Дифференциальная диагностика кариеса и некариозных поражений твердых тканей









































































171-differencialynaya_diagnostika_kariesa_i_nekarioznyh.pptx
- Количество слайдов: 74
Дифференциальная диагностика кариеса и некариозных поражений твердых тканей зубов Лектор: доцент кафедры терапевтической стоматологии с курсом ИДПО Шамсиев М.Р.
Классификации кариеса I. Клиническая, топографическая. ІІ. По локализации. ІІІ. По течению. ІV. По интенсивности поражения. V. Анатомическая классификация (ВОЗ, МКБ-10). VІ. По наличию осложнений.
Клинико-топографическая
Классификация кариеса Начальный кариес (кариес в стадии пятна); Поверхностный кариес; Средний кариес; Глубокий кариес.
Классификация по локализации: Фиссурный кариес. Контактный (апроксимальный) кариес. Пришеечный (цервикальный) кариес. Циркулярный (кольцевой) кариес.
Классификация по локализации:
Анатомическая классификация (ВОЗ): Кариес эмали. Кариес дентина. Кариес цемента.
Анатомическая классификация
Классификация кариеса МКБ-10 К02.0 Кариес эмали К02.1 Кариес дентина К02.2 Кариес цемента К02.3 Приостановившейся кариес зубов К.02.3 Одонтоклазия Детская меланодентия Меланодонтоклазия К02.8 Другой кариес зубов К02.9 Кариес зубов неуточнённый
Классификация кариозных полостей по Блеку 1 класс – полости, расположенные в области фиссур и естественных углублений (например, слепая ямка верхних латеральных резцов); 2 класс – полости, расположенные на контактных поверхностях моляров и премоляров; 3 класс – полости, расположенные на контактных поверхностях резцов и клыков при сохранении режущего края; 4 класс – полости, расположенные на контактных поверхностях резцов и клыков с нарушением углов и режущего края коронки; 5 класс – полости на губных, щёчных и язычных поверхностях, расположенных в придесневой части коронки. В последнее время выделяют 6 класс, который не описал Блек, это полости, расположенные на буграх моляров и премоляров и на режущем крае резцов и клыков
Первый класс
Второй класс
Третий класс
Четвертый класс
Пятый класс
Шестой класс
По наличию осложнений: неосложненный, кариес осложненный кариес (так принято называть пульпит и периодонтит, которые являются воспалительными заболеваниями, возникающими вследствие прогрессирования кариозного процесса)
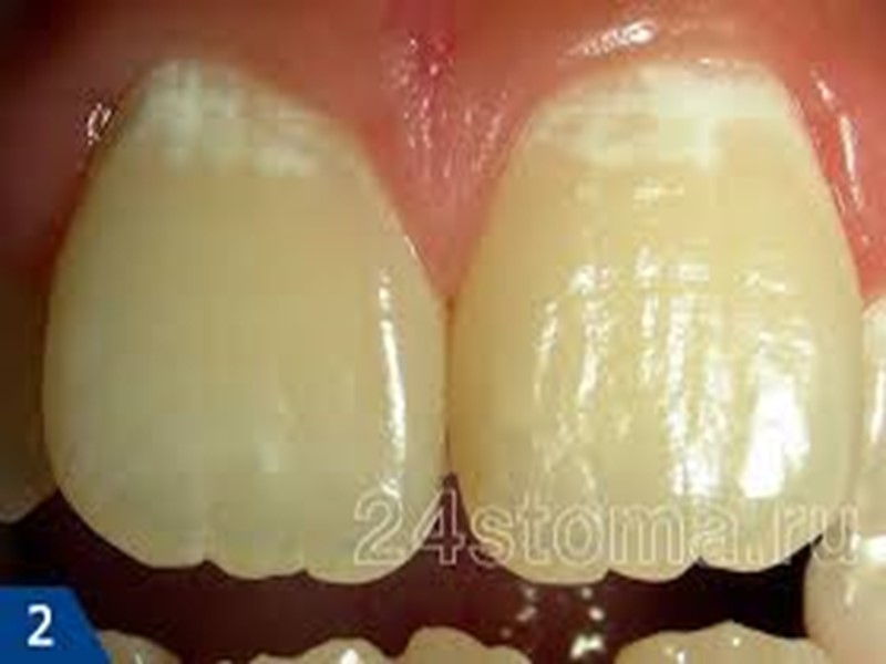
Клинические проявления кариеса зубов Кариес в стадии пятна (macula cariosa). Жалобы на боль, как правило, отсутствуют. В области пятна в отдельных случаях может появиться ощущение повышенной чувствительности к химическим раздражителям (кислое, соленое, сладкое). Если белое или пигментированное пятно расположено на вестибулярной поверхности фронтальной группы, то пациент может предъявлять жалобы эстетического порядка.
