Абатуров 1ДИСФУНКЦИЯ ЖЕЛЧНОГО ПУЗЫРЯ.ppt
- Количество слайдов: 164
ДИАГНОСТИКА И ЛЕЧЕНИЕ ДИСФУНКЦИИ ЖЕЛЧНОГО ПУЗЫРЯ СФИНКТЕРА ОДДИ У ДЕТЕЙ проф. Абатуров А. Е.
Распространенность заболеваний желчевыделительной системы составляет 294 случаев на 100 000 человек. Доля данных заболеваний в нозологической структуре патологии органов пищеварения колеблется от 25% до 50%.
• По определению D. A. Drossman, Z. Li , E. Andruzzi и соавт. (US householder survey of functional GI disorders: prevalence, sociodemography and health impac, 1993), Е. Corazziari, E. A. Shaffer, W. J. Hogan, S. Sherman, J. Toouli (Functional disorders of the biliary tract and pancreas, 1999), к функциональным заболеваниям билиарной системы относят дисфункцию желчного пузыря и дисфункцию сфинктера Одди.
• Дисфункция желчного пузыря - это нарушение сократительной способности желчного пузыря, которое сопровождается болью по типу желчной колики и ассоциируется с нарушением опорожнения желчного пузыря.
• Дисфункция сфинктера Одди - это нарушение его сократительной способности, которое клинически манифестирует заболеваниями билиарной системы и поджелудочной железы.
Анатомия и физиология желчевыделительных путей • Каждая печеночная клетка участвует в образовании нескольких желчных канальцев. На периферии печеночной дольки желчные канальцы сливаются в собственно желчные протоки, покрытые низким эпителием – внутридольковые протоки, которые, выходя в междольковую соединительную ткань, переходят в междольковые канальцы.
• Далее междольковые протоки, сливаясь, образуют междольковые протоки первого и второго порядка, которые выстланы призматическим эпителием. В стенках протоков появляются трубчатоацинозные слизистые железы, соединительнотканная оболочка, эластические волокна
• Данные протоки, сливаясь, формируют крупные внутрипеченочные протоки, которые в конечном итоге образуют правый и левый печеночные протоки. Последние, сливаясь, образуют общий печеночный проток, где находится сфинктер Мирицци (Miritzi).
СФИНКТЕР ЛЮТКЕНСА СФИНКТЕР МИРИЦЦИ СФИНКТЕР ОДДИ
• После соединения общего печеночного протока и пузырного протока начинается общий желчный проток, являющийся прямым продолжением общего печеночного протока. Ширина протоков колеблется: общего желчного - от 2 до 4 мм, печеночного от 0, 4 до 1, 6 мм, пузырного - от 1, 5 до 3, 2 мм.
• Общий желчный проток в большинстве случаев сливается с протоком поджелудочной железы и впадает в заднюю стенку двенадцатиперстной кишки, открываясь в ее просвет на продольной складке слизистой оболочки, в, так называемом, большом сосочке двенадцатиперстной кишки (ДПК), получившем название Фатерова сосочка (papilla Vateri)
• Высота фатерова сосочка варьирует от 2 мм до 2 см. Место расположения Фатерова сосочка вариабельно, как правило, у взрослых он расположен в 12 -14 см от привратника.
• Дистальный, конечный отдел общего желчного протока охвачен тремя слоями мышц, образующих сфинктер Одди, названный так по имени R. Oddi, описавшего данное мышечное образование в 1887 г.
• Хотя сфинктер холедоха и был впервые описан в 1681 г. Френсисом Глиссоном (Francis Glisson), он был назван по имени Руджеро Одди (Ruggero Oddi), который опубликовал свои подробные морфологические наблюдения о структуре сфинктера в 1887 г. , еще будучи студентом университета Перуджи в Италии.
Френсис Глиссон 1597– 1677
Руджеро Одди
• Сфинктер Одди – это фиброзномышечный футляр, окружающий конечные участки общего желчного и панкреатического протоков в месте их совместного прохождения через стенку ДПК. В большинстве случаев сфинктер Одди имеет Y-образную форму. Гладкомышечные волокна сфинктера располагаются как продольно, так и циркулярно.
• Сфинктер Одди состоит из сфинктера общего желчного протока, сфинктера панкреатического протока и общего сфинктера ампулы (сфинктер Вестфаля).
1. Сфинктер холедоха 2. Сфинктер панкреатическо го протока 3. Сфинктер ампулы большого дуоденального сосочка А, В, С варианты строения ампулы сосочка
• Сфинктер регулирует поступление желчи в кишечник и препятствует забрасыванию дуоденального содержимого в желчные протоки. В зоне сфинктера наблюдается два типа моторной активности: базальное давление и фазовая, периодическая сократительная активность. Базальное давление отвечает за регуляцию оттока секрета из желчных и панкреатических протоков.
• Фазовые сокращения сфинктера Одди накладываются на базальное давление с частотой около 4 в минуту и перемещаются от проксимальных отделов к дистальным (антеградно).
• Желчный пузырь обычно грушевидной формы, прилежит к нижней поверхности печени. В желчном пузыре различают дно, тело и шейку, которая, постепенно суживаясь, переходит в пузырный проток.
• В начальной части пузырного протока имеется 3 -5 поперечных складок (клапаны Хайстера (Highster)), а в шейке пузыря – кольцевой слой мышц – сфинктер Люткенса (Lutkence). Будучи взаимосвязанными, они играют важную роль в функциональном отношении.
• Функция сфинктера Одди тесно взаимосвязана с вегетативной нервной системой. Легкое раздражение блуждающего нерва вызывает повышение тонуса и сокращение желчного пузыря, раскрытие сфинктера Люткенса и расслабление сфинктера Одди, сильное раздражение вызывает спазм как желчного пузыря, так и сфинктера Одди.
• Раздражение симпатического нерва приводит к расслаблению мускулатуры желчного пузыря, общего желчного протока и спазму сфинктера Одди
• Определенную роль в процессе желчеотделения играют гуморальные факторы. Среди них наибольшее значение имеют холецистокинин, образуемые эндокринными клетками слизистой оболочкой ДПК под влиянием желудочного содержимого, ингредиентов пищи и продуктов гидролиза пищевого субстрата, которые стимулируют секрецию эпителиоцитов ДПК, выделение желчи и панкреатического сока.
