02a24d19d3c54010d30a76934a09093e.ppt
- Количество слайдов: 97
CCM inter-hospital grand-round th March 2011 15 Cannot eat, cannot breathe then cannot see! Dr Alfred Chan Caritas Medical Centre
Clinical History (1) 21 year old girl, born in HK, student n Normal full-term spontaneous delivery n Unremarkable past health n Non drinker and never smoke n No history of drug abuse n “Flu-like illness” in early June 2010 n weak left face + nasal regurgitation on fluid drinking ~ 2 weeks later n
Clinical History (2) Visited acupuncture experts Reluctant to quit from school examination n Attended AED of hospital A on 9 th July 2010 for choking after drinking n Facial weakness became bilateral n Subjective weak voice and slurred speech n
AED of Hospital A BP 106/85; P 112 regular; temp 37; n GCS 15/15; PERL n No ophthalmoplegia n Limb power and sensation normal n Otoscopy and hearing normal n Bilateral VII palsy, LMN type n Markedly diminished gag reflex n
Admit M&G of hospital A No ocular movement deficit n Normal facial sensation/ hearing n Tongue movement intact n Poor gag reflex + bilateral LMN VII palsy n Tandem-walking unsteady n WC 13. 4 (80% neutrophil); normal R/LFT n ESR 73; CRP 27 n CT Brain: ? Right pons hypodense spots n
Initial list of differential diagnosis Viral brainstem encephalitis n Gullain-barre syndrome n Myasthenia gravis n Vertebral artery dissection n Sarcoidosis n Nasopharyngeal carcinoma lower cranial nerve invasion n
CSF analysis Protein 0. 42; Glucose 3. 2 n WCC 22; RBC 57 n Cryptococcal antigen negative n Bacterial/ AFB/ fungus culture negative n Cytology no malignant cell n Virus: Enterovirus/ VZV/ HSV all negative n VDRL negative n
Is it MG crisis? 20 Jan 2009, CCM grand-round
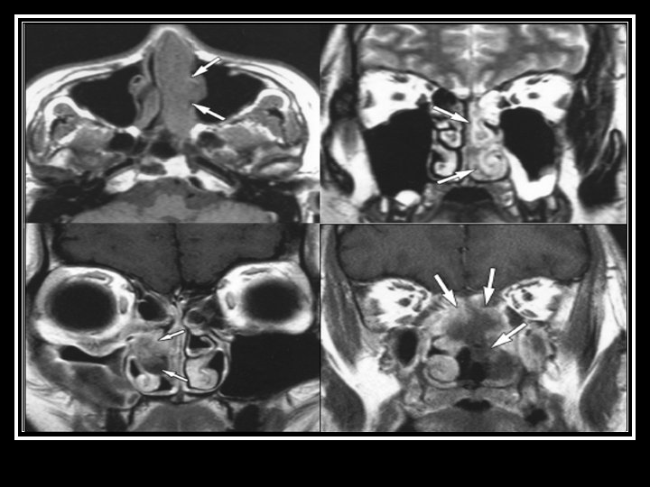
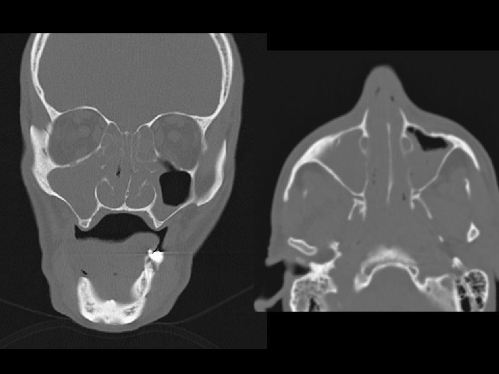
Private MRI Hyperintense spots in antero-superior part of lateral end of both IAM n Short hyperintense line in labyrinthine portion of right facial nerve n Suggestive of bilateral facial neuritis n MRA showed normal vasculature n Incidentally retention change over bilateral paranasal sinuses n
Neurology workup Tensilon test negative n Anti-Ach receptor antibody negative n Immune markers and ANCA negative n Urine porphobilinogen negative n Nerve conduction test Conduction block at Lt tibial/ Rt peroneal Sural nerve intact bilaterally n
Treat as ? Bickerstaff encephalitis IV ampicillin + IV Acyclovir > 9/7 to 15/7 n IVIG at 0. 4 g/ kg weight > 14/7 to 18/7 n Hydrocortisone 100 mg Q 8 H > 20/7 to 25/7 n Prednisolone (tapering dose)> 26/7 to 5/8 n CT brain 7 th Aug putamen lesions+ n Rt dilated pupil FU eye as uveitis n She wants to withhold invasive treatment/ workup if cancer diagnosed n
End Cannot Eat
Unexpected problems (1) TSH <0. 01 and T 4 30. 4 n Carbimazole 10 mg BD + inderal 10 mg tds since 10 th Aug to 14 th Aug n Complete heart block on 15 th Aug temp pacing at CCU on 16 th Aug n Sputum retention and respiratory failure intubated at ICU on 17 th Aug n Started Sulperazon + Amikacin for HAP n
