c940c8ee51dcda09917563628bea84a6.ppt
- Количество слайдов: 70
Common Respiratory Problems In Children
Case 1: 4 months old One day history of excessive crying Sent home with the diagnosis of windy colic with antispasmodics Next day: – Grunting, respiratory distress, fever. – Admitted , oxygen, IV
Case (contd) Second day: – Mother felt better but continues to be tachypnoeic, chest indrawing, fever persisting. – Vancomycin added with oxygen
Case (contd) Third day – Severe respiratory distress – Pus drained through water seal drainage – Antibiotics contd. – Discharged after 2 wk. Strepto. pneumoniae isolated
Case 2 16 month old boy with wheeze Initial Vitals: HR RR BP Temp O 2 sat on RA 160 60 88/50 38 89%
You do your pediatric triage Appearance Crying, distressed, looking around, moving all 4 limbs Breathing (work of) Laboured, chest caving in, +++indrawing Circulation Colour OK, N cap refill
What would you like to do now? Oxygen by mask applied, IV attempt started and pt now on cardiac monitor Airway No stridor audible, no obvious secretions Breathing +++ wheeze with little air entry bilat (inspiratory AND expiratory) Circulation Warm extrem, PPP, cap refill 2 secs
What would you like to do now? Oxygen CXR done / pending Salbutamol nebulizer IV Access established – orders? ABG report Venous Gas p. H p. CO 2 p. O 2 7. 35 38 125 Normal ABG values are: p. O 2 of 80 -100 mm. Hg; p. CO 2 of 35 -45 mm. Hg; p. H of 7. 35 -7. 45; and Sa. O 2 of 95 -100%
History: ü Has had a “cold” for almost 2 days now (mild fever, decreased energy / appetite with cough and runny nose) ü Started getting wheezy this morning ü No history of exposure to allergens, inhalants or FB aspiration Family History of Asthma / no smokers / no pets Otherwise healthy with no known allergies
Continuous Salbutamol nebulizer for 15 mins has little effect ü Still indrawing ü RR 65 ü Still alert and looking around, crying Additional treatment? IV steroids Methylprednisolone 1 mg/kg IV / IM Continue Salbutamol Consider racemic Epinephrine (0. 5 mls)
Repeat Venous Gas about 30 mins later p. H 7. 15 p. CO 2 55 p. O 2 120 Normal ABG values are: p. O 2 of 80 -100 mm. Hg; p. CO 2 of 35 -45 mm. Hg; p. H of 7. 35 -7. 45; and Sa. O 2 of 95 -100% Eyes rolling back, little crying now … What do you want to do? Drugs? Tube Size? 4 – 4. 5 tube Ketamine 1 -2 mg/kg IV Atropine 0. 01 mg/kg IV (min 0. 1 mg) Succinyl 1 mg/kg IV
Other Options Ø IV Magnesium 25 mg/kg (max 2 gm) Ø IV Epinephrine Ø IV Salbutamol Ø Inhalational Anesthetics Ø Methylxanthines Ø Heli - Ox
Differential Diagnosis of Wheezing H+N Vocal cord dysfunction Chest Asthma Bronchiolitis Foreign Body Aspiration CVS Congestive Heart Failure Vascular Rings
Pediatric Asthma Guidelines MILD Symptoms • Nocturnal cough • Exertional SOB • Increased Salbutamol use • Good response to Salbutamol Pre - Treat O 2 sat > 95% PEF > 75% (predicted / personal best) Treatment ± O 2 Salbutamol Consider po Steroids
Pediatric Asthma Guidelines Symptoms Pre - Treatment MODERATE • Normal mental status • Abbreviated speech • SOB at rest • Partial relief with Salbutamol and required > than q 4 h O 2 sat 92%-95% PEF 50 -75% (predicted / personal best) O 2 100% Salbutamol Systemic corticosteroids Consider anticholinergic
Asthma Guidelines SEVERE Symptoms • Altered mental status • Difficulty speaking • Laboured respirations • Persistant tachycardia • No prehospital relief with usual dose Salbutamol Pre - Treat O 2 saturation <92% PEF, FEV 1 <50% Treatment 100% O 2 Continuous or frequent b-agonists Systemic corticosteroids & magnesium sulfate Consider anticholinergic & / or methylxanthines