Контрактильные факторы Субстанция Рецептор Механизм действия Ацетилхолин Мускариновые M 3 >M 2, M 4, M 1 Парасимпатическая система Холецистокинин Эндотелины (ET 1, 2, 3) ERG 1 CCK-1 ETA, ETB, Ether-a-go-go-related gene 1 (ERG 1) protein K(+) channels Эстрогеновые рецепторы индуцируют трансдукцию сигнала с рецептора CCK-1 GRP, NK 2, (NK 3) SP, ET-1, NMB, PACAP-1 H 1, B 2, (B 1), LTD 4 Эстроген GRP, субстанция K, субстанция P, ET-1, BRP Гистамин, брадикинин, простагландины, LTC 4, LTD 4 Мотилин Прямое действие на мышцы Вазоконстрикторный Прямое действие на мышцы NANC нейроэндокринная трансмиссия Медиаторы воспаления Мотилиновые рецепторы (? ) Монооксид азота Активация метаболизма LT Серотониновые рецепторы (? ) Активация L-типа Ca 2+ каналов
Факторы релаксации Субстанция Рецептор Адреналин, норадреналин -адренорецепторы Механизм действия Стимуляция симпатической системы Желчные кислоты CCK рецептор CGRP, PACAP, VIP, NT, PHI CGRP, PACAP-2, VIP 2, NT, PHINANC нейроэндокринная трансмиссия Фактор роста фибробластов 15/19 FGFR 3 Гистамин H 2 Прогестерон Тирозинкиназа и PKA/c. AMP активность Паратирин c. AMP Увеличивает концентрацию c. AMP в стенке желчного пузыря Дозо-зависимый эффект
• К основным же физиологическим эффектам холецистокинина относятся, в первую очередь, ингибирование желудочной секреции, запуск секреции поджелудочной железы и собственно холекинетическое действие на систему желчеотделения
• Физиология желчеотделения в общих чертах сводится к следующему: желчь, вырабатываемая в печени, оттекает во внепеченочные, желчные протоки и желчный пузырь, откуда она попадает в кишечник.
• В желчном пузыре происходит концентрация желчи за счет всасывания воды его слизистой оболочкой
ежедневно у человека непрерывно секретируется 250 -1500 мл желчи ПЕЧЕНОЧНАЯ ЖЕЛЧЬ • Вода - 98% • Соли желчных кислот - 0, 651, 4 г% • Фосфолипиды - 0, 25 г% • Холестерин - 0, 1 -0, 2 г • Билирубин - 12 -140 мг% • • • ПУЗЫРНАЯ ЖЕЛЧЬ Вода - 84% Соли желчных кислот -12 г% Фосфолипиды - 0, 35 г% Холестерин - 0, 3 -1, 6 г% Билирубин - 36 -630 мг% ВАЖНЕЙШИЕ ФУНКЦИИ ЖЕЛЧИ: Эмульгация жиров Стимул. всасывания триглицеридов Активизация липазы Усиление моторики в тонком кишечнике Инактивация пепсина в duodenum Санация кишечной флоры Усиление гидролиза углеводов, белков НЕКОТОРЫЕ ПОСЛЕДСТВИЯ НЕДОСТАТКА ЖЕЛЧНЫХ КИСЛОТ üОбразование холестериновых камней в желчном пузыре üДиарея и стеаторея üНарушение всасывания жирорастворимых витаминов üОбразование камней оксалатов в почках
• В межпищеварительный период градиент давления минимальный, а сфинктер Одди больше работает как заслонка. При застое желчи в желчных путях, вследствие различных патологических причин, желчь продолжает вырабатываться печеночными клетками, но она поступает в кровь и лимфу печени и, далее, в системный кровоток.
• В течение 7 -10 минут после начала приема пищи происходит перестройка желчевыводящей системы на пищеварительную моторику. Данная перестройка происходит в строгой корреляции с моторикой желудка и ДПК, а ее характер зависит от фаз моторики кишки в период, когда начался прием пищи. Чаще всего указанный период состоит из нескольких фаз:
• а) первая стадия первичной реакции желчного пузыря, мышц желчного протока и сфинктера Одди, выражающаяся в исчезновении пиковых потенциалов и сокращении шейки желчного пузыря, продолжительность 1 -3 мин. (данный период иногда может отсутствовать);
• б) вторая стадия первичной реакции – торможение желчевыделительной функции, в которую происходит торможение мышечной активности желчного пузыря, расширение шейки и тела пузыря, сопровождающееся притоком печеночной желчи, при одновременном закрытии сфинктера Одди (спазм сфинктера Одди), продолжительность 3 -6 мин. (иногда может отсутствовать);
• в) латентный период желчного рефлекса, период, в который открывается сфинктер Одди и начинается поступление желчи из холедоха (продолжительностью от нескольких секунд до 10 минут). • Затем начинается основной период эвакуации желчи из желчного пузыря
• Период опорожнения желчного пузыря также неоднороден и осуществляется несколькими чередующимися фазами сокращений и расслаблений. Следует отметить, что активность желчевыводящей системы в ответ на прием пищи, зависит от ее характера.
• Опорожнение желчного пузыря проходит за период от 15 до 225 минут в зависимости от объема и качества пищи. Затухание сократительной деятельности пузыря сопровождается выходом печеночной желчи в ДПК. По окончании пищеварения желчь вновь заполняет желчный пузырь.
