168d32c50dc401bafc6d47cff65a09f5.ppt
- Количество слайдов: 51
Case Report David H. Aguirre P. Medical Student University of Chile September 23, 2009
I. INTRODUCTION CASE REPORT
CASE REPORT • 23 y/o M without significant PMHX. • He had a MVA in April 09’, with a head to steering wheel trauma. He suffered a left forehead laceration. Thereafter he had progressive swelling of the affected eye, peri-orbital redness and sensation of sinus fullness. No fevers/chills/sweats/wt loss. He went to see an internist on 5/18/09. Ointment was prescribed. • The patient felt this helped so he continued to use the ointment for about a month. • With time, the patient’s eye was more swollen, so he presented to an ophthalmologist on 6/19/09. The ophthalmologist prescribed oral antibiotic and requested a CT scan. The can was performed at Jordan Hospital on 6/22/09.
• 6/22/09 CT posterior fossa and orbits: • Exophthalmos, inhomogeneous mass 3. 5 x 3 x 2 cm with rim enhancement and low-density center, which is centered on the posterior roof of the orbit. • Referred to BIDMC and admitted on 6/23/09.
• FAMILY HISTORY: • healthy son. • no diseases in mom/dad/siblings • ALLERGIES: • NKDA • MEDICATIONS at home: • po abx (cannot ascertain from history) • PAST MEDICAL/SURGICAL HISTORY: • None
• PHYSICAL EXAM: • • • Gen: NAD, normal respiratory effort. Mental status: Awake and alert, cooperative with exam, normal affect. Orientation: Oriented to person, place, and date. Speech intact. CN: Left peri-orbital swelling and erythema; mild proptosis, chemosis; no audible bruit; no pulsation; II: Pupils equally round and reactive to light bilaterally. Visual fields are full to confrontation. III, IV, VI: Extraocular movements intact except for discreet limitation in extreme upward gaze on left. V, VII: Facial strength and sensation intact and symmetric. XII: Tongue midline without fasciculation. Motor: Normal bulk and tone bilaterally. No abnormal movements, tremors. Strength full power 5/5 throughout. No pronator drift. Sensation: Intact to light touch bilaterally.
• 6/23/09 Labs: • CBC: 7. 6 / 38. 9 / 293 • Coags: 13. 6 / 22. 4 / 1. 2 • Assessment/Plan: • MRI • Craniotomy and surgical exploration
• 6/23/09 MRI Head and Orbits w & w/o contrast: • 2. 8 x 2. 7 x 2. 1 cm lesion within the left retro-orbital space and middle cranial fossa, adjacent soft tissues, laterally and into infra-temporal fossa, and pre-septal soft tissues, with osseous destruction involving sphenoid wing and intra-orbital extension causing mass effect upon the rectus muscles, optic nerve and globe. There is no intra-conal or intra-axial cerebral extension.
• Impression: • This most likely represents chronic aggressive infection , fungal or indolent bacterial, with or without foreign body reaction. • The differential includes: • Langerhans cell histiocytosis • Round cell tumor • Rhabdomyosarcoma
• 6/24/09 Surgery: • Left-sided 1. 5 craniotomy for dissection and decompression. • Intra-operative image guidance with Brain. Lab • Microscopic dissection and decompression of middle temporal fossa, anterior skull base and orbital roof • Intra-orbital decompression, dissection and evacuation of chronic hematoma/abscess • Fresh frozen analysis confirmed PMN infiltrate consistent with chronic inflammation and abscess. • Intra-operative cultures were sent off for gram-stain, culture and sensitivity. • Pericranial autograft for repair. • Autologous cranioplasty
• Management of the orbital abscess was started by the infectious disease team with Cefepime, Am. Bisome and Vancomycin. • All cultures negative
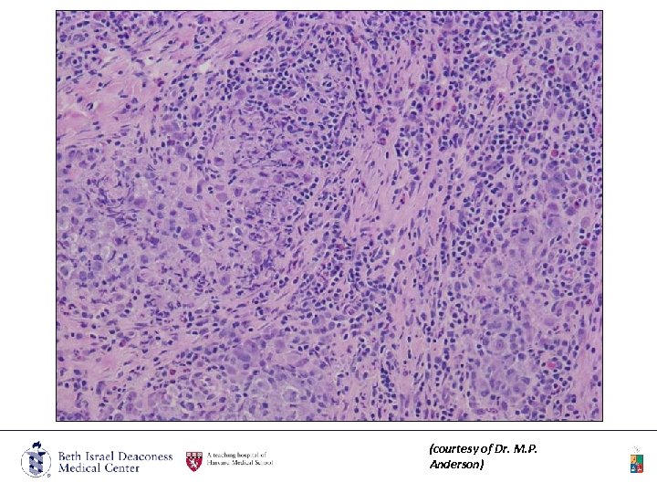
7/03/09 Pathology Examination (courtesy of Dr. M. P. Anderson)
IHC: • CD 1 a • S 100 • CD 68 (courtesy of Dr. M. P. Anderson)
(courtesy of Dr. M. P. Anderson)
• SOFT TISSUE, RETRO-ORBITAL/CRANIAL FOSSA REGION, BIOPSY: • ATYPICAL HISTIOCYTIC AND EOSINOPHIL RICH INFILTRATE • “Overall, this is an unusual lesion, with histiocytic and eosinophilic rich infiltrate. The eosinophils form almost an abscess, while the histiocytes are in an organized bundles and display an unusual IHC profile characteristic of Langerhans cell histiocytosis ” • Patient began LCH study
• PRELIMINARY DIAGNOSIS: • UNIFOCAL SKULL BASE LANGERHANS CELL HISTIOCYTOSIS
