ЧМТ 7 09 2013.ppt
- Количество слайдов: 138
Черепно-мозговая травма КГМА - 2013
Черепно-мозговая травма ЧМТ легкой степени - сотрясение головного мозга - ушиб мозга легкой степени Средней степени - ушиб мозга средней степени Тяжелой степени - ушиб мозга тяжелой степени - сдавление мозга - тяжелое диффузное аксональное повреждение мозга
Классификация ЧМТ I. Внутримозговые повреждения • Первичные • Вторичные II. Внемозговые повреждения • Интракраниальные • Костные III. Смешанные
I. Внутримозговые повреждения • первичные -Диффузное аксональное повреждение (ДАП) - Очаговые ушибы ( + разрывы эпендимы желудочков, воронки гипофиза + повреждения черепно-мозговых нервов (III, IV, VI и др. ) - Внутримозговые гематомы
Первичные повреждения Диффузное аксональное повреждение (ДАП) Механизм – ускорение / торможение, ротация Локализация – полушария головного мозга - граница серого и белого вещества - лобные и теменные доли (50%) - базальные ганглии - мозолистое тело (валик) - средний мозг (дорсальные отделы) Диагностика: - КТ информативна только в 10% случаев. - МРТ ≈ 93%
КТ : ДАП в сочетании с очагами ушибов
T 2 Flair ДАП повреждение мозолистого тела, 5 сутки после ЧМТ DWI 1000 ADC MAP Снижение диффузии (ишемия)
Первичные повреждения Ушибы головного мозга По механизму: - ударные - противоударные По локализации: - кортикально-субкортикальные - подкорковые - стволовые - смешанные
Первичные повреждения Ушибы головного мозга КТ и МРТ данные Ушиб первого вида : низкая плотность на КТ и повышение сигнала на МРТ (Т 2); Ушиб второго вида: смешанная плотность на КТ и неоднородный сигнал на МРТ, наличие геморрагических очагов; Ушиб третьего вида : сочетание внутримозговой гематомы на фоне смешанной плотности на КТ или высокого сигнала на МРТ окружающего мозга.
Первичные повреждения Ушибы головного мозга Общий объем очагов по формуле для вычисления объема эллипсоида V= π|6 х А х В х С
Первичные повреждения Ушибы головного мозга Ушиб первого вида : низкая плотность на КТ и повышение сигнала на МРТ (Т 2); Зона снижения плотности при минимальной дислокации переднего рога левого бокового желудочка А - 1 сутки после ЧМТ, Б - через 2, 5 месяца.
Первичные повреждения Ушибы головного мозга Ушиб второго вида: смешанная плотность на КТ и неоднородный сигнал на МРТ, наличие геморрагических очагов;
Первичные повреждения Ушибы головного мозга Ушиб третьего вида : сочетание внутримозговой гематомы на фоне смешанной плотности на КТ или высокого сигнала на МРТ окружающего мозга.
Hemorrhagic cerebral contusions and subgaleal hematoma in a 13 -year old boy
I. Внутримозговые повреждения • Вторичные -отек мозга (локальный, полушарный, диффузный) -смещения и деформации мозга (вклинения) - сосудистые повреждения: вазоспазм, ишемия, инфаркт, образование аневризм и псевдоаневризм, разрывы артерий и АВ-фистулы - гидроцефалия (острая)
Отек мозга • Вазогенный -максимальное развитие в течение 24 ч экстрацеллюлярный, белое вещество • Цитотоксический - развитие в течение 4 -5 суток, внутриклеточный отек • Интерстициальный - перивентрикулярный • Гидростатический - повышение внутричерепного давления • Гипоосмотический - снижение осмолярности плазмы
Отек мозга • Вазогенный -максимальное развитие в течение 24 ч экстрацеллюлярный, белое вещество
Отек мозга • Цитотоксический -развитие в течение 4 -5 суток, внутриклеточный отек
Отек мозга • Интерстициальный - перивентрикулярный Т 2 flair
Смещения и деформации мозга вклинения) • Латеральное • Восходящее транстенториальное • Нисходящее транстенториальное • Трансалярное • Вклинение миндалин мозжечка
Схема дислокаций головного мозга 1 - смещение поясной извилины под фалькс; 2 - нисходящее височно-тенториальное смещение; 3 - восходящее транстенториальное смещение; 4 - смещение миндалины мозжечка в большое затылочное отверстие; 5 - трансалярное смещение.