Дискинезии желчного пузыря и желчевыводящих путей • Дискинезии желчного пузыря и желчевыводящих путей - это функциональные заболевания, в основе которых лежит несогласованное, несвоевременное, недостаточное или чрезмерное сокращение желчного пузыря и сфинктеров Одди, Люткенса. Мартынова, Мирицци. Однако данная дефиниция уходит в прошлое медицины
РИМСКИЙ КОНСЕНСУС III (2006) КЛАССИФИКАЦИЯ ФУНКЦИОНАЛЬНЫХ РАССТРОЙСТВ СИСТЕМЫ ПИЩЕВАРЕНИЯ A. Функциональные расстройства пищевода … B. Функциональные гастродуоденальные расстройства C. Функциональные расстройства кишечника D. Синдром функциональной абдоминальной боли E. Функциональные расстройства желчного пузыря и сфинктера Одди El. Функциональное расстройство желчного пузыря E 2. Функциональное билиарное расстройство сфинктера Одди E 3. Функциональное панкреатическое расстройство сфинктера Одди F. Функциональные аноректальные расстройства G. Функциональные расстройства: новорожденные H. Функциональные расстройства: дети и подростки МКБ-10 K 82. Другие болезни желчного пузыря K 82. 8. Дискинезии желчного пузыря и желчного протока K 82. 9. Болезнь желчного пузыря неуточненная K 83. Другие болезни желчевыводящих путей K 83. 4. Спазм сфинктера Одди K 83. 8. Другие уточненные болезни желчевыводящих путей K 83. 9. Болезнь желчевыводящих путей неуточненная
РИМСКИЙ КОНСЕНСУС III (2006) • E. Дисфункция желчного пузыря и сфинктера Одди El. Дисфункция желчного пузыря E 2. Дисфункция сфинктера Одди билиарного типа E 3. Дисфункция сфинктера Одди панкреатического типа
Клиника и критерии диагностики • Основным клиническим признаком дисфункции желчного пузыря является характерная боль в области желчного пузыря
E. Дисфункция желчного пузыря и сфинктера Одди • Наличие эпизодов устойчивой боли в области эпигастрия и правом верхнем квадранте, которые характеризуются: 1. Продолжительностью болевого эпизода 30 и более минут 2. Рецидивирующим характером болевых приступов, которые возникают в различное время (и не обязательно ежедневно) 3. Боль постепенно достигает устойчивого уровня 4. Боль различной интенсивности от умеренной до выраженной, которая приводит к прерыванию повседневной деятельности пациента или требует неотложной врачебной помощи
E. Дисфункция желчного пузыря и сфинктера Одди • 5. Отсутствием уменьшения интенсивности боли после акта дефекации, при изменении положения тела и после приема антацидных средств • 6. Отсутствуют другие органические заболнвания, с которыми могли бы быть связаны приступы боли
E. Дисфункция желчного пузыря и сфинктера Одди Вспомогательные критерии 1. Боль ассоциирована с тошнотой и рвотой 2. Боль иррадиирует в область спины и или в правую подлопаточную область 3. Боль приводит к пробуждению во время ночного сна
EI. Дисфункция желчного пузыря 1. Критерии дисфункции желчного пузыря и сфинктера Одди 2. Наличие желчного пузыря 3. Нормальная активность ферментов печени, физиологический уровень билирубина и амилазы / липазы в сыворотке крови
EI. Дисфункция желчного пузыря • ДЖП— это нарушение моторной функции желчного пузыря, которое проявляется систематическими приступами билиарной боли и, как следствие, сопровождается начальными метаболическими нарушениями (желчь перенасыщается холестерином) или изменением подвижности желчного пузыря без нарушения состава желчи
EI. Дисфункция желчного пузыря Различают два варианта дисфункции желчного пузыря - ПО ГИПЕРКИНЕТИЧЕСКОМУ ТИПУ - ПО ГИПОКИНЕТИЧЕСКОМУ ТИПУ
ДИСФУНКЦИИ ЖЕЛЧНОГО ПУЗЫРЯ ПО ГИПЕРКИНЕТИЧЕСКОМУ ТИПУ
Клиника дисфункции желчного пузыря по гиперкинетическому типу Болевые приступы возникают в связи с сильными эмоциями, стрессами и другими нервно-психическими моментами, на фоне выраженных вегетативных нарушений, реже при значительной физической нагрузке, которая сопровождается повышением внутрибрюшного давления.
Клиника дисфункции желчного пузыря по гиперкинетическому типу Периодически, на фоне полного здоровья, чаще в связи с сильными психо-эмоциональными факторами возникает желчная колика, т. е. схваткообразные боли средней и малой интенсивности, длительностью несколько минут, купируются такие боли самостоятельно или спазмолитиками
Клиника дисфункции желчного пузыря по гиперкинетическому типу При поверхностной пальпации живота отмечается незначительная болезненность в правом подреберье. При глубокой методической скользящей пальпации по методу Образцова и Стражеско отмечается сильная болезненность в области желчного пузыря. Край печени у реберной дуги, ровный, безболезненный. Симптомы Ортнера, Мюсси, Мерфи отрицательные.
ДИСФУНКЦИИ ЖЕЛЧНОГО ПУЗЫРЯ ПО ГИПОКИНЕТИЧЕСКОМУ ТИПУ
Причины первичной гипокинезии желчного пузыря • патология гладкомышечных клеток желчного пузыря; • снижение чувствительности к нейрогормональным стимулам; • дискоординация желчного пузыря и пузырного протока; • длительное увеличенное сопротивление пузырного протока.
Причины вторичной гипокинезии желчного пузыря • высокий уровень эстрогенов в крови (при беременности, во вторую фазу менструального цикла и приеме гормональных противозачаточных средств); • соматостатинома, терапия соматостатином;
Причины вторичной гипокинезии желчного пузыря • послеоперационные состояния (резекция желудка, наложение анастомозов, ваготомия); • строгая длительная диета, что приводит к развитию "ленивого" желчного пузыря;
Причины вторичной гипокинезии желчного пузыря • дистрофия и атрофия слизистой двенадцатиперстной кишки, приводящие к снижению синтеза холецистокинина (атрофический дуоденит); • малоподвижный образ жизни, ожирение, нерегулярное питание, большие интервалы между приемом пищи;
Причины вторичной гипокинезии желчного пузыря • системные заболевания - диабет, цирроз печени, целиакия, миотония, дистрофия; • воспалительные заболевания желчного пузыря и наличие в его полости конкрементов.
Клиника дисфункции желчного пузыря по гипокинетическому типу Основным клиническим проявлением гипокинетической дисфункции желчного пузыря является характерный болевой синдром - длительные иногда постоянные, тупые, ноющие, неинтенсивные, реже выраженные болевые ощущения в правом подреберье. Беспокоит чувство распирания, которое длится 20 и более минут.
Клиника дисфункции желчного пузыря по гипокинетическому типу Боли чаще без иррадиации, реже отмечается иррадиация боли в спину или правую лопатку. Характерно усиление боли после приема пищи и уменьшение ее после дуоденального зондирования, "слепых" зондирований, приема холецистокинетических средств.
Клиника дисфункции желчного пузыря по гипокинетическому типу Возникновение боли возможно ночью, которое связано с переполнением желчью желчного пузыря и растяжением его стенки в связи со слабым тонусом гладкой мускулатуры желчного пузыря.
Клиника дисфункции желчного пузыря по гипокинетическому типу Также характерны диспепсические проявления: ухудшение аппетита, отрыжка воздухом, пищей, тошнота, запоры атонического характера. Иногда возникновение диареи после обильной жирной пищи в результате поступления в кишечник большого количества концентрированной, несвоевременно выделившейся желчи.
Клиника дисфункции желчного пузыря по гипокинетическому типу При поверхностной пальпации живота отмечается незначительная болезненность в правом подреберье. При глубокой пальпации отмечается умеренная болезненность в области желчного пузыря. Край печени у реберной дуги, ровный, безболезненный. Симптомы Ортнера, Мюсси, Мерфи, Захарьина отрицательные.