Histiocytosis X David H. Aguirre P. Medical Student University of Chile September 23, 2009
II. Histiocytosis X - LCH DEFINITION
Histiocytosis X • Histiocytosis X is a rare disease of unknown cause. • It is an uncommon proliferative disorder of bone marrow-derived antigen-presenting cells of the dendritic cell line, also known as Langerhans cells • The basic pathological feature of this disease is to form tumor masses or granulomatosis with destruction of the surrounding tissues. (Picture from Siena et al. (1995). MASSIVE EX-VIVO GENERATION OF FUNCTIONAL DENDRITIC CELLS FROM MOBILIZED CD 34(+) BLOOD PROGENITORS FOR ANTICANCER THERAPY. Exper. Hematol. 23(14), DEC 1995, pp. 1463 -1471. )
Terminology • In 1953 L. Lichtenstein grouped three distinct clinical syndromes that show indistinguishable histology, under the term “Histiocytosis X”. • Eosinophilic Granuloma • Limited to bone (5 -15 y) • Hand-Schüller-Christian disease • Multifocal bone lesions and extraskeletal involvement of RES and pituitary gland (1 -5 y) • Letterer-Siwe disease • Disseminated involvement of the RES with fulminant clinical course (<2 y) • The actual term for these disease is “Langerhans Cell Histiocytosis”
III. Langerhans Cell Histiocytosis EPIDEMIOLOGY
Epidemiology • LCH is more common in children than in adults, with most cases being diagnosed before the age of 15 years. • The incidence is estimated at between 0. 2 and 2 per 100, 000 children under 15 years of age. • Large series tend to demonstrate a preponderance in males, sometimes as high as 60% to 70% of cases. • Is more common in whites of northern European descent.
IV. Langerhans Cell Histiocytosis CLINICAL PRESENTATION
Sites of Involvement • Unifocal (65%) • Bone (90%) • • • Skull Femur Pelvis Ribs Vertebrae – T > L > C • Others (10%) • Lung • Lymph node • Skin • Multifocal (45%) • Bone (60%) • Skull (>50%) • Bone + Soft Tissue (25%) • Soft Tissue (15%)
Signs and Symptoms • Skull • Painful, immobile scalp mass that may have recently enlarged. • Spine • Local pain, back stiffness, torticollis, or kyphoscoliosis. • Pituitary • Diabetes insipidus, panhypopituitarism • Soft tissue and RES • Fever, hepatosplenomegaly, lymphadenopathy, pancytopenia, skin lesions
V. Langerhans Cell Histiocytosis PATHOLOGY
Pathology • The key feature is the presence of Langerhans cells. • They show positive immunohistochemical staining for CD 1 a and S-100 • The diagnostic gold standard feature is the ultra-structural identification of Birbeck granules, which are 34 nm wide tubular or tennis-racket-shaped intra-cytoplasmic pentalaminar structures with a zipper-like central core.
(Nicholas D'Ambrosio, Stephanie Soohoo, Craig Warshall, Alan Johnson, and Sasan Karimi. Craniofacial and Intracranial Manifestations of Langerhans Cell Histiocytosis: Report of Findings in 100 Patients Am. J. Roentgenol. , Aug 2008; 191: 589 – 597) (`Hasegawa K, Mitomi T, Kowa H, Motoori T, Yagisita S. A clinico-pathological study of adult histiocytosis X involving the brain. J Neurol Neurosurg Psychiatry. 1993 Sep; 56(9): 1008– 1012 )
VI. Langerhans Cell Histiocytosis SKULL LESIONS
Skull • In the calvarium, the lesions are round or oval lytic lesions, and have a characteristic beveled edges. (D'Ambrosio, S. Soohoo, C. Warshall, A. Johnson, and S. Karimi Craniofacial and Intracranial Manifestations of Langerhans Cell Histiocytosis: Report of Findings in 100 Patients. Am. J. Roentgenol. , August 1, 2008; 191(2): 589 - 597. )
• Skull LCH is characteristically isointense to gray matter on T 1 weighted and enhances homogeneously on CT and MRI after contrast administration. (Binning, Mandy J (MJ); Brockmeyer, Douglas L (DL); . Novel multidisciplinary approach for treatment of langerhans cell histiocytosis of the skull base. North American Skull Base Society. 2008 -Jan; vol 18 (issue 1) : pp 53 -8)
Treatment • The main treatment is an open removal of the lesion , which in most cases is curative. • There also reports of spontaneous regressions. • Lesions that are painful may respond to steroid. • The patients require follow-up, because they can develop recurrent or multifocal lesions over time (6%). Most of this lesions are seen within 2 years of treatment.