Sputum culture 15 th Aug Acinetobacter species (Heavy growth) n Gentamicin Resistant n Ciprofloxacin Resistant n Cotrimoxazole Resistant n Unasyn Resistant n Piperacillin + Tazobactam Resistant n Tienam Resistant n Sulperazon Resistant n Amikacin Susceptible n Colistin Susceptible
Unexpected problems (2) Weaned off ventilator since 21 st Aug n Fever 40 degree + unconscious 25 th Aug resume ventilator support n Change pacing wire to LIJV n Stop Sulperazon and Amikacin change to Cloxacillin (ETA grew MSSA 24 th Aug) n EEG generalized encephalopathy n
End Cannot Breath
Unexpected problems (3) Seen by eye for increasing redness Right endophthalmitis diagnosed 25 th Aug Bedside Intravitreous Vancomycin + Amikacin performed n CT orbit 25 th Aug Increased Rt vitreous chamber hypodensities at bilateral basal ganglia n
Eye review on 26 th Aug Vision-saving procedure has to be done in CMC due to restriction on the portability of instruments. n Hopefully to remove sepsis focus n Patient was escorted to ICU of CMC on 27 th Aug, under specialty of M&G, to manage ophthalmological emergency n Plan back to Hospital A after eye OT n
CMC ICU admission 27 th Aug GCS E 2 Vt. M 1 n Under sedation of Dormicum/ fentanyl n Pulse rate 90 sinus, not pacing dependent n Minimal motor response to pain for limbs n Lines not inflamed and CXR clear n Eye OT not available on same day n ? Primary sepsis foci n
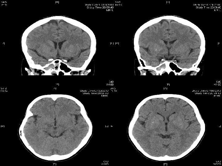
Contrast CT brain on 27 th Aug
Blood result on CMC arrival Hb 7. 2 NCMC; Platelet 146 n WCC 5. 9 (neutrophil 5. 1; lymphocyte 0. 5) n INR 1. 0; APTT 28 n RFT normal, A/G= 19/34, ALT 56 n TSH 0. 13, T 4 at 23. 9 n ABG p. H 7. 49; CO 2 31. 5; p. O 2 185 (0. 3 O 2) n G 6 PD negative (May need Septrin later) n
Management strategy 1. 2. 3. 4. Eye intervention as planned Sepsis: second lumbar puncture for CSF sample + taking other specimens Consult ENT for assessment Consult neurology for (a) Primary event leading to bulbar palsy; and (b) Workup of current CNS severe dysfunction
(1) Eye intervention 28 th Aug Right eye: dense fibrin/ pus in anterior chamber + dense vitritis + inferior rhegmatogenous retinal detachment (RRD) n Left eye: chronic RRD n Impression: Rt endophthalmitis + Lt RRT n Procedure: right eye AC washout + Phacoemulsification of cataract + endolaser vitrectomy + Repair of RRD + Intravitreal Vanco & Amikan n
(1) Eye intervention: plan Poor visual prognosis of right eye n Aim to preserve left eye vision n Local antimicrobial to right eye Hourly Gutt Vancomycin and Gutt Gentamycin n Right vitreous matter for bacterial and fungal culture subsequently negative n Need daily assessment at ICU n
Never end Cannot see
