download-1421781138147.ppt
- Количество слайдов: 68
Эндокардиты в практике ревматолога
Классификация эндокардитов • Инфекционный эндокардит • Ревматический эндокардит • Неинфекционные (тромбо)эндокардиты Эндокардит Либмана-Сакса при СКВ Эндокардиты при других диффузных заболеваниях соединительной ткани (РА, серонегативных спондилоартропатиях, системной склеродермии) и системных васкулитах Эндокардит при первичном и вторичном АФС «Марантический» тромбоэндокардит Эндокардит Лёффлера Поражение эндокарда при карциноидном синдроме Тромбоэндокардит при травматическом повреждении эндокарда
«Немногие заболевания представляют большую трудность на пути постановки диагноза» W. Osler, 1885 Сроки установления диагноза ИЭ от 7 до 550 дней (n=322) • 1 мес – 26% • 1 -3 мес – 40% • 4 -12 мес – 34% (на аутопсии 9, 6%) В Европе ИЭ диагностируют на операции или аутопсии в 12 -14, 8% (2013) Поздний диагноз ИЭ – независимый фактор риска неблагоприятного прогноза ОР 2, 1 (р<0, 05) Сроки диагностики и летальность при ИЭ – ценность раннего диагноза (n=149, Тюрин В. П. 2013)
В типичных случаях достоверный диагноз ИЭ базируется на сочетании: • проявлений характерной клапанной патологии (свежие вегетации на клапане или имплантированном материале, внутрисердечный абсцесс, новая дисфункция клапанного протеза или вновь сформированная клапанная регургитация) • бактериемии с признаками системного воспаления.
Возбудителями ИЭ являются микроорганизмы, которые: • часто вызывают бактериемию Fong IW New Perspectives of Infections in Cardiovascular Disease Curr Cardiol Rev. 2009 May; 5(2): 87– 104. • способны фиксироваться к поврежденной или неповрежденной поверхности эндокарда • стимулируют локальное тромбообразование, • устойчивы к тромбоцитарному бактерицидному протеину • образуют биопленки на эндокарде и искусственных материалах • длительнее сохраняются в кровотоке, подавляя противоинфекционные защитные механизмы.
Возбудители современного инфекционного эндокардита (2781 случаев ИЭ, наблюдавшихся 58 центрами в 25 странах с 2000 по 2005 годы) 81, 5% грам-положительные кокки: стафилококки стрептококки энтерококки (Murdoch DR, Corey GR, Hoen B et al. Clinical presentation, etiology, and outcome of infective endocarditis in the 21 st century: the International Collaboration on Endocarditis-Prospective Cohort Study. Arch Intern Med. 2009; 169(5): 463 -73).
Возбудители ИЭ у 2781 больных ICE PCS (2009)
Возбудители ИЭ у 2781 больных ICE PCS (2009) • Staphylococcus aureus 31, 2% • Стрептококки 29% стрептококки зеленящей группы 17% Streptococcus bovis 6% другие стрептококки 6% • коагулазоотрицательные стафилококки 11% • энтерококки 10% • HACEK-группа 2% • грибы 2% • другие микроорганизмы 4% • Coxiella burnetii <1% • Bartonella <1% • Tropheryma whipplei 1 случай • Отрицательная гемокультура 11%
Возбудители в основных группах риска у 2781 больных ИЭ ICE-PCS Возбудитель ИЭ наркоманов (N=247) % ИЭ естеств. клапанов (N=1644) % ИЭ протеза клапанов (N=563) % ИЭ кардиостимулятора (N=172) % Staph. aureus Коагулазоотрицательные стафилококки Стрептококки зеленящей группы Streptococcus bovis Другие стрептококки Энтерококки HACEK группа Грибы Полимикробный Другие Отрицательная гемокультура 68 3 28 9 23 17 35 26 (31, 5) 10 21 12 8 1 2 5 0 1 3 3 5 7 7 11 2 1 1 4 9 5 5 12 2 4 0, 8 7 12 3 4 6 0, 5 1 0 6 11
Положительная гемокультура (большой критерий DUKE) • типичные для ИЭ возбудители, выделенные из двух раздельно взятых проб крови: зеленящие стрептококки, Streptococcus bovis, или НАСЕК-группа, или Staphylococcus aureus или внебольничные энтерококки при отсутствии первичного очага, или • соответствующие ИЭ возбудители, выделенные из гемокультуры при соблюдении следующих условий: как минимум два положительных результата исследования проб крови, взятых с интервалом не менее 12 ч, или три положительных результата из трех, или большинство положительных результатов из четырех проб крови и более (интервал между взятием первой и последней пробы должен составлять как минимум 1 ч), или • однократное выявление Coxiella burnetii или титра Ig. G к этому микроорганизму >1: 800.
