Доброкачественные образования костной ткани Признаки доброкачественности: Правильный структурный
Доброкачественные образования костной ткани
Признаки доброкачественности: Правильный структурный рисунок Признаки обызвествления и окостенения Четко очерченный контур Четкая отграничение от окружающей кости Наличие ножки Отсутствие периостальной реакции Отсутствие реакции окружающей кости и мягких тканей
Рентгено-морфологическая классификация наиболее часто встречающихся опухолей и опухолеподобных поражений скелета Костеобразующие опухоли Доброкачественные: Остеома Остеоид-остеома Остеобластома Злокачественные Остеосаркома
Хондрообразующие опухоли Доброкачественные: Остеохондрома Хондрома Хондробластома (опухоль Кодмана) Злокачественные Хондросаркома
Соединительнотканные опухоли Доброкачественные: Неоссифицирующая фиброма Злокачественные Фибросаркома Сосудистые опухоли Доброкачественные: Гемангиома
Гигантоклеточная опухоль - («остеобластокластома») Костномозговые опухоли Злокачественные: Миелома Лимфома Саркома Юинга
Опухолеподобные поражения Солитарная костная киста Аневризмальная костная киста Метафизарный костный дефект Фиброзная дисплазия Оссифицирующий миозит Эозинофильная гранулема
Костеобразующие опухоли
Остеома 15% от всех доброкачественных костных опухолей Выявляется в возрасте от 18 до 40 лет, растет медленно Одиночная Выделяют три типа – губчатая, компактная и смешанная (медуллярная) Типичная локализация – кости черепа Имеет костную структуру и общий с окружающей костью кортикальный слой (компактная остеома – гомогенная интенсивная бесструктурная тень) Клиника может появляться при сдавлении окружающих тканей Не малигнизируется Часто рентгенологическая находка
Чаще всего остеома возникает: в своде и основании черепа в околоносовых пазухах в нижней челюсти лопатке остеома в длинных и коротких костях встречается редко По отношению к костному органу остеомы располагаются периостально и эндостально. Типичная локализация
Губчатые остеомы на наружной и внутренней пластинках костей свода черепа. Губчатые остеомы
Остеоид - остеома 3-10% от всех доброкачественных костных опухолей (ранее относили к первично-хроническому остеомиелиту) Выявляется чаще в возрасте от 5 до 30 лет Одиночная Преимущественная локализация – диафизы и метафизы длинных трубчатых костей По расположению в кости выделяют кортикальную форму и губчатую форму Имеет характерную клинику – нарастающие сильные точечные боли, включая ночные, купирующиеся аспирином Выглядит как полость (до 1см) с плотным ядром внутри («нидус») на фоне диффузно ассиметрчно утолщенного кортикального слоя Не малигнизируется Дифференцируем с остеомиелитом, срывом компенсации – по МРТ - (кортикальную форму)
Классическая остеоид-остеома При типичной остеоидной остеоме на фоне локального гиперостоза в диафизе выявляется очаг литической деструкции овальной формы, ориентированный по длиннику кости с секвестром в центре.
Атипичная форма В губчатом веществе остеоидная остеома проявляется очагом литической деструкции круглой или овальной формы размером 1-2 см, без признаков выраженного остеосклероза и ассимилированных периостальных наслоений. Вокруг очага деструкции располагается зона реактивного остеосклероза в виде узкого ободка.
