ebdb6e1756745f78d3734f25049e10f9.ppt
- Количество слайдов: 55
Connective Tissue
Connective Tissue n n n n n Binds together, supports and strengthens other body tissues Protects and insulates internal organs Compartmentalizes structures such as skeletal muscle The major transport system within the body Site of stored energy reserves Main site of immune responses Fills spaces Produces blood cells Stores fat
General Features of Connective Tissue n 2 basic parts: ¨ Cells n and Matrix – material between widely spaced cells ¨ Consists of protein fibers and ground substance
Connective Tissue Cells n n Fibroblasts – large flat cells with branching processes. Migrate throughout connective tissue secreting the fibers and ground substance Macrophages – develop from white blood cells. Surround and engulf material by phagocytosis Mast Cells – alongside blood vessels that supply connective tissue. Produce histamine – a chemical that dilates blood vessels. Adipocytes – “fat cells” store triglycerides.
Connective Tissue Matrix – Ground Substance n Ground Substance – component of a connective tissue between the cells and fibers, supports cells, binds them together, and provides a medium through which substances are exchanged. ¨ Ex. Hyaluronic Acid
Fibers of the Matrix White fibers – contain collagen which gives the fibers flexibility and strength n Yellow fibers – contain elastin more elastic than collagen but not as strong n Reticular fibers – thin, highly branched collagenous fibers that provide support n
Connective Tissue Matrix – Fibers n Strengthens and supports connective tissue ¨ Collagen Fibers n Strong, resist pulling forces, flexible n Made of the protein collagen which is the most abundant protein in your body ¨ Elastic Fibers n smaller in diameter than collagen fibers, branch to form network n Made of the protein elastin ¨ Reticular Fibers n Provide support for the walls of blood vessels n Made of collagen with a glycoprotein covering
Types of the Connective Tissue 1. Fibrous Connective Tissue A. Loose CT B. Dense CT C. Reticular CT 2. Cartilage 3. Bone 4. Blood Hyaline Compact Elastic Spongy Regular Adipose Areolar Irregular Elastic Fibrocartilage
1. Fibrous Connective Tissue n Loose (areolar) connective tissue ¨ adipose n Dense connective tissue ¨ Regular ¨ irregular n Reticular connective tissue
A. Loose (areolar) Connective Tissue Lies between other tissues or between organs binding them n Cells made of fibroblasts – large, star-shaped cells n Contains many white fibers (strong and flexible) and yellow fibers (very elastic) n
Loose Connective Tissue Fibers are loosely intertwined among many cells. n Types of loose connective tissue n ¨ Areolar Connective Tissue – one of the most widely distributed connective tissues in the body. Contains fibroblasts, macrophages, plasma cells, mast cells, adipocytes and a few white blood cells as well as all 3 types of fibers n Helps to form the subcutaneous layer n
Loose Connective Tissue ¨ Adipose Tissue – The cells, called adipocytes, are specialized for storage of triglycerides. Adipocytes fill up with a large fat droplet so the nucleus gets pushed to one side of the cell. n Used for insulation, protection and as an energy reserve
n Adipose tissue is a type of loose connective tissue - stores fats, provides insulation - found beneath skin, around kidney & heart, breast
B. Dense Connective Tissue n n n Regular Consists of parallel bundles of collagenous fibers Found in tendons & ligaments Binds organs together n n Irregular Bundles run in different direction Found in inner portion of skin
Dense Regular Dense Irregular
B. Dense Connective Tissue Contains more numerous, thicker and denser fibers but fewer cells than loose connective tissue. n 3 types: n ¨ Dense regular connective tissue ¨ Dense Irregular connective tissue ¨ Elastic Connective Tissue
B 1. Dense Regular Connective Tissue Bundles of collagen fibers are arranged regularly in parallel patterns that give it strength. n Withstands pulling from the ends, but unravels when pulled from the side n Silvery white in appearance. Tough and pliable n Found in tendons and ligaments n
