Скачать презентацию ЧЕРЕПНО-МОЗГОВАЯ ТРАВМА. КЛАССИФИКАЦИЯ. n Единая классификация черепно- мозговой Скачать презентацию ЧЕРЕПНО-МОЗГОВАЯ ТРАВМА. КЛАССИФИКАЦИЯ. n Единая классификация черепно- мозговой

ЧМТ.ppt

  • Количество слайдов: 66

ЧЕРЕПНО-МОЗГОВАЯ ТРАВМА. КЛАССИФИКАЦИЯ. n Единая классификация черепно- мозговой травмы (ЧМТ)-разработана Конваловым А. Н. и ЧЕРЕПНО-МОЗГОВАЯ ТРАВМА. КЛАССИФИКАЦИЯ. n Единая классификация черепно- мозговой травмы (ЧМТ)-разработана Конваловым А. Н. и др. авторами в 1986 г. n В основе классификации лежит характер и степень повреждения головного мозга (они определяют течение, лечебную тактику и исходы заболевания).

n Существует 5 клинических форм ЧМТ: n 1. Сотрясение головного мозга (утрата сознания на n Существует 5 клинических форм ЧМТ: n 1. Сотрясение головного мозга (утрата сознания на несколько n n n мин) 2. Ушиб головного мозга легкой степени тяжести (потеря сознания от нескольких мин до 1 часа) 3. Ушиб головного мозга средней степени (потеря сознания от десятков минут до 4 -6 часов) 4. Ушиб головного мозга тяжелой степени (потеря сознания от нескольких мин до нескольких недель) 5. Сдавление головного мозга (сразу или через некоторое время после ЧМТ). Осложнения-в виде гематом- эпидуральной, субдуральной, внутримозговой, субарахноидального кровоизлияния.

Тяжесть состояния определяется нарушением функции ствола головного мозга и систем дыхания и кровообращения. Тяжесть состояния определяется нарушением функции ствола головного мозга и систем дыхания и кровообращения.

n СОСТОЯНИЯ СОЗНАНИЯ. n n n n 1. ЯСНОЕ 2. УМЕРЕННОЕ ОГЛУШЕНИЕ 3. ГЛУБОКОЕ n СОСТОЯНИЯ СОЗНАНИЯ. n n n n 1. ЯСНОЕ 2. УМЕРЕННОЕ ОГЛУШЕНИЕ 3. ГЛУБОКОЕ ОГЛУШЕНИЕ 4. СОПОР 5. Умеренная кома. 6. Глубокая кома 7. Запредельная кома. n n Причины смерти больных: Внутричерепная дислокация. Височно-тенториальное вклинение. Вклинение миндалин мозжечка в БЗО.

Состояние покровов головы. n Открытая ЧМТ-есть раны головы, повреждения апоневроза, n n перелом костей Состояние покровов головы. n Открытая ЧМТ-есть раны головы, повреждения апоневроза, n n перелом костей свода с ранением прилежащих мягких тканей, переломы основания черепа, сопровождающиеся кровотечением или ликворреей (ушной или назальной). Закрытая ЧМТ- без нарушением целостности покровов головы либо есть раны, не проникающие до апоневроза. Непроникающая ЧМТ-целостность твердой мозговой оболочки не нарушена. Проникающая ЧМТ-нарушена целостность твердой мозговой оболочки(осложнения-менингит, менингоэнцефалит, абсцесс мозга).

Этапы развития патологических изменений при ЧМТ. n 1. Острейший период(момент травмы) n 2. Острый Этапы развития патологических изменений при ЧМТ. n 1. Острейший период(момент травмы) n 2. Острый период – до 1 -2 мес. ) n 3. Период остаточных явлений (до 1 года) n -ранний-до 4 месяцев n -поздний-после 4 мес. до 1 года n 4. Отдаленный период-после 1 года

Черепно-мозговая травма. Изменения при КТ Черепно-мозговая травма. Изменения при КТ

Закрытые черепно-мозговые травмы. Изменения при компьютерной томографии Гематомы эпидуральные субдуральные Кровоизлиянияинтравентрикулярные субарахноидальные Контузонные очаги Закрытые черепно-мозговые травмы. Изменения при компьютерной томографии Гематомы эпидуральные субдуральные Кровоизлиянияинтравентрикулярные субарахноидальные Контузонные очаги Дислокации транстенториальные срединные Отек локальный генерализованный

Последствия черепно-мозговой травмы Ранние: гематомы и кровоизлияния пневмоцефалии ликворрея отек, дислокация мозга диффузное аксональное Последствия черепно-мозговой травмы Ранние: гематомы и кровоизлияния пневмоцефалии ликворрея отек, дислокация мозга диффузное аксональное повреждение переломы костей черепа Поздние: церебральная атрофия формирование лептоменингиальных кист, цефалоцеле ликворрея церебраьные инфаркты костные дефекты