При доказанной бактериемии до выявления клапанной патологии дифференциальный диагноз проводится с септическими состояниями разной этиологии.
В 2, 5 -31% случаев ИЭ гемокультура может быть отрицательной • При или после приема антибиотиков • Трудно культивируемые возбудители • «Технические» недостатки посева крови
Дополнительные исследования, рекомендуемые экспертами Европейского общества кардиологов, при ИЭ с негативной гемокультурой Предполагаемый возбудитель Диагностическое исследование Coxiella burnetii Серологические исследования (Ig G > 1: 800); исследование роста в культуре клеток, иммуногистологические и ПЦР исследования при хирургическом лечении Bartonella Посевы крови; серологические исследования; посев, иммуногистологические и ПЦР исследования при хирургическом лечении Brucella Посевы крови; серологические исследования; посев, иммуногистологические и ПЦР исследования при хирургическом лечении Mycoplasma Серологические исследования; посев, иммуногистологические и ПЦР исследования при хирургическом лечении Legionella Посевы крови; серологические исследования; посев, иммуногистологические и ПЦР исследования при хирургическом лечении Tropherima whipplei Гистологические и ПЦР исследования при хирургическом лечении
Клапанная патология типичная для ИЭ (большой критерий DUKE) = прямые признаки текущего эндокардита: • свежие вегетации на клапане или имплантированном материале • внутрисердечный абсцесс • новая дисфункция клапанного протеза или • вновь сформированная клапанная регургитация (появление нового шума клапанной регургитации – не относится к большим критериям, но важно для предварительного раннего диагноза)
Типичная локализация инфекционного эндокардита
Вегетации на аортальном клапане больной ИЭ А. В начале заболевания Б. Через месяц
Инфекционный эндокардит следует дифференцировать с другими заболеваниями, которые могут проявляться: • Шумами в сердце • Вегетациями на клапанах • Изменениями структуры или функции клапанов сердца
Заболевания, при которых наблюдаются шумы клапанной регургитации • • Эндокадиты (инфекционный; постинфекционный ревматический; неинфекционные) Травматические, миксоматозные (пролапс клапана), кальцинирующие изменения клапанного аппарата сердца и мезенхимальная дисплазия клапанов сердца; Приобретенные пороки сердца; Аортит (сифилитический, болезнь Такаяси, анкилозирующий спондилоартрит) и аневризма аорты разной природы (атеросклероз аорты, артериальная гипертензия, травма грудной клетки, синдром Марфана); Заболевания миокарда, приводящие к дисфункции сосочковых мышц или дилатации клапанного кольца (миокардит, кардиомиопатия, инфаркт миокарда и другие); Опухоли сердца (миксома предсердия, лимфома, папиллярная фиброэластома). Функциональные шумы в сердце наблюдаются при анемии, лихорадке, перегрузке сердца объемом и других состояниях.
