Гломерулонефрит_Чиж.ppt
- Количество слайдов: 94
Доцент К. А. Чиж 2 -я кафедра внутренних болезней БГМУ Острый и хронический гломерулонефриты 2009 г.
Нефрология l Заболевания почек l Диализ l Трансплантация
История l l l Первые описания отёков, связанных с заболеваниями почек – Гиппократ и Авиценна 1726 г. Дж. Морганьи – белок в моче у больных с водянкой 1827 г. Р. Брайт – связь отёков и протеинурии с морфологическими изменениями почечной ткани 1914 г. Ф. Фольгард и Т. Фар – нефрозы, нефриты, нефросклерозы 50 -60 -е гг. XX в. - введение в клиническую практику прижизненной пункционной биопсии почки
Наиболее частые причины ХБП l l l l АГ обструкции мочевых путей (напр. , камни почек) поликистоз почек гломерулонефрит инфекции мочевых путей сахарный диабет врожденные аномалии аутоиммунные заболевания
Гломерулонефриты – группа морфологически разнородных диффузных двухсторонних иммуновоспалительных заболеваний почек с преимущественным поражением клубочков, а также с вовлечением канальцев и интерстициальной ткани
l Почки поддерживают нормальный баланс веществ в организме, регулируя уровни воды и солей
Нефрон – структурно-функциональная единица почки Нефрон–система почечного тельца и последовательно переходящих друг в друга канальцев, окруженных соединительной тканью и обильно снабженных кровеносными сосудами. В каждой почке – 1 -4 млн нефронов.
Компоненты почечного тельца Сосудистые клубочки
Сосудистое русло почки
Почечное тельце (тельце Мальпиги) 1 - капсула Шумлянского. Боумена: а-наружный листок; б-внутренний листок; 2 - сосудистый клубочек; 3 - приносящая артериола; 4 - выносящая артериола; 3 1 б 2 4 1 а
Компоненты нормального нефрона Капсула Боумена Клубочек Мезангиум Адвентиц. клетки/ макрофаги Клетки мезангиума Сосуд. гладкомышеч. клетки Macula Densa Почеч. симпатич. нервы Юкстагломерул. клетки Эфферентная артериола g
Подоциты – клетки внутр. листка капсулы почечного тельца
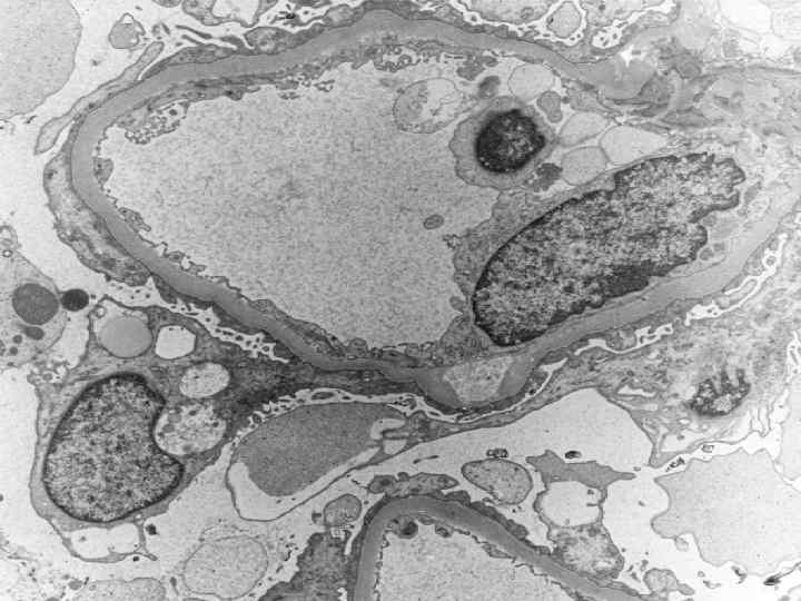
Гемато-ренальный барьер (почечный фильтр)
Нормальный капилляр клубочка Отростки подоцитов Базальная мембрана Просвет Эндотелиальная клетка Мезангиальный матрикс
Гломерулонефриты l Первичные l Вторичные
Основные клинические типы гломерулонефритов l Острый постстрептококковый (постинфекционный) ГН l Хронический ГН (> 70% всех ГН) l Быстропрогрессирующий 1%) ГН (около
Этиология гломерулонефритов Инфекции: бактериальные (стрептококк, стафилококк и др. ); вирусные (гепатит В, гепатит С и др. ); паразитарные l Токсические вещества (органические растворители, алкоголь, свинец, ртуть, лекарства и др. ) l Экзогенные неинфекционные антигены, действующие с вовлечением иммунных механизмов, в том числе по типу атопии l Эндогенные антигены (редко): ДНК, опухолевые, мочевая кислота l
Основные иммунопатологические механизмы гломерулонефрита Иммунные комплексы Циркулирующие Клеточный иммунитет (макрофаги, Т-клетки) Ig. E Локальные ГН Антитела к БМК «Дополнительные» системы: комплемент, локальная активация гемокоагуляции, цитокины
Отложение иммунных комплексов при гломерулонефрите
Синдромы при гломерулонефритах l Почечные (ренальные) - изменения мочевого осадка l Внепочечные (экстраренальные) - отёки - артериальная гипертензия
Клинические синдромы при гломерулонефритах ● Мочевой (протеинурия и/или гематурия, цилиндрурия) ● Нефротический (отеки, протеинурия выше 3, 0 - 3, 5 г в сутки, гипопротеинемия, гиперлипидемия) ● Гипертонический ● Остронефритический ● Нарушение функции почек (ОПН, ХПН)
Острый гломерулонефрит l Иммуноаллергическое заболевание с преимущественным поражением сосудов клубочков l Большинство больных составляют лица до 40 лет