Диагностика начального кариеса Объективно: на поверхности эмали видно чаще одиночное меловое или пигментированное пятно диаметром 3-5 мм. Наиболее часто кариозные поражения локализуются в естественных углублениях зуба (фиссурах), контактных поверхностях, в пришеечной области.
Диагностика начального кариеса Для диагностики кариозного пятна предлагается использовать метод высушивания пораженной поверхности эмали. На высушенной поверхности зуба более четко выявляется меловое пятно.
Диагностика начального кариеса Метод витального окрашивания основан на свойстве сорбировать красители типа метиленового синего, фуксина за счет увеличения проницаемости в очаге деминерализации. Методика заключается в очищении исследуемой поверхности зуба от пищевого и бактериального налета и высушивании этой поверхности. После этого на 3 минуты путем аппликации наносят 2% водный раствор метиленового синего, промывают водой, затем оценивают интенсивность окрашивания очага поражения. Различают легкую, среднюю и высокую степень окраски, что находится в прямой зависимости от степени деминерализации эмали в результате кариозного поражения.
Диагностика начального кариеса Метод люминесцентной диагностики основан на способности тканей под воздействием ультрафиолетовых лучей изменять свой естественный цвет. Исследование проводят в затемненной комнате. На высушенную поверхность зубов направляют пучок УФ лучей из люминесцентного осветителя (ОЛД -41) с расстояния 20 – 30 см. Здоровые ткани зуба флюоресцируют снежно-белым, голубоватым свечением. В области кариозного пятна отмечается гашение люминесценции.
Диагностика начального кариеса Для обнаружения «скрытых» кариозных поражений зубов, локализующихся на контактных поверхностях коронок или в области фиссур жевательной поверхности, применяется методика трансиллюминации с использованием галогеновой лампы лазерная диагностика с использованием аппарата «Диагнодент», разработанный немецкой фирмой KaVo.
Аппарат «Диагнодент» Используется для диагностики начального кариеса в тех случаях, когда его трудно определить визуально (например, очаги деминерализации расположены на контактных поверхностях зубов или в области фиссур жевательной поверхности).
Аппарат «Диагнодент» Уровень изменений, происходящих в ткани, отражается на дисплее прибора в виде цифровых показателей и сопровождается звуковым сигналом. Прибор позволяет выявить труднодоступные для диагностики зоны деминерализации, фиссурный кариес, процесс на апроксимальных поверхностях, уровень некротомии при оперативном препарировании полости. Действие прибора не вызывает никаких неприятных ощущений у больного. Визуальное обследование эмали с помощью зубоврачебного зонда дает возможность выявления кариеса и постановки правильного диагноза в 56-58 % случаев, панорамная рентгенография – в 67 % случаев, обследование с помощью диагностического аппарата фирмы KaVo – в 90 % случаев.
лазерный прибор DIAGNOdent с насадками
Начальный кариес В очаге деминерализации отмечается снижение содержания кальция, фосфора, фтора и других минеральных веществ. По данным исследователей, потеря кальция в центре очага кариозного поражения достигает 20-30%. С увеличением размера кариозного пятна повышается степень деминерализации эмали.
Начальный кариес Во всех зонах очага деминерализации кристаллы гидроксиапатита претерпевают те или иные изменения: ослабление межкристаллических связей; изменение формы кристаллов и их размеров; уменьшение микротвердости эмали в участке белого и пигментированного пятен, причем микротвердость наружного слоя изменяется меньше, чем подповерхностного.
Начальный кариес В наружном слое эмали изменения выражены меньше, благодаря постоянному процессу реминерализации, а также структурной особенности наружного слоя эмали зуба. Об этом свидетельствуют минимальные изменения микротвердости наружного слоя эмали по сравнению с подповерхностными.
