Аномалии отдельных зубов и зубных рядов.pptx
- Количество слайдов: 32
Этиология, патогенез, клиника, диагностика аномалий отдельных зубов и зубных рядов
Аномалии зубов
Нарушения структуры твердых тканей
Аномалии формы зубов Нарушение формы 22 зуба
Аномалии размеров зубов Микродентия
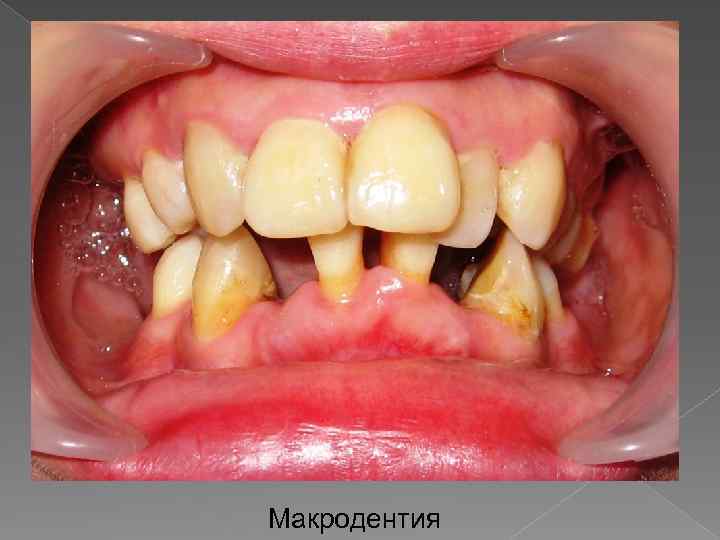
Макродентия
Аномалии количества зубов Адентия 21 и 22 зубов
Адентия при эктодермальной дисплазии
Полная адентия при эктодермальной дисплазии
Сверхкомплектный зуб и ретенированный 33
Нарушения сроков прорезывания Ретенция 13 зуба
Ретенция 13 зуба
Ретенция 13 и 23 зубов
Аномалии положения зубов Вестибулярное положение 13 и 23 зубов
Небное смещение резцов
Нарушение положения зубов
Супраокклюзия 13 и 23 зубов
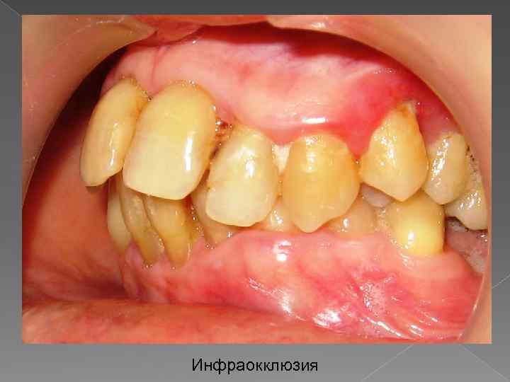
Инфраокклюзия
Дистальное смещение премоляров
Медиальное смещение 13 и 23 зубов
Тортоаномалия 11 зуба
Тортоаномалия нижних резцов
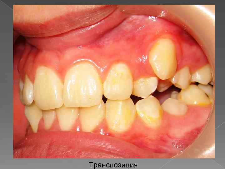
Транспозиция
Аномалии зубных рядов
Нарушение структуры зубного ряда (диастема, тремы)
Виды диастемы (Ф. Я. Хорошилкина): первый тип латеральное отклонение коронок центральных резцов при правильном расположении верхушек их корней второй тип корпусное латеральное смещение резцов третий тип медиальный наклон коронок центральных резцов и латеральное отклонение их корней
Нарушение структуры зубного ряда (скученность)
Нарушения Размеров Зубного ряда Укорочение фронтального отдела в/чел
Удлинение фронтального отдела в/чел
Сужение зубного ряда
Расширение нижнего зубного ряда
Нарушения формы зубных рядов V-образная форма зубного ряда
Аномалии отдельных зубов и зубных рядов.pptx