(2) Sepsis workup CSF glucose 2. 0; protein 2. 57; WCC 3; no bacterial/ fungus/ AFB growth n Nasal fluid aspirate: Candida albicans + MRSA + Enterococci + Acinetobacter n ETA Acinetobacter species n CSU Candida albicans + Enterocci n Blood culture negative for bacteria/ fungus n Vitreus matter nil bacteria/ fungus n
(2) Sepsis what to cover? After a bit discussion: Vancomycin 1 g Q 8 H Fluconazole 400 mg stat then 200 mg daily Netromycin 150 mg daily IV n Serum Beta-D-Glucan 173. 7 (<80) Possible systemic candidiasis n
(3) ENT intervention 27 th Aug: to refer back hospital A when fit n 30 th Aug: bedside endoscopy showed tiny streak of mucus in Rt middle meatus swab taken for culture (MDR-Acinetobacter + MRSA + enterococci) n 3 rd Sept: Persistent fever despite broad coverage Right maxillary sinus antrotomy only straw colour fluid !! n
(3) ENT intervention Comments 3 rd Sept 2010: “Based on the clear colour character of antral washout and negative local sign around he head & neck/ peri-nasal Chance of frank sinusitis is low Further procedure e. g. biopsy not helpful” n
Dilemma as a CCM physician n n Bulbar palsy n Uncertain cause CNS inflammation n Nil culture result Sinusitis n ENT not support Dx Endophthalmitis with n Poor prognosis but retinal detachment need QD assessment Persistent severe n Limited choice of sepsis antimicrobials Antral washout grew MDR-Acinetobacter Will you treat accordingly?
(4) Neurologist assessment A. B. Review the initial diagnosis leading to admission to Hospital A Assess the current neurological status
Bulbar dysfunction: DDx n Brainstem pathology n n Nerve n n n ALS SMA Isolated pseudobulbar palsy tetanus Myopathy n n n Cranial nerve disorders Acute neuropathy with bulbar dysfunction Motor neuron disorders n n Infiltration, infection, vascular Inflammatory (PM, DM, IBM) OPMD Thyroid disorders Distal myopathy Neuromuscular junction n Myasthenia gravis
Miller Fisher Syndrome A clinical variant of GBS; acute postinfectious paralytic illness n Triad: ophthalmoplegia, ataxia, areflexia n Pupillary abnormalities, ptosis, bulbar symptoms, facial weakness n CSF: Albumino-cytological dissociation n Anti-GQ 1 b anti-ganglioside antibodies: sensitive for FS and its variants n
Bickerstaff’s brainstem encephalitis (BBE) Closely related to MFS n Additional: Altered consciousness, long tract signs n Similar CSF and anti-GQ 1 b Antibody findings as in MFS n MRI brain abnormality present in 30% n
Anti-GQ 1 b Ig. G antibody syndrome: clinical and immunological range Source: JNNP 2001; 70: 50 -55
What is unusual in this patient? No ophthalmoplegia ever documented n No alteration of consciousness on presentation til very late phase n CSF: normal protein + raised WCC n Nerve conduction study: normal n Fever persists n
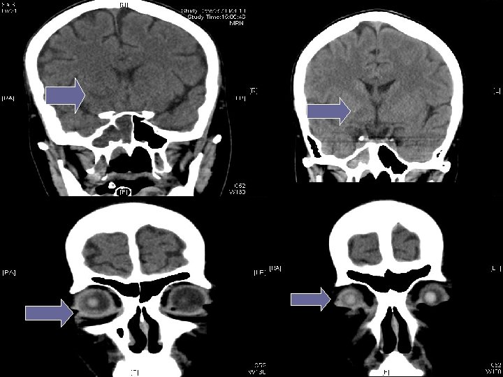
(4) Neurologist assessment: summary Initial presenting illness n Bulbar palsy with normal NCT, but clinically nil response to IVIG and steroid Deterioration right now n Cerebral dysfunction with raised CSF protein n Hypointensities in bilateral temporal and Rt BG Need to consider other diagnosis n Sinusitis with orbital + CNS extension n For contrast MRI brain + skull base
