Цирроз печени.ppt
- Количество слайдов: 66
Цирроз печени Доцент Алексейчик С. Е. 1 -я кафедра внутренних болезней БГМУ
Цирроз печени n n Цирроз печени (ЦП) — хроническое полиэтиологическое диффузное прогрессирующее заболеванне печени, характеризующееся значительным уменьшением количества функционирующих гепатоцитов, нарастающим фиброзом, перестройкой нормальной структуры паренхимы и сосудистой системы печени, появлением узлов регенерации и развитием в последующем печеночной недостаточности и портальной гипертензии. Согласно патологоанатомическим критериям, ЦП является необратимым диффузным процессом, для которого характерны резко выраженная фиброзирующая реакция, перестройка нормальной архитектоники печени, узелковая трансформация и внутрипеченочные сосудистые анастомозы. Смертность от ЦП составляет в разных странах от 14 до 30 случаев на 100 000 населения. В связи с необратимостью ЦП при оценке распространенности его среди населения основным критерием служат не столько показатели заболеваемости, сколько смертности. В странах Западной Европы и СІІІА частота ЦП по данным вскрытий колеблется в пределах 3 9%.
Этиология 1. Вирусный гепатит В (± НDV), С. 2. Алкоголизм. 3. Метаболические нарушения: n гемохроматоз; n болезнь Вильсона Коновалова; n недостаточность а 1 антитрипсина; n гликогеноз типа IV ; n галактоземия; n наследственный тирозиноз. 4. Длительный внутри и внепечёночный холестаз. 5. Нарушение венозного оттока из печени: n веноокклюзионная болезнь; n синдром Бадда – Киари; n констриктивный перикардит. 6. Иммунные нарушения ( «люпоидный» гепатит). 7. Интоксикации. 8. Токсическое действие лекарств. 9. Детский индийский цирроз. 10. Криптогенный цирроз.
Химические токсические вещества и лекарственные средства Токсические вещества: n Промышленные яды (четыреххлористый углерод, диметилнитрозамин, хлороформ, бензол, аминосоединения и др. ); n Соли тяжелых металлов (интоксикация ртутью и др. ); n Грибные яды (фаллоидин, фаллоин, аманитин); n Афлатоксины) содержатся в перезимовавшем зерне, кукурузе). Лекарственные вещества: n метилдофа; n изониазид; n парааминосалициловая кислота (ПАСК); n ипразид; n препараты, содержащие мышьяк; n индерал в больших дозах; n цитостатики (в частности, метотрексат); n стероидные анаболические препараты и андрогены.
Патогенез n n Патогенез цирроза печени определяется этиологическими особенностями, а также механизмом самопрогрессирования цирроза, общим для всех форм этого заболевания. В патогенезе вирусного ЦП имеют значение персистирование вирусной инфекции и обусловленного ею иммуновоспалительного процесса, цитопатическое (гепатотоксическое) действие вирусов D и С, развитие аутоиммунных реакций. В развитии аутоиммунного ЦП основную роль играют аутоиммунные реакции, вызывающие резко выраженный иммуновоспалительный процесс с некрозами печеночной ткани. В патогенезе алкогольного ЦП ведущее значение приобретают повреждение гепатоцитов алкоголем и продуктом его метаболизма ацетальдегидом, стимуляция фиброзирования в печени под влиянием алкоголя.
