e45b05e86ef1424ebb7c8f8a9b2f410d.ppt
- Количество слайдов: 33
CT Urography and applications in uroephithelial tumors Orith Portnoy Dept. of Diagnostic Radiology Sheba Medical Center, Sakler School of Med. Tel-Aviv University, Israel
IVP (intravenous pyelography) v. Initial modality for upper tract imaging in hematuria, flank pain & others for 7 decades. v. Less sensitive than CT for: v v Renal masses (21% for 2 cm mass) Urinary tract stones Renal inflammation Renal trauma
CT Urography (CTU) v. Single detector MDCT volumetric acquisition high resolution reconstructions v. Both renal parenchyma and urothelium shown in a single examination v. Shortening schedule for diagnostic evaluation (hematuria)
CTU at Sheba v Since 6/2004 v ~ 500 studies v GE MDCT 16/64 slice, Philips MDCT BR 40/64 slice
CTU Protocol v Monitored by a radiologist v Non contrast phase (low dose) v Nephrographic phase (100 s delay) saline IV v Excretory phase (400 -800 slices) tailored v Reconstructions on a 4. 1 or 4. 2 GE workstation
Axial images – Normal CTU
MPR MIP
3 D volume rendering
CTU – Rec. bladder TCC 80 Y. O. man Macrohematuria S/P 17 operations for bladder TCC
Staging - Lymphadenopathy
CTU – virtual cystoscopy
56 Y. O. man macrohematuria Rec. bladder TCC seen at cystoscopy Posterior view
CTU and US 46 Y. O. women 1 event of macrohematuria
CTU and IVP v 68 Y. O. man v Left flank pain US (stone) lithothripsy hematuria post 3 w IVP cystoscopy (susp. tumor)
61 Y. O. man Recurrent macrohematuria 6 mo. before – US, IVP, cystoscopy
CTU and PET CT Bladder TCC and CLL Retrograde pyelography – narrowed ureter
Sensitivity v Detection of upper tract urothelial tumors by CTU – 91 -94% in relation to biopsy (Dillman Abd Imaging 2008) v Detection of bladder tumors: microhematuria – 40% vs. cystoscopy, macrohematuria high risk – 93% sens. , 99% spec. (Albani J Urol 2007, Turney BJU 2006) v High risk: >40 y, macrohematuria, smoking, GU tumor P/H, occupational exposure
Types of Urinary Diversion after Cystectomy v Incontinent diversion (ileal, colonic) v Continent cutaneous catheterizable reservoir v Orthotopic neobladder
Imaging after bladder reconstruction v Complications v Recurrence v. Understanding the reconstruction anatomy helps diagnose complications v US , IVP , cystography/lupography antegrade/retrograde pyelography, CT, nuclear medicine v CT-UROGRAPHY
Bladder reconstructin FU
v 68 Y. O. man v 6 years post bladder replacement d/t TCC v 6 months intermittent macrohematuria
Posterior view
CT 18 mo. before
CTU - Disadvantages v Radiation dose Mean effective dose: 23 -35 m. Sv ØCTU 1. 5 more than standard IVP Ø Nawfel et al Radiology 2004 v v Time consuming processing, reviewing Lack large scale research on cost-effectiveness
CTU - summary v Useful diagnostic examination that allows comprehensive evaluation of urinary tracts v. Problem solving tool with other modalities v Becoming the primary imaging study for the work -up of patients with hematuria and other genitourinary conditions v Shorter diagnostic evaluation, decrease need for ureteroscopies v Tailored examination can save radiation v Referrals should be limited (urologists)
THANK YOU!
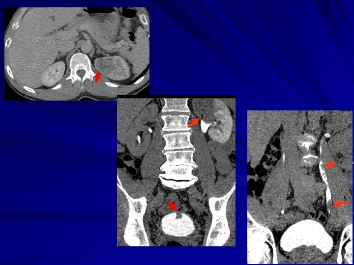
CTU and “regular” CT 66 Y. O. man 1 year post partial nephrectomy for POST. RCC. VIEW New hydronephrosis on CT, suspect rec. obstructing tumor.


