3ad08bd69ff617d98cef187e2126479c.ppt
- Количество слайдов: 46
ENVIRONMENT, PATHOLOGY & RISK GUSTAVE L. DAVIS, M. D. PATHOLOGY DEPARTMENT & PROGRAM IN APPLIED MATHEMATICS, YALE UNIVERSITY
PNEUMOCONIOSIS (1) (ROSAI) • DEFINITION: – “NON-NEOPLASTIC REACTION OF THE LUNGS TO INHALED MINERAL OR ORGANIC DUST, EXCLUSIVE OF ASTHMA, BRONCHITIS OR EMPHYSEMA”. • CIGARETTE SMOKING – PARTICULATES, NICOTINE, “TARS”, CO – CV DISEASE, BRONCHITIS, EMPHYSEMA, CANCER • ANTHRACOSIS – CARBON PARTICLES IN LUNG; NOT PATHOLOGIC – COAL WORKER’S PNEUMOCONIOSIS • COAL NODULES OR PROGRESSIVE FIBROSIS • SILICOSIS – SILICA PARTICLES IN LUNG, LYMPHATICS – SCARS. BIREFRINGENT SPICULES WITH POINTED ENDS @ 5 UM
MEDICINE DISEASE ORIENTATION INDIVIDUAL PUBLIC HEALTH EPIDEMIOLOGY ENVIRONMENTAL PATHOLOGY GEOGRAPHIC PATHLOGY
CLAUDE BERNARD 19 TH CENTURY PHYSIOLOGIST -MILIEU INTERIEUR/MILIEU EXTERIEUR “HOMEOSTASIS” MECHANISMS – - INFLAMMATION, ACUTE & CHRONIC - IMMUNITY CELLULAR & HUMORAL (CYTOKINES/CHEMOKINES) DESCRIPTIVE ANATOMIC PATHOLOGY GROSS HISTOLOGY – LIGHT MICROSCOPY @1850 ULTRASTRUCTURE –BIOCHEMISTRY 1930 -70 IMMUNOLOGY 1970 MOLECULAR PHENOTYPIC TO GENOTYPIC PROTEOMICS
PNEUMCONIOSIS (2) • MIXED DUST FIBROSIS • OTHER –SIDEROSIS, BERYLLIOSIS, TALCOSIS, ALUMINUM …. –ORGANIC FIBERS BYSSINOSIS (COTTON) FLOCK WORKER’S LUNG (NYLON) –ALLERGIC/CHEMICAL FARMER’S LUNG (MOLDS) SILO FILLERS DISEASE (NITRATES) • ASBESTOSIS
NORMAL LUNG (GROSS – CUT SURFACE)
NORMAL LUNG (MICROSCOPIC)
ANTRACOSIS – COAL WORKER’S LUNG
LONDON SMOG 1952, DAYTIME
LONDON SMOG 1952 – DAY TIME
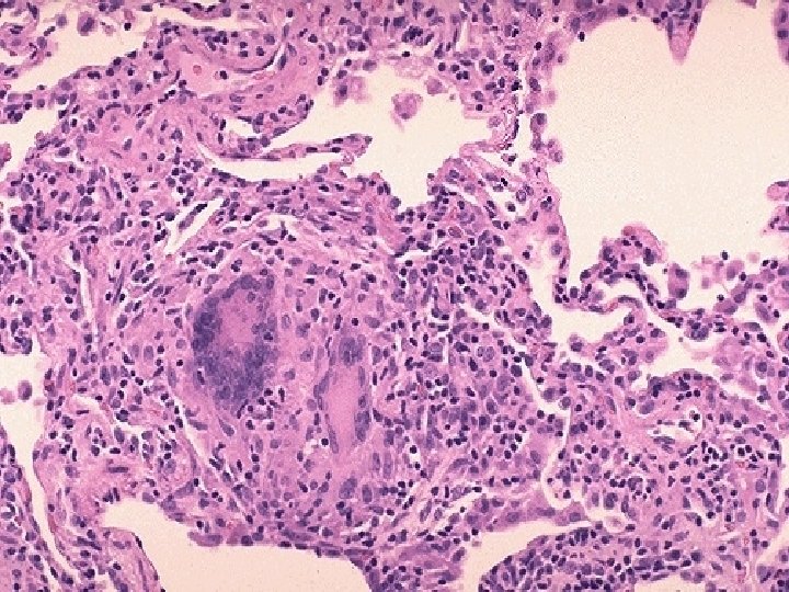
SILICOTIC NODULE (MICROSCOPIC)
SILICOSIS – BIREFRINGENCE WITH POLARIZING FILTERS (MICROSCOPIC)
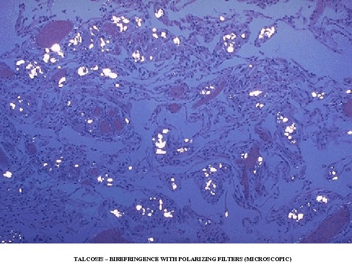
TALCOSIS – BIREFRINGENCE WITH POLARIZING FILTERS (MICROSCOPIC)
PATHOLOGIC EFFECTS OF ASBESTOS EXPOSURE IN MAN - 1 (Table 4 -4, Battiforia & Mc. Caughey) • DEFINITE: – LUNGS • DIFFUSE INTERSTITAL FIBROSIS (ASBESTOSIS) 20% • CARCINOMA FOLLOWING ASBESTOSIS 39% – PLEURA • DIFFUSE MESOTHELIOMA 9% • EFFUSION • DIFFUSE VISCERAL PLEURAL FIBROSIS • FIBROUS PLAQUES IN PARIETAL PLEURA – PERITONEUM • DIFFUSE MESOTHELIOMA