Молекулярные механизмы лекарственных поражений печени n n n n n Перекисное окисление липидов Денатурация белков Истощение запасов АТФ Нарушение функции метохондрий Образование гаптенов Связывание с рецепторами Блокада транспортной РНК Нарушение гомеостаза кальция Разрушение цитосклета
Классификация цирроза n n Морфологическая классификация Морфологически выделяют 3 формы цирроза: мелкоузловой, крупноузловой и смешанный. Для мелкоузлового цирроза характерны широкие (2 мм) регулярные септы, мелкие узлы регенерации(1 3 мм в диаметре), почти одинаковые по размеру, поражение всех долек. Способность печени к регенерации при мелкоузловом циррозе может быть снижена, что наблюдается, например, при алкоголизме, недоедании, анемии или в пожилом возрасте. Крупноузловому циррозу свойственны септы и узлы разных размеров (до 5 см в диаметре), наличие внутри крупных узлов нормальных долек. О коллапсе долек свидетельствует близкое расположение или слияние фиброзных рубцов на месте трёх или более портальных трактов. Наличие крупных клеток с большим ядром и клеточных балок разной толщины отражает процесс регенерации. Регенерация печени при мелкоузловом циррозе приводит со временем к его трансформации в крупноузловой или смешанный цирроз.
ШКАЛА ТЯЖЕСТИ ЦИРРОЗА ПО CHILD-PUGH
Прогностическая система критериев Чайлда (группы А, В и С) n n Прогностическая система критериев Чайлда (группы А, В и С) учитывает наличие желтухи, асцита, энцефалопатии, уровень альбумина в сыворотке и качество питания. Она позволяет составить довольно точный краткосрочный прогноз. В модифицированной прогностической системе Чайлда—Пью вместо качества питания учитывают уровень протромбина и степень выраженности перечисленных признаков в баллах. Исходя из суммарного количества баллов, больных относят к одной из групп: А, В или С. Прогностический индекс рассчитывают на основе регрессионной модели пропорционального риска Кокса. На неблагоприятный прогноз указывают увеличение протромбинового времени, значительный асцит, желудочно кишечные кровотечения, пожилой возраст, ежедневный приём большого количества алкоголя, высокий уровень билирубина и высокая активность ЩФ, низкий уровень альбумина и плохое питание.
ПРОГНОЗ У БОЛЬНЫХ ЦИРРОЗОМ ПЕЧЕНИ НА ОСНОВАНИИ СИСТЕМЫ CHILD - PUGH
Оценка функции печени n n n Печёночная недостаточность проявляется желтухой, асцитом, энцефалопатией, низким уровнем альбумина в сыворотке, недостаточностью протромбина, которую не удается устранить назначением витамина К. Портальную гипертензию диагностируют на основании спленомегалии и варикозного расширения вен пищевода, а также повышенного давления в воротной вене, которое можно выявить современными методами исследования. Динамическое наблюдение за клинической и гистологической картиной, а также за биохимическими показателями функции печени позволяет оценить течение цирроза, которое может быть прогрессирующим, регрессирующим или стабильным.
Клинические проявления цирроза n n n Жалобы и анамнез Повышенная утомляемость и уменьшение массы тела Анорексия и диспепсия, сопровождающаяся метеоризмом Боли в животе Желтуха. Изменение цвета кала и мочи Асцит или отёчность голеней Кровотечения: носовое, желудочно-кишечное, из дёсен Подкожные кровоизлияния Снижение либидо Состояние здоровья в прошлом: • желтуха, • гепатит , • приём лекарств , • переливания крови. Социальный фактор: злоупотребление алкоголем Наследственность
Клинические проявления цирроза n n n n Осмотр Характер питания больного Повышение температуры Печёночный запах изо рта Желтуха Пигментация Пурпура Симптом «барабанных палочек « Белый цвет ногтевых пластинок Сосудистые звёздочки Пальмарная эритема Гинекомастия, атрофия яичек Выпадение волос в местах вторичного оволосения тела Увеличение околоушных слюнных желез, контрактура Дюпюитрена Живот: асцит, расширение вен передней брюшной стенки, размеры печени, селезёнки. Неврологические признаки: ступор, тремор , Изменение психического статуса.