Утолщение одной или нескольких створок клапанов при Эхо. КГ может наблюдаться при: • Ревмокардите, • Эндокардита Либмана-Сакса при СКВ, АФС и эндокардитах при других диффузных заболеваниях соединительной ткани, системных воспалитах или системных иммунных воспалительных заболеваниях • Карциноидном синдроме. • Гиперэозинофильном синдроме. • Миксоматозной дегенерации клапана. • Применении эрготамина, метисергида и ряда других лекарств и снижающих аппетит пищевых добавок (содержащих дексфенфлюрамин или фенфлюрамин). • Амилоидозе сердца и генетических инфильтративных заболеваниях (охроноз, мукополисахаридозы), гиперхолестеринемии. • Нерезкое утолщение створок клапанов выявляется при трансэзофагальном Эхо. КГ исследовании у 1 -4% здоровых людей, чаще у пожилых, для которых характерны фиброз и кальциноз клапанов
Выявление при Эхо. КГ подвижных или неподвижных объемных образований на эндокарде возможно при: • Инфекционном эндокардите • Неинфекционных эндокардитах (Либмана. Сакса при СКВ или АФС, марантическом эндокардите) • Миксоме и других опухолях сердца • Наростах Ламбла • Кальцинирующих изменениях клапанов у пожилых
Морфологические Эхо. КГ признаки ревматического кардита Створки клапанов • Пролапс • Неполное смыкание • Краевое утолщение (>4 мм) • Ограничение подвижности • Узелки Расширение клапанного кольца Удлинение или разрыв хорд Перикардиальный выпот Дилятация и дисфункция желудочка (почти всегда с выраженной регургитацией)
Высокая частота отрицательной гемокультуры, достигающая 31, 7 -87% в большинстве лечебных учреждений России, и позднее появление «кардиальных критериев» при подостром ИЭ влечет за собой снижение эффективности DUKE-критериев.
Симптомы у 322 больных ИЭ в начале заболевания • Лихорадка >38°С с ознобами 77, 9% (42 -80%)* Легочная 27% Неврологическая 5% • • • Лихорадка >38°С без ознобов 5% (7, 5%)* Субфебрильная температура 15, 3% (12, 7%)* Проявления сердечной недостаточности (одышка, кардиальная астма, отеки) 8, 4% (7, 5%)* Ревматологическая 2, 7% Почечная 3, 7% «Острый живот» 0, 6% Гематологическая 1, 6% Маски ИЭ 43, 3% «Глазная» 0, 3% Кардиологическая 1, 2% Сосудистая 1, 2% * По данным литературы (Тюрин В. П. 2012; Murdoch DR, Corey GR, Hoen B, et al. 2009; Bruno Hoen and Xavier Duval 2013)
Первоначальные диагнозы при направлении на госпитализацию у больных ИЭ (n=322) • • • • • • ИЭ вероятный 23, 6% Порок сердца, сердечная недостаточность 8, 4% Пневмония 28, 8% Бронхит 6, 5% Рак легкого 0, 9% Мочевая инфекция 6, 2% Гломерулонефрит 3, 7% Инсульт 4, 4% Менингит 0, 6% Лихорадка неясного генеза 3, 1% Сепсис 1, 5% Анемия 3, 1% Цирроз печени 2, 8% Дорсопатия 1, 8% Инфаркт миокарда 1, 2% Геморрагический васкулит 0, 9% Болезнь Винивартера. Бюргера 0, 3% Мезентериальный тромбоз 0, 6% Эндофтальмит 0, 3% Пневмоторакс 0, 3% СКВ и другие ревматические заболевания 0, 9%
Патогенетические механизмы внесердечных поражений при ИЭ 1. Кардиогенные эмболии фрагментами вегетаций. 2. Иммунопатологические механизмы: • Повышенный уровень ЦИК 71% (50 -100%). • Вторичная криоглобулинемия (смешанная ΙΙ типа и ΙΙΙ типа) (почти у 90%) • Антинейтрофильные цитоплазматические антитела (ANCA), реагирующие с протеиназой 3, и перинуклеарные ANCA • Другие аутоантитела 3. Инфекционно-токсические механизмы. 4. Гемодинамические нарушения.
Необъяснимая лихорадка ≥ 1 недели – самый ранний и самый частый симптом ИЭ Инфекционный эндокардит должен быть включен в алгоритм диагностического поиска у всех больных с лихорадкой неясного генеза (особенно у больных с наличием предрасполагающих заболеваний сердца или предрасполагающих к инфицированию «входных ворот» ).