Searching for an answer…. n n n n n Anti-HIV negative, VDRL negative Blood fungal culture/ bacterial negative Paired serum viral titer not raised CMV pp 65 antigen negative 2 nd porphyria screen negative Immune markers all negative Anti-Ganglioside Q 1 b & anti-GM 1 not raised Serum Vancomycin trough 21. 3 Hb 9. 9; Plt 123; WCC 5. 6; ALT 63 (3/9/10)
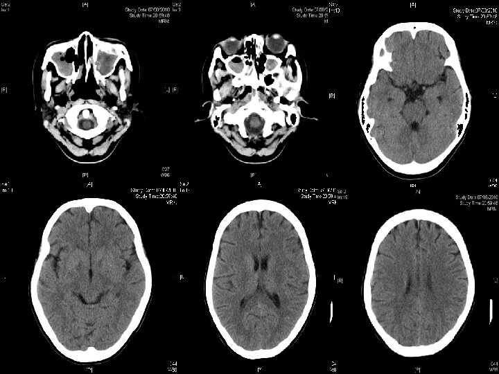
Searching for an answer, again…. . n n n n n 9 th July: Plain CT Brain (Hospital A) 7 th Aug: Plain CT Brain (Hospital A) 25 th August: Plain CT Orbit (Hospital A) 27 th August: Contrast CT brain + Sinus 4 th September: MRI brain + brainstem 4 th September: Plain CT brain 10 th September: Contrast CT brain 11 th September: Plain CT sinus 15 th September: MRI brain + DWI
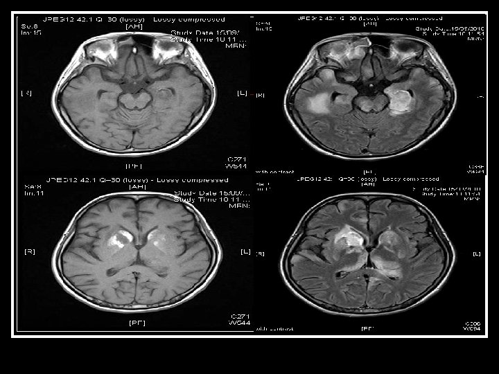
Brain was so ill, but no answer…. Condition since 4 th September 2010 n Multi-focal inflammatory change over bilateral basal ganglia/ thalamus/ temporal lobes and brainstem on MRI, unlikely due to bacterial infection n GCS E 4 Vt. M 1 and all limbs flaccid n Persistent high fever and tachycardia despite Vanco/netro/fluconazole 14 days
While waiting, do something Temporary tracheostomy on 6 th Sept n Moderately enlarged thyroid n Milky discharge from left thyroid n Thyroid tissue sent for histology n Tracheostomy #8 inserted n
More aggressive workup? 8 th to 11 th Sept 2010: n PMH neurologist/ CMC neurologist/ KWH neurosurgeon and PMH neurosurgeon n Possible role of brain biopsy to identify pathogen, but result can be negative because of prior multiple antimicrobials n Risk++ n
Eye: no need for more OT at CMC!! We decided to reconsult ENT n ? Drainage of sinus may help sepsis control better than simply antimicrobial n ENT preferred to have procedure at CMC 12 th Sept: Lt maxillary sinus antral wash Straw colour fluid yielded Opacity “Likely mucosal oedema only” n
Primary disease Unknown diagnosis Sinusitis ENT not convinced CNS infection Endophthalmitis Nil culture Can’t see Think something outside frame? Nil culture Coma
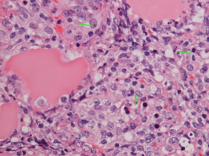
Apoptosis Intravascular invasion
CD-20 staining
CD-56
TIA-1
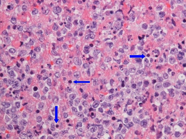
Final histology Thyroid follicles infiltrated by diffuse destructive sheets of large lymphoid cells n CD 20 -; CD 3+; CD 4 -; CD 8 -; TCR-γNeg n Strongly positive for TIA 1 n Extranodal NK/ T-cell lymphoma with intravascular lymphomatosis n { CSF/ nasal aspirate nil malignant cell } n
Final progress (1) PMH Haematology was consulted: Advanced multi-organ involvement by hematological malignancy with the host having extremely poor tolerability to toxic drugs which mean high dose IV Methotrexate & Cytarabine Advised comfort care n