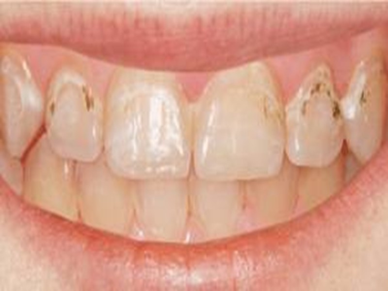
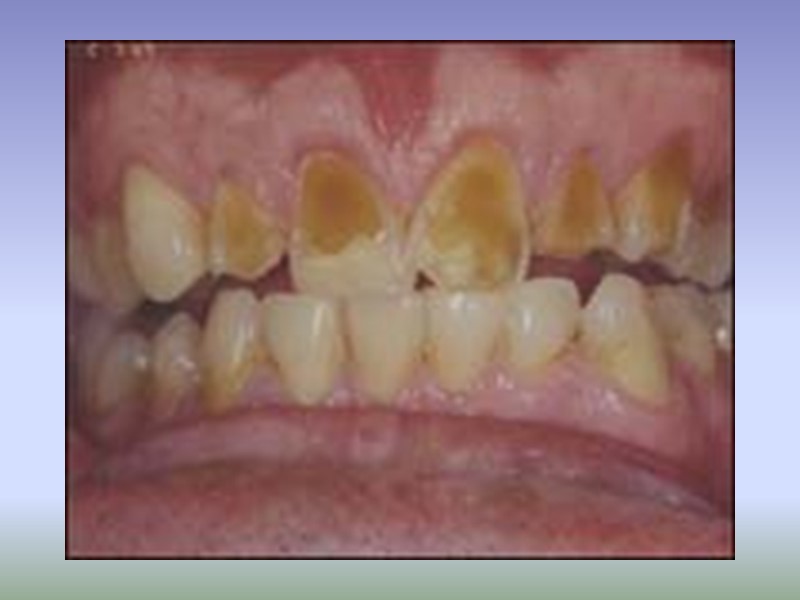
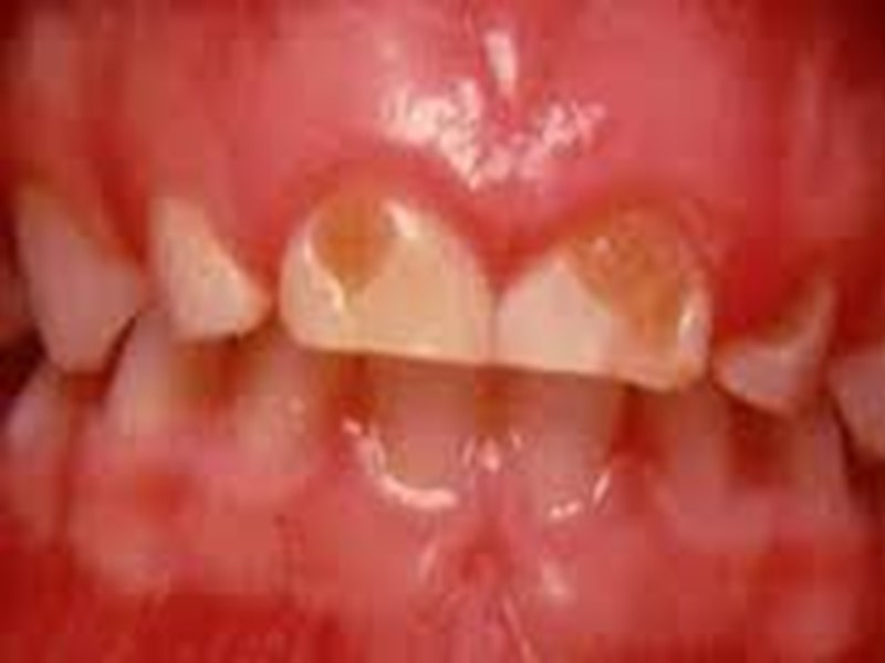
Начальный кариес дифференцируют: флюорозом (пятнистой формой) системной гипоплазией (пятнистой формой) местной гипоплазией (пятнистой формой).
Дифференциальная диагностика кариеса в стадии пятна с гипоплазией и флюорозом Общее: наличие пятен на эмали, эстетический дефект
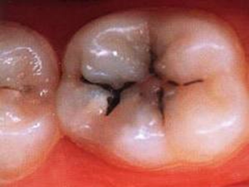
Поверхностный кариес (caries superficialis). жалобы на кратковременную боль от химических раздражителей (сладкого, соленого, кислого) температурные раздражители редко вызывают боль может протекать бессимптомно.
