2f113ab7560a750e4ccc9520eba07b48.ppt
- Количество слайдов: 99
DAVID P. GREEN, MD ПЕРЕЛОМЫ ДИСТАЛЬНОГО МЕТАЭПИФИЗА ЛУЧЕВОЙ КОСТИ ОБЗОР ЗА 40 ЛЕТ
ABRAHAM COLLES 1814 Colles ОШИБАЛСЯ! . . . конечность после некоторого восстановительного периода снова приобретет полный объем движений, и будет полностью избавлена от боли. . .
НЕ ВСЕ ТАКИЕ ПЕРЕЛОМЫ ИМЕЮТ БЛАГОПРИЯТНЫЙ ИСХОД Переломы дистального метаэпифиза лучевой кости это обычная травма, но далеко не всегда простая!
Много методов лечения Закрытая репозиция ЗРФС ? ОРНФ ОРВФ Наружная фиксация Костная пластика Артроско пическая репозици
Методы лечения Какой выбрать? Один и тот же метод лечения не может (или не должен) быть использован при лечении всех переломов
УСТАРЕВШАЯ КОНЦЕПЦИЯ Сначала попробуйте закрытую репозицию, и, если не получилось, выполните открытую репозицию Выберите то, что вы считаете ЛУЧШИМ МЕТОДОМ для лечения данного конкретного перелома , и сделайте это сначала!
Общие принципы лечения и проблемы
Принцип № 1 В основном, результаты зеркально отражают восстановление анатомического строения Некачественная репозиция = плохой результат (В большинстве случаев)
ПРИНЦИП № 2 Постарайтесь восстановить анатомию Восстановление длины НАИБОЛЕЕ важно
ПРИНЦИП № 3 Выберите самый простой метод, который поможет вам достичь успеха
Проблема № 1 Самым обычным осложнением является ТУГОПОДВИЖНОСТЬ! Это самая распространенная форма RSD!
ПРЕДУПРЕДИТЬ ЛЕГЧЕ, ЧЕМ ЛЕЧИТЬ Ранние движения в свободных суставах (через 3 дня ) Проверка возможных причин боли, которые легко устранить
Ранние осложнения, которые легко устранить Слишком тесные гипс или повязка Острый синдром карпального канала Выраженный отек Инфекция
Отдаленные осложнения У большинства больных с отдаленными осложнениями самой серьезной вляется проблема дистального лучелоктевого сустава (ДЛЛС) Боль по локтевой поверхности лучезапястного сустава Трудности в восстановлении супинации
Проблема ДЛЛС в отдаленном периоде Обычно это результат недостаточного восстановления длины лучевой кости Даже несколько миллиметров имеют значение
ЗАКРЫТАЯ РЕПОЗИЦИЯ И ГИПСОВАЯ ИММОБИЛИЗАЦИЯ
ЗАКРЫТАЯ РЕПОЗИЦИЯ И ГИПСОВАЯ ИММОБИЛИЗАЦИЯ Легко достичь репозиции. . .
ЗАКРЫТАЯ РЕПОЗИЦИЯ И ГИПСОВАЯ ИММОБИЛИЗАЦИЯ . . . но почти невозможно удержать
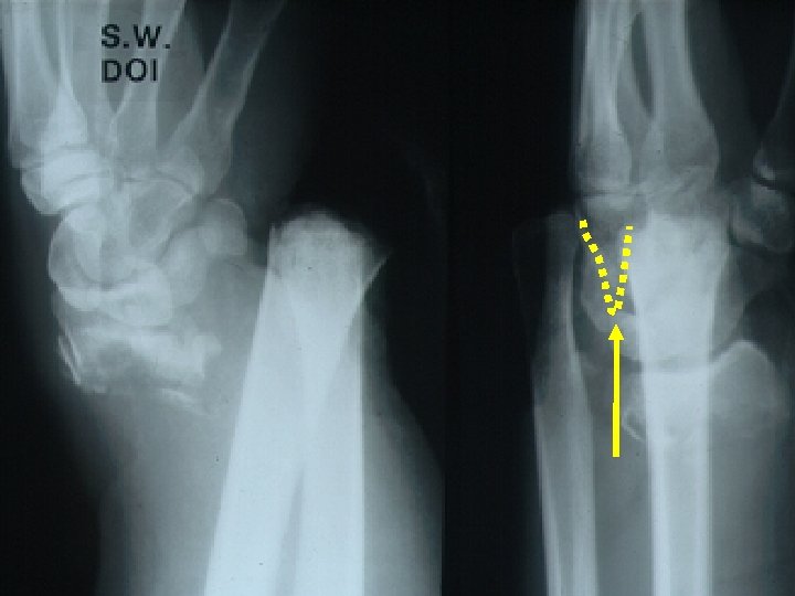
Обычный результат 1 неделя Пока Минимальное смещение хорошо в гипсе
Заключительный результат Слишком поздно! День травмы 6 недель
ЛИЧНЫЕ ПРЕДПОЧТЕНИЯ АВТОРА Я не использую закрытую репозицию и гипсовую иммобилизацию для переломов со смещением
ЗАКРЫТАЯ РЕПОЗИЦИЯ И ФИКСАЦИЯ СПИЦАМИ
ЗАКРЫТАЯ РЕПОЗИЦИЯ И ЧРЕСКОЖНАЯ ФИКСАЦИЯ СПИЦАМИ Предпочтительно для внесуставных переломов со смещением Существует несколько разных методик
Техника KAPANDJI Спица используется для репозиции отломков
Техника KAPANDJI
Техника KAPANDJI ЛИТЕРАТУРА KAPANDJI Ann. Chir. 30: 903, 1976 Ann. Chir Main 6: 57, 1987 TRUMBLE et al JHS 23 A: 381, 1998
ТЕХНИКА ЗАКРЫТОЙ ФИКСАЦИИ СПИЦАМИ Я предпочитаю закрытую репозицию и фиксацию спицами ПОСЛЕ репозиции отломков
40 -летний преподаватель колледжа, теннисист
Метод лечения - закрытая репозиция, фиксация спицами
Требуется иммобилизация в течение 6 недель Окно в местах проведения спиц
