменной доле. б – после контрастного усиления 0, 5 молярным МРКС. В - отчетливо выявляется перегородка внутри кистозного компонента и солидный узел по наружной поверхности с четкими, неровными Контурами. Комментарии Наличие перегородок в кистозном компоненте при дифференциальной диагностике между опухолью и абсцессом коренным образом изменяет хирургическую тактику. Б В
Анамнез Пациентка поступила в клинику с остро развившейся очаговой мозговой симптоматикой и предварительным диагнозом: рассеянный склероз, фаза обострения. Задачи исследования Определить локализацию патологического очага и характер повреждения. Диагноз а- без использования контрастного вещества определяется множество мелких гиперинтенсивных очагов в белом веществе полушарий большого мозга. Контуры очагов плохо прослеживаются на фоне широких зон перифокального отека. б – после в/в введения 0, 5 молярного МРКС в- после введения 1, 0 молярного МРКС выявляется большое количество мелких очагов Комментарии Применение 1, 0 молярного МРКС позволило поставить диагноз множественные метастазы МРТ головного мозга с применением 1, 0 молярного МРКС А Б В
Анамнез Пациентка поступила в клинику с нарастающей очаговой мозговой симптоматикой и предварительным диагнозом метастатическое поражение головного мозга. Состояние после мастэктомии 2 года назад и химиотерапии в связи с выявленными костными метастазами. Задачи исследования Определить локализацию патологического очага и характер повреждения. Диагноз а- при обследовании пациентки без использования контрастного вещества определяется множество гиперинтенсивных очагов в белом веществе полушарий большого мозга. Контуры очагов плохо прослеживаются на фоне широких зон перифокального отека б – после внутривенного введения 1, 0 молярного МРКС хорошо определяется его накопление в очагах. Комментарии Использование одномолярного контрастного препарата позволяет выявить большее количество очагов (стрелки). МРТ головного мозга с применением 1, 0 молярного МРКС
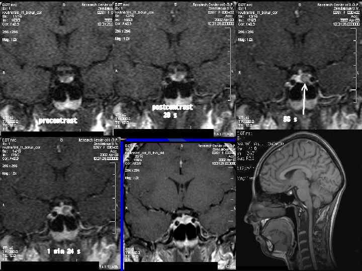
Микроаденомы аденогипфиза Неспецифические признаки: 1. Суженная хиазмо-селлярная цистерна. 2. Неоднородная структура аденогипофиза. 3. Неровные контуры гипофиза. 4. Смещение и/или искривление воронки гипофиза. Специфический признак: 5. Задержка накопления МР-контрастных средств тканью микроаденомы при временном разрешениии серий не более 40 секунд.