PLEURAL PLAQUES IN PARIETAL (CHEST WALL) PLEURA
PLEURAL PLAQUE (MICROSCOPIC)
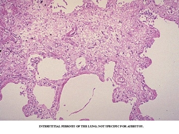
INTERSTITIAL FIBROSIS OF THE LUNG; NOT SPECIFIC FOR ASBESTOS.
ASBESTOS BODY: OPTICALLY TRANSPARENT CORE (2 -5 u X 20 -50+u). SURROUNDING IRON PROTEIN COAT. SHEATHED, EARLY, LATER, SEGMENTED. NUMEROUS MULTINUCLEATED PHAGOCYTIC CELLS (MACROPHAGES) ARE PRESENT.
FERRUGINOUS BODIES: NOT SPECIFIC FOR ASBESTOS – CORE MAY BE ASBESTOS OR OTHER FIBER SUCH AS FIBERGLASS, OR SYNTHETIC ALUMINUM SILICATE. NEED HIGH RESOLUTION “STEM“ TO IDENTIFY FIBER
DIFFUSE MALIGNANT PLEURAL MESOTHELIOMA
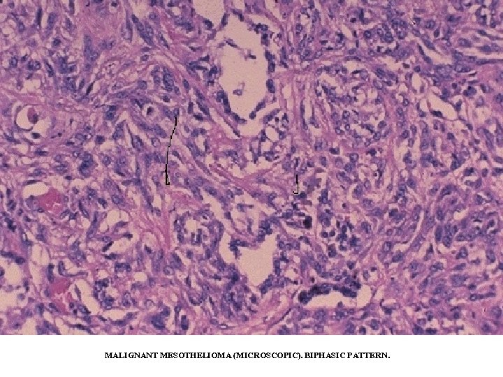
MALIGNANT MESOTHELIOMA (MICROSCOPIC). BIPHASIC PATTERN.
SQUAMOUS CELL (EPIDERMOID) CARCINOMA OF THE BRONCHUS
SQUAMOUS CELL (EPIDEMOID) CARCINOMA (MICROSCOPIC)
PATHOLOGIC EFFECTS OF ASBESTOS EXPOSURE IN MAN – 2 (Table 4 -4, Battiforia & Mc. Caughey) • PROBABLE – LARYNX • CARCINOMA – PERICARDIUM & TUNICA VAGINALIS TESTIS • DIFFUSE MESOTHELIOMA – OVARY • CARCINOMA – GI TRACT • CARCINOMA
PATHOLOGIC EFFECTS OF ASBESTOS EXPOSURE IN MAN – 3 (Table 4 -4, Battiforia & Mc. Caughey) • POSSIBLE – LUNG • CARCINOMA WITHOUT ASBESTOSIS – RETICULOENDOTHELIAL SYSTEM (LN, BM, SLPEEN) • LYMPHOMA – BREAST, KIDNEY, PANCREAS • CARCINOMA – PERITONEUM • SEROUS & WD PAPILLARY CARCINOMA
ASBESTOSIS – MECHANISMS OF DISEASE FIBER TYPE, SIZE, NUMBERS, DURATION LONG LAG PERIOD BETWEEN EXPOSURE & DISEASE COFACTORS – CIGARETTES, VIRUS (SV 40), … INFLAMMATION/IMMUNE MECHANISMS
ASBESTOS EXPOSURE HISTORICALLY (BATTIFORA & Mc. CAUGHEY) • 1920’S: ASBESTOSIS ASSOCIATED WITH MINING & MILLING • 1940 -50’S: INVOLVED INCREASING NUMBERS OF WORKERS USING ASBESTOS PRODUCTS (INSULATION, MANUFACTURE) WITH GREATER DISEASE INCIDENCE. • “THIRD WAVE” DUE TO ”ASBESTOS IN PLACE”, STEMMING FROM DETERIORATION OF BUILDINGS CONSTRUCTED WITH ASBESTOS – POTENTIAL FOR ASBESTOS RELATED DISEASE AMONG PERSONS ENGAGED IN REPAIR, RENOVATION & DEMOLITION OF BUILDINGS.
