опухоли.pptx
- Количество слайдов: 62
Дифференциальная диагностика опухолей легких и средостения Миронец Н. В. 652 группа
Рак легкого Более 2 млн. человек в мире умирает от рака легкого ежегодно В течение последних десяти лет в Беларуси раком легкого заболевало 4 200 – 4 400 человек в год.
• Раку легкого предшествует продолжительный латентный период. • Начальные изменения в бронхах возникают практически сразу после контакта с канцерогеном.
Патанатомия • Чаще всего в легком развиваются первичные эпителиальные злокачественные опухоли (95%) • Все виды рака легкого происходят из эпителия слизистой бронхов и бронхиол, кроме бронхиолоальвеолярных карцином, которые развиваются из пневмоцитов.
Классификация опухолей и опухолеподобных заболеваний лёгких • • • I. Эпителиальные опухоли II. Опухоли мягких тканей III. Мезотелиальные опухоли IV. Другие типы опухолей V. Вторичные (метастатические) опухоли VI. Опухолеподобные поражения
Эпителиальные опухоли А. Доброкачественные • Аденома и папиллома • Обычно локализуются в трахее и крупных бронхах, растут экзофитно, медленно. • Могут подвергаться малигнизации.
Эпителиальные опухоли Б. Дисплазия • Дисплазия расценивается как внутриэпителиальный прединвазивный рак (карцинома in situ). Клинически не проявляется, выявляется во время бронхоскопии.
Эпителиальные опухоли В. Злокачественные опухоли • Плоскоклеточный рак происходит из метаплазированного бронхиального эпителия. Это наиболее частый гистологический вариант заболевания. Его особенность - склонность к спонтанному распаду. • Мелкоклеточный рак легкого развивается из нейроэктодермальных клеток Кульчицкого, расположенных в базальном слое бронхиального эпителия. Это самая злокачественная разновидность легочного рака, характеризующаяся интенсивным метастазированием и высокой метаболической активностью.
• Аденокарцинома обычно располагается субплеврально в периферических отделах легкого. Развивается из железистых клеток слизистой бронха или из рубцовой ткани после перенесенного туберкулеза. Протекает более агрессивно, чем плоскоклеточный рак. Интенсивно метастазирует в регионарные лимфоузлы, кости и головной мозг, образует имплантационные метастазы, часто сопровождается злокачественным плевритом. • Бронхиолоальвеолярный рак возникает из пневмоцитов, всегда расположен в легочной паренхиме и не связан с бронхом. Выделяют две разновидности этой опухоли: солитарную (60%) и мультицентрическую (40%). • Крупноклеточный рак считается недифференцированным с высокой потенциальной злокачественностью. Существует два варианта крупноклеточных карцином: гигантоклеточный и светлоклеточный рак.
• Железисто-плоскоклеточный рак состоит из железистых и эпидермоидных элементов, встречается редко. • Карциноид – нейроэндокринная злокачественная опухоль, развивающаяся из клеток Кульчицкого. Особенность этих новообразований состоит в способности к секреции биологически активных веществ: серотонина, кальцитонина, гастрина, соматостатина и АКТГ.
• Типичный карциноид (тип I) характеризуется медленным развитием, метастазирует редко. Основной тип роста – эндобронхиальный. Наиболее частая локализация (более 80%) – долевые и главные бронхи. • Атипичные карциноидные опухоли (тип II) составляют около 20% от общего количества карциноидов. Обычно эти новообразования периферические.
• Рак бронхиальных желез – редкая опухоль. Гистологически выделяют мукоэпидермоидную и аденокистозную карциномы. • Мукоэпидермоидный рак обычно возникает в крупных бронхах и значительно реже в трахее. В большинстве случаев опухоль растет экзофитно. • Аденокистозный рак (цилиндрома) развивается преимущественно в трахее (90%), растет вдоль ее стенки, инфильтрируя подслизистый слой на большом протяжении. Опухоль характеризуется высоким инвазивным потенциалом, но метастазирует редко.
Опухоли мягких тканей • Фиброма легкого - доброкачественная опухоль, которая никогда не подвергается малигнизации. • Лейомиома развивается из гладкой мускулатуры бронхиальной стенки, бывает множественной, располагается как на периферии, так и в крупных бронхах. • Гемангиоперицитома – сосудистое новообразование, доброкачественное или чаще злокачественное, обладающее высоким потенциалом к рецидивированию, инвазивному росту и гематогенному распространению.
• Липома встречается редко, практически всегда локализуется в крупных бронхах с подслизистым эндобронхиальным ростом. • Шваннома (неврилеммома) может быть доброкачественной и злокачественной. • Нейрофиброма легкого - доброкачественная, медленно растущая периферическая опухоль из нервной ткани.
