87c01fb6cea01fe521a582dc5d79295c.ppt
- Количество слайдов: 58
Дисциркуляторная энцефалопатия. Классификация. Современные методы диагностики и лечения. Хасанова Н. М.
Ишемическая болезнь мозга (цереброваскулярная болезнь) ►Ишемический инсульт ►Транзиторная ишемическая атака ►Хроническая недостаточность мозгового кровообращения (дисциркуляторная энцефалопатия)
Механизм развития : ► Хроническое кислородное и углеводное голодание мозговой ткани, проявляющееся атрофическими изменениями мозга (преимущественно корковых полей, мультифокальная ишемия)
Извилина Брока. Двигательный контроль речи Теменная доля. Чувствительная зона боли, температуры, осязания. Понимание речи. Выражение мыслей Дв иг ат ел Чу ьн вс ы тв й це ит нт ел р ьн ко ы ры й це нт р ко ры Лобная доля Двигательный контроль мышечных движений. Личные способности к организации, концентрации внимания, решению проблем Височная доля. Корковый центр слуха. Память увиденного и услышанного Ствол мозга. Сосудодвигательный и другие жизненно важные центры Поле Вернике. Интерпретация речи Затылочная доля. Зрительное узнавание. Мозжечок. Балансирование и координация мышечных движений
Определение. Дисциркуляторная энцефалопатия – состояние, проявляющееся прогрессирующим многоочаговым расстройством функций головного мозга, обусловленным недостаточностью церебрального кровообращения.
Классификация ДЭ ► Атеросклеротическая ► Гипертоническая ► Венозная ► Смешанная ► Вызванная другими причинами – ревматизм, системные гемодинамические расстройства, заболевания крови
Хроническая сосудисто-мозговая недостаточность Основные механизмы возникновения сосудисто-мозговой недостаточности Эмболия
Стадии течения ДЭ ► 1 стадия – ранняя –без дефицитарных неврологических и психопатологических симптомов ► 2 А стадия – с наличием нервно-психического дефекта в клинически скрытой форме ► 2 Б стадия – с наличием клинически манифестного нервно-психического дефекта ► 3 стадия – с появлением сосудистой деменции и сопутствующих симптомов
Тип клинического течения ДЭ ►Медленно-проградиентное (классическое) ►Быстропрогредиентное (галопирующее) ►Ремитирующее (шубообразное)
Тип нервно-психического дефекта ► Мнестический – с нарушением памяти и снижением продуктивности умственного труда ► Аффективный – эксплозивность и гневливость в сочетании со слабодушными реакциями ► Паранойяльный – появление кверулянтного поведения и наличие сверхценных идей ► Псевдодементный – как проявление выраженной депресии
Дисциркуляторная энцефалопатия, первая стадия Доминируют субъективные расстройства, такие как, головная боль, тяжесть в голове, слабость, эмоциональная лабильность, снижение памяти, головокружения, неустойчивость при ходьбе, нарушения сна.
Дисциркуляторная энцефалопатия, первая стадия ►Объективно – легкие, но стойкие объективные расстройства в виде анизорефлексии, дискоординаторных явлений, глазодвигательной недостаточности, симптомов орального автоматизма ►Формирование астенического синдрома
Дисциркуляторная энцефалопатия, вторая стадия ► Субъективно – жалобы аналогичны 1 стадии заболевания, менее выражен астенический симптомокомплекс ► Формирование парциального дефекта личности ► Формирование ядра неврологического дефекта – вестибуло-атактического, псевдобульбарного, пирамидного, амиостатического
Клиника Три особенности Вертебро-базилярной недостаточности 1. 2. ► ► ► 3. Полиморфизм проявлений обязателен! Доказано, что изолированное системное головокружение, не сопровождающееся очаговыми неврологическими симптомами, в подавляющем большинстве случаев является результатом поражения периферического вестибулярного аппарата. Характерный симтомокомплекс Зрительные и глазодвигательные расстройства Нарушение координации движений, равновесия Расстройства чувствительности на лице Расстройства речи Транзиторная глобальная амнезия, элементы афазии Вестибулярные расстройства NB! Не менее двух симптомов, пароксизмальность
Дисциркуляторная энцефалопатия, третья стадия ►В ее основе не первичное поражение тех или иных зон коры, а разобщение связей между ними и подкорковыми образованиями. ►Критериями постановки является наличие синдрома деменции, т. е. нарушение памяти, интеллекта, аффективной сферы
Дисциркуляторная энцефалопатия, третья стадия ►Наличие очаговых неврологических симптомов, как минимум одного из: центральный гемипарез, одностороннее повышение глубоких рефлексов, патологические стопные знаки, псевдобульбарный паралич
ДЭ – 3 (тяжелая) Декомпенсированное состояние с нарастанием общемозговой и очаговой симптоматики ► Псевдобульбарный синдром (насильственные эмоции). ► Пирамидный синдром (парезы). ► Атаксический синдром (шаткость). ► Паркинсонизм (нарушения позы, походки, мимики). ► Сосудистая деменция. ► Речевые расстройства (дизартрия). ► Частые ТИА.