Этиологические факторы острого гломерулонефрита Тип инфекции Вид возбудителя Бактериальная Streptococcus gemolithicus, Staphilococcus aureus, Staphilococcus epidermalis, Gram- bacterius, Streptococcus pneumonie, Treponema pallidum, Salmonela typhi, Meningococcus, Leptospirosis Вирусная Гепатит B и C, ЦМВ, Enterovirus, Parvovirus, Oncornavirus, Rubella, Varicella Паразитарная Plasmodium malaria, Toxoplasma, Filaria, Schistosomia, Trichinella Риккетсиозная Scrub typhus
Острый гломерулонефрит l Развивается через 6 -12 дней после инфекции, обычно стрептококковой (ангина, фарингит, пиодермия, скарлатина) l β-гемолитический стрептококк группы А l Переохлаждение
Острый гломерулонефрит l Иммунокомплексная l Комплексы патология антиген - антитело, взаимодействуя с комплементом, откладываются на эпителиальной поверхности базальной мембраны капилляров клубочков
Эпидемиология острого ГН l l l Связь с плохими социально-экономическими и гигиеническими условиями Повторные эпидемии в резервации индейцев на Красном Озере в Миннесоте, на Тринидаде и в Маракайбо Распространен в Венесуэле и Сингапуре Вспышка в Бразилии Резкое снижение в США, Великобритании и Центральной Европе P. S. «Почка драчунов»
Начало острого ГН l Олигурия (400 -700 мл мочи в сутки) один из первых симптомов острого нефрита l Изменение цвета мочи ( «мясные помои» , «кока-кола» )
Отечный синдром l Отеки - ранний признак заболевания у 80 -90% больных; "лицо нефритика" l Часто жидкость накапливается в полостях (плевральной, брюшной, полости перикарда) l Прибавка массы тела за короткое время может достигать 15 - 20 кг и более, но через 2 -3 нед отеки обычно исчезают
Артериальная гипертензия У 70 -90% больных (АД до 180/120 мм рт. ст. )
Мочевой синдром при остром гломерулонефрите l Протеинурия - незначительная (до 1 г/л) - умеренная (1 -3 г/л) - выраженная (> 3 г/л) l Гематурия (микро- или макро-) l Цилиндрурия (эритроцитарные, гиалиновые, восковидные) l Нормальный или повышенный удельный вес мочи (1020 -1030 и выше)
Лабораторные показатели при ОГН l Снижение гемоглобина и числа эритроцитов l Незначительная азотемия или умеренная
Осложнения острого гломерулонефрита l Переход в хронический ГН ? ? ? l ОПН l Острая левожелудочковая недостаточность l Эклампсия
Гистологические изменения l Воспаление клубочков (инфильтрация клетками воспаления) l Пролиферация мезангиальных, эпителиальных или эндотелиальных клеток (очаговая, диффузная)
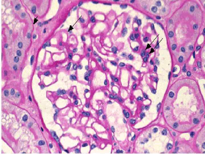
Пролиферативные изменения при остром гломерулонефрите
Иммунофлюоресцентная микроскопия при ОГН
Лечение острого гломерулонефрита Постельный режим (госпитализация) l Диета (ограничение соли и жидкости при наличии l отёков и АГ) Антибиотики (бактериальная инфекция) l Антиагреганты (дипиридамол, пентоксифиллин) l Симптоматическая терапия (гипотензивные, l диуретики, общеукрепляющие. . . ) l Глюкокортикостероиды (при высокой активности, отсутствии эффекта) l Цитостатики (при затянувшемся течении, отсутствии эффекта, противопоказаниях для ГКС)
Прогноз при остром гломерулонефрите 1. Полное выздоровление (при типичном течении через 2 -3 месяца) 2. Летальность - редко 3. Переход ОГН в хроническое заболевание (в 1/3 -1/2 случаев)
Профилактика обострений ГН l Лица, перенесшие ОГН, подлежат диспансерному наблюдению. Борьба с очаговой инфекцией, особенно в миндалинах! l Противопоказана работа, связанная с охлаждением, во влажной среде l Лицам, страдающим аллергическими заболеваниями противопоказаны профилактические вакцинации
Хронический гломерулонефрит
Хронический гломерулонефрит l сборная группа заболеваний, разных по происхождению и морфологическим проявлениям, характеризующаяся первичным поражением клубочкового аппарата почек, в результате чего развивается гломерулосклероз и хроническая почечная недостаточность
Хронический гломерулонефрит l Длительно (не менее года) протекающее иммунное двустороннее заболевание почек l Может быть как исходом острого гломерулонефрита, так и первичнохроническим, без предшествующей острой атаки
