Диагноз и дифференциальный диагноз псориатического артрита. Выполнила ординатор

























168-diagnoz_i_differencialynyy_diagnoz.pptx
- Количество слайдов: 26
Диагноз и дифференциальный диагноз псориатического артрита. Выполнила ординатор кафедры кожных и венерических болезней Марченко Елена Викторовна 2015 г
Диагностические критерии псориатического артрита Э.Р. Агабабова и соавт. 1989 г Диагностические критерии: псориаз: - псориатические высыпания на коже +5 - псориаз ногтевых пластинок +2 - псориаз кожи у близких родственников +1 артрит дистальных межфаланговых суставов пальцев кистей +5 артрит трех суставов одного и того же пальца кисти (осевое поражение) +5 разнонаправленные подвывихи пальцев рук +4 асимметричный хронический артрит +2 багрово-синюшное окрашивание кожи над пораженными суставами со слабой пальпаторной болезненностью +5
Диагностические критерии псориатического артрита (продолжение) "сосискообразная" дефигурация пальцев стоп +3 параллелизм течения кожного и суставного синдромов +4 боль и утренняя скованность в любом отделе позвоночника, сохраняющиеся на протяжении 3 мес. +1 серонегативность по ревматоидному фактору +2 акральный остеолиз +5 анкилоз дистальных межфаланговых суставов кистей и/или плюснефаланговых суставов +5 рентгенологические признаки определенного сакроилеита +2 синдесмофиты или паравертебральные оссификаты +4
Критерии исключения псориатического артрита отсутствие псориаза -5 серопозитивность по ревматоидному фактору -5 ревматоидные узелки -5 тофусы -5 тесная связь суставного синдрома с кишечной или урогенитальной инфекцией -5
При сумме баллов 16 - псориатический артрит классический; 11 - 15 - псориатический артрит определенный; 8 - 10 - псориатический артрит вероятный; 7 и менее баллов - диагноз псориатического артрита отвергается.
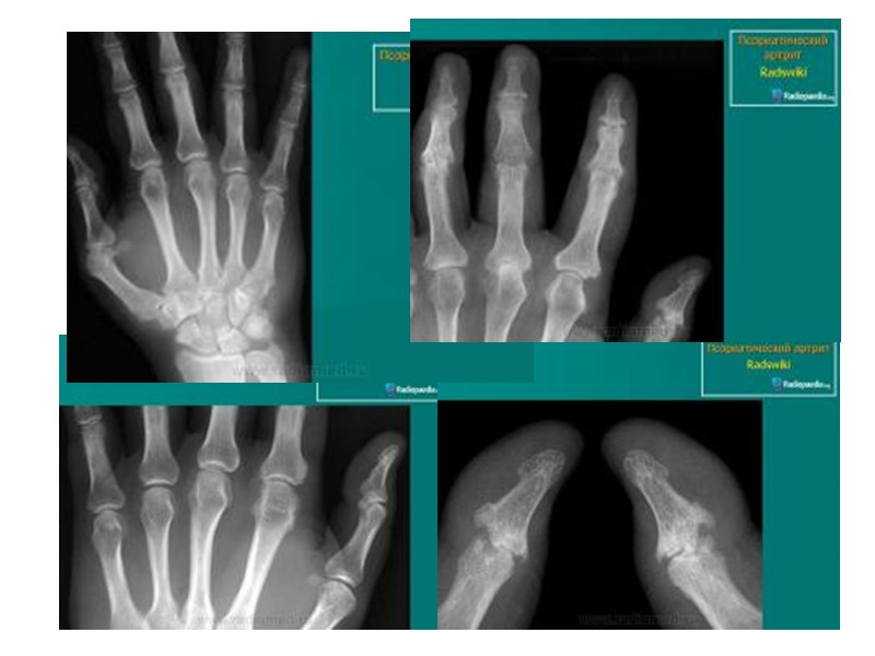
Рентгенологические признаки, помогающие отличить псориатический артрит от других воспалительных ревматических заболеваний суставов: Асимметричность поражения суставов кистей. Артрит на рентгенограммах может быть без околосуставного остеопороза. Изолированное поражение дистальных межфаланговых суставов кистей при отсутствии изменений или небольших изменениях в других мелких суставах кистей. Осевое поражение 3-х суставов одного пальца. Поперечное поражение суставов кистей одного уровня (одностороннее или двухстороннее). Деструкции концевых фаланг (акроостеолиз). Концевое сужение (атрофия) дистальных эпифизов фаланг пальцев рук и пястных костей.
