e8c6fc9304d6dcbdfed1c45162ccb38d.ppt
- Количество слайдов: 51
Clinical Pathological Case Presentation NACCT 2003 Jerry D. Thomas, MD Georgia Poison Center Emory University School of Medicine
What We Know CC: Dyspnea HPI: n n n n History of IVDA Progressive dyspnea for 2 days No fevers, chills, cough or chest pain Treated for PCP with TMP/SMX and transferred Denies recent cocaine, heroin, or methamphetamine Took 2 carisoprodol tablets in last 24 hours Took “the shit that killed [rock star]”
What We Know PMH Previously healthy n Rehab admissions n HIV negative one year ago n Known 2 carisoprodol, TMP/SMX n
What We Know Social History Unemployed and lives with girlfriend n Smokes 1 ppd cigarettes and marijuana n IVDA cocaine, heroin, and methamphetamine n Medications and Allergies n None
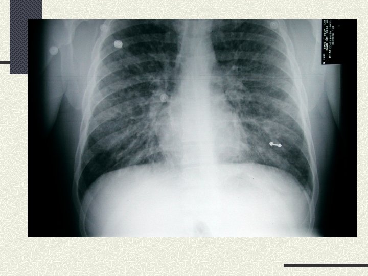
What We Know Physical Exam Afebrile n Tachycardic and tachypneic n Hypoxic n n O 2 n saturation 82% on RA and 91% on 100% NRB Abnormals n RR-30
What We Know CV – Tachycardic but no rubs or murmurs (gallop? ) Neck - ? JVD Lungs – Diffuse rales bilaterally Extremities – Track marks in the left antecubital fossa and tattoos on chest and arms
What We Know Labs WBC: 15. 9 k/mm 3 n HCT: 45. 0 % n Platelets: 240 k/mm 3 n Differential n 59. 9% Neutrophils n 26. 3% Lymphocytes n 6. 2% Monocytes n
What We Know Labs n n n n NA K CL HCO 3 BUN Cr Glu Ca 138 meq/L 4. 6 meq/L 105 meq/L 23 meq/L 12 mg/d. L 0. 7 mg/d. L 141 mg/d. L 8. 6 mg/d. L
What We Know Labs n ABG on Room Air n p. H n p. CO 2 n p. O 2 n HCO 3 n 7. 4 34 mm. Hg 46 mm. Hg 23 meq/L ECG n Sinus tach, QRS 88 ms, QTC 390 ms, no ectopy or ischemia
What We Know Urine Drug Screen n n n Amphetamines – Negative Cocaine – Negative THC – Positive Benzodiazepine – Negative Barbiturates – Negative TCAs – Negative ASA/APAP/ Et. OH n Nondetectable
What We Would Like To Know! Better physical exam Clinical course prior to presentation Cardiac echo CVP When did he last use his usual drugs? What type of DOA screen Which freaking rock star!!!
Clinical Picture Due to: Noncardiogenic Pulmonary Edema Cardiogenic Pulmonary Edema/Myocardial Infarction/Cardiomyopathy/Endocarditis/Valve or leaflet rupture Aspiration Pneumonitis Toxic Inhalants Myocardial Depressant Effects of Toxin Talc Emboli
Developing a Differential Pulmonary Edema Cardiogenic n Noncardiogenic n Drugs of Abuse Rock Stars
Systems Analysis Rock Star Deaths Pulmonary Edema Drug Abuse
Cardiogenic versus Noncardiogenic Pulmonary Edema (NCPE) Cephalization of Pulmonary Vessels Cardiomegaly Pulmonary Capillary Wedge Pressure > 20 mm Hg NCPE sometimes classified with ARDS
Cardiogenic Pulmonary Edema Acute Poisoning Adrenergic Agonists -Myocardial Infarction Ergotamines n Cocaine n Amphetamines n Ephedrine n After Mark Kirk CPC NACCT 2000
Cardiogenic Pulmonary Edema Acute Poisoning Carbon Monoxide Arsenic Antineoplastic Agents Interferon n Cyclophosphamide n Anthracycline n
Cardiogenic Pulmonary Edema Chronic Exposure Ipecac Ethanol Thiamine/Carnitine/Selenium Deficiency Hypophosphotemia Cobalt Doxorubicin