Этиология и патогенез l Важнейший этиологический фактор - инфекция l Переохлаждение l Возможно развитие заболевания после вакцинации (особенно у детей) l Имеет значение наследственная предрасположенность (достоверно чаще HLA W 19 и B 8)
Исследование почечных биоптатов l Световая микроскопия l Иммунофлюоресцентная l Электронная
Морфологическая классификация ХГН Невоспалительные Воспалительные
Морфологическая классификация ХГН А. Невоспалительные гломерулонефриты Минимальные изменения клубочков (МИ) l Фокально-сегментарный гломерулосклероз (ФСГС) l Мембранозный ГН (мембранозная нефропатия) (МГ) l
Морфологическая классификация ХГН Б. Воспалительные гломерулонефриты l Мезангиопролиферативный (Мез. ПГН) l Мембранознопролиферативный (Мезангиокапиллярный) (МПГН) l Фибропластический
Минимальные изменения клубочков l l Выявляются лишь при электронной микроскопии Наблюдается чаще у детей l Характерен нефротический синдром с массивными отеками l Наиболее эффективны глюкокортикоиды l Прогноз достаточно благоприятный, ХПН развивается редко
Болезнь минимальных изменений
Фокально-сегментарный гломерулосклероз В части клубочков выявляется склероз отдельных капиллярных петель l Протеинурия или нефротический синдром, обычно в сочетании с эритроцитурией и АГ l Течение прогрессирующее, прогноз серьезный, это один из самых неблагоприятных вариантов, достаточно редко отвечающий на активную иммунодепрессивную терапию l
ФСГС
Мембранозный гломерулонефрит (мембранозная нефропатия) Диффузное утолщение стенок капилляров клубочков с их расщеплением и удвоением, массивным отложением иммунных комплексов на эпителиальной стороне клубочковой базальной мембраны l Чаще развивается у мужчин l Протеинурия или нефротический синдром, у 15 30% наблюдаются гематурия и АГ l Течение относительно благоприятное, особенно у женщин, ХПН развивается у 1/2 больных l
Мембранозный гломерулонефрит (мембранозная нефропатия)
Мембранозный гломерулонефрит (мембранозная нефропатия)
Мезангиопролиферативный гломерулонефрит Самый частый тип, отвечающий всем критериям ХГН, как иммуновоспалительного заболевания l Пролиферация мезангиальных клеток, расширение мезангия, отложение иммунных комплексов в мезангии и под эндотелием l Протеинурия и/или гематурия, в части случаев отмечаются нефротический синдром и АГ l Течение относительно благоприятное l
Мезангиопролиферативный гломерулонефрит
Ig. A нефропатия (болезнь Берже) l чаще у мужчин в возрасте от 10 до 30 лет l эпизодическая гематурия, совпадающая по времени с респираторными инфекциями l незначительная протеинурия (до 1 г/л) l повышение в сыворотке уровня Ig. A
Мезангиокапиллярный (мембранознопролиферативный) гломерулонефрит l Выраженная пролиферация мезангиальных клеток с их распространением и проникновением в клубочек, что создает характерную дольчатость клубочков с удвоением базальных мембран l Протеинурия и гематурия, часты НС и АГ l Неблагоприятный вариант с прогрессирующим течением и развитием ХПН, плохо отвечающий на терапию
МЕЗАНГИОКАПИЛЛЯРНЫЙ ГЛОМЕРУЛОНЕФРИТ
МЕЗАНГИОКАПИЛЛЯРНЫЙ ГЛОМЕРУЛОНЕФРИТ
Клинические формы ХГН l Нефротическая (20%) l Гипертоническая (20%) l Смешанная (7%) l Латентная ( 5%) l Гематурическая (до 50%)
Нефротическая форма ХГН Нефротический синдром l Позднее присоединяется АГ l Прогрессирование в среднем за 5 -6 лет · умеренное: - мембранозный - мезангиопролиферативный · быстрое: - фокально-сегментарный гломерулосклероз l
Гипертоническая форма ХГН l l l Сочетание мочевого и гипертензионного синдромов АД достигает 180/100 -200/120 мм. рт. ст. Мочевой синдром выражен слабо (протеинурия до 1 г/л) · мезангиопролиферативный или мембранознопролиферативный · относительно благоприятное течение · осложнения АГ: ОИМ, ОНМК, ХСН
Смешанная форма ХГН l Характеризуется мочевым, гипертензионным и нефротическим синдромами l Неблагоприятный вариант, неуклонное прогрессирование (2 -5 лет)