Тромбоэмболические осложнения у 322 больных ИЭ • у 27, 6% (по нашим наблюдениям) • от 12% до 51 % (по разным данным) 8% случаев ИЭ дебютировало сосудистыми катастрофами ТЭ чаще на ранних стадиях ИЭ Независимые факторы риска ИЭ: Размеры вегетаций >10 мм Подвижность вегетаций Перенесенная ТЭ увеличивает риск новой ТЭ (ОР 5. 7 95% ДИ 3. 2; 13. 8 < 0. 05) При наличии вегетации на ножке или пролабирующей вегетации риск развития Э при ИЭ увеличивался в 9 раз (ОР 8, 9 95%ДИ 6, 48 -12, 25 р<0, 001) Больной высокого риска: S. aureus-вегетации >15 мм на передней створке МК
Структура ТЭ в большом круге кровообращения у 322 больных ИЭ Симптомы эмболий являются независимыми предикторами диагноза ИЭ (отношение шансов 11, 4 90%ДИ 3, 0 – 43, 5) (Todd AJ et al, 2006)
Субклиническое течение ТЭ при ИЭ • 21% ТЭ при ИЭ имеет латентное течение (Di Salvo G et al. 2001) • • Около половины случаев инфаркта почки и инфаркта селезенки имеют латентное течение (*Озерецкий К. С. , 2005) Субклинические эмболии церебральных артерий выявлены при МРТ у 48 -80% больных ИЭ левых отделов сердца (H. A. Cooper et al 2009; Duval X, Iung B, Klein I, et al 2010) • • Мозговые артерии 6, 3 – 37% (40%)* Периферические артерии конечностей 2, 6 -16, 3% Селезеночная артерия 3 -15% (44%)* Почечная артерия 2 – 7, 8% (28 -60%)* Коронарные артерии 0, 5 -10, 3% (30%)* Мезентериальные артерии 0, 8 – 2% Артерии глаза 0, 25% Легочная артерия 44 -100% (при трикуспидальном ИЭ) Тюрин В. П. и соавт 2002; Демин А. А. , Дробышева В. П. 2004; Fabri I et al 2006; Thuni F, Di. Salvo G et al 2005; Vilacosta I et al 2002; Rasmussen RV et al 2009; и другие * по результатам вскрытия Weinstein L et al 1986; Humphrey PR et al 1985; Di. Salvo G et al 2001
Микрососудистые эмболии при ИЭ • • • Пятна Жаневье 4 -10% Узелки Ослера 4 – 62, 2% (20%)* Пятна Лукина 24 – 76% (24%)* Подногтевые кровоизлияния (А) Пятна Рота * По нашим наблюдениям
«Барабанные» пальцы при ИЭ
Неврологические проявления ИЭ • Эмбологенный инсульт (ишемический, геморрагический) - ИЭ может дебютировать инсультом в 4 -14% (Jones, Brain 1989) • Кровоизлияние в мозг • Острая токсическая энцефалопатия • Менингоэнцефалит • Гнойный менингит • Абсцесс мозга • Микотическая (инфекционная) аневризма внутричерепных артерий