Cardiogenic Pulmonary Edema Acute Poisoning Calcium Channel Antagonists Beta-Adrenergic Antagonists Sodium Channel Blockers Type IA antidysrhthmics n Amantadine/Antihistamines n TCA/Quinine/Chloroquine n Cocaine/Propoxyphene n
Pulmonary Edema Medicinal: aldesleukin, amantadine, amiloride, amiodarone, ammonium chloride, bleomycin, boric acid, buflomedil, carteolol, chlorhexidine gluconate, chloroxylenol, cocaine, codeine, colchicine, cytarabine, desipramine, dibenzepin, dipyridimole, doxepin, esmolol, ethchlorvynol, glutethimide, haloperidol, heroin, imipramine, iodine, iron, ketorolac, lindane, methadone, methamphetamine, methyprylon, minoxidil, morphine, nalbuphine, naproxen, nifedipine, nimodipine, nitrofurantoin, nortriptyline, opium, oxycodone, paclitaxel, paraldehyde, pentazocine, phenobarbital, phenolphthalein, phenylbutazone, pilocarpine, povidone-iodine, propofol, propoxyphene, propranolol, protamine, rifampin, ritodrine, sodium chloride, sotalol, tenecteplase, terbutaline, tocainide, verapamil, vinorelbine, zinc sulfate Nonmedicinal: 1, 2 -dibrom-3 -chloropropane, dibromoethane, acetaldehyde, acrolein, aldicarb, aluminum phosphide, ammonia, benzene, blasticidin s, bromophos, carbaryl, chenopodium oils, chlorfenvinphos, chlorine, chloracetophenone, chlorobenzylidene malonitrile, chlorform, chloropicrin, chlorpyrifos, copper, coumaphos, cresols, cyanide, demeton-s-methyl, diazinon, diborane, dichlorvos, dicrotophos, diethylene glycol, dimethylnitrosamine, dioxathion, disulfoton, endosulfan, ethion, ethylene dichloride, ethylene glycol, ethylene oxide, fensulfothion, fenthion, freon, gasoline, hydrazine, hydrogen chloride, hydrogen fluoride, hydrogen sulfide, jet fuel-5/jet fuel-8, malathion, mercury, methidathion, methiocarb, methomyl, methyl bromide, methyl parathion, nickel carbonyl, nitrogen dioxide, osmium, parathion, phosdrin, phosgene, phosphine, profenofos, propoxur, pyrethrins, selenium, sodium azide, sulfur dioxide, sulfuryl fluoride, terbufos, tetraethyl pyrophosphate, thallium sulfate, titanium, toluene, trichloroethane, trichloroethylene, trimellitic anhydride, turpentine oil, uranium, vanadium, zinc phosphide Biologicals: Arizona bark scorpion, autumn crocus, betel nut, box jellyfish, clove, eucalyptus oil, funnel web spider, germanium
What Causes Pulmonary Edema? What doesn’t cause pulmonary edema?
Etiologies of NCPE Direct Injury Aspiration n Inhalational injuries n Near drowning n Pulmonary contusion n Diffuse Pulmonary infection n Perina DG. Noncardiogenic pulmonary edema. Emerg Med Clinics of NA 2003; 21: 385 -393.
Noncardiogenic Pulmonary Edema Adult Respiratory Distress Syndrome Opioids/Naloxone Salicylates Irritant Gases Amphetamines/ Cocaine Thiazide Diuretics Amiodarone/ Amphotericin/ Vinca Alkaloids/ Colchicine/ Ethchlorvynol
Indirect Injury Systemic Sepsis and septic shock Blood products transfusion reaction High altitude effects Drug overdose Neurogenic insults Pancreatitis Cardiopulmonary bypass Severe non-thoracic trauma Fat emboli Air emboli
Indirect Injuries Uremia Coagulopathies DIC
Common drugs Drug OD Heroin n Methadone n Aspirin n Propoxyphene n Ethchlorvynol n Reed CR, et al. Drug-Induced Noncardiogenic Pulmonary Edema. Chest 1991; 100: 1120 -1124.
