Лекция 13 Опухоли из эпителия 2011.ppt
- Количество слайдов: 94
«Epithelial tumors» Lecture
Epithelial tumors etiology o o Tumors take the 3 rd place among the mortality causes in Russia. 1 st place among men – carcinoma of lungs, among women – breast cancer, 2 nd place - carcinoma of stomach, 3 rd place – large intestine cancer.
Epithelial tumors nomenclature: o o For benign tumors = name in Latin or Greek + oma For malignant epithelial tumors: + carcinoma or cancer
Epithelial tumors classification: According to the clinical course: Benign and malignant 2. According to the process dissemination (TNM): - Т – primary tumor, N – regional metastases, М – remote metastases. 1.
Epithelial tumors: o o Organ-nonspecific (without a specific localization) Оrgan-specific (from the cells of a certain organ)
Tumor description scheme: o o Localization Outward appearance (node, plaque etc. ) Маcroscopic description: size, form, consistency, borders, color on incision Мicroscopic description: characteristic of the tissue and/or cellular atypism.
Organ-nonspecific epithelial tumors: o o o From the squamous and transitional epithelium. From the glandular epithelium. From the cambial embryonal cells.
Tumors from the squamous and transitional epithelium o o Benign - papilloma Malignant – squamous cell keratinous and nonkeratinous carcinoma or transitional carcinoma.
Squamous cell carcinoma
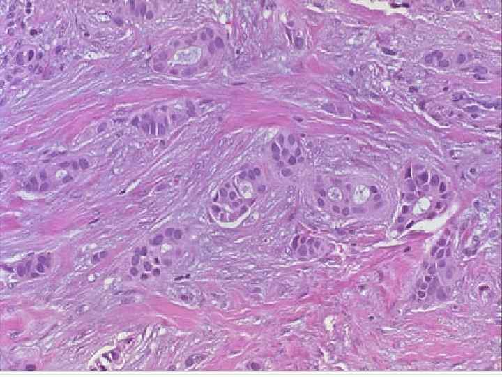
Tumors from the glandular epithelium o o Benign – adenoma (acinar, tubular, trabecular, papillary, fibroadenoma, adenomatous polyp) Malignant - аdenocarcinoma
Ацинарная аденокарцинома
Tumors from the cambial embryonal tissues: o o Benign – there are no such tumors!!! Malignant – nondifferentiated forms of cancer – medullary, scirrhus, signet ring cell carcinoma, small cell, solid carcinoma.
Organ-specific epithelial tumors:
Liver (hepatocytes): o o Benign – adenoma (hepatoma) Malignant – hepatocellular carcinoma
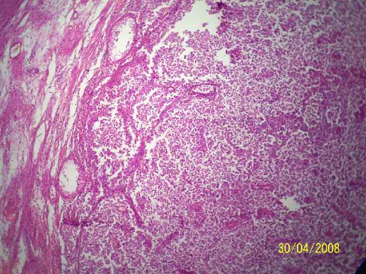
Kidneys (tubular epithelium): o o o Benign – adenoma Malignant – renal cell carcinoma Malignant tumor from the metanephrogenic tissue (embryonal) – nephroblastoma (Wilms` tumor)
Wilms` tumor
Wilms` tumor
Wilms` tumor (moderate magnification)
Mammary gland: 1. From the epithelium of alveoli and excretory ducts: - Benign (fibroadenoma) - Malignant (cancer) 2. From the epidermis of breast nipple and areola: - There are no benign forms!!! - Malignant (Paget`s cancer)
Fibroadenoma
Uterus (chorionic membrane): o o Benign – cystic (hydatidiform, vesicular) mole Malignant – chorioepithelioma (choriocarcinoma) choriocarcinoma
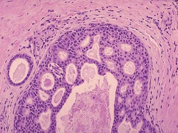
Appendages of skin: o o From the epithelium of sudoriferous glands ducts: benign – syringoadenoma, malignant – carcinoma; From the epithelium of sudoriferous glands secretory parts: benign hydradenoma; From the epithelium of hair follicles: benign – trichoepithelioma, malignant – carcinoma; From the basal cells – basalioma.