3 фазы интракраниальных дислокаций Ранняя фаза срединная дислокация Промежуточная транстенториальная дислокация Поздняя фаза дислокация 3 фазы интракраниальных дислокаций Ранняя фаза срединная дислокация Промежуточная транстенториальная дислокация Поздняя фаза дислокация миндалин мозжечка в большое затылочное отверстие

Эпидуральная гематома По течению: Острая клиническая манифестация до 2 суток Подострая клиническая манифестация до Эпидуральная гематома По течению: Острая клиническая манифестация до 2 суток Подострая клиническая манифестация до 2 недель Хроническая клиническая манифестация свыше 2 недель Отстроченная клиническая манифестация от нескольких часов до нескольких суток По локализации: Латеральные Вневисочные височно-теменная область атипичные

Эпидуральная гематома Эпидуральная гематома

Эпидуральная гематома субтенториальная локализация Эпидуральная гематома субтенториальная локализация

Эпидуральная гематома теменно-затылочная локализация Эпидуральная гематома теменно-затылочная локализация

Эпидуральная гематома височная локализация Эпидуральная гематома височная локализация

Субдуральные гематомы и субдуральные гигромы По течению: Острая клиническая манифестация до 2 суток Подострая Субдуральные гематомы и субдуральные гигромы По течению: Острая клиническая манифестация до 2 суток Подострая клиническая манифестация до 2 недель Хроническаяклиническая манифестация свыше 2 недель

Субдуральные гематомы и субдуральные гигромы Субдуральные гематомы и субдуральные гигромы

Острая субдуральная гематома лобно-височной локализации Острая субдуральная гематома лобно-височной локализации

Подострая субдуральная многокамерная гематома Подострая субдуральная многокамерная гематома

Субдуральные гигромы Субдуральные гигромы

Хронические субдуральные гематомы. Классификация По локализации: I. Односторонние Двухсторонние II. Лобные 1. Лобно-теменные 2. Хронические субдуральные гематомы. Классификация По локализации: I. Односторонние Двухсторонние II. Лобные 1. Лобно-теменные 2. Лобно-височные 3. Лобно-теменно-височные 4. Лобно-теменно-затылочно-височные 5. Теменно-височно-затылочные Височные 1. Теменно-височные 2. Височно-затылочные

Хронические субдуральные гематомы. Классификация 1. 2. 3. 4. По плотности: Гиподенсивные Гиперденсивные Гетероденсивные Изоденсивные Хронические субдуральные гематомы. Классификация 1. 2. 3. 4. По плотности: Гиподенсивные Гиперденсивные Гетероденсивные Изоденсивные

Хронические субдуральные гематомы. Варианты плотности а) гиподенсивная б) гиперденсивная в) изоденсивная г) гетероденсивная Хронические субдуральные гематомы. Варианты плотности а) гиподенсивная б) гиперденсивная в) изоденсивная г) гетероденсивная

Хроническая субдуральная гетероденсивная гематома Хроническая субдуральная гетероденсивная гематома

Хроническая субдуральная гиподенсивная гематома Хроническая субдуральная гиподенсивная гематома

Хронические субдуральные гематомы: феномен седиментации Хронические субдуральные гематомы: феномен седиментации

Хронические субдуральные гематомы. Классификация 1. 2. 3. 4. 5. По отношению к поверхности мозга: Хронические субдуральные гематомы. Классификация 1. 2. 3. 4. 5. По отношению к поверхности мозга: Сагиттальные Парасагиттально-конвекситальные Конвекситальные Базальные

Хронические субдуральные гематомы. Классификация По строению: 1. 2. 3. Однокамерные Двухкамерные Многокамерные Хронические субдуральные гематомы. Классификация По строению: 1. 2. 3. Однокамерные Двухкамерные Многокамерные

Хронические субдуральные гематомы Хронические субдуральные гематомы

Субарахноидальное кровоизлияние и билатеральные пластинчатые субдуральные гематомы динамика (2 недели после травмы) Субарахноидальное кровоизлияние и билатеральные пластинчатые субдуральные гематомы динамика (2 недели после травмы)

Интравентрикулярное кровоизлияние через 6 и 48 часов после травмы Интравентрикулярное кровоизлияние через 6 и 48 часов после травмы

Локализация интрацеребральных кровоизлияний Локализация интрацеребральных кровоизлияний

Гематома мозолистого тела состояние после удаления Гематома мозолистого тела состояние после удаления

Гематома мозолистого тела состояние после удаления (1 мес. после травмы) Гематома мозолистого тела состояние после удаления (1 мес. после травмы)

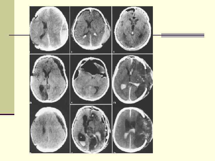
Внутримозговая гематома. Инволюция. 1 неделя 5 недель Внутримозговая гематома. Инволюция. 1 неделя 5 недель

Внутримозговые гематомы 8 суток после травмы 28 суток после травмы 75 суток после травмы Внутримозговые гематомы 8 суток после травмы 28 суток после травмы 75 суток после травмы