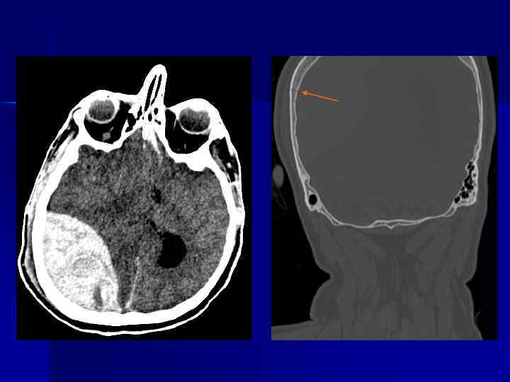
II. Внемозговые повреждения -эпидуральные гематомы (острая, подострая, хроническая) -субдуральные гигромы -субарахноидальное кровоизлияние -переломы свода и основания черепа
Схема эпидуральной и субдуральной гематом
ОСТРАЯ СУБДУРАЛЬНАЯ ГЕМАТОМА (2 сутки) КТ Т 1 Т 2
ПОДОСТРАЯ СУБДУРАЛЬНАЯ ГЕМАТОМА (7 суток) (ИЗОПЛОТНОСТНАЯ ПРИ КТ)
МРТ- «золотой стандарт» диагностики хронических субдуральных гематом Изоденсная ХСГ: а- КТ, b- МРТ (Т 1, Т 2)
Acute subdural hematoma with descending transtentorial herniation and Duret hemorrhage.
Arterial epidural hematoma with subfalcine herniation.
Venous epidural hematoma.
Subacute subdural hematoma in a 75 -year-old man.
Черепно-мозговая травма
Черепно-мозговая травма
Черепно-мозговая травма
Черепно-мозговая травма
Черепно-мозговая травма
Переломы костей свода черепа N. B. -1/3 больных с тяжелой ЧМТ не имеют переломов костей. Выделяют: Линейные Вдавленные Расхождение швов Дырчатые Огнестрельные Наиболее информативна КТ, позволяющая одновременно оценить костные и внутримозговые повреждения.
Линейный перелом левой половины чешуи затылочной кости
Вдавленные переломы чешуи затылочной кости
Травматические повреждения челюстно-лицевой области n По данным ВОЗ составляют около 40% от всех видов травм n Тенденция к росту в среднем на 2% в год
Клиническое обследование • Изменение конфигурации лица • Гематомы • Патологическая подвижность костей
Рентгеносемиотические признаки травматических повреждений лицевого скелета 71, 4% 34, 3% 27, 6% 17, 1% 26, 6% 20, 9% 20, 0% 11, 4%
Зоны челюстно-лицевой области n Верхняя зона – часть лобной кости, образующая верхний край входа в глазницу, кости носа, решетчатая кость и малые крылья клиновидной кости n Средняя зона представлена верхней челюстью, скуловыми костями и скуловыми отростками височных костей n Нижняя зона – нижняя челюсть и височно-нижнечелюстные суставы.
Переломы костей верхней зоны лица
Переломы костей носа Распространенным видом повреждения являются изолированные переломы носовых костей или ограниченных участков лобной кости. Эти переломы наиболее часто возникают в месте повреждающего воздействия.
Переломы лобной кости
Переломы лобной кости
Травматические повреждения орбиты Рентгенография в носоподбородочной проекции
Травматические повреждения орбиты КТ
Травматические повреждения орбиты КТ МРТ
Повреждения структур орбиты Изменения положения и размеров глазного яблока Изменения стекловидного тела глазного яблока (гемофтальм, рубцовые изменения) Повреждения и смещения хрусталика Повреждения оболочек глазного яблока Повреждение глазодвигательных мышц Посттравматические изменения зрительного нерва (структуры, хода)
Повреждения структур орбиты УЗИ. Гемофтальм 3 стадии развития. УЗИ. Гемофтальм 5 стадии развития. Прорастание глазного яблока сосудами, фиброз.