Диагностика Подход к диагностике и лечению дискинезии желчных путей среди большинства наших отечественных и западных коллег абсолютно различный Украинские и российские врачи устанавливают диагноз «дискинезия желчных путей» , если у больного с жалобами на боли в правом подреберье не удается выявить какоголибо другого конкретного заболевания, т. е. используют как удобный «ярлык» ü Западные коллеги под диагнозом «дискинезия желчных путей» понимают совершенно конкретное состояние, для диагностики которого необходимо выполнить ряд специальных исследований согласно Римскому консенсусу III (2006) и терминологии МКБ-Х
Диагностика В последнее время диагностика билиарных дискинезий основывалась на характерной клинической картине, результатах фракционного дуоденального зондирования, данных радиоизотопного сканирования, рентгенологического исследования желчных путей и пищеварительного тракта, ультразвукового исследования органов брюшной полости и др.
• На сегодняшний день ультразвуковое исследование занимает ведущее место среди других методов, применяемых для диагностики патологии желчевыводящей системы.
• С помощью ультразвукового сканирования на экране монитора изучают анатомические особенности желчного пузыря, определяют размеры органа, место расположения, толщину стенок и характер содержимого, сократительную способность
Педиатрическая УЗдиагностика: вопросы теории и практики Ø Принципиально неправильно измерять объем желчного пузыря по его линейным объемам Ø В педиатрии нормативы объема желчного пузыря в различных возрастных группах окончательно не установлены Ø Проблема с видом и дозированием стандартного желчегонного завтрака (куринные желтки? холецистокинин? ) Ø В н. в. продолжается УЗ-практика гипердиагностики аномалий развития желчного пузыря за счет неправильной трактовки воздействий толстой кишки при положении лежа на спине Проф. С. П. Кривопустов
С. Г. Бурков, Т. Ю. Кохненко Эхографическая картина нормальных левой и правой долей печени
С. Г. Бурков, Т. Ю. Кохненко Эхографическая картина нормального желчного пузыря
желчный пузырь имеет естественный перегиб в шейке при переходе в пузырный проток
В 5% случаев форма «фригийского колпака» : дно желчного пузыря отделено от его тела складкой Клинического значения не имеет ФРИГИЙСКИЙ КОЛПАК — мягкий закругленный колпак красного цвета со свисающим набок верхом, называется в честь Фригии - области в центре Малой Азии Символ свободы и революции Проф. С. П. Кривопустов
С. Г. Бурков, Т. Ю. Кохненко Эхографическая картина деформированного желчного пузыря
S - образный желчный пузырь
ü Прямой связи этих «аномалий» и билиарной дискинезии нет ü Нередко врачам, к сожалению, легче объявить указанные «дефекты» причиной всех бед, чем объяснить родителям педагогические и организационные принципы питания (!!!) Проф. С. П. Кривопустов
С. Г. Бурков, Т. Ю. Кохненко Эхографическая картина замазкообразной желчи в полости желчного пузыря, напоминающая солидное образование (отмечено стрелкой)
С. Г. Бурков, Т. Ю. Кохненко множественные мелкие (1 -2 мм) плавающие конкременты в полости желчного пузыря
С. Г. Бурков, Т. Ю. Кохненко конкремент размером 1, 9 см, дающий за собой акустическую тень
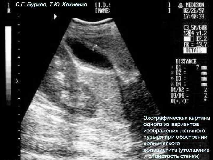
С. Г. Бурков, Т. Ю. Кохненко Эхографическая картина одного из вариантов изображения желчного пузыря при обострении хронического холецистита (утолщение и слоистость стенки)
ЯМР томография и ангиография при остром холецистите
ЯМР томография и ангиография при остром холецистите
ЯМР томография и ангиография при остром холангтите
АЛГОРИТМ ДИАГНОСТИКИ ДИСФУНКЦИИ ЖЕЛЧНОГО ПУЗЫРЯ анамнез, осмотр, ферменты, УЗИ, ФГДС органические поражения норма холецистография с холецистокинином дополнительное обслед. , лечение ФВ ЖП < 40% ФВ ЖП > 40% Холецистэктомия Консервативное лечение
Дисфункция сфинктера Одди • Дисфункция сфинктера Одди –это моторные расстройства сфинктера Одди приводящие к возникновению интермитирующей обструкции желчного или панкреатического протоков, основным клиническим проявлением которых является типичный болевой синдром. Различают билиарное и панкреатическое расствойства
E 2. Дисфункция сфинктера Одди билиарного типа 1. Критерии дисфункции желчного пузыря и сфинктера Одди 2. Нормальная активность амилазы / липазы в сыворотке крови Вспомогательные критерии Два эпизода и более повышения уровня в 2 раза трансаминаз, щелочной фосфатазы или прямого билирубина в сыворотке крови, связанные с эпизодами боли
E 2. Дисфункция сфинктера Одди билиарного типа Функциональное билиарное расстройство сфинктера Одди выявляется у людей перенесших холецистэктомию, но с сохраняющимся типичным приступами билиарной боли и встречается у 1 -2 % пациентов после холецистэктомии. Может ли билиарное расстройсство сфинктера Одди быть самостоятельной нозологией остается дискутабельным вопросом.
Билиарная дисфункция сфинктера Одди 1 типа Приступ болей «билиарного» типа в сочетании с тремя следующими признаками: • - подъем АСТ и (или) ЩФ в 2 и более раз при 2 -кратном исследовании; • - замедление выведения контрастного вещества (более 15 минут); • - расширение общего желчного протока более 12 мм.
Билиарная дисфункция сфинктера Одди 2 типа Приступ болей «билиарного» типа в сочетании с одним или двумя следующими признаками: • - подъем АСТ и (или) ЩФ в 2 и более раз при 2 -кратном исследовании; • - замедление выведения контрастного вещества (более 15 минут); • - расширение общего желчного протока более 12 мм.
Билиарная дисфункция сфинктера Одди 3 типа • Наблюдается только приступ болей «билиарного» типа
E 2. Дисфункция сфинктера Одди билиарного типа Пациент женского пола в возрасте от 40 до 60 лет после холецистэктомии, которую он перенес в последние 5 лет жизни, для данной патологии является типичным
E 3. Дисфункция сфинктера Одди панкреатического типа 1. Критерии дисфункции желчного пузыря и сфинктера Одди 2. Повышенная активность амилазы / липазы в сыворотке крови
E 3. Дисфункция сфинктера Одди панкреатического типа • Клинически данное заболевание проявляться рецидивирующим хроническим панкреатитом и различают 3 ее типа.