Поражение селезенки наблюдалось у 64% больных ИЭ • Спленомегалия у 64% • Инфаркт селезенки у 7, 9% • Разрыв селезенки у 0, 7% • Абсцесс селезенки у 0, 35% Спленомегалия – независимый предиктор диагноза ИЭ (Todd AJ et al QJM. 2006; 99: 22– 31)
Изменения в анализах мочи и нарушение функции почек у 257 больных ИЭ «Почечная маска» наблюдалась у 3, 8% больных ИЭ • Протеинурия 46, 7% • Нефротический синдром 2, 3% • Гематурия 34, 6% • Макрогематурия 14% • Креатинин выше 133 ммоль/л 10, 5% • Креатинин выше 700 ммоль/л 1, 2%
Типы поражения почек, диагностированные у 257 больных ИЭ 1. Эмбологенные поражения почек • Инфаркт почки 7, 8% • Абсцесс почки 0, 8% • Кровотечение и ретроперитонеальная гематома при разрыве микотической аневризмы почечной артерии 0 2. Иммунно-воспалительные поражения почек • Гломерулонефрит острый 23% • Гломерулонефрит быстропрогрессирующий 2, 3% • Вторичный амилоидоз почек 0 3. Токсические и гемодинамические поражения почек • Острый интерстициальный нефрит 0, 8% • Кортикальный некроз почки 0 • Острый канальцевый некроз почки 0 4. Изолированная преходящая гематурия или протеинурия неуточненного генеза 12, 8%
Поражение легких при ИЭ трикуспидального клапана у наркоманов • Синдром септической эмболии легочной артерии 90, 9% (65 -100%) • Синдром острого повреждения легких, острый респираторный дистресс-синдром 12, 5% (13, 2% ) • Пневмония, вызванная Pneumocystis carinii у наркоманов больных СПИД В. И. Уланова, В. И. Мазуров 2007
Клинические симптомы СЛЭ при ИЭ трикуспидального клапана • кашель у 100%¹ (14 -100%)² больных, • отделение гнойной мокроты у 60% (14 -71%) больных , • одышка у 72% (36 -100%) больных, • плевральные боли в груди у 32% (29 -100%) больных, • кровохарканье у 20% (7 -36%) больных, • лихорадка. ¹по нашим наблюдениям ²по данным литературы (В. И. Уланова, В. И. . Мазуров 2007; Zuo L, Guo S, Rong F 2001; Karchmer A. W. 2005; Zuo LE, Guo S. 2007; Cook RJ, Ashton RW, Aughenbaugh GL, Ryu JH 2005)
Клинические симптомы СЭЛА при ИЭ трикуспидального клапана • Влажные хрипы в легких у 71 -100% больных • Дыхательная недостаточность у 13, 2 -14, 3% больных • Артериальная гипотензия • Изменения ЭКГ (В. И. Уланова, В. И. . Мазуров 2007; Zuo L, Guo S, Rong F 2001; Karchmer A. W. 2005; Zuo LE, Guo S. 2007; Cook RJ, Ashton RW, Aughenbaugh GL, Ryu JH 2005)