Латентная форма ХГН (с изолированным мочевым синдромом) Наиболее частая форма ХГН без экстраренальных проявлений (протеинурия до 1 -2 г в сутки, эритроцитурия, цилиндрурия) · медленное прогрессирование (15 -20 лет) - мезангиопролиферативный
Гематурическая форма ХГН Постоянная гематурия, нередко с эпизодами макрогематурии, протеинурия не превышает 1 г в сутки, течение достаточно благоприятное - мезангиопролиферативный (болезнь Берже, Ig. A-нефропатия)
Мочевой синдром при хроническом гломерулонефрите l Протеинурия l Гематурия l Цилиндрурия l Снижение удельного веса мочи (<1015)
Диагностика ХГН l Мочевой синдром особенно в сочетании с отеками на лице, повышением артериального давления (преимущественно диастолического) l Дифференциальная диагностика - с заболеваниями, сопровождающимися мочевым синдромом, периферическими отеками и АГ l Подтверждают диагноз данные биопсии почки
Обнаружение признаков хронического гломерулонефрита Случайное выявление изменений в моче или повышения уровня мочевины в крови l Поиск причины повышения АД l Клинические проявления симптомов заболеваний почек (отеки, анемия, тошнота и др. ) l После обострения ГН, обычно в ходе вирусных или бактериальных инфекций l
При обострении заболевания l l l Снижение показателя скорости клубочковой фильтрации (в норме 60140 мл/мин) Существенное ухудшение мочевого осадка Нарастание (появление) отёков Повышение АД Повышение креатинина крови Повышение мочевины крови
Подострый (злокачественный, быстропрогрессирующий) гломерулонефрит l Нефротический синдром + АГ + быстрое наступление ХПН (несколько месяцев) l ГН с “полулуниями” в клубочках l Прогноз очень серьёзный, остановить прогрессирование может лишь массивная иммуносупрессивная терапия
Быстропрогрессирующий гломерулонефрит (с полулуниями)
Быстропрогрессирующий гломерулонефрит (с полулуниями)
Исходы хронического гломерулонефрита хроническая почечная недостаточность
В течении ХГН выделяют две стадии а) почечной компенсации б) почечной декомпенсации
Диета при гломерулонефрите l Нефротическая и смешанная формы: Na. Cl не более 1, 5 -2, 5 г/сут l Гипертоническая форма: умеренно ограничивать Na. Cl (до 3 -4 г/сут)
Лечение хронического гломерулонефрита l зависит от клинической формы и морфологического типа !
Лечение l Для подавления активности применяется иммуносупрессивная терапия: глюкокортикоиды и цитостатики
Показания к назначению иммуносупрессивной терапии при ГН l Высокая активность l Впервые возникший нефротический синдром l При быстропрогрессирующих формах нефрита — большие дозы глюкокортикоидов и цитостатиков внутрь и/или в/в в виде “пульсов”
Глюкокортикоиды - основное средство патогенетической терапии нефритов l Внутрь — преднизолон l Альтернирующий режим - через день однократно утром двойная суточная доза l При высокой активности - “пульс-терапия”
Цитостатики при ГН l Алкилирующие соединения — циклофосфамид (в дозе 1, 5— 2 мг/кг в день) и хлорбутин (в дозе 0, 1— 0, 2 мг/кг в день) l Антиметаболит мг/сут азатиоприн – 50 -150
Комбинированная терапия ХГН l 4 -компонентная терапия (цитостатик, антикоагулянт, антиагрегант и преднизолон) P. Kincaid-Smith (1968 г. ) (азатиоприн + преднизолон + курантил + гепарин)
Другие цитостатики для лечения ГН l Циклоспорин А (сандиммун) l Мофетила микофенолат (селсепт) l Такролимус (FK-506)
Неиммунная нефропротективная терапия • ингибиторы АПФ и/или блокаторы рецепторов к ангиотензину II • гепарин • дипиридамол • статины
Формулировка развернутого клинического диагноза l Пример 1. Хронический гломерулонефрит с изолированным мочевым синдромом, мезангиопролиферативный. Фаза ремиссии. Сохраненная функция почек. l Пример 2. Хронический гломерулонефрит, мезангиопролиферативный, смешанная форма. Фаза обострения. ХПН III стадии.
СПАСИБО ЗА ВНИМАНИЕ