Asthma Guidelines Symptoms Pre - Treat NEAR DEATH • Exhausted , Confused • Diaphoretic • Cyanotic, Decreased respiratory effort, APNEA • Falling heart rate O 2 saturation <80% (spirometry not indicated) As above PLUS Treatment IV Salbutamol Inhalational anesthetic, aminophylline Epinephrine
CASE 3 18 mo Girl with 24 hr Hx of coughing with drooling Hx: Has had an URTI for about a week and was getting mildly better until yesterday. She developed a fever and the cough got harsher. Still drinking but not interested in solids Vomited once last night Started drooling this morning
Physical Exam T 39. 1 degrees rectally, P 170, R 28, BP 100/66 Appearance alert, awake, not toxic, in no acute distress Did not appear to prefer upright or a forward leaning position EENT Chest Moist MM, slight erythema of oropharynx, nasal crusting, N TMs, no rash / petechiae, no drooling Supple neck Clear when resting Mild inspiratory stridor with crying Rest of the exam N
DDx? • Croup • Epiglottitis • Bacterial tracheitis • Retro. Pharygeal abcess • Foreign Body aspiration Other things on DDx of Inspiratory Stridor Laryngeal Web TEF Diptheria Airway thermal injury Subglottic stenosis Peritonsillar abcess GERD Esophageal FB Laryngeal fracture Laryngeal cyst Lymphoma
Soft tissue lateral neck radiograph
Retropharyngeal Abscess Lymph nodes between the posterior pharyngeal wall and the prevertebral fascia • gone by 3 – 4 yrs of life • drain portions of the nasopharynx and the posterior nasal passages • may become infected and progress to breakdown of the nodes and to suppuration
ETIOLOGY Complication of bacterial pharyngitis Less frequently - extension of infection from vertebral osteomyelitis Group A hemolytic streptococci, oral anaerobes, and S. aureus
Typically … Recent or current history of an acute URTI Abrupt onset: Ø High fever with difficulty in swallowing Ø Refusal of feeding Ø Severe distress with throat pain Ø Hyperextension of the head Ø Noisy, often gurgling respirations Ø Drooling
On Exam … Nasopharynx Oropharynx Bulging forward of the soft palate and nasal obstruction Bulging of posterior phyaryngeal wall or Not visualized Soft Tissue Neck Film Patient position – MILD EXTENSION Positive Film - Retropharyngeal soft tissue > ½ the width of the adjacent vertebral body - may see air in the retropharynx
Complications Abscess rupture - aspiration of pus. Lateral extension - present externally on the side of the neck Dissection along fascial planes into the mediastinum Death may occur with aspiration, airway obstruction, erosion into major blood vessels, or mediastinitis.
Treatment ü Ceftriaxone 75 mg/kg/day/divided Q 12 hrly üClindamycin 20 -30 mg/kg/day divided Q 8 H (if pre-fluctuant phase) ü Decadron 0. 6 mg/kg ü Airway management ü Surgical decompression
CASE 4 17 month old male with a one-hour history of noisy and abnormal breathing Normal now but at the time, parents thought he was quite distressed. Now, he is able to speak and drink fluids without difficulty
VS T 36. 8, P 200 (crying), R 28 (crying), O 2 sat 99% Alert with no signs of respiratory distress Able to speak, had no cyanosis, no drooling, no dyspnea H+N No obvious swelling, bleeding, FB seen Chest Mild wheezing with ? mild inspiratory stridor What would you like to do now? ? ?