Final progress (2) Adopt DNR after detailed discussion with family, knowing that patient had expressed her wish to withhold invasive treatment/ workup if cancer diagnosed n Put on morphine infusion for distress n To palliative care bed on 18 th Sept (D 23) n Passed away on 20 th Sept (D 25) n
Summary of progression • June/ 2010 n • July/ 2010 n • Early Aug/ 2010 n • Late Aug/ 2010 n • Sept/ 2010 n Lt face weak Bulbar palsy Dilated Rt pupil and uveitis Endophthalmitis and high fever Deep coma, tetraplegia, high fever n n n Nil imaging Facial neuritis Bilateral basal ganglia change Bilateral temporal + BG + thalami + pons
Natural killer cells (NK Cell) Constitute <15% of peripheral lymphocytes n Large granular cells n Originate from bipotent NK/T-progenitor, therefore also express T markers e. g. CD 2 n Nil TCR genes arrangement n 5 subtypes according to CD 56 and CD 16 n n CD 56 or 16 bright vs. CD 56 or 16 dim vs. CD 56 neg
NK cells (<15% blood lymphocyte) 1. n Innate immunity: Direct cytotoxicity to infected cells/ tumor § § 2. n n Cell lysis Apoptosis Adaptive immunity: Maturation of antigen-presentation cells Cytokines (γINF) to activate T-cells
Frequency of all T cell lymphomas International T-Cell lymphoma project 2008
Geographical difference International T-Cell lymphoma project 2008
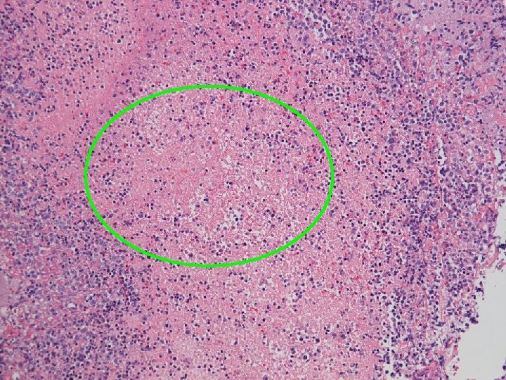
Histology of extranodal NK/T-cell Polymorphous infiltration by atypical lymphocytes with accompanying inflammatory cells n Size of neoplastic cells vary widely n Small neoplastic cells easily missed Read as “Chronic inflammation” n Necrosis and angio-invasion common n
NK/T-cell lymphoma, nasal type 1. n n n Nasal 85% of cases Destructive lesion over face and nose “Lethal midline granuloma” Nasal blockage/ discharge/ epistaxis Male dominance, median age onset 50 Associated mosquito bite hypersensitivity
NK/T-cell lymphoma, nasal type 2. n n n Extranasal Occurs at any site Commonest skin: multiple ulcers, pyogenic granuloma-like lesions GI tract: polypoid/ fungating/ erosions Liver, lung, testis, even orbit and brain Female and male equally affected
NK/T-cell lymphoma, nasal type 3. n n Nodal Cervical LN most commonly affected “Very confusing classification: extranodal NK/T-cell lymphoma of nasal type with nodal involvement”
Staging of disease Can be difficult n Histology easily mistaken n 18 F-FDG uptake grossly less intense than lymphoma of other cells n Marrow 80% of involved cases had normal study by H&E. n EBER in situ hybridization is essential n
Neurological presentation n 1. 2. 3. 4. 5. 6. Pathologies being reported Intracranial lymphomatous mass Leptomeningeal infiltration, and even along cranial nerves/ spinal nerve roots Demyelination causing polyradiculopathy Vascular insult via angiocentric necrosis GBS-like syndrome Axonal degeneration (unknown pathogenesis)