E 3 Дисфункция сфинктера Одди панкреатического типа • Первый тип: боль панкреатического характера, амилаза или липаза в 1, 5 -2 раза превышает норму, расширение панкреатического протока более 6 мм в головке и 5 мм в теле поджелудочной железы.
E 3. Дисфункция сфинктера Одди панкреатического типа • Второй тип: боль панкреатического характера и 1 из следующих признаков амилаза или липаза в 1, 5 -2 раза превышает норму, расширение панкреатического протока более 6 мм в головке и 5 мм в теле поджелудочной железы.
E 3. Дисфункция сфинктера Одди панкреатического типа • Третий тип проявляется только в виде типичного приступа панкеатических болей
Дисфункция сфинктера Одди. Диагностика • «Золотым стандартом" диагностики ДСО является манометрия сфинктера Одди, во время проведеня которой определяют базовый тонус сфинктера и его фазовые сокращения.
Дисфункция сфинктера Одди. Диагностика Патологическим признаками являются • 1) давление выше 40 мм водного столба • 2) повышенная частота волновых сокращений, • 3)увеличения числа ретроградных перистальтических волн
Дисфункция сфинктера Одди. Диагностика • Однако у части больных с характерной клиникой не наблюдается постоянного гипертонуса сфинктера. • Метод манометрии в нашей стране малодоступен и дорог. • Его выполнение связанно с определенным риском развития панкреатита.
Дисфункция сфинктера Одди. Диагностика • В связи с чем при диагностике ФРСО используют УЗИ, тест Нарди (Nardi), сцинтиграфию.
Дисфункция сфинктера Одди. Диагностика • УЗИ выполняется после завтрака с высоким содержанием жира (что стимулирует выделение желчи). У пациентов с ФРСО прием пищи приводит к дилатации холедоха в результате повышения в нем давления из-за нарушения оттока.
Дисфункция сфинктера Одди. Диагностика • УЗИ • Увеличение диаметра более чем на 2 мм через 45 минут после завтрака считается диагностическим. Специфичность метода достигает 97 %, однако чувствительность составляет только 21 %. Вместо завтрака можно использовать холецистокинин, а для исследования панкреатического протока - серетин.
Дисфункция сфинктера Одди. Диагностика
Дисфункция сфинктера Одди. Диагностика • Тест Нарди • Провокационный тест используется только у взрослых. Характеризуется воспроизведением характерного болевого синдрома и (или) повышением концентрации ACT, щелочной фосфотазы в сыворотке крови после введения в веществ, вызывающих спазм сфинктера Одди, например, морфина.
Дисфункция сфинктера Одди. Диагностика • Сцинтиграфия • Однако методика достаточно сложна, да и специфичность с чувствительностью составляют 78 % и 49 % соответственно
АЛГОРИТМ ВЕДЕНИЯ БОЛЬНЫХ С ДИСФУНКЦИЕЙ СФИНКТЕРА ОДДИ БИЛИАРНОГО ТИПА анамнез, осмотр, ферменты, УЗИ, ФГДС органические поражения дополнительное обслед. , лечение норма
АЛГОРИТМ ВЕДЕНИЯ БОЛЬНЫХ С ДИСФУНКЦИЕЙ СФИНКТЕРА ОДДИ БИЛИАРНОГО ТИПА норма тип III Фарм. пробы Негативный результат Позитивный результат Эндоскопическая ретроградная холицистопанкреография Патология Эндоскопическая сфинктеротомия Норма пересмотр
ДИСФУНКЦИЯ ЖЕЛЧНОГО ПУЗЫРЯ: ЛЕЧЕНИЕ РЕЖИМ ДНЯ И ДИЕТА Общими принципами диеты являются режим питания с частыми приемами небольшого количества пищи (5– 6 разовое питание), что способствует нормализации давления в двенадцатиперстной кишке и регулирует опорожнение желчного пузыря.
ДИСФУНКЦИЯ ЖЕЛЧНОГО ПУЗЫРЯ: ЛЕЧЕНИЕ РЕЖИМ ДНЯ И ДИЕТА Исключаются газированные напитки, копченые, жирные и жареные блюда, приправы. При гиперкинетическом типе дисфункции резко ограничивают потребление продуктов, стимулирующих сокращение желчного пузыря, — животных жиров, растительных масел, наваристых мясных, рыбных и грибных бульонов. Исключают жареные, острые, кислые продукты. и др. );
ДИСФУНКЦИЯ ЖЕЛЧНОГО ПУЗЫРЯ: ЛЕЧЕНИЕ РЕЖИМ ДНЯ И ДИЕТА При гипотонии желчного пузыря больные обычно хорошо переносят некрепкие мясные и рыбные бульоны, сливки, сметану, растительные масла, яйца всмятку. Растительное масло назначают по чайной ложке 2– 3 раза в день за 30 мин до еды в течение 2– 3 нед. Для предотвращения запоров рекомендуют блюда, способствующие опорожнению кишечника (морковь, тыква, кабачки, зелень, арбузы, дыни, чернослив, курага, апельсины, груши, мед). .
ДИСФУНКЦИЯ ЖЕЛЧНОГО ПУЗЫРЯ: ЛЕЧЕНИЕ Основные направления медикаментозного лечения 1) восстановление, а при невозможности — восполнение продукции желчи; 2) повышение сократительной функции желчного пузыря (при его недостаточности); 3) снижение сократительной функции желчного пузыря (при его гиперфункции); 4) восстановление тонуса сфинктерной системы; 5) восстановление давления в двенадцатиперстной кишке (от чего зависит адекватный градиент давления в
ДИСФУНКЦИЯ ЖЕЛЧНОГО ПУЗЫРЯ: ЛЕЧЕНИЕ Основные направления медикаментозного лечения Из лекарственных препаратов, влияющих на моторную функцию пищеварительного тракта, используют: антихолинергические препараты, нитраты, миотропные спазмолитики, интестинальные гормоны (ХЦК, глюкагон), холеретики, холекинетики
ЛЕЧЕНИЕ ДИСФУНКЦИИ ЖЕЛЧНОГО ПУЗЫРЯ ПО ГИПЕРКИНЕТИЧЕСКОМУ ТИПУ • Для купирования болевого синдрома назначают спазмолитические и при необходимости обезболивающие средства. Назначаются как неселективные спазмолитические средства - Мхолинолитики (платифиллин гидротартрата, прифиния бромид), дротаверин, папаверин и другие - так и селективные
ЛЕЧЕНИЕ ДИСФУНКЦИИ ЖЕЛЧНОГО ПУЗЫРЯ ПО ГИПЕРКИНЕТИЧЕСКОМУ ТИПУ Антихолинэргические средства • К данной группе препаратов относятся широко применяемые М-холинолитики (препараты красавки, платифиллин, метацин, бускопан). • Выраженная индивидуальная зависимость релаксирующего эффекта от исходного тонуса парасимпатической нервной системы и широкий спектр побочных системных эффектов значительно ограничивает сферу применения данных средств.