Факторы, затрудняющие диагностику лекарственных поражений печени n n n Нежелание пациента сообщать о приеме некоторых препаратов (нейролептики, антидепрессанты, средства для повышения потенции…) Нежелание врачей сообщать о побочных эффектах лекарств у пациентов Неправильная трактовка симптоматики
Симптомы, нацеливающие на поиск лекарственной природы поражения печени n n n n Лихорадка Ринит Конъюнктивит Зуд Сыпь Артралгии Миалгии Анорексия Тошнота Боль в животе Диарея Лимфаденопатия Эозинофилия лейкоцитоз/лейкопения
Инструментальные и лабораторные исследования Гематологические: n -концентрация гемоглобина , n -количество лейкоцитов и тромбоцитов , n -протромбиновое время Биохимические: n -уровень билирубина , n -альбумина , n -глобулинов и иммуноглобулинов в сыворотке , n -активность сывороточных трансаминаз, ЩФ Иммунологические : n -антитела к гладкой мускулатуре , n -антимитохондриальные антитела , n -антинуклеарные антитела , n -НВs. Ag, анти-НСV (другие маркёры гепатита); n -а-фетопротеин
Лабораторное исследование n n n Гематологические показатели. Обычно выявляется умеренная нормохромная нормоцитарная анемия; иногда анемия бывает макроцитарной. При желудочно кишечных кровотечениях развивается гипохромная анемия. Количество лейкоцитов и тромбоцитов уменьшается (гиперспленизм). Протромбиновое время увеличивается и не нормализуется при терапии витамином К. Костномозговое кроветворение макро или нормобластное. Увеличение количества плазматических клеток коррелирует со степенью гиперглобулинемии. Биохимические изменения сыворотки крови. Наряду с повышенным уровнем билирубина повышается уровень у глобулинов. Уровень альбуминов снижен. Активность ЩФ обычно в 2 раза превышает норму, иногда, особенно при алкогольном циррозе, она оказывается очень высокой. Может повышаться активность трансаминаз. Изменения мочи. Увеличивается содержание уробилиногена; при желтухе в моче появляется билирубин. Асцит сопровождается снижением экскреции натрия.
Инструментальные методы исследования n n n Цирроз печени диагностируют при выявлении множества узлов в ней в сочетании с фиброзом. Это можно сделать при прямой визуализации , например при лапаротомии или лапароскопии. Однако производить лапаротомию специально для диагностики цирроза нецелесообразно, поскольку она даже при компенсированной функции печени может оказаться причиной развития печёночной недостаточности. При лапароскопии на поверхности печени видны узлы, которые можно подвергнуть прицельной биопсии. При сцинтиграфии выявляются снижение поглощения радио фармацевтического препарата, его неравномерное распределение и поглощение селезёнкой и костным мозгом. Узлы не визуализируются. При ультразвуковом исследовании (УЗИ) признаками цирроза являются неравномерная плотность ткани печени и участки повышенной эхогенности. Хвостатая доля оказывается увеличенной. Тем не менее до появления асцита данные УЗИ не позволяют диагностировать цирроз. Узлы регенерации могут напоминать участки очагового поражения печени. Для исключения их злокачественной природы необходимо динамическое наблюдение или определение уровня а фетопротеина.
Инструментальные методы исследования n n n Диагностика цирроза и его осложнений с помощью компьютерной томографии (КТ) экономически оправданна. КТ позволяет оценить размеры печени и выявить неровность её поверхности, обусловленную узлами. КТ позволяет выявить жировую инфильтрацию, повышение плотности ткани печени, вызванное отложением железа, обьёмные образовання. После внутривенного введения контрастного вещества визуализируются воротная и печёночная вены, а также коллатеральные сосуды и увеличенная селезёнка — достоверные признаки портальной гипертензии. КТ представляет собой эффективный метод наблюдения за течением цирроза. Под контролем КТ можно выполнить прицельную биопсию печени с минимальным риском.
Диагностическое значение пункционной биопсии печени n n Пункционная биопсия может играть ключевую роль в установлении этиологии цирроза печени и определении его активности. При наличии противопоказаний к биопсии (например, асцит или нарушение свёртывания крови) её следует выполнить через яремную вену. Для оценки прогрессирования заболевания желательно проведение биопсии в динамике. Для получения достаточно крупных образцов печёночной ткани и во избежание повреждения других органов (особенно жёлчного пузыря) при циррозе печени показана прицельная биопсия острой иглой под визуальным контролем во время УЗИ или КТ.