Осложнения септической эмболии легочной артерии при ИЭ правых отделов сердца • Инфильтративные изменения в легких выявляются рентгенологически у 83 %¹ (55100%)² • 1 по нашим наблюдениям • 2 по данным литературы (В. И. Уланова, В. И. . Мазуров 2007; Zuo L, Guo S, Rong F 2001; Karchmer A. W. 2005; Zuo LE, Guo S. 2007; Moss R, Munt B. 2003; Remetz MS, Quagliarello V 1992; Robbins MJ, Soeiro R, Frishman WH et al. 1986. ) • Абсцесс легких; • Плевральный выпот; • Эмпиема плевры; • Инфаркт легких; • Легочное кровотечение; • Пневмоторакс; • Микотическая аневризма легочной артерии
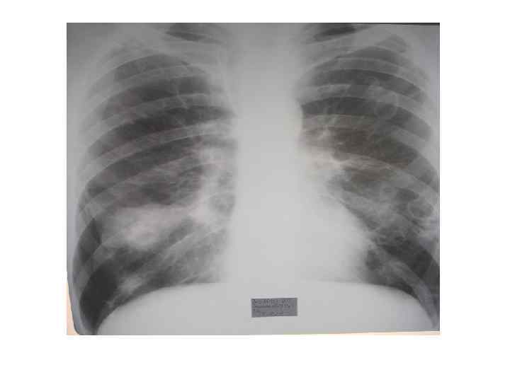
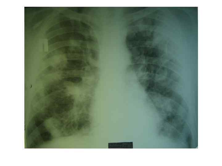
Рентгенологические признаки СЭЛА при ИЭ • двустороннее поражение; • наличие множественных небольших, нечетких округлых или овальных теней различных размеров (у 68% ), очаговых инфильтратов (у 54%) и клиновидных теней (у 22%) расположенных чаще всего в периферических зонах легких или субплеврально; • склонность к распаду инфильтратов с возникновением абсцессоподобных полостей (у 50%) и кист (у 81%); • быстрая динамика появления новых инфильтратов и медленное обратное развитие с длительным сохранением кистовидных тонкостенных полостей; • возможно развитие плеврального выпота (у 50%) и редко пиопневмоторакса. По данным Zuo LE, Guo S. (2007)
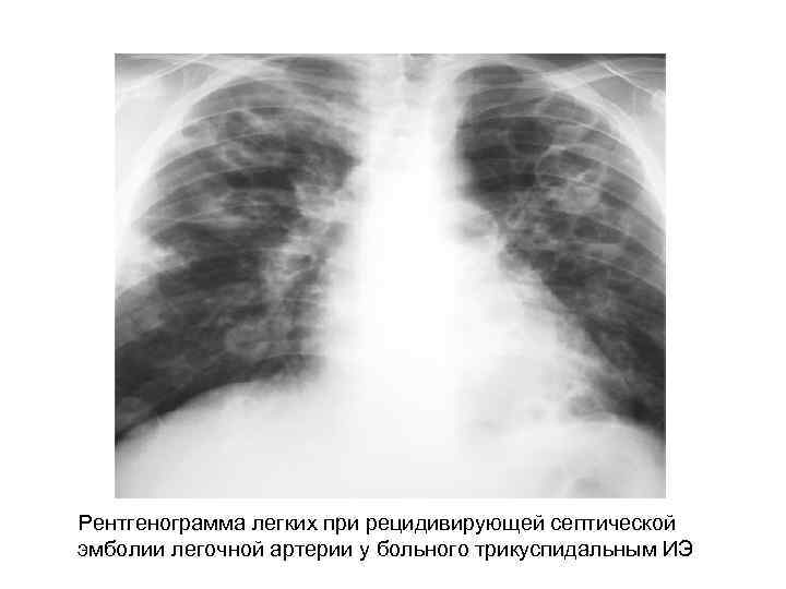
Рентгенограмма легких при рецидивирующей септической эмболии легочной артерии у больного трикуспидальным ИЭ
Руководство по ИЭ Европейского общества кардиологов 2004: Множественные быстро меняющиеся легочные инфильтраты вызывают подозрение на ИЭ правых отделов сердца
Шум трикуспидальной недостаточности появляется позднее симптомов поражения легких у 50 -80% больных ИЭ трикуспидального клапана. Remetz MS, Quagliarello V 1992; Grover A, Anand IS, Varma J et al 1991;
КТ (спиральная, мультидетекторная спиральная с контрастированием) - стандарт диагностики немассивной эмболии легочной артерии • сосудистые дефекты: внутрисосудистые дефекты наполнения, полное прерывание сосудистого русла или расширение окклюзированного сосуда; • дополнительные проявления: субплевральные клиновидные участки поражения (3, 2 -50%), множественные двусторонние очаги (83 -89%) с образованием характерных полостей разных размеров (10, 4 -50%), наиболее часто располагающиеся в нижних долях, «признак питающего сосуда» (6 -67%). Kuhlman JE, Fishman EK, Teigen C. 1990; Lee SJ, Cha SI, Kim CH et al. 2007; Kwon WJ, Jeong YJ, Kim KI et al 2007, Iwasaki Y, Nagata K, Nakanishi M et al 2001.
