Скачать презентацию Эпителиальные ткани Однослойный плоский эпителий мезотелий Скачать презентацию Эпителиальные ткани Однослойный плоский эпителий мезотелий

Слайд-лекция Гистология.pptx

  • Количество слайдов: 53

Эпителиальные ткани Эпителиальные ткани

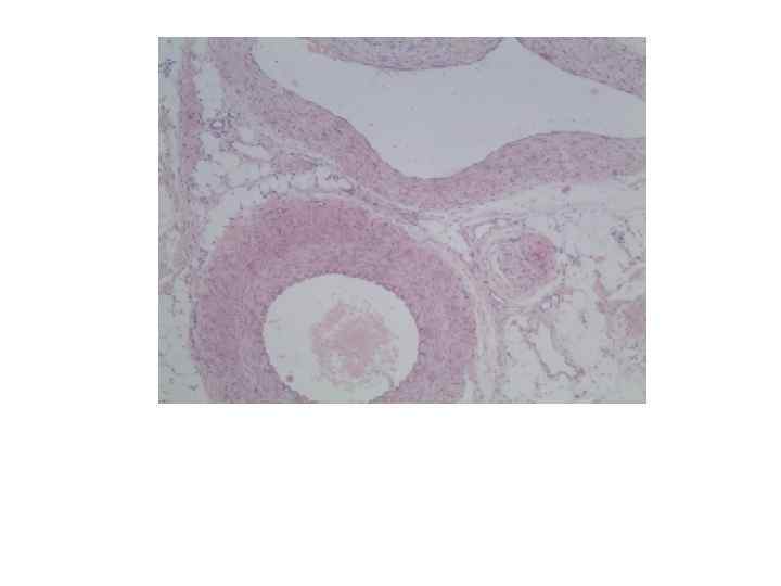
Однослойный плоский эпителий (мезотелий). Однослойный плоский эпителий (мезотелий).

Однослойный плоский эпителий (эндотелий). Однослойный плоский эпителий (эндотелий).

Однослойный призматический эпителий Однослойный призматический эпителий

Однослойный призматический каемчатый эпителий 1 2 6 Однослойный призматический каемчатый эпителий 1 2 6

Однослойный многорядный мерцательный эпителий Однослойный многорядный мерцательный эпителий

Многослойный плоский неороговевающий эпителий Многослойный плоский неороговевающий эпителий

Многослойный плоский ороговевающий эпителий Многослойный плоский ороговевающий эпителий

Переходный эпителий (уроэпителий) Переходный эпителий (уроэпителий)

Рыхлая неоформленная соединительная ткань Рыхлая неоформленная соединительная ткань

Плотная оформленная соединительная ткань Плотная оформленная соединительная ткань

Хрящевая ткань Хрящевая ткань

Пластинчатая костная ткань Пластинчатая костная ткань

Прямой остеогенез Прямой остеогенез

Развитие кости на месте гиалинового хряща (непрямой остеогенез). Окостенение диафиза Развитие кости на месте гиалинового хряща (непрямой остеогенез). Окостенение диафиза

Метафизарный хрящ Метафизарный хрящ

Чувствительное инкапсулированное нервное окончание Чувствительное инкапсулированное нервное окончание

Сосуды микроциркуляторного русла Сосуды микроциркуляторного русла

Сосуды мышечного типа Сосуды мышечного типа

Сердце Сердце

Губа • I. Кожный отдел • II. Промежуточный (переходный) отдел: • гладкая часть (красная Губа • I. Кожный отдел • II. Промежуточный (переходный) отдел: • гладкая часть (красная кайма); ворсинчатая часть. • III. Слизистая часть

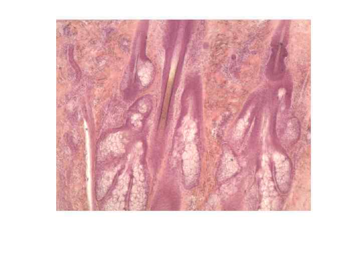
Нитевидные сосочки Нитевидные сосочки

Листовидные сосочки Листовидные сосочки

Нижняя поверхность языка Нижняя поверхность языка

Околоушная железа Околоушная железа

Поднижнечелюстная железа Поднижнечелюстная железа

Пищевод Пищевод

Желудок Желудок

Пилорический отдел Пилорический отдел

Тощая кишка Тощая кишка

Двенадцатиперстная кишка Двенадцатиперстная кишка

Толстая кишка Толстая кишка

Печень Печень

Печеночная триада (артерия, вена, желчный проток) Печеночная триада (артерия, вена, желчный проток)

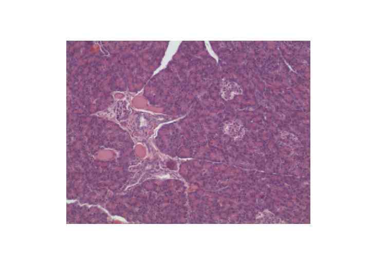
Поджелудочная железа Поджелудочная железа

Эндокринная часть (эндокринные островки, островки Лангерганса) Эндокринная часть (эндокринные островки, островки Лангерганса)

Трахея Трахея

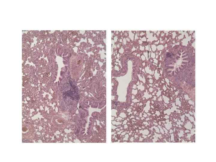
Легкое Легкое

Кожа и ее производные Тонкая кожа Толстая кожа Кожа и ее производные Тонкая кожа Толстая кожа