Повреждения структур орбиты Полная отслойка сетчатки Частичная отслойка сетчатки
Переломы костей средней зоны лица I. Изолированные II. Комбинированные (комплексные) - латеральные центральные
Изолированные переломы скуловой кости
Комбинированные переломы костей средней зоны лица Схематическое изображение тройного перелома костей лица слева
Латеральные комбинированные переломы
Латеральные комбинированные переломы РКТ
Центральные переломы костей средней зоны лица
Перелом по типу Лефор I Линия перелома проходит на уровне дна верхнечелюстной пазухи без отрыва крыловидных отростков. Отделившийся фрагмент составляют альвеолярные и небные отростки, резцовая и небные кости. Линия перелома прослеживается у основания скулового отростка, а иногда – на протяжении всего альвеолярного отростка верхней челюсти
Перелом по типу Лефор I
Перелом по типу Лефор I
Facial trauma Le Fort fracture
Перелом по типу Лефор II Отрыв верхних челюстей происходит на уровне внутренних стенок глазниц. Костный фрагмент включает верхнюю челюсть, носовые кости, крыловидные и небные отростки клиновидной кости. Линия перелома проходит по лобно-носовому, скуловерхнечелюстному швам, у основания крыловидных отростков через решетчатую и слезную кости. Гемосинус.
Перелом по типу Лефор II
Trauma CT Le Fort II
Перелом по типу Лефор II СКТ 3 D
Перелом по типу Лефор III Костный фрагмент представлен верхней челюстью со скуловыми костями. Верхнечелюстная пазуха, скуловой отросток и подглазничный край не повреждены. В медиальном отделе линия перелома проходит аналогично 2 типу, а в латеральных отделах по лобно-скуловому шву и скуловой дуге.
Перелом по типу Лефор III
Facial trauma
Facial trauma
Facial trauma
Facial trauma blow-out fracture
Facial trauma
Orbital floor-fx with herniation of fat
Foreign bodies Perforating intraocular fb
ЧМТ (5 сутки). Ушиб головного мозга с геморрагическим пропитыванием Ишемия в бассейне сонной артерии. Оскольчатый перелом свода черепа.
Переломы костей нижней зоны лица
Схема переломов нижней челюсти 1 – шейки мыщелкового отростка 2 – основания мыщелкового отростка 3, 4, 5 – задне -, средне - и переднеугловые 6 – подбородочный 7 – срединный
Переломы нижней челюсти в области: угла нижней челюсти - 57 -65% мыщелковых отростков - 21 -24% премоляров и клыков - 16 -18% моляров - 14 -15% Бернадский Ю. И. , 1999 г.
Переломы нижней челюсти
Переломы нижней челюсти
Ортопантомограмма. Переломы нижней челюсти в области мыщелкового отростка справа, в зоне 4. 7 и 3. 3 зубов со смещением костных фрагментов. Челюсти шинированы.
Внутриротовая рентгенограмма переднего отдела верхней челюсти. Поперечный перелом корня правого центрального резца. Проволочная фиксация.
Травматические повреждения ВНЧС
Травматические повреждения ВНЧС n n Вывихи Переломы суставной впадины (нижнечелюстной ямки височной кости)
Вывих в ВНЧС
Переломы суставной впадины КТ
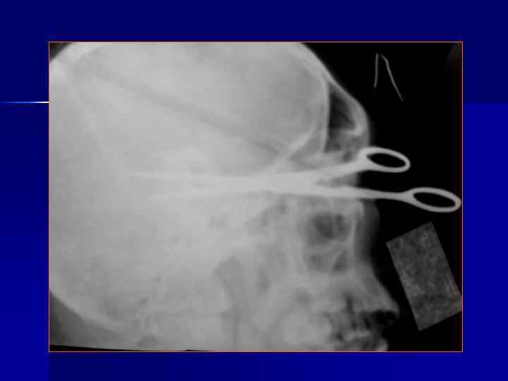
ЛУЧЕВАЯ ДИАГНОСТИКА ИНОРОДНЫХ ТЕЛ ЧЕЛЮСТНО-ЛИЦЕВОЙ ОБЛАСТИ
УЗИ ГЛАЗНЫХ ЯБЛОК
РЕНТГЕНОГРАФИЯ Рентгенография по методике Комберга-Балтина
Foreign bodies Foreign body sclera
РЕНТГЕНОГРАФИЯ
РЕНТГЕНОГРАФИЯ
СПИРАЛЬНАЯ КОМПЬЮТЕРНАЯ ТОМОГРАФИЯ
СПИРАЛЬНАЯ КОМПЬЮТЕРНАЯ ТОМОГРАФИЯ
СПИРАЛЬНАЯ КОМПЬЮТЕРНАЯ ТОМОГРАФИЯ
Планирование хирургических вмешательств
2 D или
МСКТ + лазерная стереолиторафия
Лазерная стереолитография
Лазерная стереолитография
Лазерная стереолитография
… any Questions ? !


