уз рн семиотика.ppt
- Количество слайдов: 37
Донецкий национальный медицинский университет Кафедра лучевой диагностики и лучевой терапии Радионуклидная и ультразвуковая семиотика заболеваний различных органов и систем Лектор Доцент кафедры лучевой диагностики и лучевой терапии Губенко Ольга Владиславовна
Схема анализа медицинского изображения • • • 1. Метод исследования 2. Орган исследования или анатомическая область 3. Проекция исследования 4. Вид контрастирования. Вид контраста. Путь введения контраста (или РФП) 5. Схема получения изображения 6. Назначение метода 7. Механизм биологического действия используемого излучения 8. Вам представлена норма или патология? 9. Характер патологического очага
Радионуклидные методы исследования Радиометрия РФП Радиография Сканирование Сцинтиграфия гамма лучи ОФЭТ – однофотонно-эмиссионная томография ПЭТ – позитронно-эмиссионная томография Сцинтиляционные датчики, исследования с помощью радионуклидов и меченных ими индикаторов – радиофармацевтических препаратов (РФП) Кристалл Na. I в составе гамма-камеры
Радиометрия (в том числе радиоиммуноанализ) In vitro Щитовидной железы Семиотика Трийодтиронин (Т 3) – 1, 2 -2, 8 нмоль/л Тироксин (Т 4) – 60 -160 нмоль/л Тиреотропин (ТТГ) – 0, 17 -4, 0 м. Е/л In vivo Щитовидной железы Через 2 часа – 10% Через 4 часа – 18% Через 24 часа – 30% Снижение уровня Повышение уровня
Радиография Радиоренография (РРГ)с 131 -I- гиппураном - Левая Радиография почек 4 2 2 3 1 Правая 1 5 РРГ в н о р м е выделяют 3 сегмента: 1 - сосудистый (кровенаполнение сосудистого русла почки) 2 - секреторный (процесс транспорта РФП через клетки канальцев с преобладанием его накопления); 3 - экскреторная фаза (спад радиоактивности над почкой). 4 - Кривая клиренса крови (процесс поступления РФП в кровяное русло). Оценка суммарной очистительной функции почек; 5 - мочевой пузырь. = ренография
Радиография Семиотика: • Изменение высоты • Деформация норма
Сканирование, сцинтиграфия При РН-методах нет ни естественного, ни искусственного контрастирования. РФП является источником излучения, а не контрастом Грудная клетка печень почки Щитовидная железа
ОФЭТ однофотонно-эмиссионная томография гамма-камера вращается вокруг тела пациента. Формируется изображение органа, отображающее послойное распределение РФП (томограмма)
ПЭТ позитронно-эмиссионная томография глюкоза Фтор. ДГ Углерод Фтор Кислород www. jpnm. org
Семиотика (при сканировании, сцинтиграфии, ОФЭТ, ПЭТ) а) повышенное накопление: диффузное очаговое- «горячий узел» б) пониженное накопление : диффузное очаговое - «холодный узел»
Семиотика (при сканировании, сцинтиграфии, ОФЭТ, ПЭТ) Горячий очаг Щитовидная железа скелет
Радионуклидная семиотика ВС: “горячий очаг” в области сердца МС: инфаркт миокарда Сцинтиграфия с Tc 99 m-пирофосфатом накопление РФП в зоне некроза NB! Только в течение 24 ч после начала инфаркта; трудно определить точное местоположение; возможно накопление в ребрах (при метастазах, травматических повреждениях) – псевдодиагностика инфаркта.
Семиотика (при сканировании, сцинтиграфии, ОФЭТ, ПЭТ) диффузное повышение накопления РФП
Семиотика (при сканировании, сцинтиграфии, ОФЭТ, ПЭТ) Холодный очаг ПЭТ головного мозга Сканирование щитовидной железы. Радиометрия Сцинтиграмма щитовидной железы
СЦИНТИГРАММЫ ЛЕГКИХ в норме
Тромбоэмболия ветвей легочной артерии Перфузионные сцинтиграммы Семиотика – «холодные» очаги
Радионуклидная семиотика ВС: “холодный очаг” в стенке ЛЖ МС: инфаркт, постинфарктный миокардиосклероз, ишемия миокарда Сцинтиграфия с Tl 201 -хлоридом накопление РФП в здоровом миокарде, преимущественно в левом желудочке. ЛЖ в левой боковой, левой косой и передней проекциях (плоскостях) имеет форму подковы или бублика. МС: нарушение кровообращения
ПЭТ у кокаин - зависимых пациентов (снижение количества допаминовых рецепторов)
Изменение положения (дислокация) ВС: изменение п о л о ж е н и я почек МС –д и с т о п и я (ненормальное положение почки), тазовая и поясничная; -н е ф р о п т о з- опущение почки более, чем на длину тела 1 позвонка Задняя Передняя Тазовая д и с т о п и я левой почки.
Комбинированная ПЭТ-КТ пациента с опухолью легких http: //pet. radiology. uiowa. edu
Ультразвуковые методы исследования ü 1. Одномерное исследование üА-метод üМ-метод ü 2. Двухмерное исследование (сонография) ü 3. Допплерография
Ультразвуковые методы исследования Пьезокристалл УЗ-волны f 0 2 f 0
М – метод (от английского motion — движение) Определяют: • толщину стенок, • размеры полостей, • степень раскрытия створок и заслонок клапанов сердца Семиотика увеличение уменьшение изменеиие траектории движения Движение створок митрального клапана в норме
ВС: изменение движения створок клапанов (деформация ) Митральный клапан Аортальный клапан
В – метод (от английского bright — яркость) Ультразвуковое сканирование или сонография или эхография Правой почки Печени
Ультразвуковая семиотика киста • Гипоэхогенный очаг почка печень • Изоэхогенный очаг Опухоль в мочевом пузыре Опухоль в щитовидной железе Камни в желчном пузыре • Гиперэхогенный очаг (с анэхогенной дорожкой)
ВС: гиперэхогенный очаг в полости сосуда Норма МС: Атеросклеротическая бляшка 1. опухоль 2. тромб 3. атеросклеротическая бляшка
ВС: гипоэхогенная зона в полости перикарда Сонограмма (Врежим) МС: М-режим ультразвукового исследования гидроперикард
Изменение размера части органа Удвоенная почка с гидронефротической Трансформацией верхней лоханки Расширение мочеточника -мегауретер
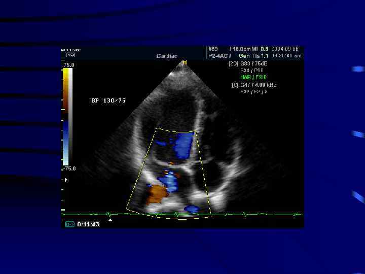
Допплерография
ВС: изменение потока крови при допплерографии (На примере митрального клапана) норма В обратном направлении определяется турбулентный Турбулентный поток за счет поток с широким основанием уменьшения площади отверстия МС: регургитация крови при
Цветное панорамное сканирование
3 D реконструкция с помощью трансэзофагеального датчика 3 D визуализация сегодня не заменяет традиционное 2 D сканирование
ХОРИОКАРЦИНОМА тотальное поражение тела матки УЗИ в режиме цветного допплеровского картирования T 2 W Sagittal энергетическиого допплеровского картирования МРТ T 1 W Axial