Пример клинического диагноза ► Дисциркуляторная энцефалопатия (гипертонического генеза) 2 а стадия, субкомпенсация в ЛКБ, с наличием скрытого псевдодементного синдрома, синдрома правосторонней пирамидной недостаточности. ► Фон: церебральный атеросклероз, умеренные стенозы ВСА с 2 -х сторон, лакунарное состояние головного мозга.
Острая гипертоническая энцефалопатия ► Вызвана остро или подостро возникающим выраженным повышением АД (диастолическое давление >120 мм рт. ст. ) ► Проявляется головной болью, тошнотой и рвотой, нарушением зрения вследствие кровоизлияния в сетчатку и отека диска зрительного нерва, эпилептическими приступами и угнетением сознания. Могут
Острая гипертоническая энцефалопатия ► При морфологическом исследовании – мельчайшие многочисленные инфаркты головного мозга вследствие фибриноидного некроза артериол и их окклюзии фибриновыми тромбами. ► Проявления в виде больших экссудативных участков отека головного мозга, более выраженного в затылочных долях.
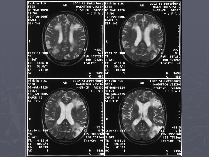
Инструментальные методы исследования ► КТ характеристики претерпевают динамику от минимальных атрофических изменений мозга в 1 стадии ► к мелкоочаговым изменениям вещества ГМ и атрофическим (наружным и внутренним) проявлениям во 2 стадии ► до резко обозначенной корковой атрофии и гидроцефалии с множественными гиподенсивными очагами в полушариях – в 3 стадии
Инструментальные методы исследования Методы визуализации сосудов (УЗДГ, ангиография) позволяют выявить диффузные стенозирующие атеросклеротические изменения, которые нарастают с прогрессированием стадии ДЭ, однако эта связь не абсолютна.
Инструментальные методы исследования ►Гематологические изменения, обусловленные повышением функциональной активности тромбоцитов, вязкости крови, латентные признаки ДВС синдрома ►Наличие дислипидемии, особенно 2 б и 4 типа
Диагностические критерии: ► Клинические проявления. ► Данные нейровизуализации (КТ, МРТ). ► Данные УЗДГ с дуплексным сканированием брахиоцефальных артерий и ТКДГ. ► Данные ЭЭГ. ► Психологическое тестирование.
Основные направления в лечении: Коррекция и контроль АД (диуретики, бетаблокаторы, ингибиторы АПФ, блокаторы кальциевых каналов, сартаны). ► Диета (снижение количества животных жиров и соли). ► Отказ от курения и алкоголизации. ► Режим труда и отдыха. ► Коррекция гемореологических расстройств (антитромбоцитарная или антикоагулянтная терапия с поддержанием уровня МНО 1, 8 - 2, 5). ► Нейропротекция. ► Коррекция когнитивных расстройств. ► Коррекция гиперлипидемии (статины). ► Лечение отдельных синдромов (антидепрессанты и др. ) ► Лечебная физкультура. ► Эрготерапия. ►
Принципы лечения. Консервативная терапия Дисциркуляторной энцефалопатии включает в себя базисную антиагрегантную и антикоагулянтную терапию и специфическое сосудистое лечение.
Базисная терапия. Антикоагулянты. ►Антикоагулянты. Внедрены в клиническую практику в середине 40 -х годов. ►Гепарин используется как своеобразное вступление перед долгосрочной терапией варфарином в следующих ситуациях
Базисная терапия. Антикоагулянты. ►Кардиоэмболический инсульт ►Инсульт, вследствие тромбоза экстракраниальной артерии или камеры сердца ►Инсульт, вызванный окклюзией вен или синусов мозга ►Тромбоз вен нижних конечностей или легочных вен у лежачих больных с инсультом.