Syringoadenoma
Hydradenoma
Trichoepithelioma (trichoblastoma)
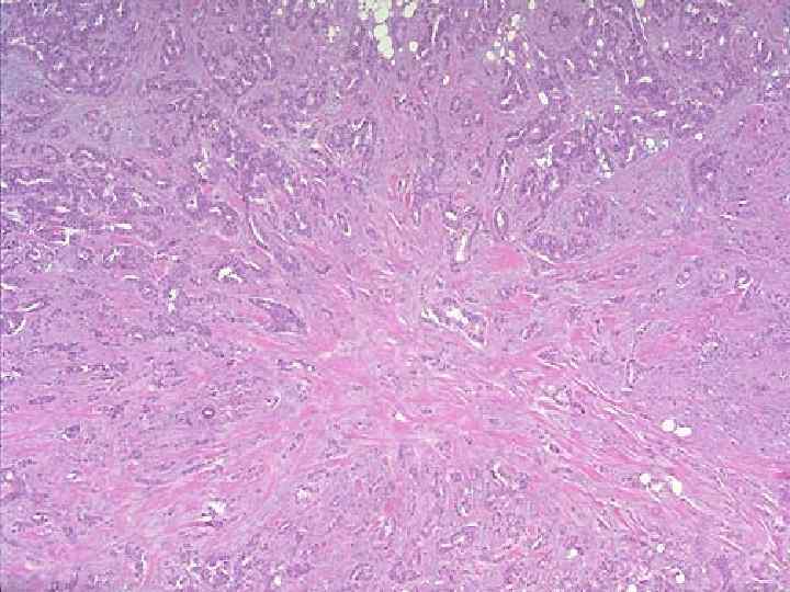
Basalioma (basal cell cancer)
Ovaries (uterine tube epithelium): o o Benign – serous and mucinous cystadenoma, Malignant – serous and pseudomucinous cystadenocarcinoma.
Cystadenocarcinoma
Ovaries (sex cord stroma): o o Benign – thecoma and granulosa cell tumor, Malignant – malignant thecoma and granulosa cell carcinoma.
Testicles: o o From the sex cells – malignant tumor – seminoma From Sertoli-Leydig cells – benign tumors from Sertoli-Leydig cells
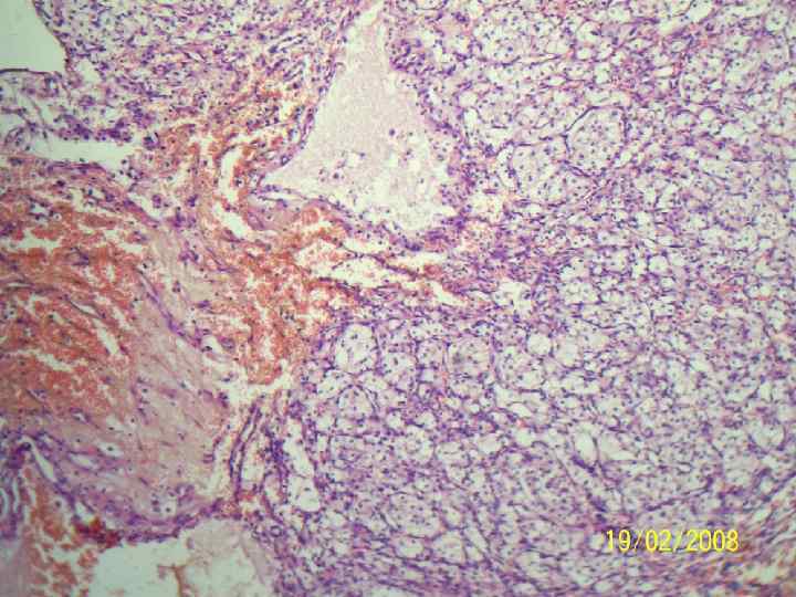
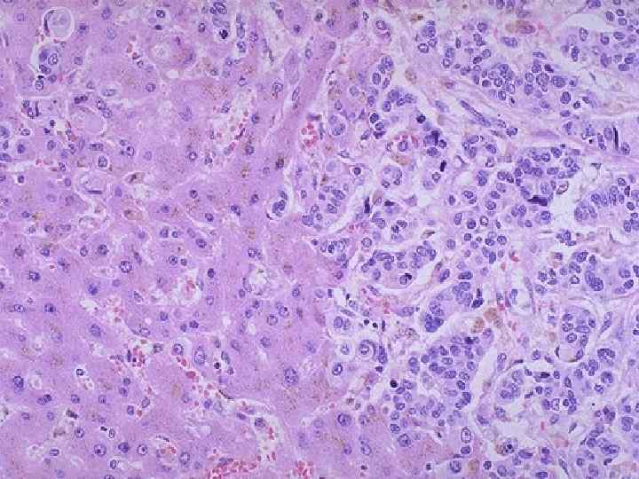
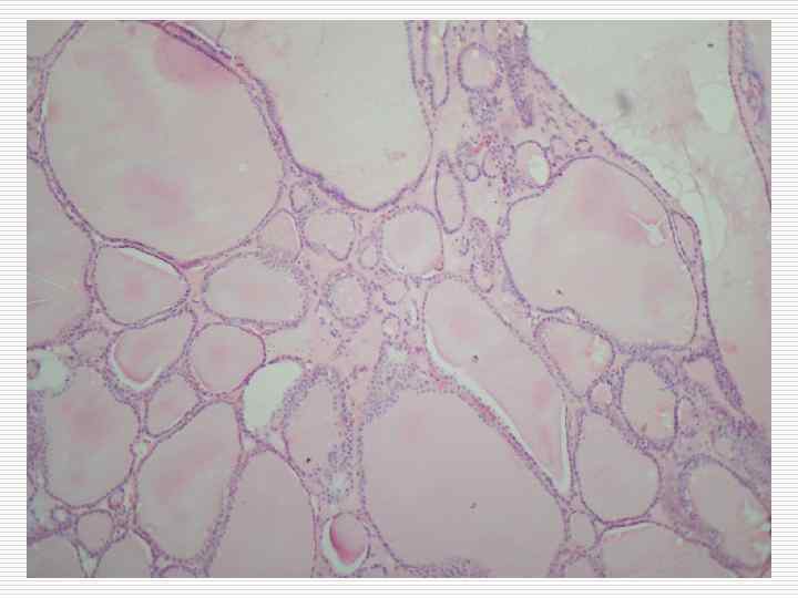
Thyroid gland: o o Benign – follicular or solid adenoma Malignant – follicular, papillary or nondifferentiated carcinoma