ЛЕЧЕНИЕ ДИСФУНКЦИИ ЖЕЛЧНОГО ПУЗЫРЯ ПО ГИПЕРКИНЕТИЧЕСКОМУ ТИПУ Неселективные миотропные спазмолитики • Миотропные спазмолитики, механизм действия которых сводится к активации аденилатциклазы или к блокаде аденозиновых рецепторов, что приводит к уменьшению концентрации кальция в гладкомышечных клетках.
ЛЕЧЕНИЕ ДИСФУНКЦИИ ЖЕЛЧНОГО ПУЗЫРЯ ПО ГИПЕРКИНЕТИЧЕСКОМУ ТИПУ Неселективные миотропные спазмолитики • Основными представителями данной группы препаратов являются дротаверин (но-шпа, ношпа форте), бенциклан (галидор), дицикловерин (триган-Д), отилония цитрат (метеоспазмил), тримебутин (дебридат).
ЛЕЧЕНИЕ ДИСФУНКЦИИ ЖЕЛЧНОГО ПУЗЫРЯ ПО ГИПЕРКИНЕТИЧЕСКОМУ ТИПУ • Селективные миотропные спазмолитики • Селективно релаксирующие гладкую мускулатуру органов пищеварения препараты, безусловно, являются препаратами выбора для патогенетической терапии больных с заболеваниями билиарного тракта.
ЛЕЧЕНИЕ ДИСФУНКЦИИ ЖЕЛЧНОГО ПУЗЫРЯ ПО ГИПЕРКИНЕТИЧЕСКОМУ ТИПУ • Селективные миотропные спазмолитики • Достоинством препаратов данной группы, в частности мебеверина (Дюспаталина), является релаксирующая селективность в отношении сфинктера Одди, в 20 -40 раз превышающая эффект от папаверина.
ЛЕЧЕНИЕ ДИСФУНКЦИИ ЖЕЛЧНОГО ПУЗЫРЯ ПО ГИПЕРКИНЕТИЧЕСКОМУ ТИПУ • Селективные миотропные спазмолитики • Эффект от применения мебеверина возникает через 20 -30 минут и продолжается до 12 часов, что делает возможным его двукратный прием в сутки (пролонгированная форма). Выпускается Дюспаталин в капсулах содержащих 200 мг мебеверина гидрохлорида в виде микросфер, покрытых кислотоустойчивой оболочкой.
ЛЕЧЕНИЕ ДИСФУНКЦИИ ЖЕЛЧНОГО ПУЗЫРЯ ПО ГИПЕРКИНЕТИЧЕСКОМУ ТИПУ • Селективные миотропные спазмолитики • В Европе у детей Дюспаталин применяется в виде суспензии с 3 летнего возраста утром и вечером за 20 минут до приема пищи
Возрастные дозы Дюспаталина Возраст Суточная доза в мл в мг 3 года 7, 5 75 4 -8 лет 15 150 9 -10 лет 30 300 Старше 10 лет 45 450
ЛЕЧЕНИЕ ДИСФУНКЦИИ ЖЕЛЧНОГО ПУЗЫРЯ ПО ГИПЕРКИНЕТИЧЕСКОМУ ТИПУ • При отсутствии перечисленных препаратов, возможно кратковременное применение комбинированных лекарственных средств, содержащих анальгетики и неселективные спазмолитики - баралгин, спазган, спазмалгин и др. Хороший эффект в самом начале болевого приступа оказывает применение нитроглицерина под язык, снимающий спазм сфинктера Люткенса и Одди, и дебридата по 100 -200 мг.
ЛЕЧЕНИЕ ДИСФУНКЦИИ ЖЕЛЧНОГО ПУЗЫРЯ ПО ГИПЕРКИНЕТИЧЕСКОМУ ТИПУ Нитраты • Нитроглицерин используют для быстрого купирования болей. Однако в связи с выраженными кардиоваскулярными эффектами и развитием толерантности они мало приемлемы для длительной терапии дискинезии ЖВП.
ЛЕЧЕНИЕ ДИСФУНКЦИИ ЖЕЛЧНОГО ПУЗЫРЯ ПО ГИПЕРКИНЕТИЧЕСКОМУ ТИПУ Блокаторы кальциевых каналов: • селективные блокаторы - дицетел (пинавериум бромид). Данные препараты в основном действуют на уровне толстой кишки. Лишь 510% препарата действует на уровне билиарного тракта, и имеют опосредованные эффекты, связанные с уменьшением внутрипросветного давления, что облегчает пассаж желчи.
ЛЕЧЕНИЕ ДИСФУНКЦИИ ЖЕЛЧНОГО ПУЗЫРЯ ПО ГИПЕРКИНЕТИЧЕСКОМУ ТИПУ Гимекромон • Гимекромон (одестон) оказывает избирательное спазмолитическое действие на сфинктер Одди и сфинктер желчного пузыря. Гимекромон эффективен у больных с дисфункцией билиарного тракта, обладает желчегонным действием, устраняет билиарную недостаточность, а также дисфункцию сфинктера Одди, его гипертонус, в том числе и у больных после холецистэктомии.