Антитромбоцитарные средства. ► В 1960 году открыты три вещества, которые влияли на функцию тромбоцитов: дипиридамол, сульфинпиразон и аспирин. ► Сульфинпиразон не оправдал себя у больных с инсультом. ► Дипиридамол (200 мг) в сочетании с аспирином (125 мг) гораздо эффективнее аспирина, снижая риск повторного инсульта на 37% ► Клопидогрель ни в одном из крупных исследований не доказал своего преимущества перед аспирином.
Специфические лекарственные препараты принятые в России для лечения ишемической болезни ГМ можно подразделить на несколько групп:
Группы препаратов 1. Церебральные вазодилататорыкорректоры мозгового кровообращения сермион, вазобрал, теоникол, кавинтон, трентал, эуфиллин 2. Антагонисты кальциевых каналов флунаризин, циннаризин, трентал, нимотоп.
Группы препаратов Ноотропные препараты: пирацетам, пикамилон, энцефабол улучшают психические процессы, имеют психостимулирующий эффект. Пантогам, фенибут, кроме улучшения памяти и внимания, имеют седативный эффект и могут применятся при вегетативно-невротических состояниях.
Cochrane reviews: Анализ результатов многоцентровых исследований
ПИРАЦЕТАМ Заключение экспертов: появились данные (пока без статистической достоверности) о негативном влиянии пирацетама на раннюю смертность у больных с инсультом. Это может быть связано с различной тяжестью инсульта в этих исследованиях. Цитируется по: Ricci S, Celani MG, Cantisani AT, Righetti E. Piracetam for acute ischaemic stroke (Cochrane Review). In: The Cochrane Library, Issue 1 2003. Oxford: Update Software.
Гинко Билоба Заключение экспертов: Препараты ГБ являются безопасными, по сравнению с плацебо. В большинстве исследований использовались сомнительные методики и небольшое количество пациентов, поэтому эти исследования не попали в обзор. В среднем, отмечалось улучшение когнитивных функций. Однако, три наиболее современных исследования показали противоречивые результаты. Цитируется по: Birks J, Grimley Evans J, Van Dongen M. Ginkgo Biloba for Cognitive Impairment and Dementia (Cochrane Review). In: The Cochrane Library, Issue 1 2003. Oxford: Update Software.
Группы препаратов Антигипоксанты и антиоксиданты вещества, блокирующие образование высокоактивных свободных радикалов - к ним относятся бетакаротин, альфа-токоферол, аскорбиновая кислота, янтарная кислота, мексидол, цитофлавин. На основе витамина В 6 создан новый водорастворимый антиоксидант эмоксипин.
Группы препаратов Одним из наиболее эффективных антиоксидантов является тиоктовая кислота, необходимая для нормального функционирования циклов витаминов Е и С, она хорошо проникает через гематоэнцефалический барьер, нормализует энегетический, углеводный, липидный обмен. Наиболее известными препаратами тиоктовой кислоты являются тиоктацид и эспалипон.
Группы препаратов Средства комплексного воздействия, обеспечивающие сосудистый и метаболический эффекты - инстенон, билобил. Препараты-нейропротекторы поддерживают гомеостаз на системном уровне, который нарушается при хронической и острой цереброваскулярной недостаточности: глицин, глиатилин, магне В 6, семакс, актовегин, церебролизин, кортексин.
Нейропротекция: основная цель Основная цель нейропротективной терапии – сократить объем очага поражения ткани головного мозга при острых цереброваскулярных событиях и при хронической
Группы препаратов Средства, тормозящие развитие атеросклероза – аторвастатин, ловастатин, правастатин, розувастатин, симвастатин. Данная группа препаратов должна назначаться длительно, под контролем липидного профиля и состояния печеночных проб.
Принципы назначения Все препараты используют курсами по 1, 5 -3 месяца. Выбор конкретных специфических средств не имеет убедительных критериев преимущества и связан с доступностью препарата, его стоимостью и симпатиями врача.