RISK BAILAR JC, BAILAR AJ: THE SCIENCE OF RISK ASSESMENT. IN, MCCALLY M, EDITOR. LIFE SUPPORT. THE ENVIRONMENT AND HUMAN HEALTH. MIT PRESS. CAMBRIDGE MA 2002: 231 -8. RISK ASSESSMENT HAZARD IDENTIFICATION DOSE-RESPONSE MODELING EXPOSURE ASSESSMENT RISK CHARACTERIZATION RISK MANAGEMENT = RISK ASSESSMENT + COST ANALYSIS + REGULATION & CONTROL STRATEGIES
RISK: SCIENTIFIC & TECHNICAL DISCIPLINES HAZARD IDENTIFICATION: BIOLOGIST, CHEMIST, GEOLOGIST… DOSE-RESPONSE MODELING STATISTICIANS, EPIDEMIOLOGISTS, MODELERS PATHOLOGIST: NATURE OF ADVERSE REPSONSE TOXICOLOGIST: TOXICITY, ANIMAL DATA MICROBIOLOGIST: INFECTIOUS DISEASE EXPOSURE ASSESSMENT ENGINEER HYDROLOGIST METEROLOGIST ANALYTICAL CHEMIST INDUSTRIAL HYGIENIST RISK CHARACTERIZATION INTEGRATION WITH SOCIAL, ECONOMIC & POLITICAL
HILL’S CRITERIA FOR INFERRING CASUALITY 1. APPROPRIATE TEMPORAL PATTERN, EXPOSURE PRECEDES RESPONSE 2. ^ DOSE : : ^ RESPONSE. 3. RESPONSE FOUND ACROSS MULTIPLE STUDIES: DIFFERENT WAYS & POPULATIONS. 4. VARIABLES (i. e. FETALSTUDIES)
EXPRESSION OF RISK SUMMARY STATISTICS: INDIVIDUAL LIFE TIME RISK ANNUAL POPULATION RISK % INCREASE IN RISK LOSS OF LIFE EXPECTANCY
ESSENTIAL ISSUES IN RISK ASSESSMENT 1. NOT ALL EXPOSED TO “HAZARD” EXHIBIT ADVERSE RESPONE (AR) 2. FREQUENCY/MAGNITUDE OF AR: : DEGREE/EXTENT OF HAZARDOUS EXPOSURE. (NO RISK THRESHOLD). 3. VARIABLE REPONSES TO SAME EXPOSURE - SEX, AGE, PRIOR OR CONCURRENT EXPOSURE 4. DIRECT HUMAN RISK DATA ABSENT OR POOR 5. WHICH RISKS ARE ACCEPTABLE? 6. CRITERIA FOR WEIGHING RISK-BENEFIT NOT CLEAR
RISK IN CONTEXT • RISK-BENEFIT = PERSONAL/SOCIETAL JUDGEMENT. • MEDICAL VERSUS ENVIRONMENTAL RISK – “KNOWN” VS. UNKNOWN OUTCOME. • MARGIN OF SAFETY: NO OBSERVED EFFECT LEVEL (NOEL); SAFETY FACTOR. VARIES WITH DATA INPUT. • QUANTITATIVE REGRESSION MODELS: FIT DOSE-RESPONSE CURVE + “EDUCATED” GUESS AT LOW LEVEL EXPOSURE
UNCERTAINTY IN RISK ASSESSMENT • RISK: DOSE/EXPOSURE OFTEN UNKNOWN OR CONTROVERSIAL • HOW TO EVALUATE/MODEL? – LOW-DOSE EXTRAPOLATION PROBLEM • “UNFORTUNATELY, ACCURATE ESTIMATION OF MOST RISKS IS IMPOSSIBLE. ”
USING RISK ASSESSMENTS • PROCESS THAT LEADS TO “SAFE” LEVEL • MEDIA EXPOSURE – INFORMATION? • BODY COUNT VS. PRECAUTIONARY PRINCIPLE • PSYCHOLOGY OF PERCEPTION OF RISK (SLOVIC, P. THE PERCEPTION OF RISK. EARTHSCAN, STERLING VA. 2002).
