Скачать презентацию ФГБУ РОССИЙСКИЙ НАУЧНЫЙ ЦЕНТР РЕНТГЕНОРАДИОЛОГИИ Министерства здравоохранения Российской Скачать презентацию ФГБУ РОССИЙСКИЙ НАУЧНЫЙ ЦЕНТР РЕНТГЕНОРАДИОЛОГИИ Министерства здравоохранения Российской

2. доклад Шершнева.pptx

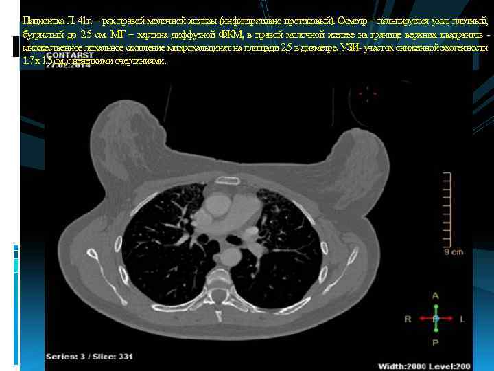
  • Количество слайдов: 22