ЛЕЧЕНИЕ ДИСФУНКЦИИ ЖЕЛЧНОГО ПУЗЫРЯ ПО ГИПЕРКИНЕТИЧЕСКОМУ ТИПУ • Фитопрепараты • Теплые минеральные воды малой минерализации 5 -6 раз в сутки (Славяновская, Смирновская, Ессентуки 4, 20, Нарзан) до 500 мл в сутки
ЛЕЧЕНИЕ ДИСФУНКЦИИ ЖЕЛЧНОГО ПУЗЫРЯ ПО ГИПЕРКИНЕТИЧЕСКОМУ ТИПУ • Ограничивают прием лекарственных препаратов, обладающих холеретическим и гидрохолеретическим эффектом (желчные кислоты, в том числе и в ферментных препаратах, настои и отвары желчегонных трав, синтетические желчегонные средства, желудочный сок)
ЛЕЧЕНИЕ ДИСФУНКЦИИ ЖЕЛЧНОГО ПУЗЫРЯ ПО ГИПОКИНЕТИЧЕСКОМУ ТИПУ Холеретики Холекинетики Прокинетики Гидрохолеретики
Холеретики 1) препараты, содержащие желчь или желчные кислоты; 2) синтетические препараты; 3) препараты растительного происхождения
Холеретики. Препараты, содержащие желчь или желчные кислоты Препарат Состав Назначение Аллахол табл. (животная желчь 80 мг, экстракты чеснока 40 мг, крапивы 5 мг, активированный уголь 25 мг) Внутрь по 1/2 - 1 табл. 3 раза в день после еды детям старше 5 лет, 3 -4 недели Холензим табл. (сухая желчь 100 мг, слизистая оболочка т. кишечника 100 мг, сухая ткань панкреас 100 мг) Внутрь по 0, 1 – 0, 3 г 2 -3 раза в день после еды детям старше 5 лет, 2 -4 недели Лиобил Дегидрохолевая кислота
Холеретики. Синтетические препараты Препарат Состав Назначение Оксафенамин Табл. Внутрь по 1/2 - 1 табл. 3 раза в день перед едой детям старше 5 лет, 2 -3 недели Фебихол капс. Фенипентол 100 мг Внутрь детям от 5 до 12 лет по 1 табл. , после 12 лет по 2 табл. 3 раза в день перед едой, запивая достаточным количеством воды, детям старше 5 лет, 2 -3 недели Циквалон Табл. Внутрь по 1/2 - 1 табл. 3 -4 раза в день перед едой детям старше 5 лет, 3 -4 недели
Фитохолеретики Препарат Кукурузные рыльца Состав рыльца 50 г, пачка Назначение Внутрь в виде охлажденного отвара (10 г кукурузных рылец на 300 мл воды) по 1 -3 столовых ложки 3 раза в сутки перед едой
Фитохолеретики с гепатопротекторным действием Препарат Состав Назначение Хофитол табл. (экстракт сока свежих листьев полевого артишока 200 мг) р-р д/внутр. прим. (экстракт сока свежих листьев полевого артишока 1 г/5 мл), фл. 120 мл Внутрь по 1/2 - 1 табл. 3 -4 раза в день перед едой детям старше 5 лет, 3 -4 недели Гепабене капс. (экстракт лекарственной дымянки (фумарина 4, 13 мг) 275 мг, экстракт плодов пятнистой расторопши 70 -100 мг, силимарин 59 мг, силибинин 22 мг) Внутрь с по 1 капсуле, после 12 летнего возраста по 1 -2 капсулы 3 раза в сутки, детям старше 5 лет, 2 -3 недели
Холекинетики Препарат Состав Берберин сульфат Холосас Назначение Внутрь по 3 -5 мг 3 раза в день перед едой детям старше 5 лет, 2 -4 недели сироп Внутрь по 1 чайной ложке 2 -3 раза в день перед едой детям старше 5 лет, 2 -4 недели
Холекинетики Препарат сульфат магния оливковое масло сорбит, ксилит Состав Назначение
Холеретики - холекинетики Препарат Состав Назначение Холагол Капли. (Пигмент корня кукурмы 2, 25 мг, эмодин крушины 900 мкг, эфирные масла 553, 5 мг, магния салицилат 18 мг)/мл Внутрь по 3 -5 капель на сахаре 3 раза в день за 30 мин. до еды детям старше 3 лет, 2 -4 недели Холагогум F Hatterman капс. (сухой экстракт чистотела 131 -104 мг, сухой экстракт кукурмы длинной 45 мг) Внутрь до или во время приема пищи по 1 капсуле, не разжевывая, 3 раза в сутки, детям Холагогум N Hatterman капс. (экстракт чистотела большого 40 мг, сухой экстракт кукурмы длинной 45 мг, масло из корневища кукурмы 5 мг, масло мяты перечной 5 мг) старше 12 лет, 2 -4 недели
Холеретики - холекинетики Препарат Состав Рафахолин Ц др. (экстракт черной редьки с углем активированным 150 мг, экстракт артишока густой 47 мг, масло мяты перечной 15 мг, кислота дегидрохолевая 40 мг) Гепатофит сбор (цветки бессмертника песчаного 12 г, трава галеги 10 г, цветки календулы 11 г, листья крапивы 10 г, корни одуванчика 12 г, плоды расторопши пятнистой 10 г, кукурузные рыльца 11 г, створки плодов фасоли 12 г, плоды шиповника 12 г) пачка 100 г Назначение
Холеретики - холекинетики Препарат Холивер Состав Назначение табл. (экстракт желчи медицинской 25 мг, экстракт артишока посевного 25 мг, порошок кукурмы длинной 50 мг) Внутрь до или во время приема пищи детям до 4 лет по 1 -2 табл. , старше 4 лет по 2 -4 табл. 3 раза в сутки Холафлукс чай для раств. чай (листья шпината желчного пузыря и 3, 9 г, плоды чертополоха 1, 7 печени г, гусиная лапчатка 4, 7 г, чистотел 15, 2 г, тысячелистник 4, 5 г, корень солодки 16, 3 г, корневище ревеня 5, 6 г, одуванчик 4, 5 г, корневище куркумы 150 мг, листья алое 450 мг, масло куркумы 28, 5 мг)/37, 5 г, фл. 150 мл Внутрь принимать в теплом виде по ¼ - 1/3 стакана 2 -3 раза в день до еды
ПРЕПАРАТЫ С ХОЛЕКИНЕТИЧЕСКИМ И СПАЗМОЛИТИЧЕСКИМ ДЕЙСТВИЕМ Препарат Состав Назначение Фламин табл. (концентрат цветков бессмертника) Внутрь по 1/2 – 1 табл. 3 раза в день за 30 мин. до еды детям старше 5 лет, 24 недели Одестон табл. Гимекромон 400 мг Внутрь по 200 -600 мг в сутки в 3 приема за 30 минут до еды Экстракт шиповника сироп (10 г/100 мл) Внутрь по ¼ -½ чайной ложки 2 -3 раза в сутки Бессмертника песчаного цветки (Цмин песчаный) Внутрь по 1 г сухого экстракта 3 раза в сутки цветки 50 г, пачка