КЛЮЧЕВЫЕ МОМЕНТЫ • Сначала - репозиция • Используйте спицы Киршнера 1, 6 мм • 3 спицы проходят через 2 кортикальных слоя • Тест удаления спиц (“PINCH” TEST) • Наличие ЭОПа
Выполнение закрытой репозиции
Определение точек введения спиц
Углы, под которыми вводятся спицы в 2 -х проекциях
ЛИЧНЫЕ ПРЕДПОЧТЕНИЯ АВТОРА Идеальное показание для закрытой репозиции и фиксации спицами - это внесуставные переломы у молодых людей с хорошим состоянием костной ткани
Тест удаления спиц 3 недели 4 недели
НЕДОСТАТОЧНО ПРОЧНАЯ ФИКСАЦИЯ Отрицательный результат означает, что следует снова ввести спицы или изменить метод
ПОЖИЛЫЕ ПАЦИЕНТЫ С ДЕФИЦИТОМ КОСТНОЙ МАССЫ Фиксация спицами чаще приводит к неудовлетворительным результатам, в данном случае не является методом выбора. Необходимо приступить к следующему методу лечения
Наружная фиксация
НАРУЖНАЯ ФИКСАЦИЯ Подходит для лечения внесуставных переломов при остеопорозе и для многооскольчатых переломов
ИСТОРИЯ НАРУЖНОЙ ФИКСАЦИИ Первое применение спиц, стержней и гипсовой иммобилизации Behler (1929) Множество вариантов
ИСТОРИЯ НАРУЖНОЙ ФИКСАЦИИ ROGER ANDERSON (Seattle, WA), 1933 “Робот для лечения переломов” “Автоматическая шина” (сначала были предложены для переломов большеберцовой кости)
ИСТОРИЯ НАРУЖНОЙ ФИКСАЦИИ Аппараты с рамкой, 1944 Вышли из массового употребления из -за проблем с каналами
Далеко не каждая фирма представляет аппараты наружной фиксации!
НАРУЖНАЯ ФИКСАЦИЯ Много аппаратов и методик Используйте то, что работает у ВАС!
НАРУЖНАЯ ФИКСАЦИЯ. МОИ ПРЕДПОЧТЕНИЯ • Аппарат “Agee Wrist. Jack” -для большинства больных • стержни и гипс - для остальных пациентов
ДЛЯ ПОЖИЛЫХ БОЛЬНЫХ Идеальная конгруэнтность необязательна, но. . . восстановление длины лучевой кости необходимо!
ПРЕИМУЩЕСТВА СТЕРЖНЕЙ В СОЧЕТАНИИ С ГИПСОВОЙ ИММОБИЛИЗАЦИЕЙ • Сохранение длины лучевой кости • Полный объем движений пальцев кисти и локтевого сустава • Недорогой метод
СТЕРЖНИ В СОЧЕТАНИИ С ИММОБИЛИЗАЦИЕЙ Впервые JBJS -- 1975 Повязка из стекловолокна до сих пор используется в разных модификациях
Фиксатор плеча Стерильные зажимы для пальцев 10 -15 кратное противовытяжение
Дистальный стержень Нет отличий по сравнению с техникой , описанной в статье 1975 года
3/32” (2. 4 mm) штифты Штеймана (спогиозные) 4 кортикальных слоя Полный объем движений 1 пальца
Часть штифта возвышается над кожей
СТЕРЖНИ В СОЧЕТАНИИ С ИММОБИЛИЗАЦИЕЙ МОДИФИКАЦИИ ПРОВЕДЕНИЕ СТЕРЖНЯ НАРУЖНОЙ ФИКСАЦИИ В ПРОКСИМАЛЬНОЙ ЧАСТИ ЛОКТЕВОЙ КОСТИ
ПРОКСИМАЛЬНЫЙ СТЕРЖЕНЬ Доступ к кости Высверливание отверстия для стержня
Стерильные повязки в местах выхода стержней
То же самое в дистальной области Материал для иммобилизации накладывается толстым слоем
Вытяжение сохраняется до момента закрепления повязки Зажимы для пальцев держатся до высыхания повязки
. . . а также локоть и плечо Ладонь полностью освобождается от повязки Сохраняется полный объем движения пальцев
ПРЕКЛОННЫЙ ВОЗРАСТ НЕ ЯВЛЯЕТСЯ ПРОТИВОПОКАЗАНИЕМ
Стержни в сочетании с иммобилизацией Для некоторых пациентов это более подходящий метод, чем аппараты наружной фиксации
Стержни в сочетании с иммобилизацией ЭТО ДЕЙСТВИТЕЛЬНО РАБОТАЕТ при правильном использовании
Выбор метода наружной фиксации Используйте тот метод, который работает у вас – но сначала обязательно изучите его!