КТ при рецидивирующей СЭЛА у больной ИЭ трикуспидального клапана
ИЭ трикуспидального и митрального клапана с легочными и системными эмболиями у инъекционного наркомана 21 года. N. Martinelli et al European Heart Journal 2006 27(24): 2938
Дифференциальный диагноз при синдроме септической эмболии легочной артерии • ИЭ правых отделов сердца; • синдром Lemierre (септический тромбофлебит внутренней яремной вены при инфекции полости рта и глотки); • абсцессы полости рта; периферические абсцессы; • остеомиелит; • инфекции мягких тканей, • инфицированные тромбы периферических вен и полой вены
Диагностические критерии ИЭ правых отделов сердца (Robbins MJ et al 1986) • Большие критерии: лихорадка и выявление вегетаций при Эхо. КГ. • Малые критерии: бактериемия (рост гемокультуры при 2 -х неодновременных посевах); септическая эмболия легочной артерии; отсутствие эмболий в артерии большого круга; шум в сердце, соответствующий трикуспидальной регургитации или регуритации клапана легочной артерии. 2 больших или 1 большой + 3 малых
Синдром Austrian (триада В. Ослера) Austrian R. . Arch Intern Med 1957; 99: 539– 44. Streptococcus pneumoniae Пневмония Инфекционный эндокардит Менингит
Внесердечные симптомы сохраняют диагностическую значимость при ИЭ • Симптомы эмболий являются независимыми предикторами диагноза ИЭ (отношение шансов 11, 4 90%ДИ 3, 0 – 43, 5) (Todd AJ et al, 2006) • Лихорадка, артериальные эмболии, септические эмболии легочной артерии, микотические аневризмы, внутричерепное кровоизлияние, конъюнктивальные кровоизлияния, узелки Ослера, гломерулонефрит, пятна Рота – малые критерии диагноза ИЭ (Диагностические критерии DUKE, 2005)
Шкала вероятности диагноза ИЭ (независимые симптомы-предикторы: предшествующее заболевание сердца, лихорадка, эмболии, инсульт, спленомегалия, симптом «барабанных пальцев» , лейкоцитоз, тромбоцитопения и СОЭ >50) H Richet, J Casalta, F Thuny et al J Antimicrob. Chemother. 2008 Баллы Число случаев (частота ИЭ) 0 10 (4%) 1 30 (6. 5%) 2 99 (18%) 3 113 (28%) 4 97 (44%) 5 43 (67%) +ПЗ –ПЗ 0. 04 0. 06 0. 28 0. 44 0. 67 0. 93 0. 96 0. 93 0. 82 0. 72 0. 56 Отношение шансов 1 1. 7 5. 4 9. 5 19 50 ≥ 6 0. 83 0. 32 123 10 (83%)
ИЭ должен быть заподозрен в следующих случаях (Руководство ESC 2009): Лихорадка: + – Сосудистые или иммунологические проявления: эмболии, пятна Рота, пятна Джануэя, узелки Ослера – Очаговые или неспецифические неврологические симптомы – Доказательства легочных эмболий с инфильтративными изменениями в легких (правосторонний ИЭ) – Периферические абсцессы (почек, селезенки, головного мозга, позвонков, эндофтальмит) неизвестной этиологии
Внесердечные проявления, позволяющие заподозрить инфекционный эндокардит Основные ситуации: • Необъяснимая лихорадка более 1 недели + типичные проявления на коже (узелки Ослера, пятна Жаневье) и конъюнктиве (пятна Лукина) Особые ситуации: • Тромбоэмболии из неустановленного источника • Необъяснимые инсульты или субарахноидальное кровоизлияние у молодых • Множественные абсцессы легких у наркоманов • Периферические абсцессы неясной этиологии (абсцессы почек, селезёнки, тел позвонков, эндогенный эндофтальмит) Ситуации, требующие рассмотрения ИЭ в дифференциальном диагнозе: • Лихорадка + быстропрогрессирующий нефритический синдром • Лихорадка + макрогематурия • Геморрагический васкулит • Необъяснимая лихорадка + боль в спине • Кровохарканье, легочное кровотечение, пневмоторакс
Основные направления дифференциального диагноза ИЭ • С другими инфекциями, очаговыми или генерализованными (бруцелез, малярия, сепсис и др. ) • С новообразованиями, сопровождающимися лихорадкой, похуданием, паранеопластическими васкулитами, гломерулонефритами, серозитами, изменениями крови и марантическим тромбоэндокардитом • С лимфомами (сходство первоначальных симптомов – лихорадка, анемия, увеличение СОЭ) • С эндокардитами при других заболеваниях (ревмокардитом, эндокардитом Либмана-Сакса и др. ) • С аортитами различной этиологии и аортальной регургитацией при других болезнях • С септической эмболией легочной артерии другого генеза • С кардиогенными и некардиогенными системными тромбоэмболиями другой этиологии