B 2. Dense Irregular Connective Tissue Collagen fibers are packed closely together in an irregular, random pattern n Found in parts of the body where pulling forces are exerted in various directions n Usually found in sheets n Examples: Dermis of the skin, heart valves, perichondrium and periosteum n
B 3. Elastic Connective Tissue Contains branching elastic fibers and fibroblasts n Yellowish in color n Strong, can regain shape after stretching n Found in lungs and arteries n
C. Reticular Connective Tissue Has reticular cells and reticular fibers n Also called lymphatic tissue n Found in lymph nodes, spleen, thymus, and red bone marrow n Store and produce white blood cells n Part of immune system n
C. Reticular Connective Tissue – made of interlacing reticular fibers and reticular cells that connect to each other to form a network. Used to bind together smooth muscle cells and to filter out worn out blood cells and bacteria
2. Cartilage The cell (chondrocytes) lies in small chambers called lacunae n Matrix is solid yet flexible n Lacks direct blood supply, as a result, it heals slowly n
n 3 types A. Hyaline cartilage B. Elastic cartilage C. Fibrocartilage
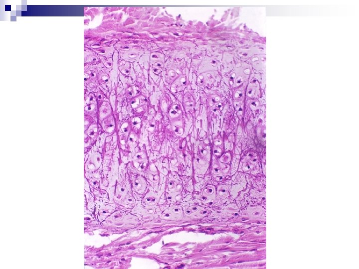
A. Hyaline Cartilage Most common n Matrix contains fine collagenous fibers n ¨ Glassy, n white, opaque Found in the nose, ends of the long bones and ribs, rings in the trachea
A. Hyaline Cartilage Gel like ground substance, collagen fibers (not visible with normal stains) and prominent chondrocytes n Most abundant cartilage in the body n Found at the end of long bones to cushion joints and at epiphyseal plates (growth plates in bones) n Weakest of the 3 types of cartilage n
B. Elastic Cartilage n Contains elastic and collagenous fibers n Found in the outer ear
B. Elastic Cartilage Chondrocytes located in a threadlike network of elastic fibers n Provides strength, elasticity and maintains the shape of certain structures (like the external ear) n
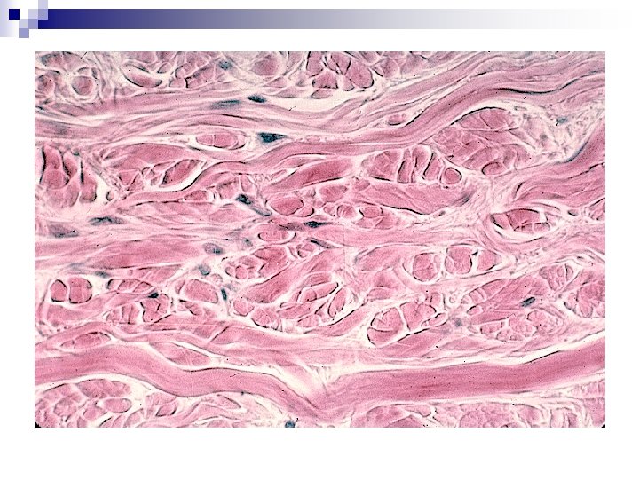
C. Fibrocartilage Matrix contains strong collagenous fibers n Function: absorbs shocks and reduces friction between joints n Found in the pads between the vertebrae and knee joints n
C. Fibrocartilage Chondrocytes scattered among visible bundles of collagen fibers n No perichondrium n Strongest of the 3 types of cartilage n Found in the intervertebral discs n
3. Bones Most rigid of the connective tissues n Minerals and protein fibers gives bone rigidity, elasticity and strength n Two types: n ¨ Compact bone ¨ Spongy bone
Bone Tissue (osseous tissue) n 2 types – compact and spongy ¨ Compact Osteon – basic unit of compact bone n Lamellae – concentric circles of matrix n Lacunae – spaces in the matrix that house cells n Osteocytes – mature bone cells n ¨ Spongy n Trabeculae – columns of bone with spaces filled with red bone marrow
A. Compact Bone Found in the outer portion of long bones n Consists of many cylindrical-shaped units called osteon n
B. Spongy Bone n Found on ends of long bone n Contains bony bars and plates called trabeculae separated by irregular spaces n Blood cells are made within the red marrow found in the spongy bone
Micrograph of Spongy Bone An electron micrograph scan of spongy bone in an osteoporosis patient. Osteoporosis occurs when a body's blood calcium level is low and calcium from bones is dissolved into the blood to maintain a proper balance.
4. Blood n n Connective tissue composed of cells suspended in liquid matrix called plasma Red blood cells (erythrocytes) – carries oxygen White blood cells (leukocytes) – fights infection Platelets – fragment of giant cells found in bone marrow
Blood Tissue Connective Tissue with a liquid matrix n Red Blood Cells (erythrocytes) – transport oxygen n White Blood Cells – function in immunity n ¨ Neutrophils, Eosinophils, Basophils, T and B leukocytes, natural killer cells and Monocytes n Platelets – participate in blood clotting