Soft Tissue Neck View
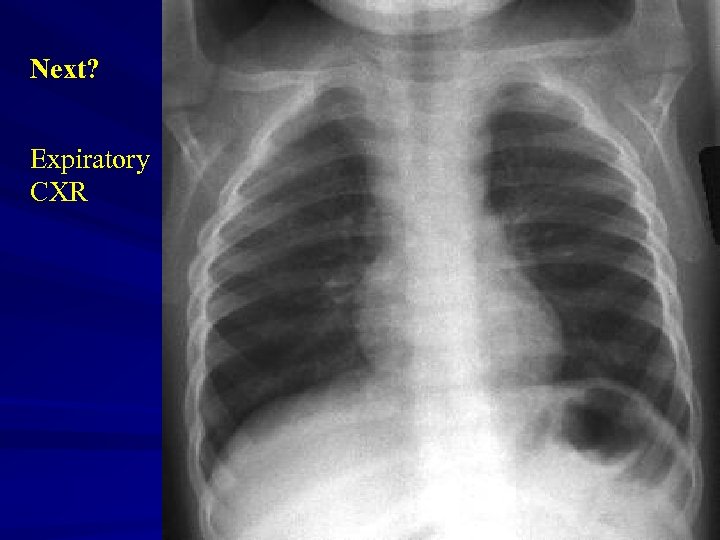
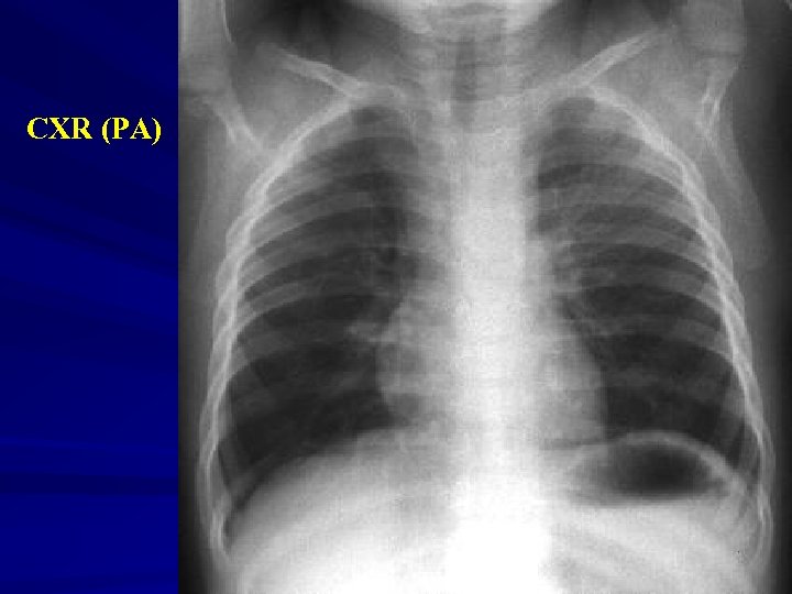
CXR (PA)
Next? Expiratory CXR
Inspiratory View Expiratory View
Right Decub View
Foreign Body Aspiration ü More common with food than toys ü Highest risk between 1 and 3 years old (immature dentition – no molars, poor food control) ü Common foods = peanuts, grapes, hard candies ü Some foods swell with prolonged aspiration (may even sprout)
Clinical Manifestations Typically … Acute respiratory distress (now resolved or ongoing) Witnessed choking period Uncommonly … Cyanosis and resp arrest Symptoms: cough, gag, stridor, wheeze, drool, muffled voice
Investigations Xrays Ø Lateral neck Ø Chest – inspiratory, expiratory, decubitus views Expiratory views Overinflation (partial obstruction with inspiratory flow) Volume loss with mediastinal shift towards obstructed side (partial obstruction with expiratory flow) Atelectasis (complete obstruction)
Decubitus views Normal Smaller volumes and elevated diaphragm on side down Abnormal Hyperinflation or “normal” volumes in decub position If suspected … Need a bronchoscope to rule out or remove Foreign Body
CASE 5 2 yo Boy with Barky Cough for 2 days ü Runny nose, decreased appetite ü Not himself No PMHx / FHx of significance Shots UTD Other sibs with similar URTIs
On Exam … Temp HR O 2 sat RR 38. 9 140 98% (drops to 90% when he crys) 40 (mild indrawing) Irritable, crying, good colour H&N sl erythema of throat, no pus N TMs, small cervical nodes Chest Barky cough, inspiratory stridor No wheeze noted
Diagnosis? Racemic Epinephrine 0. 5 ml dose ? Dexamethasone now or later Re – Assess in 30 minutes No improvement with 1 st dose of epinephrine What would you like to do now?