Прогноз n n Обычно считается, что цирроз печени необратим, но, как показывают наблюдения за больными с гемохроматозом и болезнью Вильсона, при лечении фиброз может подвергаться обратному развитию, так что концепция о необратимости цирроза печени не доказана. Цирроз не всегда прогрессирует, лечение может остановить его дальнейшее развитие. Разработка методов трансплантации печени повысила требования к прогнозированию течения цирроза: чтобы вовремя направлять больного на операцию, необходимо знать по возможности точный прогноз. Изучение показателей функции печени обычно не дает дополнительной прогностической информации по сравнению с системой критериев Чайлда, хотя показано, что дыхательная проба с аминопирином имеет значение для больных с алкогольным циррозом печени, принадлежащих к прогностическим группам А и В по Чайлду.
Прогностическое значение отдельных факторов. 1 Этиология цирроза. При алкогольном циррозе полное воздержание от употребления спиртных напитков обеспечивает лучший прогноз, чем при криптогенном циррозе. . 2 Если причиной декомпенсации послужило кровотечение, инфекция или употребление алкоголя, прогноз лучше, чем при спонтанной декомпенсации, потому что действие провоцирующего фактора можно устранить. . 3 Эффективность лечения. Если через 1 мес от начала лечения в стационарных условиях улучшение не наступает, прогноз неблагоприятный. . 4 Желтуха, особенно стойкая, неблагоприятный прогностический признак.
Прогностическое значение отдельных факторов. 5 Неврологические осложнения. Значение этих осложнений зависит от характера их появления. Так, неврологические расстройства, развившиеся на фоне прогрессирующей печёночно клеточной недостаточности, указывают на плохой прогноз, в то время как расстройства, развивающиеся медленно и связанные с портосистемным шунтированием, легко поддаются коррекции ограничением белков в пище. . 6 Асцит ухудшает прогноз, особенно если для его лечения требуются большие дозы диуретиков. 7. Размер печени. Чем больше размер печени, тем лучше прогноз, поскольку при этом сохраняется большее количество функционирующих клеток. . 8 Кровотечение из варикозно-расширенных вен пищевода. Если функция гепатоцитов сохранена больной сможет удовлетворительно перенести кровотечение; если функция нарушена, возможно развитие печёночной комы с летальным исходом.
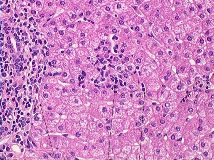
Прогностическое значение отдельных факторов. 9 Биохимические показатели. При уровне альбумина в сыворотке ниже 2, 5 г% прогноз неблагоприятный. Гипонатриемия ниже 120 ммоль/л, если она не связана с приёмом диуретиков, также свидетельствует о плохом прогнозе. Активность трансаминаз и уровень глобулинов в сыворотке не имеют прогностического значения. . 10 Стойкая гипопротромбинемия, сопровождающаяся спонтанным образованием гематом и кровоподтёков, является плохим прогностическим признаком. . 11 Стойкая артериальная гипотензия (систолическое артериальное давление ниже 100 мм рт. ст. ) плохой прогностический признак. . 12 Гистологические изменения печени. Биопсия позволяет оценить выраженность некроза и воспалительной инфильтрации. При жировой инфильтрации печени лечение обычно эффективно.