NCPE Inhaled toxins Smoke n Ammonia n Chlorine n Nitrous oxide n Phosgene n Methylene chloride n
Rock Star Deaths Where did I keep those notes from Erickson’s lecture? n Heroin n n Cocaine n n Jimi Hendrix, Judy Garland, Brian Epstein Amphetamines n n Shannon Hoon, Wells Kelly, DJ Screw, Bobby Sheehan, Tommy Bolin, David Ruffin Barbiturates n n Tommy Bolin, Sid Vicious, Janis Joplin, Billie Holliday, Dee Ramone, Lance Krantz, Jan Mc. Adam, Paula Yates, Eddy Shaver, Will Clay, Stacy Guess, Brad Nowell, Frankie Lymon, Neil Storey, Gregory Herbert, Judee Sill, Rick Evers, Roy Montrell, Danny Whitten, Dave Waller Hank Williams Other n Zac Foley, Rob Pilatus, Elvis Presley, Keith Moon
I need an Atypical Rock Star Death Everything this guy usually takes could cause this! UDS negative for opiates, cocaine and amphetamines n ? False negatives n Synthetic opiate Keith Moon n Heminevrine- Chlormethiazole being used for Et. OH addiction.
Screw It Differential too large I’ve got better things to do I’m not feeling the love I need a new system approach
EKR Systems Approach to CPCs Apologies to Dr. Elizabeth Kubler-Ross
Denial I am good enough and smart enough and doggone it, people like me. I have plenty of time to figure out the CPC!
Anger How the hell do they expect me to figure out this CPC! Everything has a case report associating it with pulmonary edema! Where are my fellows when I need them!
Bargaining Who can I bribe to figure out this CPC? How can I cheat if at all possible?
Depression My differential just keeps getting larger. Maybe there will be another blackout. What do 4 out of 5 toxicologists recommend for an overdose?
Acceptance OK, the differential is enormous and there is little to narrow down the field so what answer is the most satisfying intellectually for an NACCT CPC?
What Would Elvis Do? What didn’t Elvis do?
The Shit That Killed Elvis died in the bathroom. Slang term for high grade marijuana Percodan Demerol Amphetamines Myriad sedative hypnotics n n n Methaqualone Barbiturates Ethchlorvynol
Marijuana UDS positive for THC Doesn’t usually cause pulmonary edema n Possible contaminant n n PCP n Ketamine n Paraquat
Methaqualone Used by Elvis Reports of Pulmonary Edema Schedule I since 1984 and reports are infrequent Kids are making everything these days
Ethchlorvynol Placidyl – sedative, hypnotic Used by Elvis Causes NCPE when injected not usually when taken orally After IV injection causes a minty taste in the mouth then dyspnea Abbott discontinued production in 1999. Is it available?
Ethchlorvynol The following ethchlorvynol cases have been reported to AAPCC TESS since 1/1/2000: n 50 human cases as substance 1, no deaths n 90 human cases total as one of the involved substances, no deaths
Does it Fit? Miller, KS, et al. Bilateral exudative pleural effusions following intravenous ethchlorvynol administration. Chest 1989; 95: 464 -465. Conces, DJ, et al. Pulmonary edema induced by intravenous ethchlorvynol. Am J Emerg Med 1986; 4: 549 -551. Glauser FL, et al. Ethchlorvynol (Placidyl) – induced pulmonary edema. Ann Intern Med 1976; 84: 46 -68. Burton WN, et al. Adult respiratory distress syndrome after Placidyl abuse. Crit Care Med 1980; 8: 48 -49. Swearingen PV. Placidyl and pulmonary edema. Ann Int Med 1976; 84: 614615. Yell RP. Ethchlorvynol overdose. Am Journ of Emerg Med 1990; 8: 246 -250.
Treatment Supportive Care n n PEEP Usually resolves within 72 hours Animal studies did show possible benefit in pretreatment with cyclooxygense inhibitors Nesiritide n Bobadilla RV, et al. Nesiritide treatment of noncardiogenic pulmonary edema. Annals of Pharmacotherapy. 2003; 37(4): 530 -533.
Other guesses Talc emboli Marijuana contaminant Just about anything