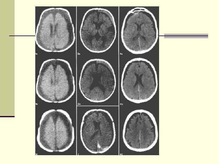
Множественные контузионные очаги динамика (через 2 мес) Множественные контузионные очаги динамика (через 2 мес)

Субарахноидальное кровоизлияние с формированием внутримозговой гематомы через 2 суток после травмы Субарахноидальное кровоизлияние с формированием внутримозговой гематомы через 2 суток после травмы

Риноликворрея КТ – цистернография контрастирование решетчатого лабиринта Дефект основания в области передней черепной ямки Риноликворрея КТ – цистернография контрастирование решетчатого лабиринта Дефект основания в области передней черепной ямки на уровне правой половины ситовидной пластинки

Перелом кранио-фациальной области Перелом кранио-фациальной области

Открытые черепно-мозговые травмы. (последствия) Пневматоцеле Вдавленные переломы костей черепа Интракраниальные инородные тела Отек Церебральные Открытые черепно-мозговые травмы. (последствия) Пневматоцеле Вдавленные переломы костей черепа Интракраниальные инородные тела Отек Церебральные грыжи в трепанационный дефект Вторичные инфекции (гнойный менингит, субдуральная эмпиема, абсцес, энцефалит).

Посттравматические дефекты черепа Непосредственно травматические (переломы) Дырчатые Вдавленные: импрессионные депрессионные смешанные Многооскольчатые Посттравматическое рассасывание Посттравматические дефекты черепа Непосредственно травматические (переломы) Дырчатые Вдавленные: импрессионные депрессионные смешанные Многооскольчатые Посттравматическое рассасывание костей Ятрогенные дефекты - постоперационные

Переломы костей черепа Вдавленный импрессионно-депрессионный перелом лобной области повреждение фронтальной пазухи и крыши орбиты Переломы костей черепа Вдавленный импрессионно-депрессионный перелом лобной области повреждение фронтальной пазухи и крыши орбиты

Переломы костей черепа Импрессионно-депрессионный перелом свода черепа Переломы костей черепа Импрессионно-депрессионный перелом свода черепа

Переломы костей черепа Изоллированный импрессионный перелом внутренней костной пластинки Депрессионно-импресионный перелом Переломы костей черепа Изоллированный импрессионный перелом внутренней костной пластинки Депрессионно-импресионный перелом

Переломы костей черепа Ограниченный импрессионный перелом Переломы костей черепа Ограниченный импрессионный перелом

Переломы костей черепа Импрессионный перелом затылочной области в области поперечного синуса. Переломы костей черепа Импрессионный перелом затылочной области в области поперечного синуса.

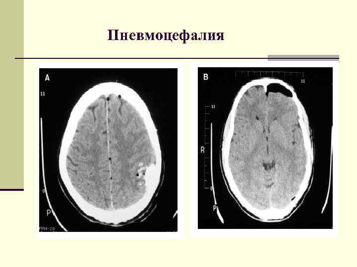
Пневмоцефалия Локальная (пневматоцеле), диффузная По локализации Субарахноидальная Внутрижелудочковая Субдуральная Эписубдуральная Паренхиматозная Пневмоцефалия Локальная (пневматоцеле), диффузная По локализации Субарахноидальная Внутрижелудочковая Субдуральная Эписубдуральная Паренхиматозная

Пневмоцефалия Пневмоцефалия

Пневматоцеле Контузионный очаг лобной доли Через 2 суток после травмы – формирование пневматоцеле Пневматоцеле Контузионный очаг лобной доли Через 2 суток после травмы – формирование пневматоцеле

Типичная локализация аксональных повреждений Типичная локализация аксональных повреждений

Субарахноидальное кровоизлияние Субарахноидальное кровоизлияние

Диффузное аксональное повреждение (1 и 7 -е сутки после травмы) Диффузное аксональное повреждение (1 и 7 -е сутки после травмы)

Диффузное аксональное повреждение (1 и 28 -е сутки после травмы) Диффузное аксональное повреждение (1 и 28 -е сутки после травмы)

Сочетанное диффузное аксональное повреждение (1 и 28 -е сутки после травмы) Сочетанное диффузное аксональное повреждение (1 и 28 -е сутки после травмы)

Диффузное аксональное повреждение 1 и 28 -е сутки после травмы Диффузное аксональное повреждение 1 и 28 -е сутки после травмы

Гидроцефалия Острый период: дислокационная окклюзионная Отдаленный период: арезорбтивная атрофическая Гидроцефалия Острый период: дислокационная окклюзионная Отдаленный период: арезорбтивная атрофическая

Отдаленные последствия перенесенных черепно-мозговых травм Порэнцефалические кисты Спонгиозная энцефалопатия Гидроцефалия Церебральная атрофия Отдаленные последствия перенесенных черепно-мозговых травм Порэнцефалические кисты Спонгиозная энцефалопатия Гидроцефалия Церебральная атрофия