Re – Examine Ongoing Inspiratory Stridor Cries when trachea is examined IV Ceftriaxone PLUS Cloxacillin Consult Pediatric ICU / Pulmonary for Bronch / Intubation
Bacterial tracheitis ü An acute bacterial infection of the upper airway capable of causing life-threatening airway obstruction ü Staph aureus most commonly (parainfluenza, Moraxella catarrhalis, H. influenzae, anearobes) ü Most pts less than 3 years old ü Usually follows an URTI (esp laryngotracheitis) ü Mucosal swelling at the level of the cricoid cartilage, complicated by copious thick, purulent secretions
CLINICAL MANIFESTATIONS Brassy cough High fever “Toxicity" with respiratory distress (may occur immediately or after a few days of apparent improvement) Failed response to CROUP TREATMENT (mist, intravenous fluid, racemic epinephrine)
Treatment Antibiotics (good Staph coverage) Intubation or tracheostomy is usually necessary ? Decadron
Pediatric Pneumonia Neonate Bacteria more frequent E. coli, Grp B strep, Listeria, Kleb 1 – 3 mo Chlamydia trachomatis (unique) Commonly viral (RSV, etc. ) B. Pertussis 1 – 24 mo S. pneumonia, Chlamydia pneum Mycoplasma pneumonia 2 – 5 yrs RSV Strep pneumonia, Mycoplasma, Chlam
Severe Pneumonia: Staph aureus Strep pneumonia Grp. A strep HIB Mycoplasma pneumonia Pseudomonas if recently hospitalized
History: Infants < 3 months Tachypnea, cough, retractions, grunting, isolated fever or hypothermia, vomiting, poor feeding, irritability, or lethargy As age increases, symptoms are more specific Fever and chills, headache Cough or wheezing Chest pain, abdominal distress, neck pain and stiffness
Physical Exam Tachypnea is the best single indicator of pneumonia Age in months Upper limit of Normal RR <2 60 2 -12 50 > 12 40
Treatment Neonates Ampicillin + Gentamycin / Cefotaxime 1 – 3 mo Erythromycin 10 mg/kg IV Q 6 H 1 – 24 mo Cefuroxime 50 mg/kg IV Q 8 H (not ICU) Ceftriaxone 50 -75 mg/kg IV Q 24 H and Cloxacillin 50 mg/kg IV Q 6 H (ICU) 3 mo – 5 yrs Ceftriaxone / Erythro Clarithro / Azithro (outpt Tx)
Respiratory Failure in Children
Respiratory failure: where is the defect? Ventilation Diffusion Abnormal oxygen carrying capacity Perfusion failure of cellular oxygen uptake
Types of Respiratory Failure Type I failure, also known as normocapnic or non -ventilatory failure, is indicated by hypoxemia (low p. O 2 ) with a normal or low p. CO 2. It is commonly due to ventilation/perfusion (V/Q) abnormalities. Other causes include: impaired diffusion across the alveolarcapillary membrane (as occurs with pulmonary fibrosis and shunting)
Type II failure: An elevated p. CO 2 is the hallmark , also known as ventilatory or hypercapnic failure. It is generally the result of alveolar hypoventilation, increased dead space ventilation, or increased CO 2 production. Other causes are factors that impair the central ventilatory drive in the brainstem, restrict ventilation, or increase CO 2 production.
Causes of Type I Failure V/Q abnormaltities – Pneumonia, meconium aspiraton, Pulmonary oedema. Cyanotic heart disease Diffusion abnormalities – Interstitial fibrosis Inadequate systemic blood flow – Shock Inadequate oxygen carrying capacity – Severe anemia, methhemoglobinemia Inadequate cellular uptake: – Cyanide poisioning
Type II Failure: alveolar hypoventialtion Neuromuscular: – CNS disease, GB Syndrome. Respiratory muscle disorders – Muscular dystrophy Chest wall / pleura: – Pliable chest, pneumothorax, pleural effusion Airway disorders: – Croup. Pulmonary disease – Bronchiolitis, pneumonia, asthma Increased CO 2 production: – Sepsis, fever, burn
In children, respiratory failure most often is due to diseases of the lungs. CNS disorders that lead to respiratory failure are: Control abnormalities that cause Type II (hypercapnic) respiratory failure and usually present without signs and symptoms of respiratory distress (such as dyspnea, retractions, or tachypnea
A 16 -year-old female arrives in the ED after the SLC result. No other history is available because the friends who brought him to the ED left. The vital signs are: Temperature (T) = 96°F; Pulse (P) = 90 beats/min; Respiratory rate (R) = 6 breaths/min; Blood pressure (BP) =120/80 mm. Hg; and Pulse oxygen saturation is 76% on room air.
Glasgow coma scale: 4. Shallow respiration. Pinpoint pupil. Lungs and heart are normal Arterial blood gas (ABG) is: p. H = 7. 13; p. O 2 = 52; p. CO 2 = 81; HCO 3 = 26; and oxygen saturation = 75% on room air. Normal ABG values are: p. O 2 of 80 -100 mm. Hg; p. CO 2 of 35 -45 mm. Hg; p. H of 7. 35 -7. 45; and Sa. O 2 of 95 -100%
Problem This patient has hypercapnia and hypoxia. Of the physiologic events in respiration, diffusion, transport, and the tissue/cellular uptake of oxygen are normal, but ventilation is impaired. Pin point pupil points to the poisoning probably narcotic drug.
