Скачать презентацию Эндоплазматический ретикулум Figure 12 -36 c Molecular Скачать презентацию Эндоплазматический ретикулум Figure 12 -36 c Molecular

lection5.ppt

  • Количество слайдов: 38

Эндоплазматический ретикулум Эндоплазматический ретикулум

Figure 12 -36 c Molecular Biology of the Cell (© Garland Science 2008) Figure 12 -36 c Molecular Biology of the Cell (© Garland Science 2008)

Функции ЭР • • Трансляция и модификация белков Синтез липидов Транспорт белков и липидов Функции ЭР • • Трансляция и модификация белков Синтез липидов Транспорт белков и липидов Депо кальция

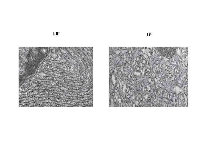
ШР ГР ШР ГР

Figure 12 -42 Molecular Biology of the Cell (© Garland Science 2008) Figure 12 -42 Molecular Biology of the Cell (© Garland Science 2008)

Figure 12 -38 Molecular Biology of the Cell (© Garland Science 2008) Figure 12 -38 Molecular Biology of the Cell (© Garland Science 2008)

Figure 12 -35 Molecular Biology of the Cell (© Garland Science 2008) Figure 12 -35 Molecular Biology of the Cell (© Garland Science 2008)

Figure 12 -46 Molecular Biology of the Cell (© Garland Science 2008) Figure 12 -46 Molecular Biology of the Cell (© Garland Science 2008)

Figure 12 -47 Molecular Biology of the Cell (© Garland Science 2008) Figure 12 -47 Molecular Biology of the Cell (© Garland Science 2008)

Figure 12 -48 Molecular Biology of the Cell (© Garland Science 2008) Figure 12 -48 Molecular Biology of the Cell (© Garland Science 2008)

Figure 12 -49 Molecular Biology of the Cell (© Garland Science 2008) Figure 12 -49 Molecular Biology of the Cell (© Garland Science 2008)

Ковалентные модификации белков в ЭПР Ковалентные модификации белков в ЭПР

Figure 13 -3 b Molecular Biology of the Cell (© Garland Science 2008) Figure 13 -3 b Molecular Biology of the Cell (© Garland Science 2008)

Аппарат Гольджи Аппарат Гольджи

Аппарат Гольджи Аппарат Гольджи

Процессинг белков в аппарате Гольджи Гликозилирование белков и липидов Фосфорилирование белков и липидов Протеолитическая Процессинг белков в аппарате Гольджи Гликозилирование белков и липидов Фосфорилирование белков и липидов Протеолитическая обработка гормонов и нейропептидов Транспорт и сортинг белков Процессинг лизосомальных ферментов

Схема двунаправленного транспорта Схема двунаправленного транспорта

Figure 13 -4 Molecular Biology of the Cell (© Garland Science 2008) Figure 13 -4 Molecular Biology of the Cell (© Garland Science 2008)

Figure 13 -7 a, b Molecular Biology of the Cell (© Garland Science 2008) Figure 13 -7 a, b Molecular Biology of the Cell (© Garland Science 2008)

Figure 13 -7 c, d Molecular Biology of the Cell (© Garland Science 2008) Figure 13 -7 c, d Molecular Biology of the Cell (© Garland Science 2008)

Figure 13 -8 Molecular Biology of the Cell (© Garland Science 2008) Figure 13 -8 Molecular Biology of the Cell (© Garland Science 2008)

Figure 13 -5 Molecular Biology of the Cell (© Garland Science 2008) Figure 13 -5 Molecular Biology of the Cell (© Garland Science 2008)