14b40b7b9a52a5b667a188d0478baa5b.ppt
- Количество слайдов: 34
Cleanliness
Bathing ► An upper-class woman in 1799 tells her journal, “I am gathering the courage to try the family shower, ” although they have owned it for over a year.
► In Washing Essex County, MA, not a single record of a washstand has been found before 1763. ► By 1850, the basin, pitcher, and washstand are standard fixtures in a middle-class bedroom.
Trash ►From throwing household trash out the window, people began depositing it in hidden pits in the yard.
Civilization ► Early nineteenth century medical wisdom: “The more a country is civilized, the more they consult this part of politeness”— cleanliness.
American obsession ► “It were better to wash twenty times a day, than to allow a dirty spot to remain on any part of the skin” 1840 s ► “he who neglects his person and dress will be found lower in the scale of morals, other things being equal, than he who pays due regard to cleanliness” 1830 s
► Cleanliness “is an emblem, if not a characteristic, of purity of thought and propriety of conduct” 1844
But slaves…(according to owners) habits of the ►“I would not negro are filthy and if I could give careless” ► Slaves “should not be you or any permitted in these friend of mine filthy, though very natural, propensities” an idea of ► They are a [this slave “proverbially filthy house’s] race” ► “The fetidness”
Make-up ► In the nineteenth century: ► “Face-painting” represented deceit: everyone should be able to read your emotions from your blush, and your social class from your pale skin.
What was allowed: ►Lotions, creams, and powders ►Skin whiteners ► But: ►One wearing face paint (make-up) was immoral or ridiculous; she was pretending to be higher class
After the Civil War ►Lower-class women (usually) using lead-based face paint, but of course denying it to doctors, sometimes died of lead poisoning
Complexions ►White skin was the style before the 1920 s, but it was not allowed to be achieved through cosmetics. ► Journals mocked lower-class women wearing white make-up: “It is quite funny to see that smeared smooth white face, and red wrists emerging from one button pale gloves”
Still in the 1850 s… ►When African-Americans wore make-up, it was viewed as an attempt to look “white” ►A journal states that these “Beautiful black and brown faces…assume unnatural tints, like the vivid hue of painted corpses”
In the twentieth century (1940 s)
1960 s
http: //www. californiatan. com/tanbasic/history _of_tan. ehtm
2000 s ► Beautiful Body Bronzer We may never have the rocks that she's got, but copping J. Lo's sun-kissed look is now achievable with Glow by J. Lo Bronzing Body Moisturizer, $25. It's a light, tinted shimmery lotion that'll make your own bod bling. Buy it at Macy's (Cosmopolitan Magazine)
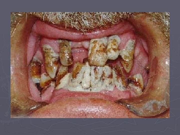
1776 Maryland Gazette ►“the foulness of the teeth by some people is little regarded; but with the fair sex, with the polite and elegant part of the world, it is looked on as a certain marl of filthiness and sloth. ”
►The “mouth with teeth” was invented in the early 1800 s. Attention to the care of teeth grew; dentistry became a profession.
►From 1800 - 1860 ►Hand-made toothbrushes to manufactured.
Booker T. Washington The Gospel of the Toothbrush ►“there are few single agencies of civilization that are more far-reaching. ”
►All students at Tuskegee after the Civil War were required at least to own a toothbrush. ►Its use brings about “absolute cleanliness of the body” and individualized discipline.
► Servants Slaves at auction: the slave dealer “grasp[s] at the man’s arms, as if to feel their muscular capacity. He then examined his hands and fingers; and, last of all, told him to open his mouth and show his teeth, which he did in a submissive manner. ”
Slave auction ► Prospective buyers take turns “feeling their arms, looking into their mouths, and investigating the quality of their hands and fingers. ” ► The male slave is made to undress while buyers scrutinize his skin and hands and “every tooth in his head [is] scrupulously looked at. ”
► Dr. Wolfe: Lisa, Marge, these braces are invisible, painless, and periodically release a delightful burst of Calvin Klein's "Obsession--for Teeth. "
► The teeth! --they were here, and there, and everywhere, and visibly and palpably before me; long, narrow, and excessively white, with the pale lips writhing about them, as in the very moment of their first terrible development.
► The forehead was high, and very pale, and singularly placid; and the once jetty hair fell partially over it, and overshadowed the hollow temples with innumerable ringlets now of a vivid yellow, and Jarring discordantly, in their fantastic character, with the reigning melancholy of the countenance. The eyes were lifeless, and lustreless, and seemingly pupil-less, and I shrank involuntarily from their glassy stare to the contemplation of the thin and shrunken lips. They parted; and in a smile of peculiar meaning, the teeth of the changed Berenice disclosed themselves slowly to my view.
► Few deductions, if any, were made; and those few pertinaciously returning in upon the original object as a centre. The meditations were never pleasurable; and, at the termination of the reverie, the first cause, so far from being out of sight, had attained that supernaturally exaggerated interest which was the prevailing feature of the disease.
14b40b7b9a52a5b667a188d0478baa5b.ppt