An 8 -year-old male muscular dystrophy His vital signs are: T = 100. 2°F; P = 120 beats/min; R = 12 breaths/min; and BP = 100/70 mm. Hg; and Weight = 20 kg. Eamination reveals rhinorrhea and excessive secretions in the oropharynx. There are scattered rhonchi in the lungs bilaterally. There is no cyanosis. The neurologic exam is consistent with his diagnosis of muscular dystrophy with muscle weakness
The ABG is: p. H = 7. 17; p. O 2 = 46; p. CO 2 = 78; HCO 3 = 32; and O 2 saturation = 71% on room air. This patient has Type II hypercapnic respiratory failure secondary to failure of the respiratory muscles from a primary muscle disorder. Normal ABG values are: p. O 2 of 80 -100 mm. Hg; p. CO 2 of 35 -45 mm. Hg; p. H of 7. 35 -7. 45; and Sa. O 2 of 95 -100%
A 4 -month-old female with breathing difficulties. Prematurity (30 weeks), respiratory distress syndrome requiring a ventilator. She also had a congenital gastrointestinal problem requiring surgery at 6 weeks of age and has continued to have gastrointestinal problems. She has bronchopulmonary dysplasia Her vital signs are: T = 103. 5° F; P = 190 beats/min; R = 64 breaths/min; BP = 80/50 mm. Hg; and Pulse oxygen saturation = 82% in room air
Small for her age. Respiratory distress with retractions, grunting, flaring, head nodding. Skin is pale, sweaty, and cyanotic with delayed capillary fill. There are rales in both lung fields. The chest roentgenogram shows diffuse bilateral infiltrates. The ABG on room air is: p. H = 7. 61; p. O 2 = 56; p. CO 2 = 24; HCO 3 = 27; and oxygen saturation is 78%. Normal ABG values are: p. O 2 of 80 -100 mm. Hg; p. CO 2 of 35 -45 mm. Hg; p. H of 7. 35 -7. 45; and Sa. O 2 of 95 -100%
A 2 -month-old is brought to the ED with a chief complaint of not eating for several days. Vital signs are: T = 36. 8°C (R); P = 180 beats/min; R = 58 breaths/min BP = 55/30 mm. Hg; and Pulse oxygen saturation is 78% on room air. O/E tachypnea, retractions, and cyanosis. The lungs are clear. The heart is tachycardic with no murmurs. The liver edge is down 2 cm. The abdomen is nontender. There is no edema and no rash.
An initial ABG reveals: p. H = 7. 48; p. O 2 = 62; p. CO 2 = 34; and HCO 3 = 23. ABG drawn on 100% Fi. O 2 shows essentially no change from the room air blood gas: p. H = 7. 48; p. O 2 = 64; p. CO 2 = 35; HCO 3 = 23; and O 2 saturation is 79%. Normal ABG values are: p. O 2 of 80 -100 mm. Hg; p. CO 2 of 35 -45 mm. Hg; p. H of 7. 35 -7. 45; and Sa. O 2 of 95 -100%
A 5 -year-old male is seen for a cough of several days duration that is not improving Vital signs are: T = 96. 8°F (O); P = 170 beats/min; R = 44 breaths/min; and Pulse oximetry is 94% on room air. O/E: sitting up and leaning forward. wheezing bilaterally. Tachypnic with intercostal retractions. Three continuous salbutamol aerosols were given by nebuliser.
His lungs are clear, no Vital signs are now: wheeze or rales, and T = 96. 8°F (O); no retractions. He has P = 102 beats/min; dry mucous R = 16 breaths/min; membranes and pale BP = 65/40 mm. Hg; skin with tenting. and Pulse oxygen saturation = 86% on room air.
First ABG ; p. H = 7. 52; p. O 2 = 58; p. CO 2 = 24; HCO 3 = 14; and oxygen saturation = 88% on room air. The second ABG shows: p. H = 7. 12; p. O 2 = 68; p. CO 2 = 70; HCO 3 = 14; and oxygen saturation is 90% on 100% Fi. O 2. Normal ABG values are: p. O 2 of 80 -100 mm. Hg; p. CO 2 of 35 -45 mm. Hg; p. H of 7. 35 -7. 45; and Sa. O 2 of 95 -100%
Treatment: Acute Respiratory Failure Hypoxemia is more dangerous than hypercarbia. Administration of supplemental oxygen Ventilatory support Extracorporial Membrane Oxygenation (ECMO) Never use bicarbonates unless lung can exhale
c940c8ee51dcda09917563628bea84a6.ppt