Рентгенологические признаки, помогающие отличить псориатический артрит от других воспалительных ревматических заболеваний суставов (продолжение): Чашеобразная деформация проксимальной части фаланг пальцев кистей вместе с концевым сужением дистальных эпифизов - симптом «карандаш в колпачке» . Костные анкилозы, особенно проксимальных и дистальных межфаланговых суставов кистей. Множественный внутрисуставной остеолиз и деструкции эпифизов костей с разнонаправленными деформациями суставов (мутилирующий артрит). Воспалительные изменения в крестцово-подвздошных суставах -сакроилеиты (обычно двухсторонние асимметричные или односторонние; возможно отсутствие сакроилеита). Изменения в позвоночнике (асимметричные синдесмофиты; паравертебральный оссификат) .
Новая кость сужение суставной щели эрозии Веретенообразная припухлость мягких тканей
Дифференциальный диагноз псориатического артрита проводят с ревматоидным артритом болезнью Рейтера болезнью Бехтерева полиостеоартрозом подагрическим артритом SAPHO-синдромом
С ревматоидным артритом в том случае, когда развитие суставного синдрома опережает кожный синдром. В пользу ПА говорят отсутствие: симметричности поражений суставов, РФ в сыворотке крови и синовиальной жидкости, фагоцитов в синовиальной жидкости и ревматоидных узелков.
Общее с болезнью Рейтера: асимметричный артрит поражение кожи (гиперкератоз ладоней и подошв при болезни Рейтера может быть принят за ладонно-подошвенный псориаз) слизистых оболочек (конъюнктивит и уретрит, характерные для болезни Рейтера, изредка могут наблюдаться у больных псориатическим артритом).
В отличие от болезни Рейтера для ПА характерны: отсутствие хронологической связи с урогенитальной инфекцией быстрая обратная динамика кожных изменений.
Болезнь Бехтерева (ДифДиагноз проводят если при ПА поражен позвоночник) меньшая выраженность болей в позвоночнике и скованности в спине редкое развитие нарушений осанки особенности рентгенологических изменений осевого скелета отсутствие «бамбуковой палки»
Полиостеоартроз следует исключать при поражении дистальных межфаланговых суставов. В пользу ПА говорят: воспалительный характер болей в суставах наличие псориатического поражения ногтей, присутствие лабораторных признаков активности воспалительного процесса и рентгенологических симптомов сакроилеита,характерных для псориатического артрита и отсутствующих при полиостеоартрозе, для которого типичным является боль механического характера.
Подагрический артрит может быть предположен в случае остро развившегося артрита первого плюснефалангового сустава стопы, так как оба заболевания имеют сходную симптоматику: сильная боль в суставе синюшно-багровая окраска кожи над пораженным суставом гиперурикемия. О наличии псориатического артрита свидетельствует распространенность кожного процесса, при котором, как правило, имеется гиперурикемия А для подагры характерны быстрая обратная динамика симптомов артрита наличие микрокристаллов урата натрия в синовиальной жидкости воспаленного сустава.
При SAPHO-синдроме (S - sinovitis, синовит; А - acne, акне; Р - pustulosis, пустулез; Н - hiperostosis, гиперостоз; О - osteitis, остеит) синовит развивается в области суставов передней стенки грудной клетки (грудиноключичных, грудинореберных суставов и сустава рукоятки грудины) и суставах шейного и поясничного отделов позвоночника. В области пораженных суставов часто развивается гиперостоз. Клинически эти изменения проявляются болезненностью и отечностью в области суставов передней грудной стенки и длительными болями в указанных отделах позвоночника. Такие изменения скелета сочетаются с наличием ладонно-подошвенного пустулезного псориаза и множественных угрей, чаще сливных (acne conglobata). Сочетание указанных симптомов отличает SAPHO-синдром от псориатического артрита.