Мезотелиальные опухоли • Из висцеральной плевры - злокачественная мезотелиома ( узловая или диффузная). • Инвазивный рост и метастазирование во внутригрудные лимфатические узлы. • Опухоль часто прорастает соседние с легким структуры грудной полости (ребра, перикард, сердце, крупные сосуды и сопровождается злокачественным плевритом).
Другие типы опухолей • Карциносаркома – эта опухоль состоит из двух компонентов: эпителиального и мезенхимального, характеризуется плохим прогнозом. Возникает обычно у мужчин в возрасте старше 40 лет. • Легочная бластома – редкая злокачественная опухоль, развивающаяся из незрелой эмбриональной ткани (примерно 25% легочных бластом зарегистрировано у детей). • Злокачественная лимфома. В большинстве случаев лимфома в легком развивается вторично при прогрессировании системного процесса.
Вторичные (метастатические) опухоли • Гематогенные метастазы рака молочной и щитовидной железы, опухолей ЖКТ, почки, меланомы, сарком костей и мягких тканей. Метастазы бывают солитарными и множественными, милиарными и очаговыми, односторонними и двусторонними. • Для вторичных злокачественных опухолей характерна субплевральная периферическая локализация. • В 90 -97% легочные метастазы бывают множественными. Примерно в 4 -5% они подвергаются спонтанному некрозу.
Опухолеподобные образования • Гамартома представляет собой плотный дольчатый узел, состоящий из хрящевой и соединительной ткани. Капсула отсутствует. • Опухолька (Tumorlet) - мелкоочаговая (до 4 мм в диаметре) одиночная или чаще множественная пролиферация нейроэндокринных клеток в периферических отделах легкого. Наблюдается при бронхоэктазах, бронхиальной астме и легочной гипертензии. • Склерозирующая гемангиома – заболевание неясной этиологии, характеризующееся пролиферацией альвеолярных перегородок. • Эозинофильная гранулема – представляет собой вариант гистиоцитоза X, этиология которого остается неизвестной. В легком появляются мелкие узловые инфильтраты, одно- или двусторонние. Впоследствии формируются очаги фиброза с образованием кист. Указанным процессам обычно сопутствуют изменения в костях, несахарный диабет и экзофтальм. • Воспалительная псевдоопухоль – узловое периферическое образование, однородное или с полостями деструкции, представляющее собой исход неспецифического воспалительного процесса.
Выделяют три формы рака легкого: • Центральный (эндобронхиальный, перибронхиальный, смешанный) • Периферический (шаровидная, пневмониеподобная, полостная формы) • атипические формы (медиастинальный, верхушки, первичный канцероматоз)
Центральный рак
Долевой ателектаз
Периферический рак
Шаровидная форма
Полостная форма
Атипические формы
Клиника 1. Первичные (местные) симптомы 2. Симптомы (синдромы) местно распространенного рака 3. Симптомы отдаленных метастазов 4. Паранеопластические симптомы (синдромы)
Диагностика • • • Обязательные методы диагностики Рентгенография в 2 -х проекциях Томография для изучения состояния бронхиального дерева Томограмма периферической тени в легком Контрастирование пищевода Бронхоскопия
Уточняющая диагностика • • • Компьютерная (ЯМР) томография ПЭТ Остеосцинтиграфия УЗИ ОБП МРТ-позвоночника Ангиография Медиастиноскопия (томия) Лапароскопия Биопсия лимфоузлов Стернальная пункция
Аденокарцинома 25 -30% всех случаев немелкоклеточного рака. Солитарное периферическое образование (редко – в крупных бронхах). Размеры небольшие (менее 4 см). Округлая или овальная форма. Относительно четкие и ровные контуры. Обызвествления – 4 -6% случаев. Метастазы: ЛУ корня легкого у 20% больных на момент выявления.
Плоскоклеточный рак 20 -25% всех случаев немелкоклеточного рака. Медленно растущая опухоль. Размеры различные (. . . мм до 8 -10 см). Чаще поражаются крупные бронхи. Ателектаз, обтурационный пневмонит при центрально расположенных опухолях. Распад опухоли – 10 -20%. Метастазы: ЛУ, кости, надпочечники.
Крупноклеточный рак 10 -20% всех случаев немелкоклеточного рака. Периферическое образование Обычно крупных размеров (в среднем 7 см) Нечеткие размытые контуры Кальцификация и полости распада – редко Быстрый рост Обширное лимфогенное и гематогенное метастазирование.
Мелкоклеточный рак 20 -25% всех случаев рака. Предположительно возникает из нейроэндокринных клеток, продуцирующих гормоны. Большинство опухолей локализуется в крупных бронхах. Ранняя инвазия в средостение, сдавление крупных бронхов и сосудов. Наличие плеврального выпота. Редко – периферические опухоли в сочетании с увеличением ЛУ.