Case: cranial neuropathy + acute polyradiculopathy 50 year-old man n Left face weakness and paraparesis n Impaired sensation of L 1 -5 dermatomes n MRI enhanced thoracic nerve roots n 2 nd LP CSF +ve for NK-cell lymphoma n 2 nd NCT small amplitude and loss of F n Worsened to tetraplegia in 10 days n J Clin Neuromusc Dis 2000; 1: 137 -140
Cases: intravascular NK lymphoma Three males and one female n Age 63 -87 n All with skin lesion over trunk/ extremities n One patient with diffuse brain infiltration on presentation and died within one week n Lymphoma cells confined within blood vessels with some lumina occluded n Am J Surg Pathol 2008; 32 (6): 891 -8
Case: “Inflammatory mass of arm” 38 year-old man, fever+ n Left shoulder painful swelling for 2 months n Unsteady gait with slurred speech n MRI pyogenic osteomyelitis + abscess n Excision of mass NK cell lymphoma n CSF +ve for lymphoma cell +ve CD 56 n Whole brain RT & survived 10 months n Chang Gung Med J 2008; 31: 314 -9
Case: mimic cerebral infarcts 49 year-old man n Fever/ confusion and agitation for 1 week n MRI brain subacute infarct right frontal n Leukopenia and thrombocytopenia n Bone marrow confirmed NK-lymphoma n Brain lesion remitted after RT n Onkologie 2008; 31 (3): 115 -7
Cases: occult nasal NK lymphoma One woman had MS-like lesion with intraocular involvement (Turbid vitreous body) tissue taken 3 years ago for “chronic sinusitis” actually was lymphoma n One man of leptomeningeal NK lymphoma with ocular involvement had nasal polyp 3 years later confirmed to be NK lymphoma n Am J of Hemat 1999; 60(2): 161 -3
Treatment of NK/T-cell lymphoma No standard chemotherapy n High concentration of P-glycoprotein which mediates multi-drug resistance n n Commonly presents with multi-organ failure
Treatment of localized disease Localized radiotherapy n Combine with anthracycline-based chemotherapy n Medial overall survival 3 years n ? Uncertain timing of chemotherapy n Studies showed initial RT had superior CR rate and longer overall survival n
Treatment of disseminated disease Only 30% CR rate using anthracyclinebased chemotherapy n Overall median survival 4 months n SMILE ( Steroid + MTx + Ifosfamide + Lasparaginase + Etoposide) in phase 1 n High dose chemo. + Hematopoietic SCT need further evaluation n
Prognosis of NK cell lymphoma 30% three year survival 10% three year survival International T-Cell lymphoma project 2008
Prognostic indicators Extranasal location of lesion compared to nasal origin of tumor n Advanced stage (III and IV) n Poor performance status n Stage I disease: 40% 5 year survival n CR rate >80% if RT first followed by chemo n Ann of Onc 2010; 21: 1032 -40
Bring-home……questions ? Genuine neuritis vs. perineural spread n ? Genuine sinusitis vs. lymphoma n ? Genuine endophthalmitis vs. lymphoma n ? Genuine CNS infection vs. lymphoma n ? Positive results if NCT/ LP repeated n ? Aggressive ENT workup or even sinus Bx n ? May be treatable if diagnosed earlier n