Follicular goiter with microcarcinoma
Adrenal glands: From the cortical layer cells: benign – adenoma malignant – adrenocortical cancer 2. From the medullary layer cells: benign – pheochromocytoma malignant – malignant pheochromocytoma 1.
Adrenal gland adenoma
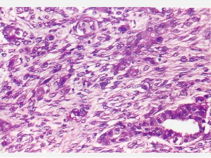
Pheochromocytoma
Thymus: o Thymoma (malignant) – (corticocellular, medullary-cellular, mixed cell, granulomatous).
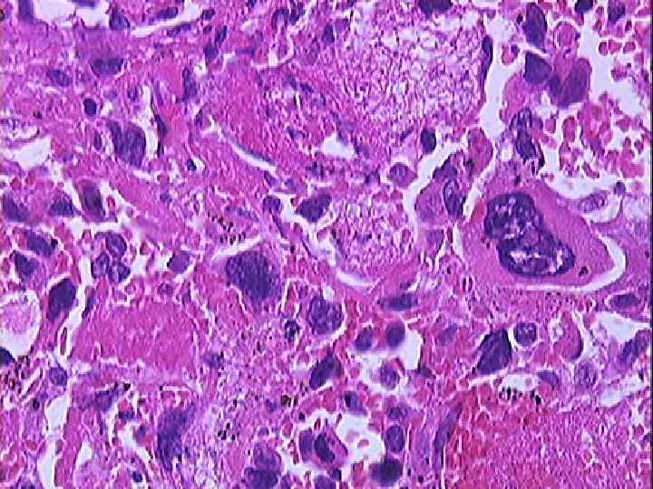
Malignant thymoma
Hypophysis: o o Benign – adenoma (chromophobe, eosinophilic, basophilic) Malignant – carcinoma.
Pancreas: o o Benign – insuloma, Malignant – malignant insuloma.
Gastrointestinal tract: o o Benign – carcinoid, Malignant – malignant carcinoid.
Appendix carcinoid