НАРУЖНАЯ ФИКСАЦИЯ Идеальный метод для лечения открытых переломов с загрязнением тканей
48 часов. Рост Serratia Открытая репозиция 3 раза Раны оставлены открытыми
3 года после операции.
НАРУЖНАЯ ФИКСАЦИЯ Избегайте чрезмерной дистракции!
Чрезмерная дистракция (перерастяжение) Осторожнее! ? замедленное сращение Несросшийся перелом
НАРУЖНАЯ ФИКСАЦИЯ Лучший способ фиксации многооскольчатых переломов для вас - фиксировать с теми ограничениями, которые ВЫ сами определите
ЛИЧНЫЕ ПРЕДПОЧТЕНИЯ АВТОРА 1. Многооскольчатые и открытые переломы с загрязненными ранами Wrist Jack 2. Пожилые больные стержни в сочетании с иммобилизацией
ОТКРЫТАЯ РЕПОЗИЦИЯ И ВНУТРЕННЯЯ ФИКСАЦИЯ (ОРВФ)
ORIF (ОРВФ) ОСНОВНАЯ ЦЕЛЬ - ВОССТАНОВЛЕНИЕ КОНГРУЭНТНОСТИ СУСТАВНЫХ ПОВЕРХНОСТЕЙ ДОПОЛНИТЕЛЬНОЕ ПРЕИМУЩЕСТВО - раннее начало движений
ORIF (ОРВФ) Главная проблема - это нелегко!
ИСТОРИЯ ОРВФ ДИСТАЛЬНОГО МЕТАЭПИФИЗА ЛУЧЕВОЙ КОСТИ Непрерывное усовершенствование в течение нескольких десятилетий. . . но очень мало инновационных идей
AO Forte (Zimmer) “Pi” Synthes Какая ошибка у всех этих пластин? Wright
Эти пластины копируют друга 1. Все это - вариации на одну и ту же тему 2. В них не учитываются осбенности линий перелома и строение лучевой кости! 3. Мы продолжаем повторять те же ошибки
ИННОВАЦИИ Две новые концепции последнего десятилетия: Rob Medoff (Trimed) Jorge Orbay (Hand Innovations)
ТЕХНИКА MEDOFF Первый действительно инновационный метод за последние 40 лет
ПОДХОД - “СПЕЦИФИЧНЫЙ ДЛЯ КАЖДОГО ФРАГМЕНТА” Понимание “индивидуальности” перелома Учитываются особенности каждого фрагмента Фиксирован каждый фрагмент
ROBERT MEDOFF Хирург -ортопед с базовой подготовкой по физике Его техника основана на биомеханичесих принципах
Здесь тонкая метафизарная кость Здесь твердый кортикальный слой Погружение в рыхлую кость
Улучшенный биомеханический подход Спицы Киршнера- такие же, как при закрытой репозиции и фиксации спицами “Лучевая пластина со стержнями” обеспечивает опору для кортикального слоя, предотвращает оседание
ТЕХНИКА MEDOFF Ключевая концепция“специфичность для каждого фрагмента” Его главное достижение позволить нам синтезировать такие переломы более точно и аккуратно
Дорсальная стенка Лучевая колонна Дорсальная стенка Локтевой угол (“die punch”) Ладонная поверхность “специфичность для каждого фрагмента”
ТЕХНИКА MEDOFF Технические особенности
ДОЛГИЙ ПУТЬ ТЕОРЕТИЧЕСКОЙ ПОДГОТОВКИ начался с простого
ДОЛГИЙ ПУТЬ ТЕОРЕТИЧЕСКОЙ ПОДГОТОВКИ “Если вы не фиксируете переломы, которые не нуждаются в остеосинтезе, то у вас не будет достаточного опыта, чтобы оперировать те переломы, для которых это необходимо”. Martin Allgower основатель AO
“Простой” случай Лучевая колонна Пациент 54 лет Локтевая колонна “die punch”
Пластина со спицами с лучевой стороны Пластина со спицами с локтевой стороны
Техника ORBAY Пластина с угловой стабилизацией (ладонная) с блокирующими винтами Ладонная пластина, разработанная для тыльных переломов Hand Innovations
Техника ORBAY Приобрела популярность в США Разработано множество подобных пластин
Будущее Возможна комбинация техники Medoff и Orbay
The · Hand · Center of · San · Antonio