Остеобластома (гигантоклеточная остеоид-остеома) 1% от всех доброкачественных костных опухолей Выявляется чаще в возрасте от 10 до 20 лет Одиночная Преимущественная локализация – задние отделы позвонков, метадиафиз длинных трубчатых костей Выглядит в позвонках как очаг вздутия, около 2 см, чаще прозрачный, хотя может быть с оссификацией, вплоть до тотальной, с четким склерозированным контуром В трубчатых костях – как гигантская остеоид-остеома: «нидус» - около 2 см, окружающий гиперостоз – до 10 см, может быть легкое вздутие Не малегнизируется (НО ! встречается агрессивная (злокачественная) остеобластома! Гистологически – трудно дифференцировать от остеоид-остеомы Дифф.: в позвонках с АКК (меньше вздутие), с остеоид-остеомой
ХРЯЩЕОБРАЗУЮЩИЕ ОПУХОЛИ
Остеохондрома (костно-хрящевой экзостоз) До 40% от всех доброкачественных костных опухолей В 1,5 -2 раза чаще встречается у мужчин Выявляется чаще в возрасте от 10 до 20 лет Малигнизируется редко (в хондросаркому) Имеет вид дополнительного образования на ножке Структура – ножка имеет правильную структуру губчатой кости, «шляпка» - хрящевая ткань с участками обизвествления – «цветная Исходит из метафиза длинных трубчатых костей (редко – лопатка,кости таза, из дужек либо остистого отростка позвонка) С ростом скелета отодвигается к области диафиза Клиника – возникает из-за сдавления мягко-тканных компонентов, может возникать вторичный бурсит
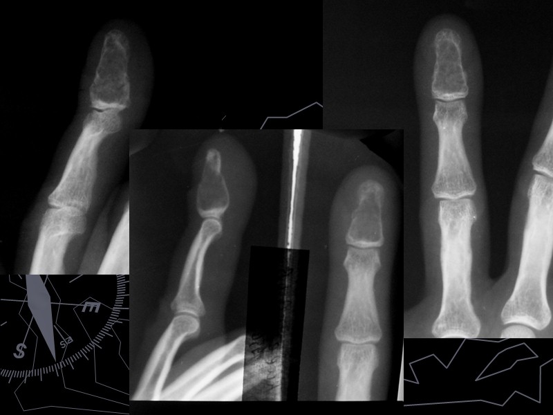
Хондрома До 10-15% от всех доброкачественных костных опухолей Выявляется чаще в возрасте от 10 до 40 лет Чаще множественные поражения (двусторонние, не симметричные) Малигнизируется в хондросаркому (чаще при локализации в ребрах, длинных трубчатых костях, костях таза) Поражаются преимущественно короткие трубчатые кости (фаланги), ребра, грудина, Редко - позвонки, кости таза, длинные трубчатые кости Солитарные поражения длинных трубчатых костей – дифференцируем с кистой, фибромой, метастазом
По расположению в кости выделяют: Экхондрома (переферически) Проявляется либо краевой деструкцией, на уровне которой располагается добавочное образование с широким диапазоном всевозможных обызвествлений. Энхондрома (центрально) Выглядит как очаг вздутия, негомогенной структуры (хрящевой фон с вкраплениями костного вещества), окруженный замыкательной пластинкой – «скорлупой» За счет вздутия и истончения кортикального слоя часто осложняется патологическим переломом
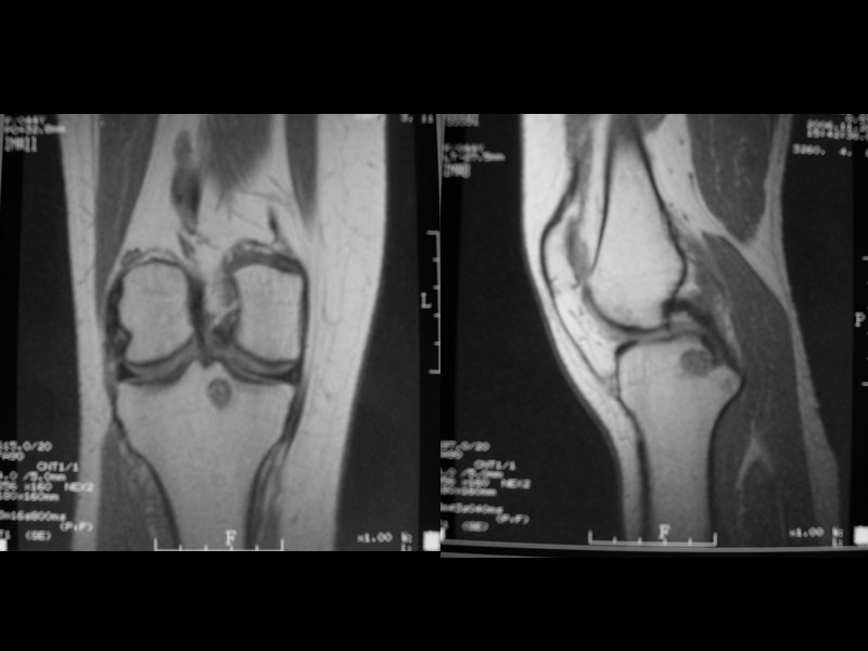
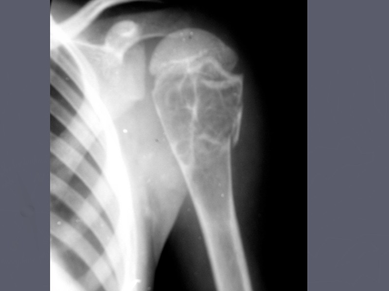
Хондробластома (опухоль Кодмана) До 2% от всех доброкачественных костных опухолей Выявляется в возрасте от 10 до 25 лет, в 2 раза чаще у мужчин Одиночная Преимущественная локализация – эпиметафиз длинных трубчатых костей Излюбленная локализация проксимальный эпиметафиз плечевой кости (опухоль Кодмена), не встречается в черепе является типом опухоли, переходным от хрящевой к остеогенной Может вызывать легкое вздутие кортикального слоя Не малигнизируется
Рентгенологические симптомы Выглядит как эксцентрично расположенный очаг просветления (хрящевая ткань), с вкраплениями костного вещества, с четким склеротическим контуром. Иногда прослеживаются линейные периостальные наслоения, которые быстро ассимилируются.