Опухоли средостения
Средостение - это пространство, ограниченное латерально медиастинальной плеврой, спереди грудиной, сзади позвоночником, снизу диафрагмой, сверху условной горизонтальной плоскостью, проведенной через грудино-ключичные сочленения над яремной вырезкой грудины.
• Верхнее: дуга аорты и её ветви, часть верхней полой вены, плечеголовные вены, трахея, верхняя часть пищевода, вилочковая железа (тимус), грудной лимфатический проток, паратрахеальные лимфатические узлы, верхняя часть диафрагмального нерва и левый возвратный нерв. • Переднее: вилочковая железа (тимус) и жировая клетчатка. • Среднее: сердце и перикард, нижнюю половину верхней полой вены, непарную вену, бифуркацию трахеи, аорту (восходящая часть) диафрагмальные нервы, трахеобронхиальные и бифуркационные лимфатические узлы. • Заднее: нисходящая аорта, непарная и полунепарная вены, нижняя часть грудного лимфатического протока и пищевод.
• 80% новообразований заднего средостения имеют нейрогенное происхождение, а в переднем отделе чаще всего встречаются тимомы и тератомы. Загрудинный зоб обычно располагается в верхнем средостении, а типичной локализацией перикардиальных кист является кардиодиафрагмальный синус - т. е. средний отдел средостения.
Клинические признаки новообразований средостения состоят из: • симптомов сдавления или прорастания опухоли в соседние органы и ткани; • общих проявлений заболевания; • специфических симптомов, характерных для различных новообразований.
Клинические признаки новообразований средостения • • • БОЛЬ В ГРУДИ – 29 % ДИСПНОЭ – 22 % КАШЕЛЬ – 18 % ЛИХОРАДКА – 13 % ПОТЕРЯ ВЕСА – 9 % СИНДРОМ ВЕРХНЕЙ ПОЛОЙ ВЕНЫ – 8 % МИАСТЕНИЯ – 7 % УТОМЛЯЕМОСТЬ – 6 % ДИСФАГИЯ – 4 % ГИПЕРГИДРОЗ – 3 % ГИПЕРТИРЕОЗ ГИПЕРПАРАТИРЕОЗ ГИПЕРКАЛЬЦИЕМИЯ
Диагностика медиастинальных новообразований • АНАМНЕЗ • ФИЗИКАЛЬНЫЕ ИССЛЕДОВАНИЯ • РЕНТГЕНОСКОПИЯ • РЕНТГЕНОГРАФИЯ • • • КОНТРАСТНОЕ ИССЛЕДОВАНИЕ ПИЩЕВОДА И ЖЕЛУДКА АНГИОГРАФИЯ КТ и МРТ ЭЗОФАГОГАСТРОСКОПИЯ БРОНХОСКОПИЯ ТРАНСТОРАКАЛЬНАЯ БИОПСИЯ МЕДИАСТИНОСКОПИЯ ВИДЕОТОРАКОСКОПИЯ ТОРАКОТОМИЯ
Тимомы (опухолевые образования вилочковой железы) Различают опухоли, исходящие из мозгового и коркового слоев тимуса: • эпителиоидная тимома • лимфоидная тимома. Кроме того, выделяют гиперплазию и задержку инволюции вилочковой железы. По степени дифференцировки клеток тимомы могут быть доброкачественными и злокачественными. Однако, понятие «доброкачественная тимома» весьма условно, так как в ряде случаев те опухоли, которые при гистологическом исследовании расцениваются как доброкачественные, нередко имеют тенденцию к инфильтративному росту, метастазированию и дают рецидивы после их удаления. Типичное расположение тимом - в переднем отделе верхнего средостения. Размеры опухоли варьируют, но преобладают небольшие. Так называемые липотимомы (тимолипомы) состоят из элементов вилочковой железы и жировой ткани долек железы.
Клиническая картина 40 -50% - бессимптомно; Обычно опухоль случайно выявляется во время профилактического рентгенологического обследования или в связи с появлением симптомов • сдавления органов переднего средостения. При значительном сдавлении появляются: • чувство стеснения за грудиной, • боль, • одышка, • набухание шейных вен, • одутловатость лица, • цианоз лица. У детей особенно выражены респираторные нарушения вследствие сдавления относительно узкой, податливой трахеи.