Активная и неактивная фазы цирроза печени
Активная и неактивная фазы цирроза печени
Лечение n n n При компенсированном циррозе важно динамическое наблюдение для своевременного выявления печёночно клеточной недостаточности. Необходимы сбалансированная диета и воздержание от употребления алкоголя. Если больной не истощён, достаточно приёма 1 г белка на 1 кг массы тела. Метионин или различные гепатопротекторы дополнительно назначать не нужно. Отказ от масла и других жиров, яиц, кофе и шоколада не имеет терапевтического значения. При стабильном течении цирроза дополнительно рекомендовать приём аминокислот с разветвлённой цепью не нужно. При выраженной дистрофии обычную диету полезно дополнить частым внеочередным приёмом малых порций пищи. Полное энтеральное питание в течение 3 нед сопровождается повышением уровня альбумина и улучшением прогностического индекса, определённого по системе критериев Чайлда: -прекращение контакта с промышленными токсинами; -предотвращение заражения вирусами парентеральных гепатитов.
Ограничение употребления лекарств
ЛЕЧЕНИЕ ПРИ НАЛИЧИИ ПРИЗНАКОВ АКТИВНОГО ЦИРРОЗА ПЕЧЕНИ
ДЕКОМПЕНСИРОВАННЫЙ ЦИРРОЗ ПЕЧЕНИ Основные осложнения цирроза: n Асцит n Портосистемная энцефалопатия n Кровотечения (варикозные, желудочные, кишечные( n Гидроторакс n Отеки n Гепаторенальный синдром n Спонтанный бактериальный перитонит n Портальная гипертензивная гастропатия n Геморрагический синдром n Нарушения в питании
АСЦИТ n n n n n Ультрасонография (позволяет выявить 300 мл жидкости, при целенаправленном исследовании - 100 мл( Клинические ситуации Умеренный асцит Напряженный асцит Рефрактерный асцит Синдром гипонатриемии Гепаторенальный синдром Спонтанный бактериальный перитонит Методы лечения: Постельный режим Ограничение натрия Диуретики
МОНИТОРИНГ ТЕРАПИИ ДИУРЕТИКАМИ
СПОНТАННЫЙ БАКТЕРИАЛЬНЫЙ ПЕРИТОНИТ Инфицированный асцит в отсутствие повреждения желудочно-кишечного тракта. Патогенез n. Результат инфицирования асцитической жидкости во время эпизодов транзиторной бактериемии на фоне снижения иммунитета у больных циррозом печени. Основной резервуар возбудителей - толстый кишечник. Диагноз n. Выявление > 250 нейтрофилов/мм 3 асцитической жидкости. Факторы риска спонтанного бактериального перитонита n Выраженные нарушения функции печени n Класс тяжести цирроза С n Установленный низкий уровень белка в асцитической жидкости (< 10 г/л (
СПОНТАННЫЙ БАКТЕРИАЛЬНЫЙ ПЕРИТОНИТ n n n n Признаки , позволяющие заподозрить спонтанный бактериальный перитонит Уменьшение эффекта диуретиков Усугубление портосистемной энцефалопатии Боли в животе Напряжение передней брюшной стенки Повышение t° тела Профилактика Проводится при наличии факторов риска.
Профилактика спонтанного бактериального перитонита
Портосистемная энцефалопатия
Варикозные кровотечения ПРОФИЛАКТИКА ПЕРВОГО И ПОВТОРНЫХ ЭПИЗОДОВ ВАРИКОЗНЫХ КРОВОТЕЧЕНИЙ
Питание больных циррозом печени Группы продуктов Не желательные продукты Факторы ограничения Мясо (включая дичь), потроха Без ограничения при хорошей Пресервы, соленые толерантности к белку (жирные продукты сорта мяса содержат меньше белка) Белок Натрий Рыба Без ограничения при хорошей толерантности к белку Пресервы, соленые и маринованные продукты (икра, сельдь) Белок Натрий Колбасные изделия Без ограничения при хорошей толерантности к белку Сильно соленые сорта, Белок Натрий например, ветчина, салями, солонина Молоко и молочные продукты Без ограничения при хорошей толерантности к белку Сильно соленые, например, твердые сыры Большое количество творога может привнести много натрия Белок Натрий Жидкость Жиры Все типы как главный источник энергии Соленые сорта жиров Натрий Рекомендуются