Хирургическое лечение Дисциркуляторной энцефалопатии ►Профилактическое действие у женщин менее выражено чем у мужчин ►Реконструкция показана при наличии симптомного стеноза 60 -99%. ►У мужчин старше 70 лет профилактическое действие КЭ самое выраженное
Хирургические методы и ангиопластика. Европейские рекомендации лечения инсульта 2008 год. ► КЭАЭ рекомендована при стенозе сонных артерий 70 -99%, в идеале в течении первых 2 недель после ишемического события. (класс 2, уровень В), ► При стенозе 50 -69% у мужчин с полушарными инсультами есть преимущества (класс 1, уровень А) ► Антитромбоцитарные препараты применяют до и после операции
Хирургические методы и ангиопластика ► Чрескожная транслюминальная ангиопластика, стентирование СА показана при стенозах в хирургически недоступном месте, рестенозе после КЭАЭ, стенозах после лучевой терапии (класс 4, GCP)
Критерии отбора пациентов для первичной и вторичной профилактики инсульта ► ► ► Транзиторные ишемические атаки. Перенесенный мозговой инсульт без грубого двигательного дефицита. Хронические цереброваскулярные заболевания. Стенозирующий атеросклероз брахиоцефальных артерий (отбор на реконструктивные операции, наблюдение). Отбор пациентов для проведения церебральной ангиографии.
Первичная профилактика ► Снижение артериального давления (ингибиторы АПФ) ► Коррекция сахарного диабета ► Отказ от курения ► Снижение уровня холестерина (статины) ► Больным с фибрилляцией предсердий при невозможности восстановления синусового ритма назначают антикоагулянты (контроль МНО на уровне 1, 8 – 2, 5) ► Назначение антиагрегантов ► УЗДГ брахицефальных артерий (при
Вторичная профилактика ► Постоянный прием антиагрегантов или антикоагулянтов (МНО 2, 0 – 3, 0) ► Купирование артериальной гипертензии (диуретики, бета-блокаторы, ингибиторы АПФ, блокаторы кальциевых каналов) ► Статины для снижения концентрации холестерина ► Оптимизация глюкозы крови ► Отказ от вредных привычек ► Антидепрессанты ► Эндартерэктомия при гемодинамически значимых стенозах сонных артерий ► Формирование самообслуживания и
Особенности диагностики ДЭ. МКБ 10. ► ► ► Больные, обычно рассматриваемые врачами, как дисциркуляция в ВББ или дисциркуляторная энцефалопатия в ВББ при кодировке согласно МКБ 10 будут разделяться на следующие категории 1. - Код: I 67. 8 Другие уточненные поражения сосудов головного мозга - Клинич. диагноз - Дисциркуляторная энцефалопатия, дисциркуляция в ВББ Это лица с убедительными признаками страдания позвоночных артерий: деформации остеофитами, петли, сдавление мышцами, мембранами, септальные стенозы и т. д. При этом клинические проявления носят постоянный характер, а причиной госпитализации служит декомпенсация общих проявлений: слабость, тревожность, «туман» в глазах, дрожание, чувство дурноты.
2. - Код G 45. 0 Вертебробазилярный артериальный синдром ► - Клинич. диагноз ПНМК (ТИА) в вертебробазилярной системе ► Устанавливается при наличие эпизода (объективно зарегистрированного или анамнестически): ► 1. косоглазия (двоения), прозопареза, бульбарных проявлений, альтернации, гемианопсии ► 2. четкого эпизода вестибулярного головокружения, проявляющегося латерализованным нистагмом ►
► 3. - I 67. 4 Гипертензивная энцефалопатия ► - Клинич. диагноз - дисциркуляция в ВББ ► Острый эпизод сосудистый эпизод с ощущением недомогания, тошноты, общей неустойчивости (невестибулярные головокружения), реализующийся, как правило, на фоне артериальной гипертензии.
► 4. - Код М 54. 2 Цервикалгия ► - Клинич. диагноз - Цервикалгия, цервико-краниалгия ► Лица у которых ведущим является алгический синдром в области надплечий и затылка преимущественно миофасциального генеза, без убедительных радикулопатий. При этом может присутствовать дополнительное ощущение легкой дурноты, неустойчивости и т. д.
► 5. ► - Код М 53. 0 Шейно-черепной синдром - Клинич. диагноз Цервикокраниалгия, миофасциальный синдром надплечий с отраженныеми цефалгиями, (устар. Синдром позвон. артерии, заднеешейный симпатический снидром). Лица с доминированием краниалгического компонента, тяжесть в затылке и надплечьях, боль в висках, лобной области, глазах, позиционное головокружение из-за миофасциального синдрома в кивательной мышце
Спасибо за внимание Здоровья и успехов Вам и Вашим пациентам!