PRECAUTIONARY PRINCIPLE PART OF ECOSYSTEM EARTH TO BE USED LEAVE IT CLEANER THAN YOU FOUND IT GEOLOGY AND THE FOSSIL RECORD EVOLUTION ANDWESTERN THOUGHT LA PLUS CA CHANGE LA PLUS CA MEME CHOSE
THE ASBESTOS CHALLENGE (EDITORIAL NEW YORK TIMES APRIL 21 2004: A 22) • SEN REP LEADER BILL FRIST (MD) PUSHING FOR FAST ADOPTION OF PRO-BUSINESS PROPOSAL TO CLOSE COURTS TO ASBESTOS VICTIMS & SUBSTITUTE AN INADEQUATE COMPENSATION FUND • … THE BILL UNDERMINES NEGOTIATIONS TO FIND A COMPROMISE AMONG COMPETING INSURANCE, BUSINESS & LABOR INTERESTS… • A FAIR TRUST FUND APPROACH WOULD EXPEDITE PAYMENTS TO VICTIMS & UNCLOG THE COURT • SENATE BILL LIMITS PAYENTS, TOO SMALL TO JUSTIFY CLOSING OUT RIGHT TO SUE.
FUND FOR ASBESTOS VICTIMS SEEMS HEADED FOR SETBACK TODAY (STOLBERG SG: NEW YORK TIMES APRIL 22, 2004: A 18). • A BILL TO SETTLE ASBESTOS LAWSUITS BY CREATING TRUST FUND TO COMPENSATE VICTIMS HEADED FOR PROCEDURAL DEFEAT IN SENATE … • AMOUNT TOO SMALL TO PAY ADEQUATE COMPENSATION TO VICTIMS… • ASBESTOS ALLIANCE: 30/70 DEFENDANT COMPANIES OUT OF BUSINESS SINCE 2000 “FOR ONE REASON AND THAT’S THE ASBESTOS LAWSUITS”.
RISK REFERENCES • BERNSTEIN PL: AGAINST THE GODS. THE REMARKABLE STORY OF RISK. JOHN WILEY & SONS. , INC. , NEW YORK. 1998. • MCCALLY M. , EDITOR: LIFE SUPPORT. THE ENVIRONMENT AND HUMAN HEALTH. MIT PRESS, CAMBRIDGE MA, 2002. • ROPEIK D, GRAY G: RISK: A PRACTICAL GUIDE FOR DECIDING WHAT’S REALLY SAFE AND WHAT’S REALLY DANGEROUS IN THE WORLD AROUND YOU. HOUGHTON MIFFLIN, BOSTON, 2002. • SLOVIC P: THE PERCEPTION OF RISK. MIT PRESS. STERLING VA. 2002.
PATHOLOGY REFERENCES • BATTIFORA H, Mc. CAUGHEY WTE: TUMORS OF THE SEROSAL MEMBRANES. ATLAS OF TUMOR PATHLOGY. THIRD SERIES. FASCICLE 15. ARMED FORCES INSTITUTE OF PATHOLOGY. WASHINGTON DC. 1995: 17 -88. • ROSAI J: ACKERMAN’S SURGICAL PATHOLOGY. CV MOSBY, ST LOUIS, 1997: 338 -42, 366 -7.
“SENATORS FAULT MERCURY POLLUTION PROPOSAL” (NEW YORK TIMES APRIL 3 2004) • … asked EPA to withdraw proposal regulating mercury emissions from coal-fired power plants & replace it with more stringent proposal … • EPA would abandon prior plan in favor of a market system that lets plants buy & sell rights to emit mercury. • 45 senators & 10 states AG’s respond that new proposal would not protect children’s health & violates Clean Air Act… • EPA response – “That the final rule will be defined by the availability of technology…adequately tested & available for industry wide deployment. ” • Growing concern over whether the administration has adequately balanced needs of energy industry with requirements of the act. ”
POWER LINES NOT A HEALTH THREAT (NEW HAVEN REGISTER, EDITORIALS, APRIL 2 2004) “If local worries slow approval, bury more of proposed line. ” - Health effects of power lines debated >20 years …>150 studies find no clear evidence linking EM fields with CA in adults (WHO, NIEHS) - NIEHS: weak evidence of link between EM fields & childhood leukemia… no convincing proof. - normally greater EM exposure from computer, microwave, TV than from power lines. - Health concern revived with plan to build 345 KV transmission lines which would pass near play grounds, schools & parks. - Altho no research supports it, proposed legislation would require burial of power lines! - Bury lines to speed approval of improvement to power grid!