Соединительнотканные опухоли
Фиброма (неоссифицирующая фиброма, фиброксантома) Выявляется в любом возрасте Одиночная Исходит из стромы костного мозга, либо наружного слоя надкостницы Преимущественная локализация –метадиафиз длинных трубчатых костей Выглядит как гомогенный очаг просветления, с четким контуром, легко вздувающий и истончающий кортикальный слой Созревание и старение опухоли не сопровождается явлениями оссификации
Сосудистые опухоли
Гемангиома 1% от всех доброкачественных костных опухолей Выявляется чаще в пожилом возрасте Одиночная либо множественная Преимущественная локализация – тела Th8 – L5 позвонков, реже - лобная и височная кости, ребра Выглядит как вертикальная (реже горизонтальная) исчерченность тела позвонка, может быть легкое бочонкообразное вздутие. При других локализациях – очаг вздутия с разрушением кортикального слоя, веерообразно расходящиеся трабекулы, четкий склерзированный контур Может осложняться компрессионным переломом Малигнизируется редко
Гигантоклеточная опухоль (Остеокластома) 15% от всех доброкачественных костных опухолей Выявляется в возрасте от 20 до 40 лет Одиночная Преимущественная локализация – метаэпифизы длинных трубчатых костей, реже – кости таза, ниж. челюсть, позвонки Ячеистый тип опухоли – булавовидное вздутие с ячеистой структурой (соты), истончение кортикального слоя, четкая граница от окружающей кости Литический тип – вздутие, полное отсутствие трабекулярного рисунка, дефект кортикального слоя (похоже на метастаз, литическую остеосаркому) Часто осложняется патологическими переломами Малигнизируется часто
Солитарная костная киста Выявляется в возрасте от 5 до 25 лет Одиночная, как исход ОК, фиброзной дисплазии, травмы или воспаления Преимущественная локализация – проксимальный метадиафиз длинных трубчатых костей (плечо, бедро) Не переходит через ростковую зону, отодвигается к диафизу с ростом кости Располагается по центру, овоидной формы, дает вздутие и истончение кортикального слоя, имеет четкую границу от окружающей кости Структура – крупно ячеистая Часто осложняется патологическими переломами, после чего и выявляется Часто рецидивирует (60%) после оперативного лечения
Аневризмальная костная киста Выявляется в возрасте от 5 до 30 лет Одиночная, состоит из сосудистых пространств, содержит венозную кровь. Преимущественная локализация – проксимальный метафиз длинных трубчатых костей (может переходить на эпифиз), реже – задние элементы позвонков,крылья подвздошных костей Располагается эксцентрично, дает сильное вздутие и истончение (может быть прерывание) кортикального слоя, имеет четкую склерозированную границу от окружающей кости Часто рецидивирует (50%) после выскабливания Может сочетаться с хондробластомой, фибромой, ОК, фиброзной дисплазией
Эозинофильная гранулема (гистиоцитоз из клеток Лангерганца) Локализованная или диссеминированная пролиферация дендритных клеток – аномальный иммунный ответ либо клональный неопластический процесс Выявляется в возрасте до 30 лет (чаще от 5 до 10 лет) Выделяют моно- и полиоссальную форму Поражаются любые кости, чаще плоские (50%), губчатые (30%), проксимальный отдел бедра (20%) Локализация любая, может поражаться эпифиз, чаще диафиз Выглядит как очаг деструкции, размерами от 0,5 до 10 см, исходящий из костного мозга и вызывающий прободение компактного слоя, с четким контуром. Может вызывать утолщение эндоста и периоста. Дифференцируем с остеомиелитом, миеломой, лимфомой, метастазами
13-dobrokachestvennye_opuholi_01.10.ppt
- Количество слайдов: 92