VII. Langerhans Cell Histiocytosis SPINE LESIONS
SPINE • The lesions are similar to skull lesions. • More than 80% involves the vertebral body, and is usually limited to a single vertebral level. • Vertebra can be partially or completely collapsed (vertebra plana)
Treatment • The diagnosis needs a biopsy, which can be accomplished through a percutaneous CT-guided needle biopsy. • In the rare case of neurologic deficit from compression, decompressive surgery may be warranted. • Also immobilization is required in unstable lesions. • Other treatment options are local radiation therapy or chemotherapy.
VIII. Langerhans Cell Histiocytosis INTRACRANIAL LESIONS
CNS • The most common CNS locations involved are the hypothalamic–pituitary axis and cerebellum. • Diabetes insipidus is the most common endocrine manifestation of LCH. • MRI findings in central diabetes insipidus are characterized by lack of high signal intensity of the posterior pituitary on T 1 weighted images, which is often associated with enhancement and thickening of the pituitary stalk.
(D'Ambrosio, S. Soohoo, C. Warshall, A. Johnson, and S. Karimi Craniofacial and Intracranial Manifestations of Langerhans Cell Histiocytosis: Report of Findings in 100 Patients. Am. J. Roentgenol. , August 1, 2008; 191(2): 589 - 597. )
Treatment • This lesions are usually treated as any brain tumor before the diagnosis, so they usually have open resection or biopsy. • Following gross-total resection most patients should be observed without any furtherapy. • In a incomplete resection, the patient could receive radiation and chemotherapy. • In Diabetes, the patient should receive appropriate hormone replacement therapy.
IX. Langerhans Cell Histiocytosis MULTIFOCAL LCH
Multifocal LCH • The prognosis in multifocal disease is substantially worse. • With only multifocal bone involvement, chemotherapy is generally given. • In the presence of multisystem disease, chemotherapy is the treatment of choice.
X. CONCLUSIONS
Conclusions • LCH is a rare disease which mainly affect bone • When the disease is not multi-systemic, the prognosis is very good, and the treatment should be as conservative as possible • LCH should be considered as a differential diagnosis of tumors of the skull base
Acknowledgements • Dr. Kasper • Dr. Anderson • Dr. Chen
THANKS!
XI. REFERENCES
References • • • M. S. Berger, M. D. Prados (eds): Textbook of neuro-oncology. Elsevier Saunders, Philadelphia 2005. Chapter 100: 751 -757 Histiocytosis Association of America. URL: www. histio. org Hasegawa K, Mitomi T, Kowa H, Motoori T, Yagisita S. A clinico-pathological study of adult histiocytosis X involving the brain. J Neurol Neurosurg Psychiatry. 1993 Sep; 56(9): 1008– 1012 Nicholas D'Ambrosio, Stephanie Soohoo, Craig Warshall, Alan Johnson, and Sasan Karimi. Craniofacial and Intracranial Manifestations of Langerhans Cell Histiocytosis: Report of Findings in 100 Patients Am. J. Roentgenol. , Aug 2008; 191: 589 – 597 Siena et al. (1995). Massive ex-vivo generation of functional dendritic cells from mobilized cd 34(+) blood progenitors for anticancer therapy. Exper. Hematol. 23(14), DEC 1995, pp. 1463 -1471 Grois N, Tsunematsu Y, Barkovich AJ, Favara BE. Central nervous system disease in. Langerhans cell histiocytosis. Br J Cancer Suppl 1994; 23: S 24– 8 Grois N, Prayer D, Prosch H, Lassmann H. Neuropathology of CNS disease in Langerhans cell histiocytosis. Brain 2005; 128: 829 -838 M Katati, JM. Martín, J. Pastor, V. Arjona. Isolated Langerhans´cell histiocytosis of central nervous system. Neurocirugia, 2002, 13(6): 477 -479 Gunny R, Clifton A, Al-Memar A. Spontaneous regression of supratentorial intracerebral Langerhans' cell histiocytosis. Birjournals. 2004 Aug; 77(920): 685 -7. Binning, Mandy J (MJ); Brockmeyer, Douglas L (DL); . Novel multidisciplinary approach for treatment of langerhans cell histiocytosis of the skull base. North American Skull Base Society. 2008 -Jan; vol 18 (issue 1) : pp 53 -8 D'Ambrosio, S. Soohoo, C. Warshall, A. Johnson, and S. Karimi Craniofacial and Intracranial Manifestations of Langerhans Cell Histiocytosis: Report of Findings in 100 Patients Am. J. Roentgenol. , August 1, 2008; 191(2): 589 - 597.


