Грыжи 1.ppt
- Количество слайдов: 50
Эвентра ция (лат. eventratio — е[х]- «отделение, удаление» + venter — «живот» ) — остро развивающийся дефект в брюшине и мышечноапоневротическом слое передней брюшной стенки, в результате образования которого создаются условия для разгерметизации брюшной полости и выхода внутренностей за ее пределы.
По течению Первичные Рецидивные Послеоперационные
По вправимости Вправимые (содержимое грыжевого мешка легко может быть вправлено в брюшную полость через грыжевые ворота или вправляется самостоятельно) Невправимые (чаще в результате развития сращений, спаек; внезапно развившаяся невправимость ранее вправимой грыжи является характерным симптомом ущемления грыжи)
Внутренние грыжи - выходят в карманы брюшины отверстия внутри полости. либо в брюшной Наружные грыжи — выходят под кожу брюшной стенки.
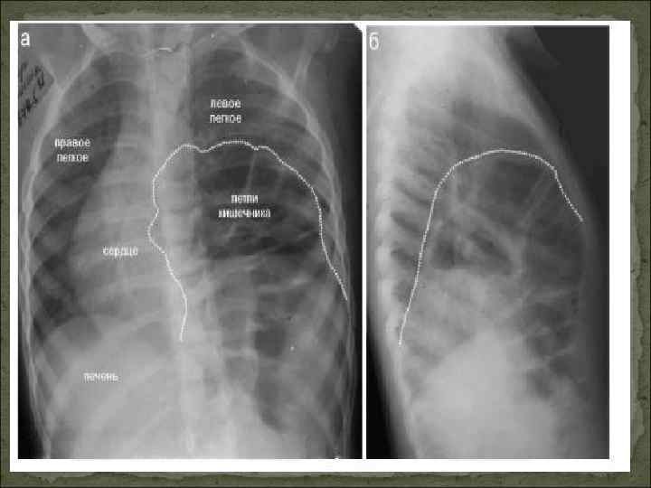
Внутренние Составляют 25 %. Внутрибрюшные Грыжи сальниковой сумки (ворота — foramen Vinsloe) Грыжи около сигмовидной кишки Грыжи около слепой кишки Грыжи около связки Трейтца, парадуоденальная грыжа (lig. duodenojejunalis) и другие внутрибрюшные образования Диафрагмальные ретрокостостернальные (справа — треугольника Морганьи, слева — Ларрея) пояснично-рёберные (Бохдалека) сухожильного центра диафрагмы (преимущественно — паракавальные грыжи) грыжи пищеводного отверстия диафрагмы (ГПОД): скользящие (аксиальные) и параэзофагеальные
Наружные Составляют 75 % Паховая Бедренные Белой линии живота Эпигастральная Пупочная грыжа Полулунной линии (Спигелиева) Дугообразной линии Треугольника Пти Ромба (треугольника) Гринфельда-Лесгафта Седалищные Надпузырная Промежностная Запирательная Боковая (за влагалищем прямой мышцы живота)
1. Жалобы на появление выпячивания в определенной области у больного, которое появляется при физической нагрузке. Кроме того, могут отмечаться некоторые тупые непостоянные боли в области выпячивания. Если боль в области выпячивания, которое уже не исчезает у больного, постоянная, то это говорит о невправимости грыжи. 2. Анамнез: врач определяет связь возникновения грыжи с тяжелой или непривычной физической нагрузкой, или отмечает наличие грыжи с рождения. 3. Физикальные методы исследования: врач после осмотра выпячивания ощупывает его, отмечает его консистенцию, вправляется ли оно в полость, а также определяет состояние естественных каналов и отверстий (на расширены ли они, например, введением кончика пальца в паховый канал, определяется, не расширен ли он) 4. Инструментальные методы исследования: к ним относятся такой метод, как диафаноскопия, используемый с целью отличия мошоночной грыжи от водянки. Он заключается в том, что область мошонки просвечивается фонариком. 5. УЗИ.
Единственным способом лечения грыж является оперативный. Операция при грыже состоит из двух основных этапов — грыжесечения, которое включает в себя иссечение грыжевого мешка и пластику, которая включает в себя закрытие грыжевых ворот. Все методики можно разделить на две группы: натяжные и ненатяжные (tension free).
Все способы хирургического лечения грыж передней брюшной стенки объединяются в две группы: 1. пластика собственными тканями 2. пластика с использованием дополнительных материалов.