ПРЕПАРАТЫ С ХОЛЕКИНЕТИЧЕСКИМ И СПАЗМОЛИТИЧЕСКИМ ДЕЙСТВИЕМ Препарат Состав Назначение Желчегонный сбор № 2 сбор 2 г (цветки бессмертника песчаного 40%, листья мяты перечной 20%, трава тысячелистника 20%, плоды кориандра 20%), фильтр-пакет Настоять 20 минут 1 ст. ложку на 2 стаканах кипятка, принимать по ¼ - ½ стакана 3 раза в день за полчаса до еды Листья мяты перечной листья 50 г, пачка Внутрь в виде охлажденного отвара (5 г листьев мяты перечной на 200 мл воды) по ¼ -½ стакана 3 раза в сутки за 15 минут до приема пищи
ГОМЕОПАТИЧЕСКИЙ ПРЕПАРАТ С ХОЛЕКИНЕТИЧЕСКИМ И СПАЗМОЛИТИЧЕСКИМ ДЕЙСТВИЕМ Препарат Галстена Состав Назначение капли (Carduus D 1 2 мл, Taraxacum D 6 10 мл, Chelidonium D 6 10 мл, Natrium sulfuricum D 12 10 мл, Phosphorus D 12 10 мл)/100 мл, фл. 20, 50, 100 мл Внутрь за 30 минут до или через 1 час после приема пищи детям до года по 1 капле, которую разводят в столовой ложке молока, от 2 до 4 лет по 2 -4 капли, от 5 до 12 лет по 5 -7 капель, старше 12 лет по 10 капель 3 раза в сутки, предварительно развести в 1 столовой ложке воды
Прокинетики Препарат Состав Назначение Домперидон, Мотилиум, Перилиум табл. Домперидон 10 мг Внутрь за 15 -20 минут до приема пищи детям с массой тела до 40 кг по 0, 25 мг/кг, детям с массой тела более 40 кг по 10 мг 3 раза в день и на ночь Перистил табл. Ципразид 5 мг Внутрь за 15 минут до приема пищи по 0, 1 мг/кг 2 - 4 раза в сутки. Максимальная суточная доза 40 мг сусп. (Ципразид 1 мг/мл), фл. 60 мл Метоклопрамид Перинорм, Церукал табл. метоклопрамид 10 мг р-р д/ин. (метоклопрамид 5 мг/ мл), амп. 2 мл Новорожденным по 0, 05 мг/кг в/м , детям от 3 до 14 лет внутрь по 0, 1 мг/кг 3 раза в сутки, в острый период в/в, в/м. Максимальная суточная доза - 0, 5 мг/кг
Гидрохолеретики - Минеральные воды средней минерализации (Ессентуки 17, Арзни, Баталинская) комнатной температуры по 50 -150 мл 2 - 3 раза в день за 30 -90 минут до еды, но не более 500 мл в сутки
• Тюбажи по Демьянову
Выбор препарата • Выбор препарата, зависит от того, как быстро необходимо получить эффект от терапии. Если требуется быстрое воздействие на организм больного, то лучше использовать холекинетики, причем эффект зависит и от дозы препарата; при длительном курсовом лечении применяются желчесодержащие препараты
Выбор препарата • Если требуется одновременно и противовоспалительное действие, то выбор должен быть сделан в пользу синтетических препаратов, но курсовое лечение ими будет непродолжительным; когда у пациента одновременно имеется патология печени, то выбор должен быть сделан в пользу препаратов, содержащих артишок, обладающего холеретическим и протективным действием
АРТИШОК, Cynara scolymus L. - многолетнее травянистое растение семейства сложноцветных Родина артишока – Средиземноморье Øв 4 веке до н. э. артишок был распространен как лекарственное средство и продукт питания « … уничтожает зловоние из подмышек и придает поту приятный запах, так как имеет свойство гнать зловонную мочу» Абу Али Ибн Сина (980 -1037), «Канон врачебной науки»
• Хиеронимус Бок (1630): • «Служит для излечения засоренной печени и почек, а также водянки»
• Николас (1716), Балли (1835), Магнус (1837), Делафонтен (1851) и др. восхваляли артишок при лечении желтухи
• Я. Брель (1929) – доклад на Парижском Тер. Обществе
• комиссия E BGA (1988) одобрила применение артишока
ЛИСТЬЯ АРТИШОКА ПОСЕВНОГО, Cynara scolymus L. Ø циннарин Ø кофеиновая фенокислота Ø хлорогеновая фенокислота Ø биофлавоноиды Ø гликозиды Ø фитостеролы Ø терпеноиды Ø каротин Ø витамины Ø минералы Ø инулин Ø ферменты
Циннарин, Кофеоловая кислота, Хинная кислота –оказывает желчегонное, гепатопротекторное и холеретическое действие Флавоноиды-антиоксидантное действие Секвитерпелактон улучшает фильтрационную функцию почек Инулин , витамины группы В, аскорбиновая кислота – нормализуют обменные процессы.
Водный экстракт из сока свежих листьев артишока полевого 1 таблетка – 200 мг 1 ч. л. – 1000 мг
гепатопротекторный ХОФИТОЛ ПРЕПАРАТ С ШИРОКИМ ТЕРАПЕВТИЧЕСКИМ СПЕКТРОМ ЭФФЕКТОВ холеретический диуретический гипоазотемический дезинтоксикационный липидопонижающий антиоксидантный
ХОФИТОЛ ЭФФЕКТИВНЫЙ НАТУРАЛЬНЫЙ ПРЕПАРАТ • Отсутствие побочных эффектов на организм при длительном применении; • «Мягкое» и естественное воздействие; • Хорошая переносимость; • Широкий терапевтический диапазон и безопасность; • Возможность применения при амбулаторном лечении, без строгого врачебного контроля; • Благоприятные фармакоэкономические характеристики. Харченко Н. В. , 2001 г.
ЛЕЧЕНИЕ ДИСФУНКЦИИ ЖЕЛЧНОГО ПУЗЫРЯ ПО ГИПОКИНЕТИЧЕСКОМУ ТИПУ • Обязательно при гипокинетических расстройствах желчного пузыря наряду с холеретиками и холекинетиками является назначение полиферментных препаратов
Лечение при дисфункции сфинктера Одди • При первом типе дисфункции сфинктера Одди требуется проведение папиллосфинктеротомии; второго-третьего типа — допускается возможность назначения лекарственной терапии.
Лечение при дисфункции сфинктера Одди • Консервативное медикаментозное лечение направлено на снятие спазма гладкой мускулатуры сфинктера Одди. С этой целью используется ряд препаратов, обладающих спазмолитическим эффектом
Лечение при дисфункции сфинктера Одди • Нитраты: нитроглицерин - для быстрого купирования болей, нитросорбит - для курсового лечения. • Антихолинергические средства • Блокаторы медленных кальциевых каналов - фенилалкиламины (веропамил), дигидроперидины (нифедипин, амлодипин) и бензотиазепины (дилтиазем) • Миотропные спазмолитики • Ботулинический токсин
СПАСИБО ЗА ВАШЕ ВНИМАНИЕ