Поверхностный кариес (caries superficialis). При объективном исследовании обнаруживается кариозная полость в пределах эмали с неровными шероховатыми стенками и дном. Зондирование дефекта эмали может быть болезненно, зонд погружается в размягченную эмаль на незначительную глубину. Пульпа зуба при поверхностном кариесе реагирует на ток силой 2— 6 мкА.
Поверхностный кариес дифференцируют с: Системной гипоплазией (бороздчатая форма) Флюорозом (эрозивная форма) Эрозией эмали Клиновидным дефектом Кислотным некрозом
Дифференциальная диагностика поверхностного кариеса с гипоплазией и флюорозом Общее: наличие дефекта твердых тканей в пределах эмали, эстетический дефект
Дифференциальная диагностика поверхностного кариеса с эрозией эмали и клиновидным дефектом Общее: - жалобы на эстетический дефект; - кратковременные боли от химических, термических раздражителей; - возникновение после прорезывания зуба; - прогрессирующее течение; - наличие дефекта твердых тканей зуба в пределах эмали; - болезненное зондирование.
Дифференциальная диагностика поверхностного кариеса с некрозом эмали Общее: 1. жалобы на эстетический дефект; 2. кратковременные боли от химических раздражителей; 3. возникновение после прорезывания зуба; 4. прогрессирующее течение; 5. наличие дефекта твердых тканей зуба в пределах эмали.
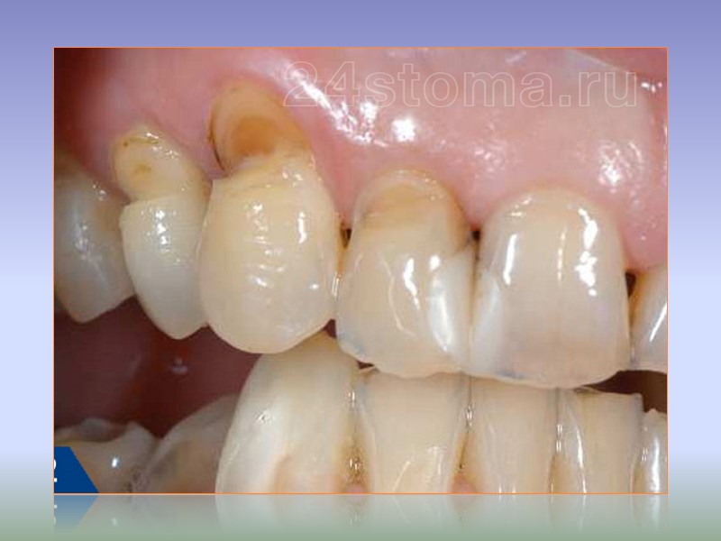
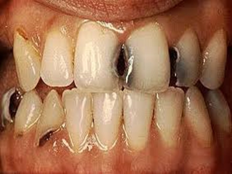
Дифференциальная диагностика среднего кариеса Средний кариес дифференцируют с: 1. поверхностным кариесом; 2. глубоким кариесом; 3. клиновидным дефектом; 4. эрозией твердых тканей; 5. некрозом твердых тканей зуба; 6. хроническим периодонтитом.
Дифференциальная диагностика поверхностного, среднего и глубокого кариеса Общее: 1. жалобы на боли от раздражителей, быстропроходящие после их устранения; 2. причина возникновения - зубная бляшка, локальное снижение рН; 3. возникает после прорезывания, содержание фтора в питьевой воде меньше 0,8-1 мг/л; 4. поражаются молочные и постоянные зубы; 5. прогрессирует, осложняется пульпитом и периодонтитом; 6. локализация, характерная для кариеса; 7. кариозная полость не сообщается с полостью зуба; 8. перкуссия безболезненна; 9. термодиагностика: возникает быстропроходящая боль на температурный раздражитель; 10. на рентгенограмме: кариозная полость не сообщается с полостью зуба, в периапикальных тканях изменений нет.
Дифференциальная диагностика глубокого кариеса Глубокий кариес дифференцируют с: - средним кариесом; - острым очаговым пульпитом; - хроническим фиброзным пульпитом.
Дифференциальная диагностика глубокого кариеса и острого очагового пульпита Общее: - боли от всех видов раздражителей, боли локальные; - глубокая кариозная полость не сообщается с полостью зуба; - болезненность при зондировании; - перкуссия безболезненная; - изменений в периапикальных тканях нет