Семиотика доброкачественных тимом • Локализуется асимметрично в среднем этаже переднего средостения • При глотании не смещается • Форма овоидная, неправильно шаровидная, грушевидная • Сплющена в передне-заднем размере, прижата к грудине • Поверхность бугристая, контуры четкие • Структура однородная, известковые включения встречаются крайне редко • Отграничена капсулой
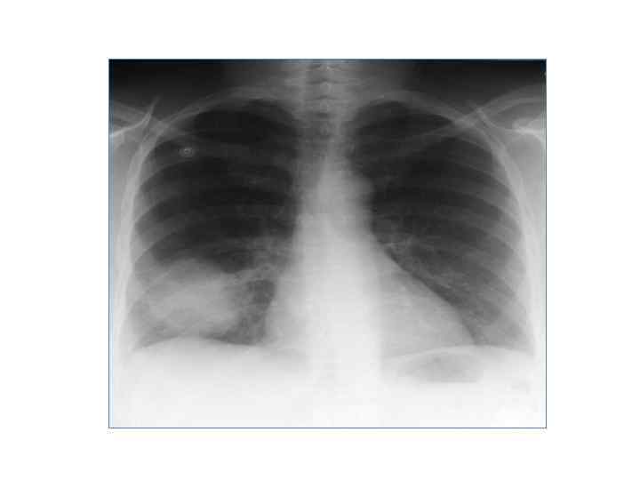
Тимома
Тимома
Семиотика злокачественных тимом • Чаще двустороннее, но м. б. и одностороннее расположение • Поверхность бугристая, контуры нечеткие • При инфильтративном росте прорастает в плевру и легкие, реже в грудину и грудную стенку спереди • При больших размерах может сдавливать трахею и крупные сосуды, редко их прорастает • Структура опухоли неоднородна, видны очаги распада
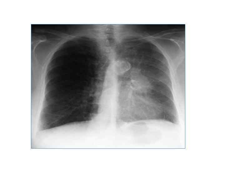
Злокачественная тимома
Злокачественная тимома Метастазы на плевре
Рентгенологические признаки загрудинного зоба • Асимметричное , неправильной формы образование • Структура однородная, нередко видны известковые включения • Наружные контуры гладкие, выпуклые • Тесно связан с трахеей, отклоняет и суживает ее • При глотании и кашле смещается вверх • Малигнизация отмечается 1 -17% случаев • Контуры при малигнизации становятся нечеткими • При радионуклидном исследовании отмечается накопление РФП ( J -131)
Внутригрудной зоб
Нейрогенные опухоли • Могут происходить из всех нервных элементов средостения, но наиболее часто из пограничного симпатического ствола, корешков, оболочек спинного мозга, межреберных, блуждающего, диафрагмального, возвратного нервов. • Характерным клиническим симптомом является тупая, ноющая боль в груди и спине. • Дисфагия отмечается очень редко. • Чаще обнаруживается сколиоз. • При опухолях в виде песочных часов - радикулярные боли, парезы, параличи.
Семиотика нейрогенных опухолей • Полуокруглое или полуовальное образование • Располагаются паравертебрально, широким основанием примыкают к позвоночнику, • не отводится от позвоночника. • Контуры четкие, ровные иногда волнистые. • Структура однородная. • Большие опухоли могут сдавливать, смещать соседние органы, узурировать и разрушать прилежащие ребра и позвонки.
Нейрогенная опухоль
Лимфомы • Лимфомы встречаются в 35% больных с опухолями средостения и у 20 -25% больных со всеми злокачественными новообразованиями средостения. • Заболевают обычно лица молодого и среднего возраста. • Первоначально опухоль развивается в одном или нескольких лимфатических узлах с последующим распространением на соседние. Наиболее частая локализация лимфом - переднее средостение. В метастатический опухолевый процесс, помимо лимфатических узлов, вовлекаются печень, костный мозг, селезенка, кожа, легкие и другие органы.
Симптомы лимфом • • • Кожный зуд Потливость (особенно ночная) Слабость Повышение температуры тела Потеря веса Нарушения пищеварения
Рентгенологические и КТ признаки увеличения лимфатических узлов при злокачественных опухолях • Увеличение лимфатических узлов - одностороннее или двустороннее • Контуры срединной тени четкие, полициклические, иногда выявляется симптом «кулис» • На томограммах отсутствует изображение тени непарной вены • Ретростернальное пространство сужено • В лимфатических узлах могут возникать участки обызвествления • При радионуклидном исследовании повышенное накопление РФП
Лимфома Ходжкина
• • Рентгенологические и КТ признаки увеличения л. у. при злокачественных лимфомах Степень увеличения лимфатических узлов может быть массивной МТИ=>0, 33 МТИ - один из факторов определяющих прогноз заболевания. МТИ > 1/3 - плохой прогноз Узлы с нечеткими контурам, сливаются в конгломераты Диффузно инфильтрируют клетчатку средостения Опухоль может распространяться на прилежащие отделы легочной ткани, трахею, крупные сосуды, медиастинальную плевру, перикард Просветы крупных бронхов сужены В плевральных полостях иногда накапливается выпот.
Врастание опухоли в перикард