Питание больных циррозом печени Яйца и домашняя птица Без ограничения при хорошей толерантности к белку Сильно соленые блюда Белок Натрий Овощи Все сорта при отсутствии необходимости в ограничении жидкости Сильно соленые Жидкость продукты и пресервы Натрий (например, оливки). Соя и продукты из сои могут содержать много белка Картофель Во всех видах Сильно соленые продукты чипсы, хрустящий картофель Фрукты Все варианты без ограни чения при отсутствии не обходимости ограничивать жидкость Орехи В нормальных количествах Хлеб Каши Все сорта Натрий Жидкость Сильно соленые орехи Натрий Белок Натрий
Профилактическая лекарственная терапия Клинические ситуации Что угрожает пациенту ? Препараты, дозы 1) Все больные класса С 2) Больные классов А и В при наличии факторов риска ПСЭ Лактулоза внутрь под контролем стула (2 3 раза/сут. мягкий стул) и/или Орнитин внутрь до 6, 0 1 3 раза/сут. и/или Разветвленные аминокислоты внутрь 1) Профилактика первого эпизода варикозного кровотечения 2) Профилактика рецидива кровотечения Варикозно Пропранолол 80 мг/сут. е внутрь начальная доза (320 кровотече мг/сут. максимальная доза) ние Длительн ость Контроль лечения Пожизнен но или до развития осложнен ия Состояние нервно психического статуса Психометричес кие тесты Пожизнен но или до развития кровотече ния Частота пульса ЭКГ
Профилактическая лекарственная терапия Первичный билиарный цирроз печени Остеопороз Витамин А 50000 IU внутрь Пожизнен 2 раза/мес. но Витамин К в/мыш. 10 мг/нед. Витамин Е внутрь 200 мг/сут. Витамин D внутрь 266 мкг/2 3 раза/мес. Препараты кальция ПТИ Признаки передозировки витаминов Планируемое Кровотечен Витамин К 10 мг/сут. в/мыш. 3 дня инвазивное ие аминокапроновая кислота вмешательство, в/в например, экстракция зуба Тромбоциты ПТИ Наличие факторов риска спонтанного бактериальног о перитонита Асцит ПСЭ Т° тела Общий анализ крови Спонтанны й бактериаль ный перитонит Норфлоксацин 400 мг внутрь Пожизнен 1 2 раза/сут. или но Ципрофлоксацин 750 мг внутрь 1 раз/нед. или Ко тримоксазол 480 мг 5 доз/нед.
Алкогольный цирроз печени n Развивается у 10– 20% лиц, злоупотребляющих алкоголем. Нередко формирование цирроза происходит незаметно и диагностируется только на стадии декомпенсации. Морфологически цирротическое перерождение характеризуется формированием мелких узлов–регенератов (формирование регенераторных узлов замедлено вследствие ингибирующего эффекта алкоголя)
Алкогольный цирроз печени
Алкогольный цирроз печени n n n Клиника: размеры печени на начальных этапах значительно увеличены, но с прогрессированием заболевания печень может уменьшаться, что является фактором неблагоприятного прогноза. При объективном исследовании обращают внимание яркие телеангиэктазии, гинекомастия. Асцит появляется в среднем раньше, чем при вирусном циррозе. Энцефалопатия может носить смешанный характер. В целом, клинико–лабораторные синдромы соответствуют таковым при циррозе любой другой этиологии.
Особенности диагностики АБП n Стертое течение АБП вплоть до формирования цирроза очень характерно именно для пациентов, злоупотребляющих алкоголем, еще и ввиду отсутствия критики к своему состоянию у данной категории больных. Это приводит к отсутствию возможности оказания своевременной помощи пациенту. Роль врача на этом этапе развития болезни, по сути, сводится лишь к симптоматическому лечению, поскольку цирроз является уже необратимым состоянием и не подвергается обратному развитию даже при воздержании от алкоголя. Единственным способом предотвратить развитие необратимых изменений в печеночной паренхиме является ранняя диагностика алкогольной болезни печени.
Спасибо за внимание