Эхо. КГ при субклинической ревматической болезни сердца
Выраженная регургитация при субклинической ревматической болезни сердца (критерии ВОЗ)
Эхо. КГ критерии субклинического ревматического поражения сердца Допплерографические (критерии ВОЗ 2001): • Поток регургитации > 1 см длиной • Поток регургитации как минимум в двух проекциях • Мозаичный цветной поток с пиковой скоростью >2, 5 м/с • Поток сохраняется на протяжении всей систолы (митральный клапан) или диастолы (аортальный клапан) Комбинированные пересмотренные критерии: Допплерографические признаки: • Регургитация любой степени, видимая как минимум в 2 проекциях + минимум 2 из морфологических признаков: • Подтягивание створок • Утолщение подклапанных структур • Утолщение створок клапана
Внесердечные проявления при неинфекционных эдокардитах Неинфекционный эндокардит Внесердечные проявления Вегетации ТЭ Либмана-Сакса при СКВ Лихорадка, артриты, артралгии, гломерулонефрит, васкулит, поражения нервной системы, кожные высыпания, спленомегалия и др. + + При АФС Венозные и артериальные тромбозы, невынашивание беременности, нетромбогенные неврологические проявления (мигрень, судорожные припадки), нефропатия, асептические некрозы костей, ливедо ангиит + симптомы заболеваний с которыми ассоциирован АФС + + Паранеопластические васкулопатии, гломерулопатии, артриты + симптомы, обусловленные основным заболеванием + + Лихорадка, потеря веса, полиморфные кожные высыпания с зудом и эозинофилией ± проявления эозинофильных инфильтратов в других органах Тромбы в полости желудоч ка + «Марантический» при злокачественных опухолях Эндомиокардит Леффлера
Эндокардит при СКВ • • • Морфологически на митральном и значительно реже аортальном клапанах: «бородавчатый» эндокардит Либмана-Сакса – формирование узелков (вегетаций, содержащих тромбоциты и фибрин) у 11 -40% больных СКВ при аутопсии; диффузное утолщение створок клапанов у половины больных, клапанная регургитация и редко стеноз Эхо. КГ данные противоречивы: частота выявления вегетаций или узелков на митральном клапане 7 -15%, на аортальном клапане 3 -19%; выраженная регургитация 3 -4 степени наблюдается реже, чем в 20% случаев Клинически значимые поражения клапанов редки; риск кардиогенных тромбоэмболий невысокий, связь с инсультами оценивается противоречиво Клапанная патология обычно возникает при продолжительности заболевания более 5 лет; эндокардит может персистировать, нарастать или проходить вне зависимости от активности СКВ; есть данные об уменьшении частоты выявления узелков и их размеров при лечении кортикостероидами Ассоциация узелков, митральной регургитации с наличием АФС Оценка риска присоединения ИЭ или необходимости профилактики ИЭ противоречива
Поражение эндокарда при РА • Данные о частоте поражения клапанов противоречивы – от 15 до 53% • Морфологически: локальное или диффузно утолщение створок • митрального клапана, реже аортального или трикуспидального клапана, реже небольшие овальные с четкими границами одиночные узелки у основания или в средней части клапанов, клапанная регургитация и крайне редко стеноз митрального клапана Гистологически: наблюдается неспецифическое экссудативнопролиферативное воспаление и ревматоидные узелки в створках клапанов и в области фиброзных колец • В большинстве случаев эндокардит при РА бессимптомный. • Данные о частоте выявления клапанной патологии при Эхо. КГ противоречивы: митральная регургитация выявлена при ЧПЭхо. КГ у 80% (в сравнении с 37% в контрольной популяции); частота аортальной и трикуспидальной регургитации по данным ТТЭхо. КГ у больных РА не отличается от частоты в контрольной популяции
Эндокардит при АС • При ЧПЭхо. КГ у половины больных АС утолщение стенки аорты и дилатация корня аорты, у 41% утолщение и укорочение створок аортального клапана с узелками, у 34% утолщение створок митрального клапана • Аортальная регургитация выявляется у 5 -13% и может быть клинически значимой с развитием ХСН и необходимостью хирургической коррекции • Аортальная регургитация может проявиться до развития суставной патологии


